Tốt nghiệp Đại Học Dược Hà Nội - chuyên môn Dược lâm sàng. Hiện đang là giảng viên cho Dược sĩ tại Nhà thuốc Long Châu.
Ánh Vũ
08/06/2024
Mặc định
Lớn hơn
Schwannoma là loại khối u hiếm gặp và có thể xuất hiện ở não bộ hoặc nhiều vị trí khác trong cơ thể. Những người mắc phải u schwannoma có thể phải đối mặt với nhiều vấn đề liên quan đến vận động và những biến chứng khác. Vậy nguyên nhân và triệu chứng của u schwannoma là gì? Chẩn đoán và điều trị loại u này như thế nào?
U schwannoma là loại u lành tính có thể xảy ra ở bất kỳ vị trí nào trong hệ thần kinh ngoại biên. Người mắc phải căn bệnh này thường gặp khó khăn trong vấn đề vận động cũng như phải đối mặt với nhiều biến chứng khác. Nhà thuốc Long Châu sẽ chia sẻ với bạn đọc những thông tin hữu ích về nguyên nhân, triệu chứng, phương pháp chẩn đoán cũng như điều trị u schwannoma trong bài viết dưới đây nhé!
Schwannoma là những khối u hiếm gặp và chúng được phát sinh từ các tế bào schwannoma nằm trong vỏ bọc thần kinh. U schwannoma thường được tìm thấy trong hệ thống thần kinh trung ương, tủy sống hoặc hệ thống các dây thần kinh ngoại biên của cơ thể. Ngoài ra, loại u này còn được tìm thấy trong đường tiêu hoá, ổ bụng và trung thất.
Nhóm tuổi có nguy cơ cao mắc bệnh u schwannoma trung bình là từ 20 - 50 tuổi và thường gặp ở nữ giới nhiều hơn nam giới. Đôi khi, người bệnh phát hiện mắc phải loại u này khi đi khám sức khỏe hoặc xuất hiện các biểu hiện khối u chèn ép vào các cơ quan lân cận.
Tuỳ vào từng cơ quan bị tổn thương như hệ thống thần kinh trung ương mà kích thước của khối u thường nhỏ. Tuy nhiên, tại một số vị trí khác như đường tiêu hoá, ổ bụng hay trung thất, có thể gặp các khối u schwannoma lớn với những đặc điểm như vôi hoá, xơ hoá hoặc tổn thương dạng u nang.

U schwannoma thường liên quan trực tiếp đến hệ thần kinh trung ương, dây thần kinh ngoại biên và tuỷ sống. Vậy nguyên nhân gây ra u schwannoma là gì?
Theo đó, schwannoma là u thần kinh ngoại biên lành tính, tuy nhiên nguyên nhân gây ra bệnh thường không được xác định rõ ràng. Có một vài trường hợp người bệnh mắc phải bệnh lý này là do di truyền, phẫu thuật hoặc do chấn thương.
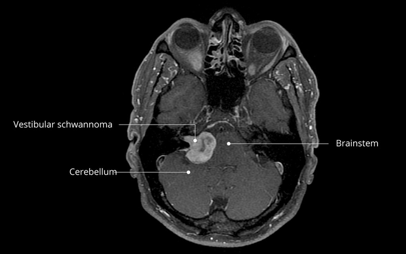
Một số loại u schwannoma có thể gây dị dạng hoặc phì đại cột sống hoặc vùng xương chậu. Mặc dù u schwannoma phát triển tương đối chậm, tuy nhiên việc loại bỏ sẽ gặp khó khăn hơn nếu khối u phát triển với kích thước lớn. Trong trường hợp hiếm gặp, người mắc phải u schwannoma ở khu vực nào bộ (schwannoma tiền đình) thì có thể bị mất thăng bằng hoặc gặp phải các vấn đề về thính lực.
U schwannoma thường phát triển theo hướng đơn lẻ, tuy nhiên cũng có một vài trường hợp bệnh nhân có khối u schwannoma ở cả cánh tay, chân hoặc các vị trí khác trên cơ thể. Tình trạng này được gọi là schwannomatosis và là một dạng hiếm gặp của u sợi thần kinh.
Các triệu chứng của u schwannoma thường xuất hiện khi khối u tác động trực tiếp vào bên trong của dây thần kinh hoặc khối u gây áp lực bên ngoài vào các mô, mạch máu và dây thần kinh gần đó.
Khi khối u schwannoma phát triển thì các triệu chứng bệnh sẽ biểu hiện rõ ràng hơn. Tuỳ thuộc vào vị trí của các khối u mà bác sĩ có thể xác định được khu vực nào trên cơ thể có nguy cơ bị ảnh hưởng. Chính vì vậy, kích thước khối u không phải là yếu tố chính gây ra một số triệu chứng bệnh.
Các triệu chứng của bệnh là khác nhau, tùy thuộc vào vị trí của khối u cũng như mô bị ảnh hưởng. Dưới đây là một số triệu chứng có thể gặp như:

