Tốt nghiệp đại học Khoa Dược. Có kinh nghiệm hơn 10 năm trong lĩnh vực Dược phẩm, tư vấn thuốc và thực phẩm chức năng. Hiện đang là giảng viên cho Dược sĩ tại Nhà thuốc Long Châu.
Minh Nhật
27/08/2024
Mặc định
Lớn hơn
Chảy máu chân răng là dấu hiệu cho thấy có tổn thương lợi, bệnh lý răng miệng hoặc cơ thể thiếu vitamin K. Việc tìm hiểu nguyên nhân chảy máu chân răng giúp bạn đọc biết cách phòng ngừa và điều trị dứt điểm tình trạng này.
Chảy máu chân răng là tình trạng khá thường gặp, có thể xuất hiện sau khi bạn sử dụng chỉ nha khoa, đánh răng, dùng thức ăn quá cứng. Nếu tình trạng này nặng hơn bạn có thể bị chảy máu ngay cả khi không làm gì. Cùng tìm hiểu về các nguyên nhân chảy máu chân răng qua bài viết dưới đây.
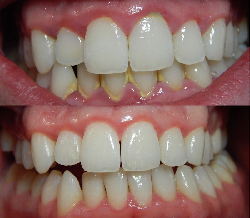
Chảy máu chân răng thực chất ra là chảy máu lợi, thường xảy ra khi bạn đánh răng. Người bị chảy máu chân răng thường đi kèm với các biểu hiệu như hôi miệng, sưng nướu hoặc viêm lợi.
Có nhiều nguyên nhân chảy máu chân răng, đa số trong đó không quá nguy hiểm và có điều trị dứt điểm. Chảy máu chân răng là triệu chứng phổ biến của một số bệnh thường gặp như:
Viêm lợi là nguyên nhân chảy máu chân răng phổ biến, xảy ra do thói quen vệ sinh răng miệng không tốt, không loại bỏ hết thức ăn thừa hoặc cao răng bám ở chân răng, làm lợi bị tổn thương và sưng viêm. Đặc biệt hơn, mặt răng càng tích tụ nhiều thức ăn và cao răng thì càng dễ gây chảy máu.
Nếu do nguyên nhân này, người bệnh nên đến các cơ sở nha khoa uy tín để vệ sinh răng miệng và lấy cao răng. Khi đó tình trạng chảy máu chân răng sẽ được cải thiện.

Sâu ở kẽ răng là nơi bàn chải đánh răng rất khó tiếp cận, do đó việc làm sạch đôi khi không được đảm bảo, từ đó thức ăn thừa dễ dính lại tại lỗ sâu răng. Ngay tại vị trí này có thể dễ dẫn đến nhiễm trùng chân răng, viêm lợi gây chảy máu.
Răng bị sâu khiến bạn có xu hướng tránh nhai ở bên sâu do sẽ gây đau buốt. Chính việc này càng khiến mảng bám cao răng đọng lại nhiều hơn, là nguyên nhân chảy máu chân răng. Do đó, việc vệ sinh răng miệng đúng cách và điều trị sâu răng là rất cần thiết, giúp bạn luôn có nụ cười tự tin.
Nguyên nhân chảy máu chân răng có thể xuất phát từ các bệnh lý quanh răng, tổn thương hoặc viêm nha chu. Khi đó cần điều trị sớm và triệt để, nhằm ngăn chặn mất máu nhiều. Đặc biệt, nguy hiểm hơn nếu để tình trạng này kéo dài thì lợi có thể bị tổn thương không hồi phục, gây ảnh hưởng rất lớn đến sức khỏe răng miệng và tính thẩm mỹ.
Chấn thương lợi thường xảy ra do chà xát mạnh lên răng, đánh răng quá mạnh, dùng chỉ nha khoa không đúng, lông bàn chải quá cứng, va đập vào lợi,...
Răng mọc lệch ảnh hưởng rất lớn đến khả năng vận động của khớp cắn, cũng như khiến việc vệ sinh răng miệng vất vả hơn. Nếu vệ sinh không đảm bảo, thức ăn có thể dễ dính lại tại các kẽ răng, rất dễ dẫn đến viêm lợi và chảy máu chân răng.
Đôi khi nguyên nhân chảy máu chân răng không bắt nguồn từ bệnh lý tại răng miệng, mà có thể do vấn đề sức khỏe hay bệnh lý khác trong cơ thể. Bao gồm:
Vitamin K tham gia vào quá trình đông máu trong cơ thể, do đó thiếu hụt chất này sẽ khiến bạn dễ chảy máu và khó cầm máu hơn. Thiếu hụt vitamin K thường do nguyên nhân sử dụng kháng sinh kéo dài, làm rối loạn hệ vi khuẩn đường ruột hoặc do chế độ ăn thiếu hụt vitamin K từ rau lá có màu xanh đậm. Chảy máu chân răng rất thường gặp ở những người thiếu hụt vitamin K.

