Dược sĩ Đại học có nhiều năm kinh nghiệm trong việc tư vấn Dược phẩm và hỗ trợ giải đáp thắc mắc về Bệnh học. Hiện đang là giảng viên cho Dược sĩ tại Nhà thuốc Long Châu.
Quỳnh Loan
04/06/2024
Mặc định
Lớn hơn
Cùi răng là gì là một trong những vấn đề được nhiều người quan tâm, nhất là với những ai đang có ý định bọc răng sứ. Trong bài viết này, mời bạn cùng Nhà thuốc Long Châu tìm hiểu về cùi răng cũng như những vấn đề về mài cùi răng, cùi răng giả trước khi tiến hành bọc răng sứ nhé.
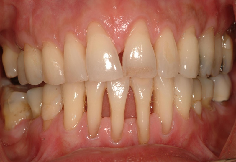
Phần lớn các vấn đề về răng, chẳng hạn như răng bị vỡ, gãy mẻ lớn, sâu răng, chết tủy,… các bác sĩ thường chỉ định bọc răng sứ để giúp khắc phục nhanh chóng các khuyết điểm trên răng. Trước khi bọc răng sứ, thông thường bác sĩ nha khoa sẽ mài răng theo tỷ lệ phù hợp, cùi răng chính là phần còn lại sau khi mài chỉnh để răng sứ phục hình cố định lên trên.
Trong chỉnh nha, cùi răng là phần mô răng cứng còn lại sau khi bác sĩ loại bỏ đi phần mô răng bị sâu, hư hỏng, hoặc bị mài chỉnh nhằm tạo khoảng trống trước khi tiến hành bọc răng sứ. Vai trò của cùi răng rất quan trọng vì nó giúp cho răng sứ được giữ vững, bám chắc vào răng, đảm bảo hoạt động ăn nhai diễn ra được bình thường. Trong một số trường hợp đặc biệt, bác sĩ có thể chỉ định bệnh nhân gắn cùi giả để nâng đỡ mão răng sứ được chắc chắn hơn.

Thông thường, hai trường hợp chính sau đây cần mài răng làm cùi:
Những người có răng bị hô, vẩu, lệch lạc, răng thưa, răng khểnh, răng mọc lệch, răng nhiễm màu,... nhưng điều trị bằng các phương pháp khác không phù hợp thì bác sĩ sẽ chỉ định mài răng để phục hình thẩm mỹ.
Mục đích của phương pháp này nhằm giúp bệnh nhân tạo hình răng sứ đúng theo ý muốn, mang lại hàm răng đều đẹp, hài hòa, cân đối.
Trường hợp bệnh nhân đã mất một hoặc nhiều răng, phương pháp phục hình cầu răng sứ được đánh giá cao, hiệu quả trong việc giúp cải thiện chức năng ăn nhai và thẩm mỹ. Tuy nhiên, lưu ý là phương pháp cầu răng sứ đòi hỏi mức độ xâm lấn cao. do để làm trụ răng bác sĩ phải mài hai răng kề cận răng bị mất.
Đối với trường hợp răng bị tổn thương, hư hại nặng, bề mặt cùi răng không đủ để tiếp xúc với mão sứ thì bác sĩ sẽ phải sử dụng cùi răng giả (chất liệu sứ/kim loại) để tái tạo lại hình dáng và chức năng của cùi răng thật.
Để bọc răng sứ, bạn cần phải tiến hành mài cùi răng. Nhiều người nghe nói đến mài cùi răng cảm thấy vô cùng lo lắng, liệu mài cùi răng có ảnh hưởng gì không.
Theo bác sĩ nha khoa, nếu mài răng bọc sứ đúng cách sẽ không gây ảnh hưởng cho cơ thể. Tuy nhiên, nếu việc mài cùi răng không đáp ứng tốt các tiêu chí như tay nghề bác sĩ thực hiện, dụng cụ chuyên dụng, mài răng sai kỹ thuật chắc chắn sẽ khiến hàm răng bị thương tổn nặng nề.

Bạn cần biết rằng, mài cùi răng không phải là kỹ thuật dễ thực hiện, đòi hỏi bác sĩ điều trị phải giàu kinh nghiệm và thực hiện một cách tỉ mỉ mới có thể làm được. Khi tiến hành mài cùi răng, nha sĩ sẽ dùng dụng cụ chuyên dụng để mài khoảng dưới 2mm cho tất cả các vị trí. Thao tác này chắc chắn ít nhiều cũng tạo ra sự xâm lấn vào răng thật, làm răng có thể bị yếu đi.
Kỹ thuật mài cùi răng sứ sẽ tác động đến toàn bộ bề mặt răng, cũng đồng nghĩa với việc men răng sẽ bị mài mòn đi. Một khi đã mài răng quá mức cho phép, răng thật bị tổn thương sẽ không thể tái tạo lại được
Đây là vấn đề được rất nhiều người quan tâm. Tùy theo từng trường hợp cụ thể mà bác sĩ nha khoa sẽ mài cùi răng hay dùng cùi răng giả trước khi tiến hành bọc răng sứ.
Những trường hợp răng hô, răng lệch lạc nhẹ, răng bị vỡ mẻ và nhiễm màu nặng,… thì dùng biện pháp mài cùi răng để bọc răng sứ. Còn đối với trường hợp răng bị sâu, hư hỏng nghiêm trọng, tình trạng răng mất gần hết thân răng, răng đã điều trị tủy nhiều lần, men răng hư tổn quá nhiều,… không thể mài cùi răng thì lúc này bác sĩ nha khoa sẽ gắn cùi răng giả để làm trụ đỡ cho mão sứ phục hình bên trên.
Bạn cần biết rằng, trong điều trị chỉnh khoa, việc giữ lại răng thật luôn là ưu tiên hàng đầu. Sau khi thăm khám, đánh giá, bác sĩ sẽ chỉ định mùi cùi răng hay tái tạo cùi răng giả. Mục đích chính vẫn là bảo tồn răng thật lâu nhất có thể; đồng thời đảm bảo chân răng nâng đỡ và giữ chắc được mão sứ bên trên.
Hiệu quả của việc sử dụng cùi răng giả phụ thuộc vào rất nhiều yếu tố, trong đó có một số điều kiện nhất định như sau:

Tất cả các khâu trong quá trình bọc răng sứ đều phải được tiến hành tại trung tâm nha khoa uy tín. Bạn cần chọn địa chỉ đáng tin cậy để được kiểm tra, thăm khám và tư vấn phương án phục hình phù hợp nhất với tình trạng răng của bản thân để có kết quả tốt nhất.
Như đã đề cập bên trên, khi răng đủ điều kiện mài cùi răng thì bác sĩ sẽ tiến hành mài răng thật. Nhưng có một số trường hợp đặc biệt, bệnh nhân buộc phải gắn cùi răng giả để phục hình khuyết điểm cho răng. Vậy làm cùi răng giả có ưu và nhược điểm gì? Dưới đây là những thông tin bạn cần biết:
Tăng tính thẩm mỹ
Gắn cùi răng giả giúp bệnh nhân nhanh chóng khôi phục lại hình dáng và màu sắc của răng tự nhiên, tăng tính thẩm mỹ cho hàm răng.
Tăng chức năng hàm
Cùi răng giả giúp đảm bảo hoạt động ăn nhai, chức năng nói chuyện của hàm, đồng thời bảo vệ răng trước những tác động từ bên ngoài, góp phần giữ răng thật trong thời gian lâu nhất có thể.
Độ bền cao
Vật liệu dùng làm cùi răng giả hầu hết là từ kim loại, sứ,… Đây đều là những chất liệu chịu được lực cao, bền đẹp, ít bị hư hỏng trong quá trình sử dụng.

Độ chính xác cao
Sự phát triển của y học cùng với những thiết bị nha khoa hiện đại cho phép tạo ra những cùi răng giả có độ chính xác cao, phù hợp với hình dáng lẫn kích thước của răng tự nhiên.
Mặc dù có nhiều ưu điểm như đã kể trên, cùi răng giả vẫn có một số nhược điểm bạn cần biết:
Chi phí cao
Tất nhiên, so với không làm cùi răng thì chi phí làm cùi răng giả sẽ khiến tổng số tiền chỉnh nha cao hơn. Tùy vào loại cùi được chọn mà mức phí sẽ dao động từ 1 - 5 triệu đồng. Tuy nhiên, sau khi hoàn tất quá trình phục hình thì bạn sẽ hài lòng với những gì mình đã đầu tư..
Tốn thời gian
Đây là một yếu tố bạn cần lưu ý vì quá trình làm cùi răng giả tốn nhiều thời gian cho việc chờ chế tạo và đặt cùi răng giả. Cùi càng phức tạp thì thời gian chờ càng lâu hơn.
Gây khó chịu
Thời gian đầu đặt cùi răng giả, do chưa quen nên nhiều người có thể sẽ cảm thấy hơi khó chịu. Tuy nhiên, cảm giác này cũng nhanh chóng qua đi, sau đó bạn sẽ cảm thấy thoải mái như thường sau thời gian hoàn thiện.
Cần bảo quản và chăm sóc đúng cách
Sau khi gắn cùi răng giả, bạn cần phải biết cách bảo quản và chăm sóc mới đảm bảo tuổi thọ cũng như hiệu quả sử dụng cho cùi răng giả. Bác sĩ nha khoa sẽ lưu ý bạn trong quá trình lắp cùi răng giả cần ăn uống nhẹ nhàng và cẩn thận, hạn chế ăn những thức ăn quá cứng, dai.

Trên đây là những thông tin về việc mài cùi răng cũng như gắn cùi răng giả trước khi phục hình bọc răng sứ. Các vấn đề răng miệng luôn là mối bận tâm của nhiều người. May mắn là nha khoa hiện đại ngày nay với sự hỗ trợ của công nghệ chỉnh nha tiên tiến sẽ giúp bạn giải quyết nhanh chóng và hiệu quả những vấn đề có liên quan đến răng miệng. Điều quan trọng bạn cần nhớ là đi khám nha khoa định kỳ cũng như thăm khám ngay khi răng có biểu hiện bất thường để quá trình khắc phục diễn ra nhẹ nhàng và hiệu quả.
Xem thêm: Răng bị trong suốt do đâu? Có tự hồi phục được không?
Dược sĩ Đại họcNguyễn Mỹ Huyền
Dược sĩ Đại học có nhiều năm kinh nghiệm trong việc tư vấn Dược phẩm và hỗ trợ giải đáp thắc mắc về Bệnh học. Hiện đang là giảng viên cho Dược sĩ tại Nhà thuốc Long Châu.