Dược sĩ Đại học có nhiều năm kinh nghiệm trong việc tư vấn Dược phẩm và hỗ trợ giải đáp thắc mắc về Bệnh học. Hiện đang là giảng viên cho Dược sĩ tại Nhà thuốc Long Châu.
Ngọc Trang
08/08/2024
Mặc định
Lớn hơn
Trong số bạch cầu trong cơ thể, bạch cầu trung tính chiếm từ 50 - 75% với chức năng quan trọng là tấn công và tiêu diệt các tác nhân nấm, vi khuẩn để bảo vệ cơ thể. Bạch cầu trung tính tăng là dấu hiệu cảnh báo người bệnh đang mắc phải bệnh lý nguy hiểm và cần được điều trị kịp thời.
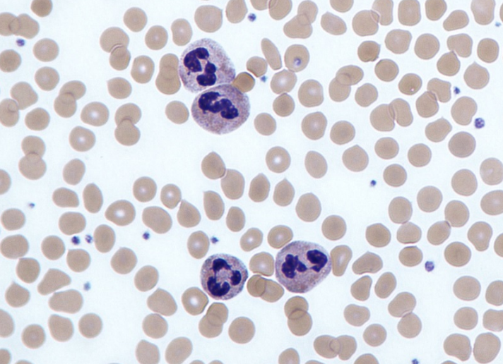
Bạch cầu trung tính (Neutrophil) hay gọi là bạch cầu đa nhân trung tính là một phân loại của bạch cầu được tạo ra từ tủy xương, có chức năng quan trọng là thực bào, nghĩa là tấn công các tác nhân như vi khuẩn, virus, ký sinh trùng,... ngay khi những sinh vật này xâm nhập vào cơ thể. Khi bạch cầu trung tính tăng cảnh báo cơ thể đang gặp phải tổn thương hay mắc bệnh lý nào đó cần được điều trị ngay.
Bạch cầu là một phần quan trọng trong hệ thống miễn dịch, chiếm khoảng 1% tổng tế bào máu của cơ thể. Bạch cầu trung tính chiếm 50% đến 75% tế bào bạch cầu và là các tế bào phản ứng đầu tiên khi ta bị nhiễm trùng hoặc có vết thương. Bạch cầu trung tính được sản xuất từ tủy xương. Do vòng đời của bạch cầu trung tính thường ít hơn một ngày nên tủy xương cần liên tục tạo ra tế bào bạch cầu trung tính mới.
Khi các tác nhân như vi khuẩn, nấm xâm nhập vào cơ thể, bạch cầu trung tính sẽ tấn công và phá hủy chúng ngay trong máu tuần hoàn. Vì vậy các trường hợp nhiễm trùng cấp tính sẽ dẫn tới bạch cầu trung tính tăng cao. Đôi khi lượng bạch cầu trung tính giảm xuống trong trường hợp nhiễm trùng quá nặng như nhiễm trùng huyết hoặc cơ thể của bệnh nhân suy kiệt hay thường gặp ở trẻ sơ sinh. Nếu bạch cầu trung tính giảm quá thấp sẽ rất nguy hiểm vì khả năng chống lại các tác nhân gây bệnh cũng giảm theo. Số lượng bạch cầu trung tính thường phụ thuộc vào tuổi tác. Nhìn chung, mức bạch cầu trung tính bình thường là từ 1.500 - 8.000/μl. Số lượng bạch cầu trung tính tăng là hơn 8.000/μl.

Nhiều người thắc mắc rằng bạch cầu trung tính tăng khi nào? Sau đây là những trường hợp dẫn đến bạch cầu trung tính tăng cao.
Nhiễm trùng là nguyên nhân thường gặp nhất khiến số lượng bạch cầu trung tính tăng. Tình trạng tăng bạch cầu trung tính đều xuất phát từ hầu hết các bệnh nhiễm trùng do vi khuẩn gây ra. Nhiễm virus thường không làm bạch cầu trung tính tăng, nhưng có thể làm chúng gia tăng trong giai đoạn đầu nhiễm virus. Một số bệnh nhiễm nấm và ký sinh trùng cũng có thể dẫn đến tăng bạch cầu trung tính.
Các trường hợp gây viêm trong cơ thể dẫn đến làm tăng số lượng bạch cầu trung tính bao gồm:

Bạch cầu trung tính tăng có thể do một số loại thuốc gây ra như:
Một số loại ung thư làm tăng bạch cầu trung tính bao gồm:
Tùy vào nguyên nhân khiến bạch cầu trung tính tăng mà các triệu chứng của bệnh có thể khác nhau. Nhưng nhìn chung một số triệu chứng thường gặp phải như sau:
Trong trường hợp số lượng bạch cầu trong máu tăng quá cao có thể khiến máu đặc hơn, ảnh hưởng đến sự lưu thông của máu trong cơ thể. Điều này có thể làm nguy cơ gặp phải các biến chứng nguy hiểm tăng cao như khó thở và có các vấn đề về hô hấp, đột quỵ.
Nếu bạn nhận thấy các triệu chứng nguy hiểm như trên, bạn cần đến ngay bệnh viện để được thăm khám và điều trị kịp thời.

Để chẩn đoán tình trạng tăng bạch cầu trung tính và tìm nguyên nhân gây bệnh, người bệnh cần thực hiện các loại xét nghiệm bao gồm:

Tùy vào nguyên nhân gây bệnh mà có cách điều trị tình trạng bạch cầu cao. Những phương pháp đó gồm:
Sau khi chẩn đoán dạng bệnh tăng bạch cầu, bác sĩ sẽ đề xuất phác đồ điều trị. Người bệnh cần hợp tác và tuân thủ nghiêm túc chỉ định của bác sĩ trong suốt thời gian điều trị bệnh.
Cách tốt nhất để phòng ngừa tình trạng bạch cầu trung tính tăng là tránh hoặc giảm tối đa các yếu tố nguy cơ bao gồm:
Nhìn chung, để điều trị tình trạng bạch cầu trung tính tăng cần tập trung điều trị nguyên nhân gây bệnh. Việc tăng lượng bạch cầu trung tính không phải là một bệnh lý mà là một triệu chứng của một bệnh lý khác. Người bệnh cần đến bệnh viện để được thăm khám và thực hiện các xét nghiệm khác nhau để tìm hiểu nguyên nhân dẫn đến tình trạng tăng này và tìm ra liệu pháp điều trị phù hợp.
Xem thêm: Bạch cầu hạt: Đặc điểm, phân loại, dạng bệnh và điều trị
Dược sĩ Đại họcNguyễn Mỹ Huyền
Dược sĩ Đại học có nhiều năm kinh nghiệm trong việc tư vấn Dược phẩm và hỗ trợ giải đáp thắc mắc về Bệnh học. Hiện đang là giảng viên cho Dược sĩ tại Nhà thuốc Long Châu.