Tốt nghiệp loại giỏi trường Đại học Y Dược Huế. Từng tham gia nghiên cứu khoa học đề tài về Dược liệu. Nhiều năm kinh nghiệm làm việc trong lĩnh vực Dược phẩm. Hiện đang là giảng viên cho Dược sĩ tại Nhà thuốc Long Châu.
04/12/2023
Mặc định
Lớn hơn
Gãy xương hàm là loại chấn thương thường gặp mang đến nhiều tổn thương nghiêm trọng cho người bệnh. Dưới đây chính là những giải đáp cho câu hỏi: Gãy xương hàm dưới có nguy hiểm không?
Xương hàm có thể được xem như là một trong những bộ phận quan trọng nhất của khuôn mặt. Khi xảy ra chấn thương có thể gây ra những ảnh hưởng vô cùng nghiêm trọng đến chức năng cũng như cấu trúc chung của khuôn mặt. Trong đó, gãy xương hàm dưới là một trong những loại phổ biến và nguy hiểm nhất.
Cấu tạo chung của xương hàm gồm có hai phần là xương hàm trên và xương hàm dưới:
Là một trong năm xương chính ở tầng giữa mặt, tiếp khớp với những xương khác để tạo nên thành ổ mắt, mũi, xoang hàm, vòm miệng và cả nền sọ.
Gãy xương hàm trên thường xảy ra khi có ngoại lực tác động trực tiếp vào tầng giữa mặt, gây ra tình trạng chảy máu nhiều. Tuy nhiên thời gian liền xương tương đối nhanh, thường có liên quan đến những chấn thương sọ não và các xương khác như xương chính mũi, gò má...
Xương hàm dưới là một loại xương, cứng, mảnh, có khá nhiều đường cong và khả năng di động cao.
Gãy xương hàm dưới thường đi qua huyệt ổ răng và lỗ cắm, di lệch xương thường theo chiều co kéo của các cơ, khả năng liền xương có thể nói là chậm hơn so với xương hàm trên.

Vị trí của vùng xương hàm dưới
Ở đa số các bệnh nhân, những dấu hiệu và triệu chứng của gãy xương hàm thường bắt đầu xuất hiện ngay sau một số những chấn thương ở hàm. Có thể nhận biết tình trạng này nhờ một số dấu hiệu dưới đây:

Tình trạng biến dạng hàm trong chấn thương
Nếu sau một số chấn thương ở vùng hàm hoặc mặt bạn nhận thấy răng bị lệch lạc, chảy máu trong miệng, đau nhiều, khó nói hoặc là sưng tấy tốt nhất nên đi khám để được đánh giá, chẩn đoán cũng như tìm ra phương pháp xử lý kịp thời.
Bác sĩ sẽ khám sức khỏe tổng quát và chỉ định chụp X quang nếu cần. Không cần xét nghiệm máu trừ khi có những nghi ngờ về các vấn đề sức khỏe tiềm ẩn đóng vai trò gây ra chấn thương (ví dụ như té ngã do những vấn đề y tế) hoặc là nếu bạn cần đến phòng phẫu thuật để cố định vết gãy.
Khám ngoài mặt: Kiểm tra tổng thể khuôn mặt để kiểm tra những biến dạng rõ ràng, bầm tím hoặc là sưng tấy. Bước tiếp theo chính là sờ xương hàm qua da giúp phát hiện gián đoạn hoặc cảm giác của bệnh nhân.
Tiếp đến là kiểm tra khả năng hoạt động của hàm dưới bằng những phương pháp cử động (há, ngậm) đơn giản.
Sau khi đã khám bên ngoài xong, bác sĩ sẽ tiếp tục kiểm tra bên trong miệng bằng cách yêu cầu bệnh nhân cắn và đánh giá xem răng có thẳng hàng, liên tục không? Khớp cắn như thế nào? Có những vết bầm tím, tụ máu không?
Sau đó, bác sĩ sẽ kiểm tra mức độ ổn định của xương hàm. Thực hiện đặt một que đẩy (dụng cụ hạ lưỡi hay một thanh gỗ phẳng) vào giữa răng trên và dưới rồi đánh giá xem bệnh nhân có thể giữ được lưỡi ở đúng vị trí hay không.
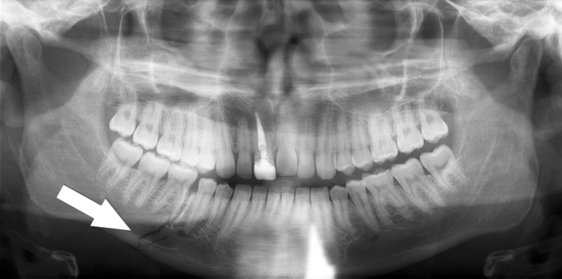
Để chẩn đoán chính xác hơn, các loại phim có thể được chỉ định chụp bao gồm:

Chụp X-quang phát hiện tổn thương xương hàm dưới
Gãy xương hàm dưới là chấn thương vùng hàm mặt tương đối nguy hiểm, có thể gây ra chứng song thị, tê bì vùng da dưới mắt (do chấn thương dây thần kinh) hay những bất thường ở xương gò má (có thể cảm nhận được khi di chuyển một ngón tay dọc theo nó).
Các chấn thương đủ mạnh để gây ra tình trạng gãy xương hàm dưới cũng có thể làm tổn thương cột sống cổ hoặc là gây ra chấn động hay chảy máu trong sọ. Từ đó gây ra sưng tấy, biến dạng mặt. Đôi khi còn có thể xuất hiện một vết gãy xương kéo dài qua răng hay chân răng (còn gọi là gãy xương hở), tạo ra một khe hở, từ đó khiến nhiều loại vi khuẩn thâm nhập vào trong miệng và gây nhiễm trùng nghiêm trọng.
Những biến chứng cấp tính do gãy xương hàm dưới gây ra bao gồm: Dị vật rơi vào đường thở mảng răng vỡ gây ngạt thở, chảy máu, sốc choáng khi có phối hợp những chấn thương khác kèm theo,...
Bên cạnh đó là nhiều di chứng gây ra tình trạng biến dạng khuôn mặt nặng nề, sai khớp cắn, sụp mí mắt, giảm hoặc mất thị lực.
Gãy xương hàm mặt còn có thể đi kèm với nhiều chấn thương sọ não gây ra nguy hiểm cho tính mạng người bệnh.

Gãy xương hàm dưới có thể dẫn đến tình trạng sai lệch khớp cắn
Bạn có thể phòng ngừa tình trạng gãy xương hàm bằng cách tránh các chấn thương, cụ thể như sau:
Trên đây chính là những giải đáp của chúng tôi cho câu hỏi: Gãy xương hàm dưới có nguy hiểm không? Chúng có thể kèm theo những chấn thương nghiêm trọng khác vùng sọ não gây ra nguy hiểm đến tính mạng và để lại di chứng biến dạng khuôn mặt nặng nề.
Xem thêm:
Thảo My
Nguồn tham khảo: Tổng hợp
Dược sĩ Đại họcNgô Kim Thúy
Tốt nghiệp loại giỏi trường Đại học Y Dược Huế. Từng tham gia nghiên cứu khoa học đề tài về Dược liệu. Nhiều năm kinh nghiệm làm việc trong lĩnh vực Dược phẩm. Hiện đang là giảng viên cho Dược sĩ tại Nhà thuốc Long Châu.