Tốt nghiệp đại học Khoa Dược. Có kinh nghiệm hơn 10 năm trong lĩnh vực Dược phẩm, tư vấn thuốc và thực phẩm chức năng. Hiện đang là giảng viên cho Dược sĩ tại Nhà thuốc Long Châu.
Thục Hiền
01/10/2024
Mặc định
Lớn hơn
Não là một cơ quan phức tạp và quan trọng nhất trong cơ thể người, giúp kiểm soát và điều phối hầu hết các chức năng cơ bản. Nếu bất kỳ dị tật nào ở não đều có thể gây ra các vấn đề nghiêm trọng về sức khỏe và chất lượng cuộc sống. Một trong những dạng dị tật não hiếm gặp là Schizencephaly - dị tật chẻ não, là tình trạng có sự hình thành các khe hoặc rãnh bất thường trong não bộ. Mặc dù là một tình trạng khá hiếm gặp, nhưng chẻ não là một trong những dị tật bẩm sinh phức tạp nhất của bộ não, cần chẩn đoán sớm và can thiệp y tế kịp thời để giảm thiểu các ảnh hưởng tiêu cực đến sự phát triển của não.
Trong bài viết này, sẽ cung cấp các thông tin về dị tật chẻ não cũng như các thông tin liên quan. Hy vọng bài viết của Long Châu sẽ đưa ra những thông tin bổ ích cho bạn nhé!
Bộ não con người là một cơ quan vô cùng phức tạp, đóng vai trò quan trọng trong việc điều khiển mọi hoạt động của cơ thể, từ suy nghĩ, cảm xúc, hành vi đến các chức năng sinh lý cơ bản. Nó được bao bọc bởi hộp sọ và được bảo vệ bởi lớp màng não và dịch não tủy. Bộ não có thể được chia thành ba phần chính:

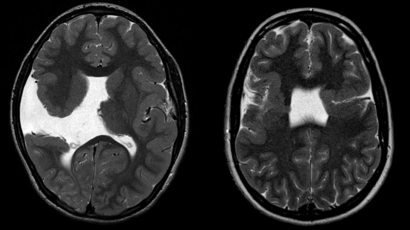
Dị tật chẻ não (tên tiếng anh là Schizencephaly) hay còn gọi là dị tật nứt não, là một tình trạng rối loạn phân bố của các neuron thần kinh do các khe nứt não tủy chứa đầy dịch được bao bọc bởi chất xám. Đặc trưng bởi sự hình thành khe nứt hoặc rãnh bất thường, chẻ não ảnh hưởng đến cấu trúc và chức năng của một hoặc cả hai bán cầu đại não, dẫn đến nhiều vấn đề về phát triển và thần kinh. Chẻ não có thể ở bất cứ vị trí nào, nhưng chủ yếu xảy ra quanh vùng Sylvian. Chẻ não có thể một bên (đơn phương) hoặc hai bên (song phương), đối xứng hoặc không đối xứng. Dị tật chẻ não là dị tật bẩm sinh hiếm gặp, ước tính theo bộ y tế, Schizencephaly có tỉ lệ 1,5 : 100000 ca sinh.
Dị tật chẻ não được chia thành 2 loại chính:

Mức độ nghiêm trọng của Schizencephaly phụ thuộc vào vị trí, kích thước và hình dạng của các rãnh não. Việc phân loại giúp bác sĩ đánh giá mức độ ảnh hưởng đến chức năng não và lập kế hoạch điều trị phù hợp.
Chẻ não là do sự phá hủy tại khu trú và sớm của chất cơ bản mầm phôi và tổ chức não xung quanh trước khi bán cầu não được tạo hình hoàn toàn. Tổn thương hầu như liên quan đến nhiều nguyên nhân, bao gồm: Di truyền, chất độc, chuyển hóa, mạch máu và nhiễm trùng.
Nguyên nhân của dị tật chẻ não vẫn chưa được xác định rõ ràng. Nghiên cứu cho thấy nó có thể là kết quả của việc tiếp xúc với một số loại thuốc (như warfarin), hóa chất (như cocain), virus (như virus zika) và ảnh hưởng bởi các biến chứng của thủ thuật chọc ối trong quá trình phát triển của thai nhi. Ngoài ra, dị tật chẻ não cũng có thể do sự thay đổi di truyền (đột biến gen) ảnh hưởng đến sự phát triển não bộ của thai nhi.

