Tốt nghiệp loại giỏi trường Đại học Y Dược Huế. Từng tham gia nghiên cứu khoa học đề tài về Dược liệu. Nhiều năm kinh nghiệm làm việc trong lĩnh vực Dược phẩm. Hiện đang là giảng viên cho Dược sĩ tại Nhà thuốc Long Châu.
Thị Thúy
08/08/2024
Mặc định
Lớn hơn
Sâu răng thường gặp ở các răng sau do khó làm sạch và cấu trúc bề mặt rãnh hố của chúng. Tuy nhiên, răng cửa vẫn có nguy cơ bị sâu răng. Sâu răng ở răng cửa có thể gây ra rất nhiều rắc rối, đặc biệt là về mặt thẩm mỹ. Vậy khi bị sâu răng cửa phải làm sao để giải quyết vấn đề này?
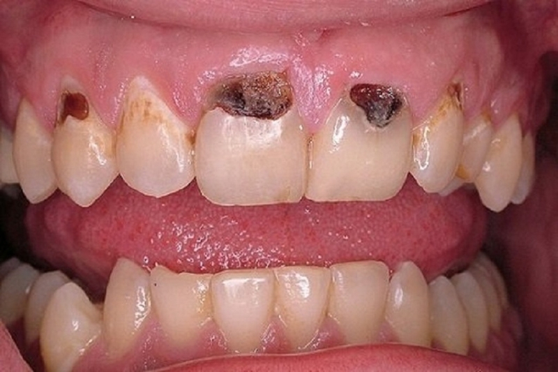
Bệnh sâu răng là một vấn đề rất thường gặp trong nha khoa. Sâu răng không chỉ xảy ra ở răng hàm mà còn ở răng cửa. Nếu răng cửa có sâu răng bên trong thì sẽ dễ xác định hơn vì răng cửa ở vị trí có thể dễ dàng nhìn thấy. Nếu sâu răng cửa không được điều trị có thể dẫn đến mất thẩm mỹ và hàng loạt vấn đề liên quan.
Sâu răng là tình trạng mô cứng của răng bị tổn thương, ban đầu gây mòn lớp men răng bên ngoài, sau đó tiến dần vào ngà răng và tủy răng gây viêm nhiễm tủy răng và hoại tử tủy răng. Quá trình này diễn ra khi vi khuẩn trong mảng bám và các mảnh thức ăn gây ra tình trạng thiếu khoáng chất trong răng.

Nguyên nhân chính gây sâu răng, đặc biệt là ở răng cửa, xuất phát từ lối sống, chế độ ăn uống hàng ngày và cách chăm sóc răng miệng, cụ thể là:
Trên thực tế, sâu răng không phải là vấn đề nghiêm trọng nếu người bệnh phát hiện sớm và đến gặp nha sĩ kịp thời. Tuy nhiên, nếu tình trạng sâu răng ở mức độ nặng và lan rộng đến ngà răng và tủy răng thì có thể xảy ra những hậu quả nghiêm trọng. Điều này không chỉ ảnh hưởng đến thẩm mỹ mà còn tác động không tốt đến sức khỏe, tâm lý của người bệnh.
Răng cửa nằm ở phía trước và có thể dễ dàng nhìn thấy khi cười hoặc trong các hoạt động giao tiếp hàng ngày. Vì vậy, sự xuất hiện của những chiếc răng sâu có lỗ sâu, vết đen trên bề mặt răng sẽ làm mất đi tính thẩm mỹ của khoang miệng. Tình trạng này thường khiến người bệnh cảm thấy tự ti, ngần ngại khi nói chuyện với người khác.
Bất kỳ lỗ sâu răng nào, đặc biệt là ở răng cửa, đều có thể khiến việc nhai trở nên khó khăn. Điều này có thể khiến răng trở nên yếu đi, khó cắn, xé thức ăn và gây đau nhức, ê buốt khiến việc ăn uống trở nên khó khăn. Nhai không đúng cách trong thời gian dài cũng có thể dẫn đến các vấn đề liên quan đến tiêu hóa và dạ dày.

