• Thực phẩm chức năng

  • Dược mỹ phẩm

  • Thuốc

  • Chăm sóc cá nhân

  • Thiết bị y tế

  • Tiêm chủng

  • Bệnh & Góc sức khỏe

  • Hệ thống nhà thuốc

    1. /
    2. Góc sức khỏe/
    3. Phòng bệnh & Sống khoẻ

    Răng bị mẻ có trám được không và quy trình trám răng bị mẻ thế nào?

    30/11/2025

    Kích thước chữ

    Trám răng là kỹ thuật nha khoa phổ biến nhằm phục hình những khuyết điểm cho răng. Vậy trám răng là gì và trong trường hợp răng bị mẻ có trám được không? Quy trình trám răng bị sứt mẻ ra sao?

    Trám răng là kỹ thuật được đánh giá cao hiện nay bởi giúp khắc phục khuyết điểm của răng nhanh chóng, hiệu quả và tiết kiệm chi phí. Vậy răng bị mẻ có trám được không và kỹ thuật trám răng mẻ là như thế nào? Hãy tham khảo bài viết sau để tìm hiểu về vấn đề này nhé.

    Yếu tố nào gây nên tình trạng mẻ răng?

    Mẻ răng là gì?

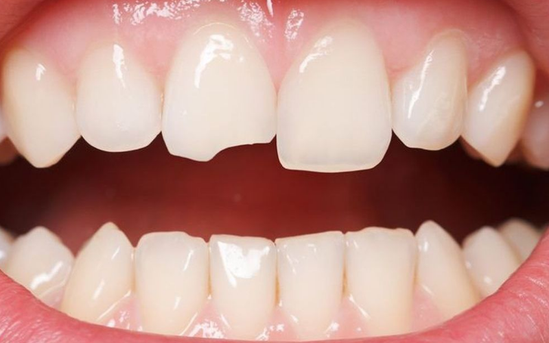
    Răng bị mẻ có trám được không và quy trình trám răng bị mẻ thế nào? 1 Răng bị mẻ có trám được không là thắc mắc của nhiều người đang bị mẻ răng

    Mẻ răng là hiện tượng răng bị mất một phần nhỏ trong cấu trúc của răng tại phần mọc ngoài hàm - lợi, thậm chí có thể mẻ một phần chân răng. Thường thì vị trí bị mẻ sẽ ở vùng đỉnh răng hoặc ở cạnh cắn. Bản thân men răng được xem là phần mô cứng chắc nhất trong cơ thể nhưng chỉ là thành phần khoáng hóa bao phủ bề mặt răng và vẫn có giới hạn về sức chịu lực. Cũng vì thế răng có thể bị mẻ khi có lực nhất định tác động vào.

    Nguyên nhân nào gây mẻ răng?

    Dù răng là một bộ phần cứng trong cơ thể nhưng vẫn có thể chịu tác động bởi ngoại lực, vi khuẩn, nhiệt độ… Các trường hợp răng bị mẻ vỡ do va đập mạnh, chấn thương thì triệu chứng rất rõ ràng. Nhưng có một số trường hợp không biết tại sao răng tự nhiên bị mẻ.

    Nếu răng bị mẻ tự nhiên có thể do một trong những trường hợp dưới đây:

    • Răng bị bào mòn tự nhiên do ăn các thực phẩm có tính axit, chúng bám trên răng và kết hợp với vi khuẩn gây hại trong khoang miệng. Ban đầu chúng ăn mòn lớp men răng, nghiêm trọng hơn sẽ ăn sâu bên trong ngà răng và tủy răng gây viêm tủy răng, khiến bạn đau nhức dai dẳng.
    • Răng bị mẻ vỡ tự nhiên có thể là dấu hiệu của răng thiếu canxi, đây là chất dinh dưỡng quan trọng quyết định đến độ chắc khỏe của răng.
    • Ở những người có thói quen lúc ngủ hay nghiến răng thì về lâu dài sẽ làm răng suy yếu dần và có nguy cơ gãy vỡ răng rất cao.
    • Thói quen dùng răng để mở nắp chai, cắn móng tay hay ăn các vật cứng có thể là nguyên nhân dẫn đến tình trạng răng bị mẻ vỡ tự nhiên.
    • Chơi thể thao nhưng không đeo dụng cụ bảo vệ răng.
    • Ăn các loại thực phẩm không lành mạnh như bánh kẹo, hoa quả, nước ngọt... khiến cho miệng phải tăng tiết axit làm hại đến men răng, dễ gây sâu răng.
    • Ợ nóng và trào ngược dạ dày làm cho axit trào ngược từ dạ dày lên miệng và gây ảnh hưởng men răng.
    • Rối loạn ăn uống hay nghiện rượu dễ gây nôn và tăng axit trong miệng, tăng nguy cơ bị mẻ răng.
    • Men răng bị yếu do tuổi tác và dễ mẻ.
    Răng bị mẻ có trám được không và quy trình trám răng bị mẻ thế nào? 2 Thói quen cắn vật cứng là một trong những nguyên nhân gây nên tình trạng mẻ răng

    Răng bị mẻ có trám được không?

    Các nha sĩ thường khuyến cáo nên khắc phục sớm tình trạng răng bị sứt mẻ vì không chỉ ảnh hưởng lớn đến thẩm mỹ mà còn khiến việc ăn nhai khó khăn, làm giảm hiệu quả nghiền nát thức ăn. Trong trường hợp này, giải pháp trám răng sứt mẻ là sự lựa chọn nhanh chóng và hiệu quả giúp tái tạo hình thể của răng và cải thiện khuyết điểm.

