Kim Huệ
17/04/2024
Mặc định
Lớn hơn
Nhiễm ký sinh trùng não gây ra một vấn đề nghiêm trọng cho sức khỏe con người. Chỉ khi phát hiện sớm mới có thể tránh được những hậu quả nguy hiểm. Hãy cùng tìm hiểu về nguyên nhân, triệu chứng và cách phòng ngừa nhiễm ký sinh trùng não qua bài viết dưới đây.
Ký sinh trùng xâm nhập vào trong não là vấn đề nguy hiểm. Nhưng tại sao lại nhiễm ký sinh trùng não là thắc mắc của nhiều người bệnh. Nhà thuốc Long Châu sẽ giải đáp vấn đề này, qua đó giúp các bạn có thể tìm ra phương pháp phòng ngừa tình trạng này hiệu quả.
Việt Nam là đất nước ở vùng nhiệt đới, thời tiết rất phù hợp cho sự phát triển của nhiều loại ký sinh trùng. Khi các loại ký sinh trùng xâm nhập vào cơ thể, chất dinh dưỡng, máu của con người bị chúng sử dụng để phát triển, làm ảnh hưởng tới sự phát triển của con người. Lâu dài sẽ dẫn đến thiếu máu, suy dinh dưỡng, chúng có thể theo máu tiến đến nhiều cơ quan và gây bệnh tại các vị trí như não, gan, phổi, thận,...

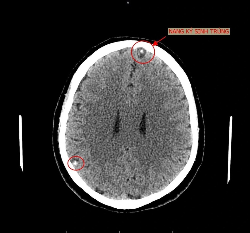
Nhiễm ký sinh trùng có thể dẫn đến nhiều biến chứng nguy hiểm trong đó có nhiễm ký sinh trùng não. Vì khi ký sinh trùng tấn công và đã xâm nhập được vào cơ thể, người bệnh không phát hiện kịp thời, ký sinh trùng sẽ di chuyển đến nhiều vị trí khác trong cơ thể. Từ đó, dẫn đến nhiều hậu quả nghiêm trọng như viêm màng não, viêm phổi, viêm ruột, tắc ống mật, tắc ruột,... Nhất là với người bệnh đang có tình trạng suy giảm miễn dịch thì biến chứng ký sinh trùng để lại càng nặng nề hơn.
Nhiễm ký sinh trùng não thường gặp ở giun đũa chó, giun mạch, sán máng, sán lá phổi, giun đầu gai,... dẫn đến viêm màng não do ký sinh trùng và nhiều triệu chứng như đau đầu, đau vùng thùy thái dương, thùy chẩm, đau nhức mỏi phần cổ và gáy, thị lực suy giảm,...
Thói quen trong ăn uống hàng ngày quyết định khả năng xâm nhập của ký sinh trùng vào cơ thể người. Một số nguyên nhân dẫn đến nhiễm ký sinh trùng não tại Việt Nam có thể kể đến như:

Có rất nhiều loại ký sinh trùng nên dấu hiệu nhận biết cũng sẽ khác nhau giữa các chủng loại. Tuy nhiên, có thể dựa vào một vài dấu hiệu dưới đây để dự đoán nhiễm ký sinh trùng:

Khi nhiễm ký sinh trùng, tùy thuộc vào tình trạng sức khỏe mà người bệnh có thể được điều trị tại nhà hay cần nhập viện điều trị. Tuy nhiên, cũng có một số trường hợp cần can thiệp điều trị cộng đồng để tiêu diệt ký sinh trùng, tránh lây lan bệnh. Vì vậy nên cách tốt nhất để bảo vệ sức khỏe là chủ động phòng ngừa ký sinh trùng hàng ngày bằng những biện pháp đơn giản như sau:
Nhiễm ký sinh trùng não là biến chứng nguy hiểm khi ký sinh trùng tấn công vào cơ thể. Vậy nên, bất kỳ đối tượng nào cũng cần thực hiện các biện pháp phòng ngừa nhiễm ký sinh trùng trong cuộc sống hàng ngày.
Xem thêm: