Dược sĩ Đại học có nhiều năm kinh nghiệm trong việc tư vấn Dược phẩm và hỗ trợ giải đáp thắc mắc về Bệnh học. Hiện đang là giảng viên cho Dược sĩ tại Nhà thuốc Long Châu.
Thùy Hương
12/09/2024
Mặc định
Lớn hơn
Alzheimer là nguyên nhân chính gây suy giảm trí nhớ ở người cao tuổi. Vậy dấu hiệu nhận biết là gì và bệnh Alzheimer được chẩn đoán thế nào? Tìm hiểu ngay trong bài viết dưới đây.
Bệnh Alzheimer là một trong những nguyên nhân chính gây suy giảm trí nhớ và các vấn đề về nhận thức ở người cao tuổi. Việc nhận diện và chẩn đoán sớm bệnh Alzheimer đóng vai trò vô cùng quan trọng trong việc quản lý và điều trị bệnh. Hãy cùng Nhà thuốc Long Châu tìm hiểu trong bài viết dưới đây để biết bệnh Alzheimer được chẩn đoán như thế nào?
Trước khi tìm hiểu bệnh Alzheimer được chẩn đoán thế nào, cùng tìm hiểu về nguyên nhân gây bệnh. Bệnh Alzheimer được đặc trưng bởi sự xuất hiện của các mảng amyloid beta bên ngoài tế bào và các đám rối tơ thần kinh bên trong tế bào, gây suy giảm chức năng và làm chết tế bào thần kinh theo chương trình. Nghiên cứu dọc theo dõi những người khỏe mạnh chuyển sang giai đoạn Alzheimer cho thấy sự thoái hóa thần kinh này có thể bắt đầu từ 20 - 30 năm trước khi các triệu chứng lâm sàng trở nên rõ ràng. Tuy nhiên, mật độ và vị trí của các mảng amyloid không tương quan với triệu chứng hoặc mức độ nghiêm trọng của bệnh Alzheimer. Các nghiên cứu giải phẫu học cho thấy những thay đổi bệnh lý lan rộng khắp vỏ não và các cấu trúc xung quanh, đặc biệt là vùng đồi thị. Trong một số trường hợp, bệnh Alzheimer có tính chất di truyền với gen trội. Gia đình có bệnh nhân Alzheimer cũng thường thấy nhiều trường hợp mắc hội chứng Down.

Một số dấu hiệu dễ nhận biết của bệnh Alzheimer bao gồm:

Bệnh Alzheimer được chẩn đoán thế nào? Trước hết, cần có sự phối hợp giữa nhân viên chăm sóc sức khỏe ban đầu, bác sĩ chuyên khoa thần kinh và bác sĩ chuyên về lão khoa. Họ sẽ xem xét lịch sử bệnh, tiền sử dùng thuốc và các triệu chứng của bệnh nhân. Ngoài ra, các bác sĩ cũng sẽ chỉ định một số xét nghiệm cần thiết.
Trong quá trình thăm khám, bác sĩ sẽ kiểm tra và đánh giá các tiêu chuẩn chẩn đoán Alzheimer. Họ có thể yêu cầu thực hiện một số xét nghiệm bổ sung, chụp chiếu não hoặc cho bệnh nhân đi khám chuyên khoa về trí nhớ. Những xét nghiệm cụ thể này cung cấp nhiều thông tin hữu ích, giúp chẩn đoán bệnh chính xác hơn và loại trừ các tình trạng khác có thể gây ra triệu chứng tương tự.
Các bác sĩ sẽ tiến hành khám thực thể để xác định liệu bệnh nhân có mắc phải bệnh lý hoặc tình trạng rối loạn nào có thể trực tiếp hoặc gián tiếp gây ra các triệu chứng tương tự hay không. Ví dụ, họ sẽ kiểm tra các dấu hiệu của cơn đột quỵ, bệnh Parkinson, trầm cảm hoặc các tình trạng bệnh khác có biểu hiện giống suy giảm nhận thức. Việc loại trừ những nguyên nhân này là một bước quan trọng trong quá trình chẩn đoán bệnh Alzheimer.

Các vấn đề về trí nhớ do bệnh Alzheimer được chẩn đoán thế nào? Bác sĩ có thể yêu cầu người bệnh trả lời các câu hỏi hoặc thực hiện một vài bài kiểm tra nhỏ để kiểm tra nhận thức, sự ghi nhớ.
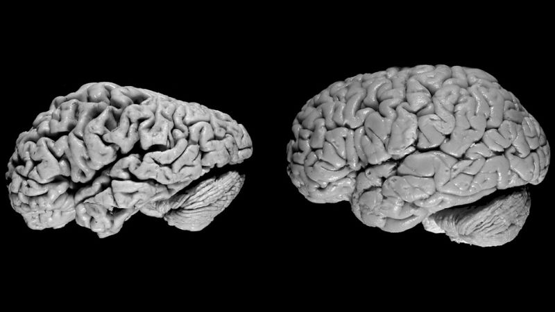
Bệnh Alzheimer là hậu quả của sự thoái hóa các tế bào não, có thể được biểu hiện qua hình ảnh chụp chiếu não bộ. Vậy hình ảnh của bệnh Alzheimer được chẩn đoán thế nào? Các kỹ thuật chẩn đoán hình ảnh phổ biến bao gồm:

Trên đây là những giải đáp thắc mắc bệnh Alzheimer được chẩn đoán thế nào và các dấu hiệu nhận biết. Khi người thân, bạn bè có những dấu hiệu mắc bệnh Alzheimer, hãy đưa họ đến các cơ sở y tế gần nhất để được thăm khám và điều trị kịp thời.
Xem thêm:
Dược sĩ Đại họcNguyễn Mỹ Huyền
Dược sĩ Đại học có nhiều năm kinh nghiệm trong việc tư vấn Dược phẩm và hỗ trợ giải đáp thắc mắc về Bệnh học. Hiện đang là giảng viên cho Dược sĩ tại Nhà thuốc Long Châu.