Dược sĩ Đại học có nhiều năm kinh nghiệm trong việc tư vấn Dược phẩm và hỗ trợ giải đáp thắc mắc về Bệnh học. Hiện đang là giảng viên cho Dược sĩ tại Nhà thuốc Long Châu.
Quỳnh Loan
04/06/2024
Mặc định
Lớn hơn
Có rất nhiều nguyên nhân dẫn đến việc răng bị nứt khiến nhiều người lo ngại không biết răng bị nứt có sao không. Bài viết sau đây sẽ giúp bạn hiểu rõ hơn về một số nguyên nhân chính gây nứt răng cũng như cách xử lý khi gặp phải trường hợp này.
Răng nứt xuất phát từ nhiều nguyên nhân khác nhau, có thể do tác động vật lý, do thói quen sinh hoạt hàng ngày,… Việc hiểu được nguyên nhân cơ bản gây ra nứt răng là rất quan trọng để phòng ngừa và duy trì sức khỏe răng miệng tối ưu. Khám răng định kỳ đóng một vai trò quan trọng trong việc phát hiện sớm và khắc phục các vấn đề tiềm ẩn. Ngoài ra, duy trì một chế độ ăn uống lành mạnh, tránh những thói quen có hại và sử dụng đồ bảo hộ khi hoạt động thể chất có thể giúp ích rất nhiều trong việc giữ cho răng của bạn nguyên vẹn và khỏe mạnh.
Nứt răng là vấn đề răng miệng gây ra cảm giác khó chịu, đau hoặc thậm chí nguy cơ mất răng nếu không được giải quyết kịp thời.

Trước khi đi vào giải đáp câu hỏi răng bị nứt có sao không, chúng ta cùng điểm qua một số nguyên nhân chủ yếu dẫn đến việc nứt răng:
Một trong những nguyên nhân chính gây ra tình trạng răng nứt là chấn thương về thể chất. Bạn vô tình bị ngã, gặp chấn thương khi chơi thể thao hoặc bất kỳ tác động bất ngờ nào đều có thể khiến răng bị nứt, đôi khi răng bị tách làm đôi hoặc thành nhiều phần riêng biệt. Mức độ nghiêm trọng của vết nứt thường phụ thuộc vào độ mạnh của lực va đập và tình trạng răng trước khi xảy ra tai nạn.
Chính những thói quen nhỏ tưởng chừng như vô hại có thể ngấm ngầm làm tổn hại đến tính toàn vẹn của răng theo thời gian. Các thói quen như nhai đá, dùng răng làm công cụ để mở gói đồ hoặc nắp bia, cắn vào thức ăn cứng như càng cua hoặc để răng tiếp xúc với nhiệt độ thay đổi quá cao đều có thể góp phần làm răng yếu đi.
Sự hao mòn dần dần này có thể dẫn đến sự lão hóa sớm của chân răng, khiến chúng dễ bị nứt hơn.
Ngoài nguyên nhân do chấn thương thể chất và thói quen xấu, một số yếu tố khác cũng góp phần làm tăng khả năng bị nứt răng. Cụ thể:
Chứng nghiến răng
Nghiến răng vào ban đêm gây áp lực quá mức lên răng của bạn, dẫn đến các vết nứt theo thời gian.