Hầu hết các khối u schwannoma không gây nguy hiểm đến tính mạng của người mắc phải. Tuy nhiên, mặc dù là u lành tính nhưng nếu khối u phát triển lớn sẽ chèn ép vào các cấu trúc xung quanh và có thể gây ra những biến chứng nguy hiểm.
Theo thống kê, có khoảng 5% trường hợp mắc u schwannoma phát triển thành u ác tính và được gọi là sarcoma mô mềm. Trong trường hợp chẩn đoán xác định là u ác tính thì người bệnh cần được can thiệp điều trị sớm nhằm hạn chế nguy cơ xảy ra các biến chứng nghiêm trọng, thậm chí là tử vong. Những phương pháp được lựa chọn để điều trị sarcoma mô mềm là xạ trị, hoá trị và phẫu thuật. Trong trường hợp cần thiết, bác sĩ có thể sẽ cân nhắc đến việc kết hợp các phương pháp với nhau để đạt được hiệu quả điều trị tối ưu nhất.
Các bác sĩ có thể chẩn đoán xác định u schwannoma bằng cách:
Sau khi đã thăm khám lâm sàng và dựa vào kết quả chẩn đoán cận lâm sàng, bác sĩ sẽ cân nhắc đưa ra phác đồ cũng như phương pháp điều trị phù hợp cho từng bệnh nhân.

Đối với điều trị u schwannoma thì phương pháp tốt nhất và triệt để nhất là tiến hành phẫu thuật bóc tách u vi phẫu. Phương pháp u schwannoma cần được thực hiện tại những cơ sở y tế uy tín cùng với đội ngũ bác sĩ chuyên khoa giàu kinh nghiệm, có chuyên môn cao và đồng thời phải có đầy đủ các phương tiện, kỹ thuật hiện đại.
Do đó, khi phát hiện ra các dấu hiệu nghi ngờ hoặc đã được chẩn đoán mắc phải u schwannoma thì người bệnh nên đến các bệnh viện đảm bảo về chuyên môn cũng như kỹ thuật để tiến hành điều trị phẫu thuật loại bỏ khối u. Bên cạnh đó, sau khi đã phẫu thuật ổn định, người bệnh cần phải đi khám định kỳ 3 tháng/lần để kiểm soát tình trạng sức khỏe tốt hơn.
Thông thường, khối u schwannoma sẽ được loại bỏ hoàn toàn và không để lại di chứng cho bệnh nhân sau phẫu thuật.

Tóm lại, u schwannoma là khối u lành tính và không gây ảnh hưởng nhiều đến sức khoẻ và tính mạng của người bệnh. Tuy nhiên, bệnh có thể gây ra một số biến chứng và làm ảnh hưởng đến sức khỏe cũng như chất lượng cuộc sống của người bệnh khi khối u phát triển lớn hơn. Vì thế, người bệnh cần thực hiện đúng theo chỉ định trong điều trị của bác sĩ sau khi đã được chẩn đoán mắc phải căn bệnh này.
Xem thêm:
:format(webp)/KF_1b_LIQ_Tx_J_Pb27_Vsh90_QN_6b_Xz_OB_Jo_U_f0e2294e2e.png)
Dược sĩ Đại họcNguyễn Chí Chương
Tốt nghiệp Đại Học Dược Hà Nội - chuyên môn Dược lâm sàng. Hiện đang là giảng viên cho Dược sĩ tại Nhà thuốc Long Châu.