Bác sĩ tốt nghiệp từ Đại học Y Hà Nội, có nhiều năm kinh nghiệm trong lĩnh vực Dinh dưỡng và Y học Dự phòng. Bác sĩ từng là giảng viên tại Trường Đại học Y tế Công cộng và cũng có kinh nghiệm thực tiễn chuyên sâu trong lĩnh vực tiêm chủng.
:format(webp)/62_nhiem_lau_cau_8273_629c_large_b0a562a1ce.jpg)
:format(webp)/62_nhiem_lau_cau_8273_629c_large_b0a562a1ce.jpg)
Bác sĩNguyễn Thị Nhung
Bác sĩ tốt nghiệp từ Đại học Y Hà Nội, có nhiều năm kinh nghiệm trong lĩnh vực Dinh dưỡng và Y học Dự phòng. Bác sĩ từng là giảng viên tại Trường Đại học Y tế Công cộng và cũng có kinh nghiệm thực tiễn chuyên sâu trong lĩnh vực tiêm chủng.
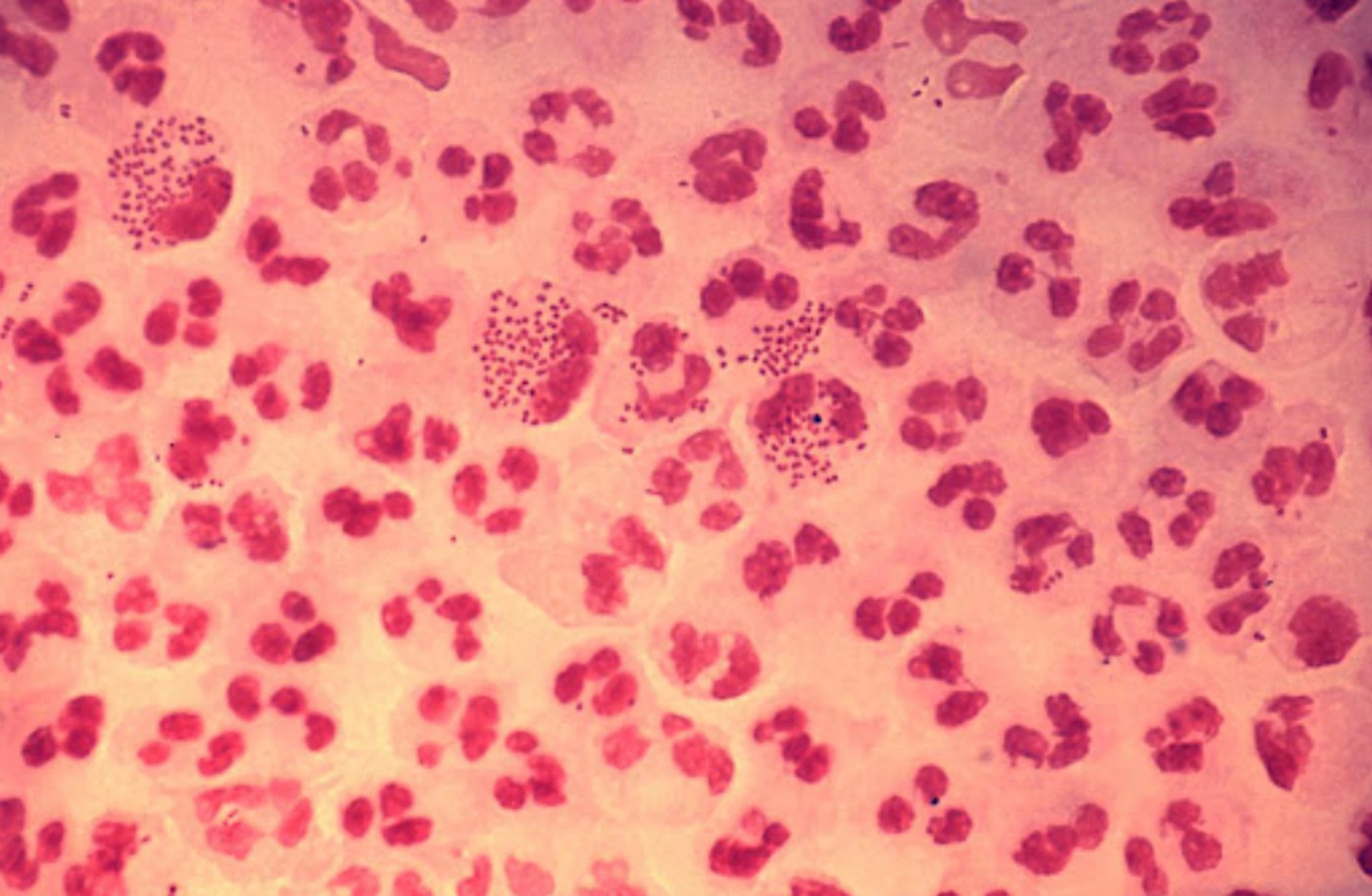
Bệnh lậu do vi khuẩn Neisseria gonorrhoeae gây ra, thường lây nhiễm vào biểu mô của cổ tử cung, trực tràng, niệu đạo, hầu họng hoặc kết mạc, gây kích ứng, đau và tiết dịch mủ. Vi khuẩn còn có thể di chuyển đến da và khớp (không phổ biến), gây ra các vết loét trên da, sốt và viêm đa khớp hoặc viêm khớp nhiễm trùng. Chẩn đoán bệnh bằng soi dưới kính hiển vi, nuôi cấy hoặc xét nghiệm khuếch đại acid nucleic. Điều trị bằng một số kháng sinh uống hoặc tiêm, tuy nhiên tình trạng kháng thuốc đang ngày càng gia tăng.
Neisseria gonorrhoeae là một loại song cầu khuẩn gram âm, chỉ nhiễm cho người và hầu như luôn lây truyền qua đường tình dục. Phổ biến nhất là nhiễm trùng niệu đạo và cổ tử cung, nhưng cũng có thể nhiễm ở hầu hoặc trực tràng sau khi giao hợp bằng miệng hoặc hậu môn và gây viêm kết mạc sau khi mắt bị nhiễm trùng.
Sau giao hợp qua âm đạo, khả năng lây truyền từ phụ nữ sang nam giới khoảng 20%, nhưng từ nam sang nữ có thể cao hơn.
Trẻ sơ sinh có thể bị nhiễm trùng kết mạc khi sinh thường và trẻ em có thể mắc bệnh lậu do lạm dụng tình dục.
10 - 20% phụ nữ bị lây nhiễm qua cổ tử cung, lan qua nội mạc tử cung đến ống dẫn trứng gây viêm vòi trứng và phúc mạc vùng chậu gây viêm vùng chậu (PID). Chlamydia hoặc vi khuẩn đường ruột khác cũng có thể gây ra PID. Viêm cổ tử cung do lậu cầu thường đi kèm với viêm ống dẫn Skene và tuyến Bartholin hoặc chứng tiểu khó. Ở một số bệnh nhân nam, viêm niệu đạo dần dần tiến triển thành viêm mào tinh hoàn.
Nhiễm lậu cầu lan tỏa (DGI) do lây lan theo đường máu xảy ra trong < 1% trường hợp, chủ yếu ở phụ nữ. Bệnh thường gây ảnh hưởng đến da, khớp và bao gân. Hiếm khi xảy ra viêm màng ngoài tim, viêm nội tâm mạc, viêm màng não và viêm quanh khớp.
Đồng nhiễm Chlamydia trachomatis xảy ra ở 35 - 50% nữ giới và 15 - 25% nam giới.
:format(webp)/SINHDUC_NHIEMLAUCAU_CAROUSEL_20240611_1_V1_2def6a46e0.png)
:format(webp)/SINHDUC_NHIEMLAUCAU_CAROUSEL_20240611_2_V1_3ea121ca88.png)
:format(webp)/SINHDUC_NHIEMLAUCAU_CAROUSEL_20240611_3_V1_e8b778d709.png)
:format(webp)/SINHDUC_NHIEMLAUCAU_CAROUSEL_20240611_4_V1_6be8584884.png)
:format(webp)/SINHDUC_NHIEMLAUCAU_CAROUSEL_20240611_5_V1_2a5a5c472f.png)
:format(webp)/SINHDUC_NHIEMLAUCAU_CAROUSEL_20240611_6_V1_8e76839430.png)
:format(webp)/SINHDUC_NHIEMLAUCAU_CAROUSEL_20240611_7_V1_ca0de2863a.png)
:format(webp)/SINHDUC_NHIEMLAUCAU_CAROUSEL_20240611_1_V1_2def6a46e0.png)
:format(webp)/SINHDUC_NHIEMLAUCAU_CAROUSEL_20240611_2_V1_3ea121ca88.png)
:format(webp)/SINHDUC_NHIEMLAUCAU_CAROUSEL_20240611_3_V1_e8b778d709.png)
:format(webp)/SINHDUC_NHIEMLAUCAU_CAROUSEL_20240611_4_V1_6be8584884.png)
:format(webp)/SINHDUC_NHIEMLAUCAU_CAROUSEL_20240611_5_V1_2a5a5c472f.png)
:format(webp)/SINHDUC_NHIEMLAUCAU_CAROUSEL_20240611_6_V1_8e76839430.png)
:format(webp)/SINHDUC_NHIEMLAUCAU_CAROUSEL_20240611_7_V1_ca0de2863a.png)
Khoảng 10 - 20% phụ nữ và rất ít nam giới nhiễm bệnh mà không có triệu chứng. Khoảng 25% nam giới có triệu chứng tối thiểu.
Viêm niệu đạo nam giới:
Thời gian ủ bệnh từ 2 - 14 ngày. Khi khởi phát có cảm giác khó chịu nhẹ ở niệu đạo, sau đó đau nhức dương vật nặng dần, tiểu khó và tiểu mủ. Tần suất mắc tiểu và tiểu gấp tăng khi nhiễm trùng lan đến niệu đạo sau. Khám phát hiện niệu đạo chảy mủ màu vàng xanh, có thể bị viêm.
Viêm mào tinh hoàn:
Thường gây đau, sưng và đau một bên bìu. Hiếm khi bị áp xe tuyến Tyson và Littre, áp xe lỗ niệu đạo hoặc nhiễm trùng tuyến Cowper, tuyến tiền liệt hoặc túi tinh.
Viêm cổ tử cung:
Thường có thời gian ủ bệnh > 10 ngày. Các triệu chứng bao gồm khó tiểu và tiết dịch âm đạo. Dịch cổ tử cung có mủ hoặc nhầy, cổ tử cung có thể sung huyết và dễ chảy máu khi chạm bằng dụng cụ mỏ vịt. Có thể bị viêm niệu đạo đồng thời; chảy mủ từ niệu đạo khi ấn vào lỗ âm đạo hoặc từ các ống dẫn Skene, tuyến Bartholin.
Hiếm khi, trẻ em gái trước tuổi dậy thì nhiễm lậu cầu do bị lạm dụng tình dục gây khó tiểu, tiết dịch âm đạo có mủ, và kích ứng âm hộ, ban đỏ và phù nề.
Viêm vùng chậu (PID):
Gặp phải ở 10 - 20% phụ nữ nhiễm lậu cầu. PID bao gồm viêm vòi trứng, viêm phúc mạc vùng chậu và áp xe vùng chậu, có thể gây khó chịu vùng bụng dưới (thường ở cả hai bên), đau khi giao hợp và đau rõ rệt khi sờ vào bụng, phần phụ hoặc cổ tử cung.
Hội chứng Fitz-Hugh-Curtis:
Là bệnh viêm quanh khớp do lậu cầu (hoặc Chlamydia) chủ yếu xảy ra ở phụ nữ và gây ra đau bụng hạ sườn phải, sốt, buồn nôn và nôn, triệu chứng giống bệnh gan mật.
Bệnh lậu trực tràng:
Thường không có triệu chứng, xảy ra chủ yếu ở nam giới giao hợp qua hậu môn và có thể ở phụ nữ quan hệ qua hậu môn. Các triệu chứng bao gồm ngứa trực tràng, tiết dịch trực tràng màu đục, chảy máu và táo bón. Khi soi có thể phát hiện sung huyết hoặc dịch mủ trên thành trực tràng.
Viêm họng do lậu cầu:
Thường không có triệu chứng nhưng có thể gây đau họng. Cần phân biệt N. gonorrhoeae với N. meningitidis và các vi khuẩn không gây hại hiện diện trong cổ họng.
Nhiễm lậu cầu lan tỏa (DGI):
Còn được gọi là hội chứng viêm da khớp, phản ánh nhiễm khuẩn huyết và thường biểu hiện bằng sốt, đau khi di chuyển, sưng khớp (viêm đa khớp) và tổn thương da mụn mủ. Ở một số bệnh nhân, cơn đau tiến triển và các gân (ở cổ tay hoặc mắt cá chân) đỏ lên hoặc sưng lên.
Tổn thương da thường xuất hiện trên cánh tay hoặc chân, màu đỏ và nhỏ, hơi đau và thường có mụn mủ. DGI có thể gây sốt, tổn thương da và viêm đa khớp (ví dụ: Tiền căn của nhiễm trùng viêm gan B hoặc nhiễm trùng não mô cầu) như các bệnh lý khác. Một số rối loạn khác (như viêm khớp phản ứng ) cũng có các triệu chứng ở bộ phận sinh dục.
