Tốt nghiệp Khoa Dược trường Đại học Nam Cần Thơ. Có nhiều năm kinh nghiệm công tác trong lĩnh vực Dược phẩm. Hiện đang giảng viên cho Dược sĩ tại Nhà thuốc Long Châu.
Thanh Hương
24/12/2024
Mặc định
Lớn hơn
Biểu mô trụ giả tầng có lông chuyển là loại biểu mô lót ở đường hô hấp. Vậy nó có đặc điểm, cấu trúc, chức năng như thế nào? Cùng Nhà thuốcLong Châu tìm hiểu về biểu mô trụ giả tầng có lông chuyển ngay bây giờ bạn nhé!
Có khoảng 70 ngàn tỷ tế bào trong cơ thể con người. Trong số 70 ngàn tế bào đó có một loại tế bào là tế bào biểu mô. Nhiều lớp tế bào khác biểu mô khác nhau cấu trúc thành biểu mô, lót ở mặt ngoài cơ thể, mặt trong các tạng và mặt trong các khoang tự nhiên của cơ thể. Có một loại biểu mô lót bên trong đường hô hấp được gọi là biểu mô trụ giả tầng có lông chuyển.
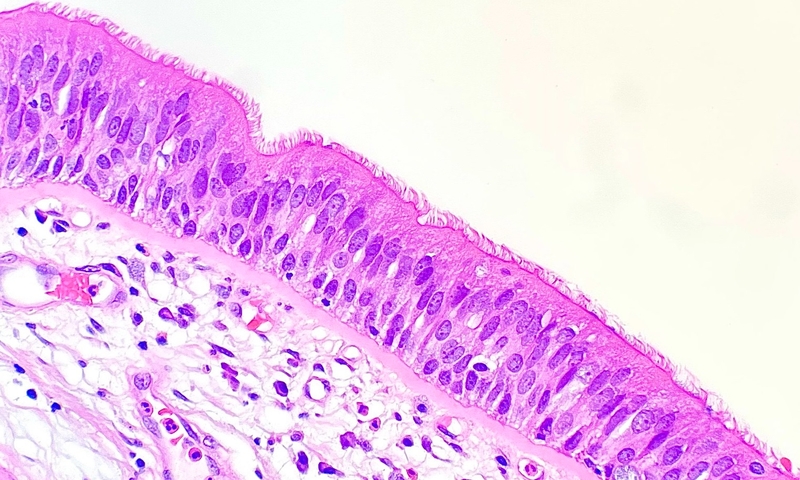
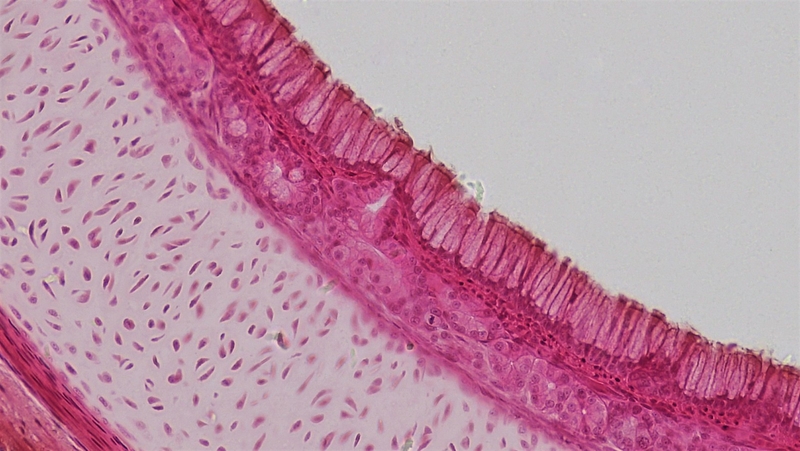
Biểu mô trụ giả tầng có lông chuyển là một loại mô biểu bì đặc biệt, với các tế bào có hình dạng trụ và được phủ lông chuyển trên bề mặt. Điều này cho phép mô có khả năng di chuyển các chất nhầy và hạt bụi dọc theo bề mặt biểu mô. Tên gọi “giả tầng” xuất phát từ sự sắp xếp đặc biệt của các tế bào. Mặc dù tất cả các tế bào đều tiếp xúc với màng đáy, nhưng chúng có chiều cao khác nhau, tạo ra ấn tượng rằng chúng xếp thành nhiều tầng.

Cấu trúc tế bào biểu mô trụ giả tầng có lông chuyển gồm có:
Biểu mô trụ giả tầng có lông chuyển có chức năng vô cùng quan trọng.
Trên bề mặt của các tế bào biểu mô này, lông thực hiện các chuyển động phối hợp để di chuyển lớp chất nhầy cùng với các hạt bụi, vi khuẩn và các tạp chất khác ra khỏi đường hô hấp. Chất nhầy được tiết ra bởi các tế bào goblet, hay còn gọi là tế bào tiết nhầy, nằm xen kẽ giữa các tế bào trụ. Chất nhầy có độ nhớt cao, giúp bắt giữ và bẫy các hạt bụi, vi khuẩn và các tác nhân gây hại khác từ không khí hít vào.

