• Thực phẩm chức năng

  • Dược mỹ phẩm

  • Thuốc

  • Chăm sóc cá nhân

  • Thiết bị y tế

  • Tiêm chủng

  • Bệnh & Góc sức khỏe

  • Hệ thống nhà thuốc

    1. /
    2. Góc sức khỏe/
    3. Phòng bệnh & Sống khoẻ

    Một số bệnh lao ngoài phổi hay gặp nhất

    21/06/2023

    Kích thước chữ

    Trong số các loại bệnh lao thì bệnh lao phổi là bệnh khá phổ biến với tỷ lệ mắc bệnh cao. Tuy nhiên, có những thể lao ngoài phổi khác cũng cần xét nghiệm, chẩn đoán để điều trị kịp thời và hiệu quả. Cùng tìm hiểu một số bệnh lao ngoài phổi hay gặp nhất qua bài viết dưới đây nhé!

    Lao ngoài phổi thường là do lây truyền qua đường máu. Đôi khi nhiễm trùng mở rộng từ cơ quan lân cận. Các triệu chứng khác nhau tùy theo cơ địa, nhưng thường bao gồm sốt, khó chịu và sụt cân. Chẩn đoán thường bằng xét nghiệm đờm và nuôi cấy tế bào và ngày càng có nhiều xét nghiệm sinh học phân tử chẩn đoán.

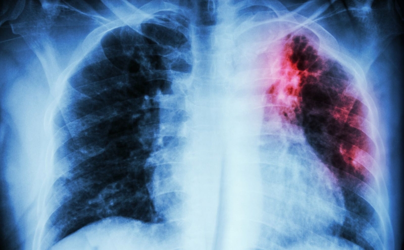
    Bệnh lao phổi là bệnh khá phổ biến với tỷ lệ mắc bệnh cao Bệnh lao phổi là bệnh khá phổ biến với tỷ lệ mắc bệnh cao

    Bệnh lao ngoài phổi là gì?

    Bệnh lao là một bệnh truyền nhiễm do vi khuẩn Mycobacterium tuberculosis gây ra. Bệnh lao có thể ảnh hưởng đến hầu như bất kỳ bộ phận nào của cơ thể, nhưng lao phổi là dạng bệnh phổ biến nhất.

    Bệnh lao ngoài phổi xảy ra khi vi khuẩn lao làm tổn thương các cơ quan ngoài phổi như màng phổi, hạch bạch huyết, phúc mạc, cơ quan sinh dục, tiết niệu, da, xương, khớp, màng tim và màng não. Khi lao ở nhiều bộ phận thì tổn thương nặng nhất như lao màng não, lao xương hoặc lao khớp là chẩn đoán chính.

    Bệnh lao ngoài phổi không được tìm thấy ở một bộ phận nhất định của cơ thể. Bệnh thường diễn tiến chậm, dễ nhầm với nhiều bệnh khác nên khi phát hiện bệnh thường đã ở giai đoạn nặng.

    Phân loại bệnh lao ngoài phổi

    Lao toàn thể

    Còn được gọi là lao toàn thân, bệnh xảy ra khi các tổn thương lao phát triển trong mạch máu, lan truyền hàng triệu vi khuẩn vào máu và khắp cơ thể. Nhiễm lao tiềm ẩn hoặc sơ cấp có thể dẫn đến lây lan nghiêm trọng không kiểm soát được. Phổi và tủy xương thường là hai cơ quan bị ảnh hưởng nhiều nhất, nhưng bất kỳ vị trí nào cũng có thể bị ảnh hưởng. Lao toàn thể thường gặp nhất ở trẻ em dưới 4 tuổi, người suy giảm miễn dịch và người già.

    Lao sinh dục

    Nhiễm trùng thận có thể biểu hiện kèm theo viêm thận, sốt, đau lưng và đái mủ mà không có mầm bệnh tiết niệu nào. Nhiễm trùng thường lan đến bàng quang, ở nam giới có thể lan đến tuyến tiền liệt, túi tinh hoặc mào tinh, khiến tinh hoàn to ra. Nhiễm trùng có thể lan đến nang thận và xung quanh lưng dưới, đôi khi dẫn đến áp xe ở mặt trước của đùi.

    Viêm buồng trứng có thể xảy ra sau kỳ kinh nguyệt khi ống dẫn trứng trở thành mạch máu. Các triệu chứng bao gồm đau vùng chậu mãn tính, có thể gây vô sinh hoặc mang thai ngoài tử cung do sẹo ở ống dẫn trứng.

    Viêm màng não do lao

    Viêm màng não thường xảy ra khi các vùng ngoài phổi khác không bị nhiễm trùng. Tại Hoa Kỳ, bệnh viêm màng não do lao phổ biến hơn ở trẻ sơ sinh và dưới 5 tuổi. Viêm màng não do lao là thể lao nặng nhất với tỷ lệ mắc và tử vong cao ở mọi lứa tuổi. Đây là một dạng bệnh lao được cho là có thể phòng ngừa được ở thời thơ ấu bằng thuốc chủng ngừa BCG.