Viêm khớp nhiễm khuẩn do lậu cầu:
Là một dạng DGI khu trú gây viêm khớp đau kèm theo tràn dịch, thường xảy ra ở 1 hoặc 2 khớp lớn như đầu gối, mắt cá chân, cổ tay hoặc khuỷu tay. Khởi phát thường cấp tính, kèm theo sốt, đau khớp dữ dội và hạn chế vận động. Các khớp bị nhiễm trùng bị sưng, vùng da có thể nóng và đỏ.
Vô sinh ở phụ nữ:
Bệnh lậu lây lan vào tử cung và ống dẫn trứng, gây ra viêm vùng chậu (PID). PID gây sẹo ở vòi trứng, nguy cơ biến chứng thai nghén và vô sinh cao.
Vô sinh ở nam giới:
Bệnh lậu có thể gây viêm mào tinh hoàn. Nếu không được điều trị có thể dẫn đến vô sinh.
Nhiễm trùng lây lan đến các khớp và các vùng khác trên cơ thể:
Vi khuẩn gây bệnh lậu có thể lây lan qua đường máu và nhiễm sang các bộ phận khác của cơ thể, bao gồm cả khớp. Sốt, phát ban, lở loét da, đau khớp, sưng tấy và cứng khớp có thể xảy ra.
Tăng nguy cơ nhiễm HIV/AIDS:
Mắc bệnh lậu khiến bệnh nhân dễ bị nhiễm virus suy giảm miễn dịch ở người (HIV) và tiến triển thành AIDS.
Các biến chứng ở trẻ sơ sinh:
Trẻ sơ sinh nhiễm bệnh lậu từ mẹ trong khi sinh có thể bị mù, lở loét trên da đầu và nhiễm trùng.
Nếu có bất kỳ triệu chứng nào nêu trên xảy ra, bạn nên liên hệ ngay với bác sĩ để được kiểm tra và tư vấn. Chẩn đoán và điều trị sớm sẽ giảm nguy cơ tăng nặng của bệnh và giúp bạn mau chóng hồi phục sức khỏe.
Bệnh lậu do vi khuẩn Neisseria gonorrhoeae gây ra. Vi khuẩn lậu thường được truyền từ người này sang người khác khi quan hệ tình dục, bao gồm cả quan hệ bằng miệng, hậu môn hoặc âm đạo.
Có, nhiễm lậu cầu có thể ảnh hưởng đến khả năng sinh con. Ở phụ nữ, nhiễm lậu có thể gây viêm vùng chậu (PID), dẫn đến sẹo vòi trứng và vô sinh. Ở nam giới, nó có thể gây viêm mào tinh hoàn, ảnh hưởng đến khả năng sinh sản.
Có, nhiễm lậu cầu có thể chữa khỏi bằng kháng sinh. Điều trị sớm và đúng cách giúp loại bỏ vi khuẩn và ngăn ngừa biến chứng. Tuy nhiên, nếu không được điều trị kịp thời, nhiễm lậu cầu có thể dẫn đến các vấn đề sức khỏe nghiêm trọng.
Nhiễm lậu cầu có thể nguy hiểm nếu không được điều trị. Nhiễm lậu cầu có thể gây ra vô sinh ở phụ nữ do viêm vùng chậu và sẹo vòi trứng và ở nam giới do viêm mào tinh hoàn. Nó cũng có thể lây lan đến các khớp và các bộ phận khác, tăng nguy cơ nhiễm HIV/AIDS và gây biến chứng nghiêm trọng ở trẻ sơ sinh như mù và nhiễm trùng da.
Có, nhiễm lậu cầu (lậu) có thể lây qua quan hệ tình dục không an toàn. Vi khuẩn lậu cầu có thể lây từ người này sang người khác qua tiếp xúc với dịch cơ thể bị nhiễm như dịch âm đạo, tinh dịch, hoặc dịch niệu đạo.
Kết quả xét nghiệm xác định nhiễm lậu cầu thường có sẵn trong khoảng 1 đến 7 ngày, tùy thuộc vào loại xét nghiệm và phòng thí nghiệm thực hiện. Xét nghiệm nước tiểu hoặc mẫu dịch niệu đạo có thể cho kết quả nhanh hơn, trong khi các xét nghiệm phết tế bào hoặc nuôi cấy có thể mất thời gian lâu hơn.
Hỏi đáp (0 bình luận)