Khi các chất nhầy này đến họng, chúng có thể được nuốt vào dạ dày, nơi acid dịch vị sẽ tiêu diệt các vi khuẩn và virus, hoặc được ho ra ngoài, loại bỏ hoàn toàn khỏi cơ thể. Cơ chế này giúp ngăn chặn các tác nhân gây hại tiếp cận và xâm nhập sâu vào hệ thống hô hấp, bảo vệ phổi và các phần khác của đường hô hấp khỏi nhiễm trùng và các bệnh lý.
Biểu mô trụ giả tầng có lông chuyển còn có khả năng phản ứng nhanh chóng với các kích thích từ môi trường như khói, hóa chất hoặc dị nguyên, bằng cách tăng cường tiết chất nhầy và đẩy mạnh hoạt động của lông chuyển. Điều này giúp loại bỏ nhanh chóng các tác nhân gây hại trước khi chúng có thể gây tổn thương nghiêm trọng cho hệ thống hô hấp.
Như đã nói ở trên, biểu mô trụ giả tầng có lông chuyển chủ yếu lót trong các phần của đường hô hấp như mũi, khí quản, phế quản. Tuy nhiên, nó cũng được tìm thấy trong ống dẫn tinh và mào tinh - các cấu trúc quan trọng trong hệ sinh dục nam. Tại đây, lông chuyển giúp vận chuyển tinh trùng từ mào tinh đến ống dẫn tinh, hỗ trợ quá trình trưởng thành và di chuyển của tinh trùng.

Các bệnh liên quan đến biểu mô trụ giả tầng có lông chuyển thường gặp nhất như:
Viêm phổi là tình trạng viêm nhiễm ở các phế nang và mô phổi. Viêm phế quản là viêm nhiễm ở các ống phế quản. Cả hai bệnh này có thể gặp ở bất cứ ai trong chúng ta, nhưng thường gặp nhất là trẻ em và người cao tuổi.
Viêm phổi và viêm phế quản đều có thể làm tổn thương biểu mô trụ giả tầng có lông chuyển, làm giảm khả năng của lông chuyển trong việc loại bỏ các hạt bụi và vi khuẩn khỏi đường hô hấp. Khi đó, chất nhầy không thể được di chuyển hiệu quả, dẫn đến sự tích tụ chất nhầy và các tác nhân gây hại trong phổi, gây khó thở và nhiễm trùng kéo dài.
Bệnh xơ nang (cystic fibrosis) là một bệnh di truyền ảnh hưởng đến các tế bào tiết chất nhầy, mồ hôi và dịch tiêu hóa. Bệnh có thể đe dọa đến tính mạng của người bệnh. Khi mắc căn bệnh này, người bệnh phải đối mặt với tình trạng nhiễm trùng mạn tính được biểu hiện qua ho đờm, thở khò khè, buồn nôn, nôn, rối loạn giấc ngủ. Khi bệnh tiến triển nặng sẽ xuất hiện triệu chứng co rút cơ liên sườn, biến dạng lồng ngực, ngón tay dùi trống, giảm khả năng hoạt động thể lực. Ngoài ra, người bệnh còn dễ bị polyp mũi và viêm xoang mãn tính/tái phát.
Ở người mắc bệnh xơ nang, chất nhầy trở nên dày và dính, làm tắc nghẽn các ống dẫn trong phổi và các cơ quan khác. Lông chuyển trong biểu mô trụ giả tầng không thể di chuyển chất nhầy dày này, dẫn đến sự tích tụ chất nhầy trong đường hô hấp, gây nhiễm trùng và tổn thương phổi nghiêm trọng.

Việc tìm hiểu kiến thức về biểu mô trụ giả tầng có lông chuyển đã giúp y học ứng dụng trong điều trị bệnh đường hô hấp. Hiểu biết về chức năng của biểu mô trụ giả tầng có lông chuyển giúp phát triển các biện pháp điều trị hiệu quả cho các bệnh đường hô hấp như: Viêm phổi, viêm phế quản và bệnh xơ nang (cystic fibrosis). Các liệu pháp nhắm vào việc cải thiện chức năng của lông chuyển hoặc tăng cường sản xuất chất nhầy có thể giúp giảm triệu chứng và ngăn ngừa nhiễm trùng.
Trong lĩnh vực sinh sản, nghiên cứu về biểu mô này có thể giúp cải thiện kỹ thuật hỗ trợ sinh sản, như thụ tinh trong ống nghiệm (IVF), bằng cách tối ưu hóa môi trường cho sự vận chuyển và trưởng thành của tinh trùng.
Biểu mô trụ giả tầng có lông chuyển đóng vai trò quan trọng trong việc bảo vệ và duy trì chức năng của đường hô hấp. Nó cũng đóng vai trò nhất định trong cơ quan sinh dục nam giới. Hiểu biết về các bệnh liên quan đến biểu mô trụ giả tầng có lông chuyển không chỉ giúp chúng ta bảo vệ sức khỏe tốt hơn mà còn mở ra nhiều hướng phát triển mới trong y học và khoa học.
Xem thêm:
Dược sĩ Đại họcNguyễn Thị Thảo Nguyên
Tốt nghiệp Khoa Dược trường Đại học Nam Cần Thơ. Có nhiều năm kinh nghiệm công tác trong lĩnh vực Dược phẩm. Hiện đang giảng viên cho Dược sĩ tại Nhà thuốc Long Châu.