Điều trị tủy răng
Răng đã được điều trị tủy răng có thể trở nên giòn hơn và dễ bị nứt.
Men răng yếu
Men răng là lớp ngoài cứng, bảo vệ răng của bạn. Khi răng yếu đi do di truyền, chế độ ăn uống hoặc vệ sinh răng miệng kém, răng sẽ dễ bị nứt hơn.
Sâu răng
Sâu răng có thể làm răng yếu đi đáng kể, khiến răng dễ bị nứt dưới lực nhai thông thường. Khám răng định kỳ và thực hành vệ sinh răng miệng tốt là rất quan trọng để ngăn ngừa sâu răng.
Có nhiều nguyên nhân tác động khiến răng có thể bị nứt, chia thành nhiều dạng khác nhau:
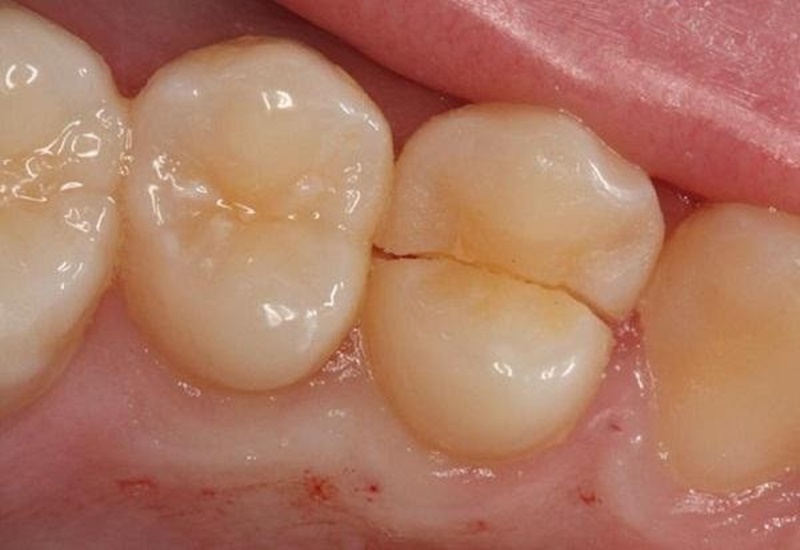
Răng nứt dọc là tình trạng có vết nứt kéo dài từ bề mặt nhai của răng xuống tận chân răng. Trong một số trường hợp, vết nứt có thể xâm nhập vào bên dưới đường nướu và vào hệ thống chân răng. Mặc dù vết nứt dọc không làm cho răng bị tách thành nhiều phần riêng biệt nhưng nó có thể gây tổn thương đáng kể đến các mô mềm bên trong răng, thường dẫn đến đau và khó chịu, đặc biệt là khi nhai.

Vết xước là những vết nứt nhỏ chỉ ảnh hưởng đến lớp men răng bên ngoài. Những vết nứt bề ngoài này thường thấy nhất ở răng trưởng thành và không có triệu chứng. Điều này có nghĩa là chúng không gây đau nên việc điều trị những vết xước này thường không cần thiết.
Các vết nứt xảy ra ở đầu răng, đặc biệt là trên bề mặt cắn, có nguy cơ gây tổn thương răng nghiêm trọng hơn. Trường hợp này có thể làm cho răng dễ bị gãy hơn vì tính toàn vẹn của bề mặt cắn bị tổn hại. Bệnh nhân bị vết nứt loại này thường cảm thấy đau khi cắn hoặc nhai vì vùng bị tổn thương dễ bị đè ép và nứt thêm.
Răng chẻ là một tình trạng nghiêm trọng thường xảy ra do sự tiến triển của vết nứt dọc không được điều trị. Kiểu gãy này khiến răng bị chia thành hai phần riêng biệt. Sự hiện diện của các vết nứt dọc kéo dài từ chân răng đến bề mặt cắn cho thấy răng đã bị tách, không chỉ gây đau đớn đáng kể mà còn đe dọa nghiêm trọng đến khả năng tồn tại của răng.
Nứt răng là một vấn đề không mấy xa lạ trong nha khoa. Tuy nhiên, bất cứ ai khi bị nứt răng cũng đều lo ngại không biết răng bị nứt có sao không. Theo bác sĩ nha khoa, vết nứt răng nếu không sớm tìm cách khắc phục sẽ ngày càng lớn hơn và gây ra nhiều tác hại cho sức khỏe răng miệng. Cụ thể:

Chưa kể, trường hợp nghiêm trọng hơn là vết nứt có thể tác động đến mạch máu và xương kéo theo nhiều biến chứng nguy hiểm. Chính vì thế, bác sĩ nha khoa khuyến cáo chúng ta ngay khi phát hiện các dấu hiệu nứt răng thì nên đi khám sớm để được điều trị kịp thời, ngăn ngừa những vấn đề không mong muốn xảy ra.
Đối với trường hợp răng nứt nhẹ, không gây ảnh hưởng đến thẩm mỹ lẫn việc ăn nhai hàng ngày thì bạn chỉ cần tuân thủ biện pháp chăm sóc răng miệng đúng cách, không nhất thiết phải áp dụng biện pháp nha khoa. Tuy nhiên, bạn cần theo dõi tình trạng răng nứt thường xuyên để nếu có tiến triển nặng hơn thì kịp thời điều trị.

Đối với những vết nứt lớn, kèm theo đau đớn cũng như có ảnh hưởng nhiều đến sinh hoạt hàng ngày, bác sĩ nha khoa sẽ chỉ định phương pháp phù hợp với vị trí và triệu chứng răng miệng lẫn mức độ nứt vỡ. Cụ thể:
Khi vết nứt dễ nhận thấy nhưng không gây tổn hại nghiêm trọng, trám răng là một phương pháp đáng tin cậy để bịt kín vết nứt và khôi phục hình dáng cũng như chức năng của răng.
Bằng cách sử dụng vật liệu composite hoặc gốm, miếng trám được tạo hình và làm cứng bằng tia laser chuyên dụng, đảm bảo sự tích hợp liền mạch với cấu trúc tự nhiên của răng. Phương pháp điều trị đơn giản nhưng hiệu quả này có thể nhanh chóng mang lại sức khỏe và tính thẩm mỹ cho chiếc răng bị nứt của bạn.
Bọc răng sứ mang lại một lớp bảo vệ lâu bền, ngăn ngừa tổn thương thêm, đồng thời khôi phục hình dáng và chức năng tự nhiên của răng. Quá trình này bao gồm việc định hình lại chiếc răng để vừa khít với mão răng, với thiết kế mô phỏng hình dạng và màu sắc ban đầu của răng.
Đối với những vết nứt kéo dài đến tủy, cần phải thực hiện quy trình sơ bộ loại bỏ phần tủy bị tổn thương trước khi đặt mão răng, nhằm đảm bảo tuổi thọ của răng và ngăn ngừa nhiễm trùng.
Trong trường hợp răng bị tổn thương nặng, đặc biệt là tủy và dây thần kinh, nhổ răng có thể là giải pháp khả thi duy nhất nhằm loại bỏ nguy cơ nhiễm trùng và bảo vệ các răng xung quanh khỏi tác hại tiềm tàng.
Sau khi nhổ răng, bắt buộc bạn phải xem xét các lựa chọn thay thế răng, chẳng hạn như cấy ghép răng, để ngăn ngừa mất xương và khôi phục đầy đủ tính thẩm mỹ cũng như chức năng cho nụ cười của bạn.

Hy vọng những thông tin trong bài viết của Nhà thuốc Long Châu đã giúp bạn giải đáp được thắc mắc răng bị nứt có sao không. Quá trình xử lý tình trạng răng nứt bao gồm việc đánh giá cẩn thận về mức độ nghiêm trọng, vị trí và tác động của vết nứt đối với sức khỏe răng miệng, từ đó nha sĩ sẽ đưa ra phương pháp can thiệp phù hợp. Trong những trường hợp nặng, nha khoa hiện đại ngày nay đã có thể đưa ra nhiều biện pháp điều trị phù hợp, không chỉ có thể làm giảm đau đớn và khó chịu mà còn nhanh chóng phục hồi, mang lại cho bạn hàm răng khỏe mạnh.
Xem thêm: Trồng 3 răng liên tiếp như thế nào? Chi phí ra sao?
Dược sĩ Đại họcNguyễn Mỹ Huyền
Dược sĩ Đại học có nhiều năm kinh nghiệm trong việc tư vấn Dược phẩm và hỗ trợ giải đáp thắc mắc về Bệnh học. Hiện đang là giảng viên cho Dược sĩ tại Nhà thuốc Long Châu.