Tốt nghiệp đại học Khoa Dược. Có kinh nghiệm hơn 10 năm trong lĩnh vực Dược phẩm, tư vấn thuốc và thực phẩm chức năng. Hiện đang là giảng viên cho Dược sĩ tại Nhà thuốc Long Châu.
Ngọc Minh
14/03/2026
Mặc định
Lớn hơn
Dày thành túi mật thường là một biểu hiện phổ biến được phát hiện trong các kết quả xét nghiệm hình ảnh. Đây được coi là một dấu hiệu của bệnh lý túi mật nguyên phát, đồng thời là một đặc điểm đặc trưng của nhiều tình trạng bệnh như: Viêm túi mật cấp, viêm túi mật mạn, ung thư biểu mô túi mật, xơ gan, viêm gan và nhiều bệnh lý khác. Vậy nguyên nhân gây ra tình trạng này là gì? Có nguy hiểm không? Làm thế nào để phòng ngừa dày thành túi mật?
Các nguyên nhân gây thành túi mật dày khá đa dạng và việc phục hồi trạng thái bình thường không phải là việc dễ dàng. Tùy thuộc vào từng nguyên nhân cụ thể, các bác sĩ sẽ áp dụng các phương pháp điều trị khác nhau nhằm ngăn chặn sự dày lên của túi mật và đề phòng các biến chứng có thể xảy ra.
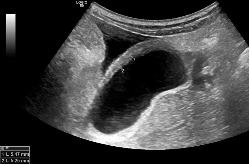
Dày thành túi mật là đặc điểm đặc trưng của viêm túi mật cấp và bệnh lý túi mật nguyên phát. Tuy nhiên, dấu hiệu này không phải là đặc hiệu, có thể xuất hiện đồng thời trong nhiều bệnh lý túi mật khác, ngoài túi mật. Thành túi mật được coi là dày khi có độ dày hơn 3mm và thường hiển thị dưới dạng xếp lớp trên kết quả siêu âm. Trên kết quả chụp CT, thành túi mật thường có một lớp phù dưới thanh mạc, có thể bị nhầm lẫn với dịch quanh túi mật (pericholecystic fluid).

Thành túi mật bình thường, thường xuất hiện như một đường tăng âm mảnh trên phim chụp siêu âm. Độ dày của thành túi mật có thể thay đổi tùy thuộc vào mức độ căng của túi mật và hiện tượng giả dày thành túi mật cũng có thể xảy ra sau khi ăn.
Các nguyên nhân gây dày thành túi mật có thể kể đến đó là:
Viêm túi mật cấp tính thường là nguyên nhân chính dẫn đến dày thành túi mật trong các kết quả chẩn đoán hình ảnh. Ngoài viêm túi mật cấp, một số biểu hiện khác có thể gặp là: Sỏi mật gây tắc nghẽn, túi mật căng to và ứ dịch, đau ở vị trí túi mật khi ấn bằng đầu dò siêu âm, viêm thâm nhiễm mỡ hoặc dịch tụ xung quanh túi mật, cũng như tăng tưới máu thành túi mật (hiển thị trên kết quả siêu âm Doppler).
Loại viêm túi mật này thường xảy ra ở những người có bệnh cảnh nặng hoặc đái tháo đường, thường xuyên nhịn ăn hoặc sử dụng thuốc gây ứ mật. Trên kết quả xét nghiệm hình ảnh, tổn thương của túi mật dày lên, không có sỏi mật, nhưng thường có bùn túi mật.