Trong cuộc đời, phụ nữ sẽ trải qua nhiều giai đoạn mà nội tiết tố trong cơ thể thay đổi, dẫn đến các biểu hiện bên ngoài cũng khác đi. Có thể kể đến ba giai đoạn quan trọng là tuổi dậy thì, khi mang thai và giai đoạn mãn kinh. Cần lưu ý rằng, việc sử dụng thuốc tránh thai hoặc thuốc bổ sung nội tiết tố cũng gây ra những thay đổi cho cơ thể. Thay đổi hormone có thể dẫn đến chảy máu chân răng, tuy không quá phổ biến và nghiêm trọng.
Gan là cơ quan rất quan trọng, ảnh hưởng lớn đến sức khỏe và các quá trình chuyển hóa trong cơ thể. Cụ thể, gan nhận nhiệm vụ tổng hợp các yếu đông máu, thúc đẩy hình thành cục máu đông. Do đó, những đối tượng có bệnh lý ở gan như người suy gan, nghiện rượu, viêm gan sẽ thường xuyên bị chảy máu chân răng.

Nguyên nhân chảy máu chân răng có thể do tác dụng phụ của một số thuốc điều trị, bao gồm thuốc hóa trị ung thư, thuốc chống động kinh, thuốc giảm cơn đau tim,...
Viêm lợi và/hoặc chảy máu chân răng là một trong các biến chứng nhiễm trùng thường gặp của bệnh tiểu đường. Viêm lợi ở bệnh tiểu đường không dễ điều trị, bệnh nhân thường bị viêm lợi kéo dài, tổn thương quanh răng nặng và phải đối mặt với nguy cơ mất răng vĩnh viễn.
Chảy máu chân răng có thể là biểu hiện thường gặp của bệnh ung thư như bệnh bạch cầu, hay u đa tủy.
Ngoài các nguyên nhân vừa nêu trên, chảy máu chân răng còn có thể xảy ra ở người thường xuyên căng thẳng, điều trị xạ trị ung thư, nghiện hút thuốc lá hay người nhiễm HIV,...
Vậy là bạn đọc đã biết được nguyên nhân chảy máu chân răng do bệnh lý hoặc không do bệnh lý từ phần trên của bài viết. Để điều trị tình trạng chảy máu chân răng, bạn đọc nên đến các trung tâm nha khoa uy tín, khi đó nha sĩ sẽ đánh giá răng của bạn và thực hiện một trong các biện pháp sau:
Bạn cần loại bỏ hết cao răng, những mảng bám đang gây viêm lợi hoặc tụt lợi, sẽ giúp đẩy lùi tình trạng máu chảy tại chân răng. Tùy vào mức độ viêm lợi mà bác sĩ nha khoa có thể kê thêm thuốc để bạn mau chóng phục hồi hoàn toàn.

Nếu răng bạn đang bị sâu, nhiễm trùng răng thì cần phải điều trị ngay. Việc này giúp tránh các mảnh thức ăn thừa dính vào vị trí sâu, tạo điều kiện cho vi khuẩn phát triển gây viêm lợi.
Răng mọc lệch làm ảnh hưởng đến tính thẩm mỹ, giảm khả năng nhai và có thể gây ra viêm lợi, chảy máu chân răng. Lúc này nha sĩ sẽ tiến hành chỉnh lại răng lệch để bạn cảm thấy thoải mái hơn.
Nếu nguyên nhân gây chảy máu chân răng xuất phát từ triệu chứng hoặc biến chứng của bệnh lý, bạn nên đến bệnh viện để điều trị. Chảy máu chân răng không quá nguy hiểm, nhưng nó có thể là dấu hiệu cảnh báo bệnh lý răng miệng hoặc toàn thân.
Bài viết đã cung cấp cho các bạn đọc thông tin về các nguyên nhân chảy máu chân răng thường gặp. Để khắc phục tình trạng này cần bắt đầu từ việc xác định nguyên nhân gốc rễ và loại bỏ nó. Khi nhận thấy mình bị chảy máu chân răng, bạn đọc nên đi khám nha khoa để được chẩn đoán và điều trị sớm.
Xem thêm:
Dược sĩ Đại họcNguyễn Thị Hồng Nhung
Tốt nghiệp đại học Khoa Dược. Có kinh nghiệm hơn 10 năm trong lĩnh vực Dược phẩm, tư vấn thuốc và thực phẩm chức năng. Hiện đang là giảng viên cho Dược sĩ tại Nhà thuốc Long Châu.