Bệnh nhân mắc chẻ não có thể có biểu hiện rất khác nhau tùy thuộc vào mức độ và kích thước của khe hở. Theo vị trí, chẻ não có các biểu hiện sau:

Trong cách chia theo thể thì biểu hiện bao gồm:
Ngoài những triệu chứng trên, đối với trẻ, khi có dị tật chẻ não ảnh hưởng đến một bán cầu, sẽ gây ra các triệu chứng thần kinh tương ứng. Bán cầu trái và phải đảm nhận nhiều chức năng quan trọng như: Cảm xúc, giác quan, tư duy, sáng tạo, vận động, ngôn ngữ, nhận thức và ghi nhớ. Đây là những kỹ năng mà trẻ học được ở một độ tuổi nhất định, nhưng khi mắc phải dị tật, trẻ có thể phải cần nhiều thời gian hơn để học những kỹ năng cơ bản.
Mức độ trầm trọng của các triệu chứng còn phụ thuộc vào mức độ não bị tổn thương. Bệnh nhân chẻ não loại môi hở tử vong sớm hơn loại môi kín.
Dị tật chẻ não được chẩn đoán chủ yếu dựa trên các phương tiện chẩn đoán hình ảnh. Về hình thái chung, chúng ta có thể thấy khe hở bề mặt ở một hoặc hai bên vỏ não với các hồi và rãnh não tỏa vào khe hở, là đặc điểm để phân biệt với nhồi máu não giữa trong giai đoạn sơ sinh. Dưới đây là một số phương pháp chẩn đoán phổ biến hiện nay:

Các bác sĩ thường kết hợp sử dụng nhiều phương pháp chẩn đoán để đánh giá toàn diện về tình trạng dị tật chẻ não của bệnh nhân, từ đó có kế hoạch điều trị và theo dõi phù hợp.
Dị tật chẻ não (Schizencephaly) là một tình trạng hiếm gặp ảnh hưởng đến sự phát triển của não bộ, do đó không có phương pháp chữa khỏi hoàn toàn. Tuy nhiên, các phương pháp điều trị có thể giúp kiểm soát triệu chứng, cải thiện chất lượng cuộc sống và hỗ trợ trẻ phát triển tối ưu.
Phương pháp điều trị cụ thể sẽ phụ thuộc vào mức độ nghiêm trọng của dị tật chẻ não, các triệu chứng mà trẻ gặp phải và tình trạng sức khỏe tổng thể của trẻ. Một số phương pháp điều trị phổ biến bao gồm:
Ngoài ra, trẻ bị dị tật chẻ não cũng cần được theo dõi sức khỏe định kỳ bởi bác sĩ chuyên khoa để đảm bảo các triệu chứng được kiểm soát tốt và trẻ phát triển bình thường.
Lựa chọn phương pháp điều trị phụ thuộc vào từng trường hợp bệnh nhân, mức độ nghiêm trọng của dị tật, các triệu chứng lâm sàng và độ tuổi. Việc kết hợp nhiều phương pháp điều trị thường mang lại hiệu quả tốt hơn.
Không có cách nào để ngăn chặn tất cả các trường hợp mắc dị tật chẻ não. Bạn có thể giảm nguy cơ sinh con mắc bệnh bằng cách chăm sóc bản thân trong thời kỳ mang thai, bao gồm:

Dị tật chẻ não là một bệnh lý phức tạp về thần kinh, ảnh hưởng nghiêm trọng đến sự phát triển và chức năng của não bộ. Việc trang bị cho bản thân kiến thức đầy đủ về dị tật chẻ não là vô cùng quan trọng giúp phát hiện sớm và can thiệp kịp thời.
Xem thêm:
Dược sĩ Đại họcNguyễn Thị Hồng Nhung
Tốt nghiệp đại học Khoa Dược. Có kinh nghiệm hơn 10 năm trong lĩnh vực Dược phẩm, tư vấn thuốc và thực phẩm chức năng. Hiện đang là giảng viên cho Dược sĩ tại Nhà thuốc Long Châu.