Dược sĩ chuyên ngành Dược lâm sàng, với nhiều năm kinh nghiệm làm việc trong lĩnh vực dược phẩm. Là Dược sĩ Long Châu đạt được chứng chỉ bệnh học cấp quốc tế. Hiện đang là giảng viên tại Trung tâm Đào tạo FPT Long Châu.
Quỳnh Anh
18/10/2024
Mặc định
Lớn hơn
Răng số 7 nằm ở vị trí sâu trong góc hàm. Vì thế, những cơn đau ở vị trí răng này gây nên nhiều bất tiện trong sinh hoạt, đặc biệt là trong việc ăn uống. Cùng tìm hiểu nguyên nhân và cách giải quyết những cơn đau răng số 7 nhé!
Đau răng số 7 không chỉ tác động tiêu cực tới sinh hoạt hàng ngày mà còn có thể biến chứng nghiêm trọng hơn nếu không được điều trị kịp thời. Để có những biện pháp xử lý phù hợp nhất, bạn cần nắm được nguyên nhân gây ra tình trạng đau răng. Hãy cùng Nhà thuốc Long Châu tìm hiểu những thông tin này trong bài viết dưới đây.
Đau răng số 7 là vấn đề nhiều người trưởng thành gặp phải. Tuy nhiên không phải ai cũng nắm được nguyên nhân gây ra những cơn đau nhức. Thực tế, một số lý do phổ biến của tình trạng này là:
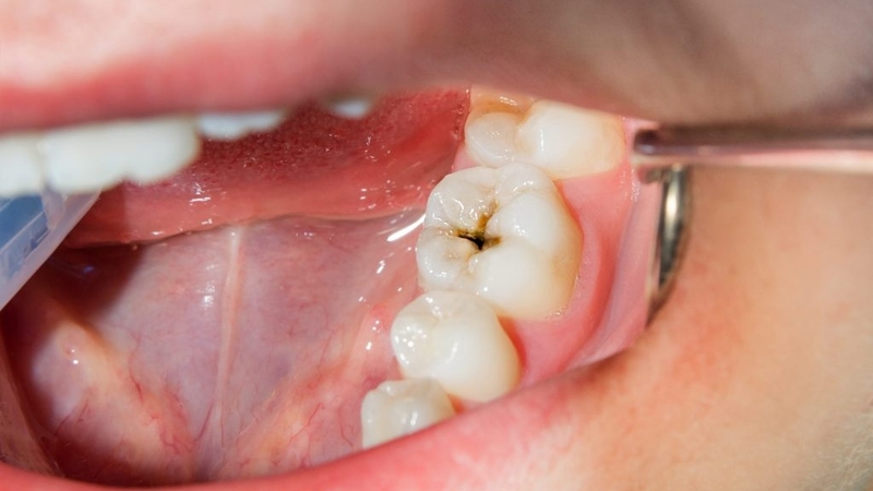
Sâu răng là nguyên nhân hàng đầu làm răng số 7 bị đau. Đây là một trong những chiếc răng vĩnh viễn nằm ở góc hàm nên rất khó để vệ sinh. Nếu không chú ý làm sạch sau các bữa ăn, thức ăn mắc kẹt lại sẽ tạo điều kiện thuận lợi cho vi khuẩn sâu răng phát triển. Bên cạnh đó, lỗ sâu răng số 7 thường nằm ở mặt bên và bị lợi che mất. Vì thế, khi những cơn đau xuất hiện là lúc bệnh sâu răng đã trở nên nghiêm trọng hơn.

Chấn thương răng như: Sứt mẻ, nứt răng, răng bị lung lay ở người trưởng thành có thể xảy ra do nhiều lý do. Ngoài va đập mạnh, những thói quen xấu như: Nghiến răng khi ngủ hoặc khi căng thẳng, cắn móng tay, gặm các vật cứng,... cũng làm răng bị tổn thương. Trong một số trường hợp, chấn thương quá nặng có thể làm lộ tủy và khiến cơn đau ngày càng nặng nề.
Răng bị mòn thường xảy ra ở những người lớn tuổi. Sau nhiều năm thực hiện chức năng nhai nghiền, răng sẽ dần bị mòn đi, dẫn tới hiện tượng ê buốt khi ăn đồ nóng lạnh, khi đánh răng, khi hít gió vào,... Bên cạnh đó, cảm giác này hoàn toàn có thể xảy ra ở những người trẻ tuổi nếu thường xuyên đánh răng không đúng cách, làm chân răng bị mòn.
Nếu răng số 7 bị đau do phần lợi xung quanh sưng và tấy đỏ, khả năng cao bạn đã bị viêm nha chu. Đây là bệnh lý về răng miệng xảy ra khi nướu bị nhiễm trùng nặng do vi khuẩn tấn công dây thần kinh dưới răng. Chúng gây tổn thương các mô xung quanh chân răng, về lâu dài có thể phá hủy xương và làm rụng răng. Những triệu chứng của bệnh viêm nha chu ở răng số 7 là:

Một tác nhân gây đau răng số 7 mà ít ai nghĩ tới chính là răng số 8 hay còn gọi là răng khôn. Đây là chiếc răng mọc cuối cùng trong cả hàm răng. Vì thế, khi không đủ chỗ, răng khôn thường mọc lệch, thậm chí là mọc ngầm. Điều này tạo áp lực lớn tới thân và chân răng số 7, gây đau nhức và sưng tấy ở lợi.
Răng số 7 là răng vô cùng quan trọng. Nó kết hợp cùng răng số 6 để đảm nhiệm chức năng nhai chính của hàm. Đặc biệt, đây còn là một trong những chiếc răng nằm ở vị trí sâu nhất. Vì thế, đau răng số 7 có ảnh hưởng lớn tới cả sức khỏe thể chất và tinh thần. Cụ thể:

Tùy thuộc vào nguyên nhân mà đau răng số 7 có thể được tự điều trị tại nhà hoặc cần tới sự can thiệp của nha sĩ. Nhìn chung, những biện pháp giúp điều trị dứt điểm tình trạng này là:

Đau răng số 7 là điều không quá xa lạ đối với nhiều người trưởng thành. Nếu không tìm ra nguyên nhân và có phương pháp điều trị thích hợp có thể gây nên các vấn đề về sức khỏe và thẩm mỹ. Vì thế, bạn hãy chú ý chăm sóc cẩn thận để hạn chế nguy cơ mắc các bệnh về răng miệng, đặc biệt là đau răng nhé!
Xem thêm: Răng số 7 bị sâu có nên nhổ không?
Dược sĩ Đại họcPhạm Nguyễn Hoàng Kim
Dược sĩ chuyên ngành Dược lâm sàng, với nhiều năm kinh nghiệm làm việc trong lĩnh vực dược phẩm. Là Dược sĩ Long Châu đạt được chứng chỉ bệnh học cấp quốc tế. Hiện đang là giảng viên tại Trung tâm Đào tạo FPT Long Châu.