    Trám răng sứt mẻ là gì?

    Hàn trám răng sứt mẻ là kỹ thuật nha khoa khá đơn giản, nha sĩ sẽ dùng chất liệu trám bít nha khoa chuyên dụng để hàn vị trí bị sứt mẻ và phục hình lại răng.

    Nha sĩ sẽ tư vấn chất liệu hàn trám cho phù hợp tùy vào tình trạng khuyết điểm, vị trí răng. Các vật liệu trám răng phổ biến đang được sử dụng phục hình răng bị mẻ gồm: Composite, chất liệu sứ, Amalgam, Gic, kim loại…

    Hiện kỹ thuật này rất phổ biến và được các nha sĩ khuyến cáo thực hiện bởi các ưu điểm sau:

    • Khôi phục hình dáng răng nhanh chóng, mang đến hàm răng đều đẹp, đạt tính thẩm mỹ cao hơn.
    • Với công nghệ mới và các chất liệu mới, hàn trám răng đảm bảo độ bền cao, sử dụng dài lâu và không lo miếng trám bị bong tróc.
    • Trám răng là giải pháp an toàn, không lo bị kích ứng hay ảnh hưởng nướu răng, bảo tồn được răng thật.
    • Thực hiện nhanh, chi phí thấp hơn nhiều so với bọc răng sứ.

    Trám răng mẻ có bền không?

    Dù với công nghệ hiện đại cho miếng trám có độ bền cao. Tuy nhiên đây cũng chỉ là một giải pháp tạm thời, vì sau một thời gian dài sử dụng, miếng trám răng sẽ để lộ nhược điểm, đặc biệt khi miếng trám nằm ở vị trí răng cửa. Cụ thể những nhược điểm đó gồm:

    • Miếng trám răng sẽ dễ bị nhiễm màu thực phẩm, ố vàng sau một khoảng thời gian sử dụng, làm cho màu răng thật và màu của miếng trám không đồng nhất, gây mất thẩm mỹ cho răng.
    • Nếu miếng trám nằm ở cạnh răng cửa sẽ có độ chịu lực rất thấp, một lực cắn quá mạnh sẽ dễ dàng làm cho miếng trám bị bong tróc, nứt vỡ ra.
    • Ngoài ra, chỉ tầm khoảng 1 - 2 năm là bạn phải mất thời gian và chi phí để thay lại miếng trám mới do tuổi thọ của miếng trám không cao.

    Để khắc phục được những nhược điểm trên của phương pháp trám răng, bạn có thể thay thế bằng phương pháp bọc răng sứ để phục hình răng bị vỡ mẻ, đảm bảo vừa tính thẩm mỹ vừa chức năng ăn nhai.

    Quy trình trám răng sứt mẻ chuẩn quốc tế

    Răng bị mẻ có trám được không và quy trình trám răng bị mẻ thế nào? 3 Nha sĩ sẽ khám răng để xác định tình trạng mẻ, vỡ từ đó chọn phương pháp điều trị phù hợp

    Bước 1: Xác định tình trạng khuyết điểm răng

    Nha sĩ sẽ thăm khám để xác định tình trạng vỡ, mẻ cụ thể của răng. Nếu tình trạng bị mẻ, vỡ quá lớn thì nha sĩ chỉ định phương pháp khác nhằm mang lại hiệu quả cao nhất.

    Bước 2: Vệ sinh răng miệng

    Trước khi trám răng, nha sĩ sẽ cạo vôi răng, vệ sinh răng và khoang miệng sạch sẽ đồng thời điều trị các bệnh viêm nha chu nếu có. Đây là bước rất cần thiết và bắt buộc để đảm bảo quá trình điều trị hiệu quả, tránh tình trạng lây lan bệnh lý răng miệng.

    Bước 3: Trám răng

    Nha sĩ vệ sinh vị trí trám răng một lần nữa để gia tăng sự kết dính giữa chất liệu trám bít và bề mặt răng. Sau đó, bôi keo sinh học lên răng và đặt miếng trám lên chỗ mẻ, chiếu đèn để miếng trám gắn kết lại chắc chắn.

    Bước 4: Hướng dẫn chăm sóc răng

    Nha sĩ hướng dẫn bạn cách chăm sóc răng miệng, những lưu ý khi ăn uống khi về nhà như: Trong thời gian đầu, tránh ăn những thức ăn quá cứng hoặc có độ dính cao, đánh răng với bàn chải mềm đúng quy định, loại bỏ thức ăn ở kẽ răng bằng chỉ nha khoa…

    Tóm lại, với thắc mắc răng bị mẻ có trám được không, câu trả lời là có thể trám răng bị mẻ. Tuy nhiên, bạn cần hỏi ý kiến nha sĩ để xem xét tình trạng mẻ răng ở mức độ nào, từ đó lựa chọn nên trám răng hay dùng phương pháp khác để phục hình răng mẻ.

    Quỳnh Trang

    Nguồn tham khảo: Tổng hợp

    Thông tin và sản phẩm gợi ý trong bài viết chỉ mang tính chất tham khảo, vui lòng liên hệ với Bác sĩ, Dược sĩ hoặc chuyên viên y tế để được tư vấn cụ thể. Xem thêm