    Viêm màng não thường xảy ra khi các vùng ngoài phổi khác không bị nhiễm trùng Viêm màng não thường xảy ra khi các vùng ngoài phổi khác không bị nhiễm trùng

    Các triệu chứng là sốt nhẹ, đau đầu, buồn nôn và buồn ngủ, có thể tiến triển đến hôn mê. Đột quỵ có thể là kết quả của cục máu đông trong động mạch não. Các triệu chứng thần kinh khu trú có thể là gợi ý của bệnh viêm màng não do lao.

    Lao màng bụng

    Viêm phúc mạc, một nhiễm trùng của phúc mạc do viêm các hạch bạch huyết hoặc buồng trứng trong ổ bụng, đặc biệt phổ biến ở những người nghiện rượu bị xơ gan. Các triệu chứng có thể nhẹ, với mệt mỏi, đau bụng hay có thể đau dữ dội như một vùng bụng bị mổ giả.

    Lao màng tim

    Nhiễm trùng màng ngoài tim có thể phát triển từ các hạch bạch huyết trung tâm hoặc từ bệnh lao. Viêm màng ngoài tim do lao là nguyên nhân phổ biến gây suy tim ở một số khu vực có tỷ lệ mắc bệnh cao trên thế giới.

    Bệnh nhân có thể bị ma sát màng ngoài tim, tràn dịch cục bộ hoặc đau, sốt. Sự chèn ép của màng ngoài tim có thể xảy ra, dẫn đến khó thở, giãn tĩnh mạch ở cổ, mạch đảo, tiếng tim yếu và hạ huyết áp.

    Lao hạch

    Viêm hạch lao thường liên quan đến hạch thượng đòn và hạch trong tử cung. Nhiễm trùng ở những khu vực này được cho là kết quả của sự lây lan liền mạch của các hạch bạch huyết trong bụng. Các hạch bạch huyết trung thất cũng thường xuyên to ra như một phần của bệnh phổi nguyên phát.

    Viêm hạch cổ tử cung được đặc trưng bởi sự sưng tấy tiến triển của các hạch bạch huyết liên quan, sau đó hạch bạch huyết bị viêm và dị ứng.

    Lao xương khớp

    Lao xương khớp thường xảy ra ở các khớp lớn, nhưng xương ở cổ tay, bàn tay và khuỷu tay cũng có thể bị ảnh hưởng, đặc biệt là sau chấn thương.

    Bệnh lao cột sống là một bệnh nhiễm trùng bắt đầu từ các cơ cột sống và thường lan đến các đốt sống lân cận, làm hẹp các đĩa đệm. Nếu không được điều trị, các đốt sống có thể bị phá hủy, có khả năng ảnh hưởng đến cột sống. Các triệu chứng bao gồm đau tiến triển hoặc dai dẳng ở xương bị tổn thương và viêm khớp mãn tính. Khi mắc bệnh lao cột sống, tủy sống bị chèn ép, gây thiếu máu cục bộ hệ thần kinh, bao gồm liệt hai chi dưới, sưng tấy, mất cảm giác do có ổ áp xe.

    Bệnh lao cột sống là một bệnh nhiễm trùng bắt đầu từ các cơ cột sống và thường lan đến các đốt sống lân cận Bệnh lao cột sống là một bệnh nhiễm trùng bắt đầu từ các cơ cột sống và thường lan đến các đốt sống lân cận

    Lao đường tiêu hoá

    Vì toàn bộ niêm mạc đường tiêu hóa có khả năng chống lại sự xâm nhập của vi khuẩn lao, nên sự nhiễm trùng cần tiếp xúc kéo dài với số lượng lớn nên điều này rất hiếm gặp ở các nước phát triển.

    Lao đường tiêu hoá gây ra hội chứng viêm ruột với biểu hiện đau, tiêu chảy, tắc nghẽn và phân có máu giống như viêm ruột thừa, có thể có vết loét.

    Lao gan

    Nhiễm trùng gan thường gặp ở bệnh nhân lao phổi tiến triển hoặc lao toàn thể. Tuy nhiên, gan thường lành nếu không có di chứng trong quá trình điều trị sơ cấp. Bệnh lao trong gan đôi khi có thể lan đến túi mật, gây vàng da tắc nghẽn.

    Trên đây, nhà thuốc Long Châu đã gửi đến bạn một số bệnh lao ngoài phổi hay gặp nhất. Nếu cơ thể có các biểu hiện như ho kéo dài, đổ mồ hôi đêm, mệt mỏi, chán ăn, sốt về chiều thì có thể bạn đã mắc bệnh lao và cần đến ngay cơ sở y tế gần nhất để xét nghiệm, phát hiện bệnh lao và điều trị kịp thời.

    Thuý Nguyễn

    Nguồn tham khảo: Tổng hợp

    Thông tin và sản phẩm gợi ý trong bài viết chỉ mang tính chất tham khảo, vui lòng liên hệ với Bác sĩ, Dược sĩ hoặc chuyên viên y tế để được tư vấn cụ thể. Xem thêm

    Dược sĩ Đại họcPhạm Nguyễn Hoàng Kim

    Đã kiểm duyệt nội dung

    Dược sĩ chuyên ngành Dược lâm sàng, với nhiều năm kinh nghiệm làm việc trong lĩnh vực dược phẩm. Là Dược sĩ Long Châu đạt được chứng chỉ bệnh học cấp quốc tế. Hiện đang là giảng viên tại Trung tâm Đào tạo FPT Long Châu.

    Xem thêm thông tin