Sâu răng ảnh hưởng rất nhiều mức độ, trường hợp nặng thì men răng sẽ bị mòn gần như hoàn toàn dẫn đến răng yếu đi. Tệ hơn nữa, vi khuẩn có thể lây lan từ sâu bên trong răng vào mô nướu, xương hàm và các mô nâng đỡ răng, khiến răng bị lung lay, thậm chí bị gãy rụng răng.
Sâu răng có thể dẫn đến nhiều vấn đề răng miệng nguy hiểm, bao gồm áp xe răng, viêm chóp răng, viêm xương hàm và thậm chí là mất răng. Tình trạng này khiến cho việc điều trị trở nên phức tạp và khó khăn hơn, có thể không thể phục hồi sức khỏe răng miệng về trạng thái ban đầu.
Sâu răng có thể gây ra nhiều vấn đề liên quan đến hệ hô hấp và tiêu hóa. Nếu sâu răng lan tỏa và dẫn đến viêm nhiễm lặp lại, sẽ có nguy cơ nhiễm trùng máu, làm tăng khả năng mắc các bệnh lý tim mạch, tiểu đường và nhiều bệnh lý khác.
Sâu răng ở răng cửa có thể dễ dàng được phát hiện bằng cách kiểm tra trực quan và xác định lỗ sâu gây mất thẩm mỹ trên bề mặt răng. Ngay từ giai đoạn đầu của bệnh, cần phải can thiệp nha khoa kịp thời để đảm bảo tính thẩm mỹ cho răng cửa và quan trọng hơn là bảo vệ sức khỏe tổng thể của miệng và cơ thể.
Tùy vào mức độ sâu răng mà nha sĩ sẽ lựa chọn một trong các phương pháp điều trị sau:
Khi sâu răng phát triển ở răng cửa, bước đầu tiên là phải loại bỏ vùng sâu và mảng tủy bị viêm, hoại tử để ngăn ngừa nguy cơ lây lan sang vùng răng khỏe mạnh. Sau đó, bác sĩ sẽ trám răng cửa bằng composite, tạo ra một lớp vật liệu giống với răng để khôi phục lại hình dạng và màu sắc ban đầu của răng.

Tùy thuộc vào từng trường hợp, việc trám răng cửa có thể khá phức tạp và độ bền không cao. Vì răng cửa thường có hình dáng nhỏ, rìa mỏng hơn nên miếng trám có thể dễ dàng rơi ra trong quá trình nhai nếu mô răng bị mất đáng kể. Vì vậy, việc sử dụng vật liệu trám răng thẩm mỹ không phải lúc nào cũng phù hợp trong những trường hợp răng sâu nặng.
Bọc răng sứ cho răng bị sâu đòi hỏi răng phải có chân răng khỏe mạnh để nâng đỡ mão răng sứ. Răng sứ không chỉ đảm bảo vẻ đẹp thẩm mỹ mà còn có độ bền cao, chịu được lực nhai tốt.
Răng sứ có nhiều loại như răng sứ kim loại, răng sứ toàn phần… Đối với răng cửa, sứ toàn phần thường được khuyên dùng. So với sứ kim loại, sứ toàn phần sẽ không bị ánh đen khi tiếp xúc với ánh sáng và không gây ra viền đen trên nướu do tác động của kim loại. Ngoài ra, sứ toàn phần được đánh giá cao hơn nhiều khi xét về hiệu quả và độ bền.
Nếu tình trạng răng sâu quá nặng không thể thực hiện được các phương pháp khác như trám răng hay bọc răng sứ thì sẽ cần phải nhổ răng. Điều này giúp ngăn ngừa tổn thương các cấu trúc xung quanh răng và ngăn ngừa các biến chứng nguy hiểm.
Sau khi nhổ răng, trồng răng giả là cần thiết, đặc biệt là sử dụng phương pháp trồng răng implant để ngăn ngừa tiêu xương hàm. Điều này đảm bảo tính thẩm mỹ và chức năng ăn nhai tương tự như răng thật.
Răng cửa bị sâu bên trong cũng tiềm ẩn những nguy hiểm đáng lo ngại. Hy vọng thông qua những chia sẽ trên, bạn đã biết thêm về các cách chữa trị khi răng cửa bị sâu bên trong. Khi phát hiện sâu răng, điều quan trọng là bạn phải gặp nha sĩ để có kế hoạch điều trị kịp thời.
Xem thêm: Răng sâu tự lành có được không? Khi nào cần gặp nha sĩ?
Dược sĩ Đại họcNgô Kim Thúy
Tốt nghiệp loại giỏi trường Đại học Y Dược Huế. Từng tham gia nghiên cứu khoa học đề tài về Dược liệu. Nhiều năm kinh nghiệm làm việc trong lĩnh vực Dược phẩm. Hiện đang là giảng viên cho Dược sĩ tại Nhà thuốc Long Châu.