Tốt nghiệp Đại học Dược Hà Nội, với hơn 10 năm kinh nghiệm trong lĩnh vực Dược phẩm. Hiện là giảng viên giảng dạy các môn Dược lý, Dược lâm sàng,...
Cẩm Ly
10/03/2025
Mặc định
Lớn hơn
Đột quỵ để lại nhiều hậu quả nghiêm trọng, nhưng kỹ thuật chụp ảnh não mới đang mở ra hy vọng cải thiện hiệu quả phục hồi chức năng. Công nghệ này hứa hẹn mang lại giải pháp điều trị cá nhân hóa, nâng cao chất lượng cuộc sống cho người bệnh.
Đột quỵ là một trong những nguyên nhân hàng đầu gây tử vong và tàn tật trên toàn thế giới. Việc chẩn đoán sớm và chính xác các tổn thương não là yếu tố then chốt trong việc cải thiện hiệu quả phục hồi chức năng sau đột quỵ. Trong những năm gần đây, các kỹ thuật chụp ảnh não tiên tiến đã mở ra nhiều hy vọng mới trong việc phục hồi cho bệnh nhân đột quỵ.
Trong một bước tiến quan trọng trong lĩnh vực phục hồi sau đột quỵ, Trung tâm Y khoa Đại học Georgetown đã hợp tác cùng MedStar Health và Viện Y tế Quốc gia (NIH) để tiến hành nghiên cứu về kỹ thuật hình ảnh não mới. Nghiên cứu này hứa hẹn mang lại những thông tin chi tiết hơn về tình trạng của các đường dẫn chất trắng, từ đó giúp tùy chỉnh phương pháp phục hồi cho bệnh nhân bị đột quỵ.

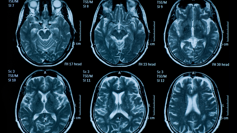
Các nhà khoa học tại Trung tâm Y khoa đại diện bởi Edwardson và các đồng nghiệp đã phát hiện ra rằng việc kết hợp kỹ thuật MRI truyền thống với một phương pháp mới gọi là hình thái dựa trên khuếch tán tensor (DTBM) có thể cung cấp hình ảnh chi tiết hơn về các đường dẫn chất trắng đến chi. Kỹ thuật này giúp xác định liệu các cáp này có bị suy teo hay không, một thông tin quý giá để đánh giá khả năng hồi phục sau đột quỵ của bệnh nhân.
DTBM là một kỹ thuật tiên tiến kết hợp thông tin định hướng với hình dạng và kích thước của các cấu trúc não được hình ảnh hóa. Trước đây, các nhà thần kinh học thường gặp khó khăn trong việc phân biệt các cáp chất trắng từ chất xám bằng cách sử dụng các phương pháp hình thái thông thường. Tuy nhiên, với sự ra đời của DTBM, các nhà nghiên cứu có thể lập bản đồ và định lượng các thay đổi theo thời gian trong các đường dẫn chất trắng.

Trong nghiên cứu của Edwardson và các đồng nghiệp, họ đã sử dụng DTBM để đo lường sự suy teo của đường dẫn corticospinal - đường dẫn chính từ não xuống tủy sống giúp điều khiển các động tác tay và chân. "Tới mức chúng tôi biết, đây là nghiên cứu đầu tiên cho phép chúng tôi đo được sự suy teo của các đường dẫn này trong những người sống sót sau đột quỵ", Edwardson chia sẻ.
Kết quả nghiên cứu chỉ ra rằng mức độ suy teo của các đường corticospinal có tương quan mạnh mẽ với khả năng hồi phục chức năng tay sau đột quỵ. Nếu các cáp này bị suy teo nghiêm trọng, bệnh nhân sẽ gặp khó khăn trong việc sử dụng tay và chân sau khi đăng nhập vào chương trình phục hồi.

Nghiên cứu của Edwardson và các cộng sự đặt nền móng cho việc tùy chỉnh phương pháp phục hồi sau đột quỵ, giúp các nhà trị liệu định hướng tốt hơn về chiến lược điều trị. "Sẽ rất hữu ích cho các nhà trị liệu biết vào thời điểm nhập viện phục hồi liệu có khả năng bệnh nhân của họ phục hồi chức năng không," Edwardson nói. "Nếu được xác định rằng bệnh nhân không có khả năng hồi phục động tác có ý nghĩa, nhà trị liệu có thể thay đổi chiến lược để tập trung vào bên không bị suy teo và các chiến lược bù đắp cho sự tàn tật."
Tuy nhiên, ông cũng nhấn mạnh rằng cần có thêm nhiều nghiên cứu trước khi các quan sát này có thể được áp dụng rộng rãi trong lâm sàng. Việc tiếp tục nghiên cứu sẽ giúp xác định rõ hơn về mối quan hệ giữa suy teo đường dẫn chất trắng và khả năng hồi phục động tác, từ đó cải thiện đáng kể kết quả điều trị cho bệnh nhân bị đột quỵ.

Nghiên cứu đã được công bố trên tạp chí Neurology và nhận được sự hỗ trợ từ Trung tâm Quốc gia về Khoa học Dịch thuật và học bổng từ Giải thưởng Khoa học Dịch thuật Lâm sàng của Georgetown. Các tác giả báo cáo không có lợi ích tài chính cá nhân liên quan đến nghiên cứu, khẳng định tính minh bạch và nghiêm túc của công trình.
Kỹ thuật hình ảnh não mới dựa trên khuếch tán tensor đang mở ra những cơ hội mới cho việc phục hồi sau đột quỵ. Với việc cung cấp hình ảnh chi tiết hơn về các đường dẫn chất trắng, các nhà trị liệu có thể tùy chỉnh phương pháp điều trị để đáp ứng nhu cầu cụ thể của từng bệnh nhân. Nghiên cứu này đánh dấu một bước tiến lớn trong lĩnh vực y học phục hồi và mang lại hy vọng cho hàng triệu người sống sót sau đột quỵ trên khắp thế giới.
Dược sĩ Đại họcNguyễn Thanh Hải
Tốt nghiệp Đại học Dược Hà Nội, với hơn 10 năm kinh nghiệm trong lĩnh vực Dược phẩm. Hiện là giảng viên giảng dạy các môn Dược lý, Dược lâm sàng,...