Đây là tình trạng viêm mạn của vách túi mật, thường xảy ra do viêm bán cấp hoặc cấp tính tái phát nhiều lần và được kích thích bởi sự hiện diện của sỏi mật. Kết quả xét nghiệm hình ảnh thường cho thấy mối liên quan giữa dày thành túi mật, sỏi mật và triệu chứng lâm sàng.
Túi mật sứ là một dạng hiếm gặp của rối loạn, thể hiện việc vôi hóa túi mật do viêm túi mật mạn. Phương pháp điều trị tối ưu nhất thường là phẫu thuật cắt bỏ dự phòng túi mật, nhằm giảm nguy cơ tiến triển thành ung thư biểu mô túi mật.
Ung thư biểu mô túi mật là một loại bệnh ác tính trong hệ tiêu hóa, thường được phát hiện trong khoảng 1-3% trường hợp cắt bỏ túi mật. Bệnh thường được phát hiện ở giai đoạn đã muộn vì các triệu chứng không đặc hiệu.
Ung thư biểu mô túi mật xuất hiện trên kết quả xét nghiệm hình ảnh với nhiều hình thái khác nhau, bao gồm: Tổn thương dạng polyp trong túi mật, khối thâm nhiễm thay thế túi mật, dày thành túi mật lan tỏa, và các dấu hiệu khác giúp phân biệt nó với viêm túi mật cấp, viêm túi mật u hạt vàng, giãn đường mật thứ phát, hay di căn gan dạng nốt.
U cơ tuyến túi mật thường được đặc trưng bởi sự tăng sinh biểu mô và phì đại lớp cơ trong thành túi mật, kèm theo sự lộn ngược của lớp niêm mạc vào bên trong tạo thành các xoang Rokitansky-Aschoff. Tình trạng này thường lành tính, không đòi hỏi điều trị đặc biệt và thường được phát hiện ngẫu nhiên ở khoảng 9% mẫu bệnh phẩm sau khi cắt bỏ túi mật. Các trường hợp u cơ tuyến túi mật có thể đi kèm với sỏi hoặc polyp và cần được theo dõi định kỳ.

Viêm túi mật u hạt vàng đại diện cho một dạng bất thường của viêm túi mật mạn. Kết quả xét nghiệm hình ảnh thường thấy thành túi mật dày lên đáng kể, thường đi kèm với các nốt thành túi mật giảm âm (hypoechoic) trên siêu âm, đây là dấu hiệu của điểm viêm u hạt vàng hoặc áp xe. Những đặc điểm này có thể gây nhầm lẫn với đặc điểm của ung thư biểu mô túi mật, làm cho việc phân biệt trước khi phẫu thuật trở nên khó khăn.
Dày thành túi mật cũng có thể được xem là dấu hiệu cảnh báo của một vài bệnh lý ngoài túi mật, bao gồm:

Bệnh nhân mắc phải tình trạng dày thành túi mật thường xuất hiện các dấu hiệu như:
Trong trường hợp của ung thư túi mật, thường không có triệu chứng đặc trưng cho đến khi khối u ác tính phát triển to lớn hoặc lan rộng. Dấu hiệu cũng tương tự như: Sỏi mật hoặc viêm túi mật, có thể bao gồm: Cảm giác đầy hơi, cảm nhận được khối u trong bụng, và sự phình to của bụng. Dày thành túi mật có nguy hiểm không? Dày thành túi mật thường là một dấu hiệu cảnh báo của các vấn đề ảnh hưởng xấu đến sức khỏe như đã kể trên. Việc chẩn đoán và điều trị kịp thời tình trạng dày thành túi mật rất quan trọng để ngăn ngừa các biến chứng nguy hiểm.
Để xác định nguyên nhân dẫn đến dày thành túi mật, các bác sĩ thường áp dụng các phương pháp sau:
Dựa vào nguyên nhân cụ thể dẫn đến dày thành túi mật, bác sĩ có thể đề xuất các phương pháp điều trị phù hợp, bao gồm:

Để ngăn chặn việc thành túi mật dày lên, có nhiều biện pháp phòng ngừa mà bạn có thể thực hiện để bảo vệ sức khỏe của túi mật và giảm thiểu nguy cơ xảy ra tình trạng này:
Trên đây là tổng hợp tất cả các thông tin liên quan đến dày thành túi mật, bao gồm nguyên nhân cụ thể và các phương pháp điều trị hiệu quả. Tình trạng này là kết quả của nhiều tình trạng bệnh lý, bao gồm cả các trường hợp cần và không cần phẫu thuật. Hãy chú ý đến các biện pháp phòng ngừa để tránh những biến chứng xấu do dày thành túi mật gây ra.
Xem thêm:
Dược sĩ Đại họcNguyễn Thị Hồng Nhung
Tốt nghiệp đại học Khoa Dược. Có kinh nghiệm hơn 10 năm trong lĩnh vực Dược phẩm, tư vấn thuốc và thực phẩm chức năng. Hiện đang là giảng viên cho Dược sĩ tại Nhà thuốc Long Châu.