Tốt nghiệp Khoa Dược trường Đại học Nam Cần Thơ. Có nhiều năm kinh nghiệm công tác trong lĩnh vực Dược phẩm. Hiện đang giảng viên cho Dược sĩ tại Nhà thuốc Long Châu.
Thị Hằng
12/07/2024
Mặc định
Lớn hơn
Khi chân răng bị đen và chảy máu, chúng ta cần làm rõ căn nguyên của vấn đề. Sau đó tìm cách can thiệp để cải thiện tình hình và không để hiện tượng trên tái diễn trong tương lai.
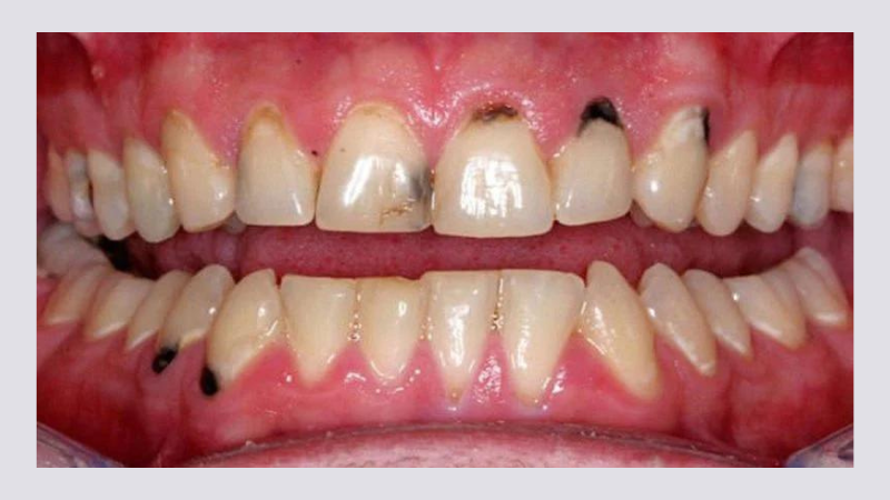
Chân răng bị đen và chảy máu thường có liên quan đến viêm nhiễm tại chỗ, hiếm khi phát sinh do các vấn đề sức khỏe có nguồn gốc từ khu vực khác. Bài viết dưới đây sẽ giúp bạn làm rõ nguyên nhân và đưa ra các giải pháp giúp ngăn ngừa cũng như khắc phục hiệu quả vấn đề này.
Chân răng bị đen và chảy máu có thể phát sinh từ những nguyên nhân sau:
Bản chất của cao răng chính là các mảng/vụn thức ăn không được loại bỏ nên lâu ngày chúng bị vôi hóa và bám chắc vào phần chân răng. Thành phần này càng để lâu thì càng dày lên và chuyển màu nâu đen. Chúng không chỉ gây mất thẩm mỹ mà còn kéo theo sự khu trú của vi khuẩn, gây viêm nhiễm, kích ứng nướu và dẫn đến hiện tượng chảy máu.
So với cao răng thì vấn đề này có phần nghiêm trọng hơn. Thực trạng trên có liên quan đến hoạt động phân giải mảng bám thức ăn của vi khuẩn. Quá trình trên sản sinh ra axit lactic và thành phần gây hại này sẽ hủy hoại men răng. Hệ quả là bề mặt răng có màu nâu, thủng lỗ chỗ, dễ gây chết tủy, viêm lợi và làm phát sinh hiện tượng xuất huyết.

Hiện tượng này thường xảy ra khi bạn bọc răng sứ kim loại. Sau một thời gian sử dụng, lớp sứ bên ngoài bị bào mỏng, để lộ phần hợp kim bên trong. Thành phần đang xét sẽ nhanh chóng bị oxy hóa và chuyển màu thâm đen, đặc biệt là ở khu vực tiếp giáp với lợi (chân răng). Cùng với sự biến đổi này thì tình trạng tụt lợi có thể xảy ra và gây chảy máu chân răng.
Khi vùng nướu bị tấn công bởi vi khuẩn gây hại, xuất hiện tình trạng viêm nhiễm, sưng đỏ thì khu vực chân răng cũng chuyển màu thâm xỉn và rất dễ bị chảy máu. Nếu không can thiệp kịp thời, viêm lợi đơn thuần có thể tiến triển thành viêm nha chu (nhiễm trùng nướu răng ở cấp độ nặng) với nhiều hệ lụy khó lường.
Ngoài những lý do phổ biến nói trên thì hiện tượng chân răng bị đen và chảy máu có thể do thiếu vitamin K, thay đổi nội tiết tố, yếu gan, tiểu đường, ảnh hưởng của thuốc hoặc ung thư. Tuy nhiên, như đã nhắc qua ở phần đầu bài viết, đây đều là những nguyên nhân ít gặp. Chúng chỉ được xét đến trong trường hợp đã loại trừ các nguyên nhân trọng yếu vừa đề cập.
Khi chân răng bị đen và xuất huyết, bạn có thể phải đối diện với nhiều vấn đề như:

Để khắc phục tình trạng này thì tùy mức độ, bạn có thể can thiệp tại nhà hoặc tìm đến bác sĩ chuyên khoa.
Khi tự điều trị tại nhà, bạn có thể áp dụng một số cách sau:

Đây là giải pháp can thiệp hiệu quả, có thể điều trị dứt điểm tình trạng chân răng đen và chảy máu chỉ sau thời gian ngắn. Dưới đây là một số phương pháp được sử dụng phổ biến nhất.

Để chân răng không chuyển màu nâu đen và rỉ máu thì bạn cần chú ý đến những điều sau:
Chân răng bị đen và chảy máu vừa ảnh hưởng đến tính thẩm mỹ, vừa tiềm ẩn nguy cơ gây hại cho sức khỏe. Vậy nên bạn hãy làm theo hướng dẫn trên để ngăn ngừa và khắc phục nhanh tình trạng này nhé!
Xem thêm:
Dược sĩ Đại họcNguyễn Thị Thảo Nguyên
Tốt nghiệp Khoa Dược trường Đại học Nam Cần Thơ. Có nhiều năm kinh nghiệm công tác trong lĩnh vực Dược phẩm. Hiện đang giảng viên cho Dược sĩ tại Nhà thuốc Long Châu.