Từng làm ở Viện ISDS, nhiều năm cộng tác với CDC Thái Nguyên triển khai dự án phòng chống HIV/AIDS, 2 năm cộng tác với WHO.
Ánh Vũ
21/03/2024
Mặc định
Lớn hơn
Một trong những căn bệnh hiếm gặp nhưng vô cùng nguy hiểm, khiến nhiều người bệnh lo lắng đó chính là bệnh túi mật sứ. Trong bài viết hôm nay của Nhà thuốc Long Châu, chúng ta cùng tìm hiểu chi tiết về triệu chứng, nguyên nhân, cách chẩn đoán và điều trị căn bệnh này.
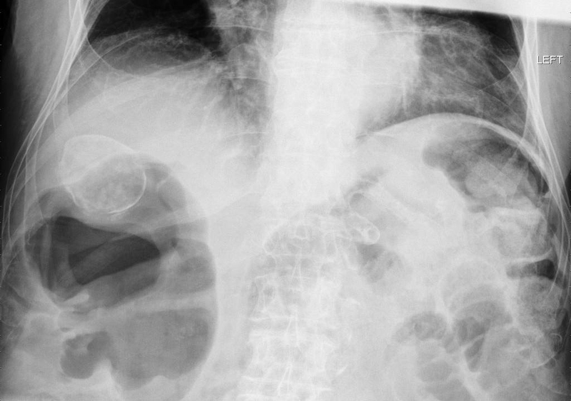
Túi mật sứ là một trong những tình trạng hiếm gặp, có khả năng phát triển thành bệnh ung thư nếu không được phát hiện và điều trị đúng đắn trong thời gian ngắn. Bệnh thường không có triệu chứng rõ ràng và thường chỉ có thể được nhận diện thông qua các phương pháp chẩn đoán hình ảnh như siêu âm hay chụp X-quang. Trong nhiều trường hợp, bác sĩ sẽ lựa chọn phẫu thuật loại bỏ túi mật để ngăn chặn các biến chứng nghiêm trọng có thể phát sinh sau này.
Túi mật sứ là trạng thái khi túi mật trở nên cứng, giòn và có màu xanh do quá trình vôi hóa. Bệnh này thường không tạo ra các triệu chứng cụ thể và thường chỉ được phát hiện ngẫu nhiên qua các hình ảnh như chụp X-quang bụng hoặc CT scan bụng. Ban đầu chỉ một phần của thành túi mật trở nên vôi hóa, kết dính vào niêm mạc. Sau đó, quá trình vôi hóa này có thể lan tỏa, thay thế toàn bộ mô của túi mật bằng canxi.
Vùng vôi hóa có thể dày lên không đồng đều, trong trường hợp tổng hợp canxi trên toàn bộ niêm mạc thì niêm mạc có thể bong tróc và đánh mất hoàn toàn. Nếu canxi được thâm nhiễm từng khu vực, niêm mạc có thể bị viêm, tăng nguy cơ chuyển hóa thành ung thư túi mật. Nguyên nhân chính của sự hình thành ung thư túi mật thường liên quan đến kích ứng viêm mạn tính và viêm niêm mạc túi mật.

Dấu hiệu của túi mật sứ thường không rõ ràng trong hầu hết các trường hợp. Một số người bệnh có thể thấy một số dấu hiệu tương đương với viêm túi mật mạn tính như là:
Những triệu chứng này diễn ra trong thời gian kéo dài nhiều tuần, thậm chí cả tháng. Tần suất và cường độ của cơn đau cấp tính (viêm túi mật cấp) thường xuyên tăng cao hơn ở những bệnh nhân có triệu chứng viêm mạn tính kéo dài.
Nguyên nhân gây ra túi mật sứ vẫn chưa được xác định chính xác nhưng các cơ chế bệnh lý cho thấy có liên quan đến quá trình hình thành sỏi mật:
Ngoài ra, nguy cơ cao cũng áp đặt đối với những người giảm cân quá mức hoặc nhịn ăn để giảm cân, đặc biệt là phụ nữ trong độ tuổi sinh sản hoặc đang sử dụng thuốc tránh thai chứa estrogen.
Các bệnh nhân mắc các bệnh mạn tính như tiểu đường cũng có nguy cơ gia tăng do giảm khả năng co bóp của túi mật. Sự tồn tại lâu dài của sỏi mật và các nguyên nhân hình thành sỏi mật có thể là yếu tố quan trọng dẫn đến vôi hóa thành túi mật.

Chẩn đoán túi mật sứ đòi hỏi việc thực hiện các xét nghiệm hình ảnh để đưa ra kết luận chính xác. Dưới đây là các xét nghiệm phổ biến:

Túi mật sứ là một tình trạng nghiêm trọng với nguy cơ cao chuyển hóa thành bệnh ác tính, đặt ra mối lo ngại lớn về sức khỏe. Trong trường hợp này, việc quyết định thực hiện phẫu thuật cắt bỏ túi mật trở thành biện pháp chính để đối phó với tình trạng bệnh lý, ngăn chặn sự tiến triển của bệnh và giảm nguy cơ xuất hiện các biến chứng nguy hiểm trong tương lai.
Quá trình phẫu thuật không chỉ giúp loại bỏ túi mật sứ mà còn có thể đưa ra những thông tin quan trọng về tình trạng sức khỏe tổng thể của bệnh nhân. Việc loại bỏ túi mật đặc biệt quan trọng khi tồn tại nguy cơ cao về viêm nhiễm, sỏi mật hoặc khi có dấu hiệu của một tiềm ẩn nguy cơ ung thư.
Bệnh nhân không nên trì hoãn quá trình phẫu thuật vì sự chậm trễ có thể tạo điều kiện cho sự phát triển bệnh, làm tăng nguy cơ biến chứng nghiêm trọng. Việc lựa chọn phẫu thuật càng sớm càng tốt sẽ giúp kiểm soát tình trạng bệnh lý, giảm thiểu rủi ro và tăng cơ hội cho việc hồi phục nhanh chóng của bệnh nhân sau mổ.

Đề phòng túi mật sứ có thể được thực hiện thông qua một lối sống ăn uống lành mạnh và có kế hoạch tập luyện đều đặn, nhằm giảm nguy cơ hình thành sỏi túi mật và giảm khả năng vôi hóa thành túi mật. Các biện pháp cụ thể bao gồm:
Như vậy, Nhà thuốc Long Châu vừa chia sẻ những thông tin quan trọng về tình trạng túi mật sứ, bao gồm cả phương pháp chẩn đoán và điều trị hiệu quả. Hy vọng rằng thông qua những chia sẻ này, bạn đọc sẽ có thêm kiến thức cần thiết để tự tin theo dõi và phát hiện sớm bệnh lý, giúp hạn chế tối đa rủi ro của các biến chứng nguy hiểm.
Xem thêm:
Dược sĩ Đại học Nguyễn Tuấn Trịnh
Từng làm ở Viện ISDS, nhiều năm cộng tác với CDC Thái Nguyên triển khai dự án phòng chống HIV/AIDS, 2 năm cộng tác với WHO.