Dược sĩ Đại học có nhiều năm kinh nghiệm trong việc tư vấn Dược phẩm và hỗ trợ giải đáp thắc mắc về Bệnh học. Hiện đang là giảng viên cho Dược sĩ tại Nhà thuốc Long Châu.
Quỳnh Loan
23/08/2025
Mặc định
Lớn hơn
Rối loạn sắc tố da là tình trạng không chỉ gây ảnh hưởng đến ngoại hình mà còn đến sự tự tin và sức khỏe tổng thể của bạn. Vậy rối loạn sắc tố da là gì, cần làm gì để điều trị rối loạn sắc tố da là những thắc mắc bất cứ chị em nào cũng đều muốn được giải đáp.
Rối loạn sắc tố da, hay còn gọi là tăng/giảm sắc tố da là tình trạng có thể xảy ra cho chị em phụ nữ bởi nhiều nguyên nhân. Để ngăn ngừa tình trạng này, một chế độ ăn uống cân bằng, tập thể dục thường xuyên, kiểm soát căng thẳng và áp dụng các biện pháp chống nắng an toàn là những yếu tố giữ vai trò then chốt đối với sức khỏe làn da.
Nhắc đến rối loạn sắc tố da, chị em phụ nữ nào cũng sẽ không mong muốn làn da của mình gặp phải tình trạng này. Với người khỏe mạnh, làn da hoàn toàn bình thường nhưng khi màu da trở nên tối hơn hoặc sáng hơn một cách bất thường chính là xảy ra hiện tượng rối loạn sắc tố da.

Hầu hết các loại rối loạn sắc tố da đều lành tính, tuy nhiên khi làn da bị rối loạn sắc tố sẽ người bạn mất tự tin, ảnh hưởng đến giao tiếp. Nguyên nhân nào khiến làn da bị tăng/giảm sắc tố? Dưới đây là những nguyên nhân bạn cần biết:
Tăng sắc tố da là tình trạng da bị sạm đen hơn bình thường. Khi bị tăng sắc tố da, có người không bị ảnh hưởng đáng lo ngại nào về sức khỏe. Tuy nhiên, da sạm đen hơn có thể là triệu chứng cảnh báo cho loại bệnh lý nào đó tiềm ẩn mà trước đó chúng ta không hề hay biết.
Một số loại tăng sắc tố da phổ biến bao gồm:
Nám da
Nám da là hiện tượng rối loạn sắc tố da chủ yếu xảy ra ở phụ nữ mang thai và tiền mãn kinh. Nám da biểu hiện dưới dạng các mảng sẫm màu, đặc biệt ở mặt và bụng. Mất cân bằng nội tiết tố là nguyên nhân chính gây ra nám da.
Cháy nắng
Tiếp xúc thường xuyên với ánh nắng mặt trời mà không được bảo vệ đầy đủ có thể dẫn đến hiện tượng da bị cháy nắng. Khi da cháy nắng sẽ thể hiện rõ qua những đốm đen trên vùng da tiếp xúc trực tiếp với ánh nắng.

Thâm mụn
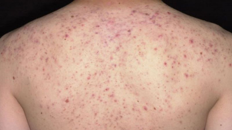
Tổn thương da do mụn để lại có thể làm tăng sắc tố da, để lại những đốm đen ảnh hưởng đến tông màu và kết cấu làn da của bạn.
Các vấn đề sức khỏe tiềm ẩn
Một số tình trạng như xơ gan ứ mật và bệnh nhiễm sắc tố sắt mô, cùng với một số loại thuốc, có thể gây sạm da bất thường. Do đó, việc chúng ta xác định và giải quyết sớm những vấn đề sức khỏe tiềm ẩn này là rất quan trọng.
Không chỉ tăng sắc tố da, tình trạng rối loạn sắc tố da còn biểu hiện ở việc bị giảm sắc tố. Khi cơ thể bị sụt giảm đáng kể lượng melanin sẽ gây ra tình trạng giảm sắc tố da này.
Các loại giảm sắc tố da bao gồm:
Bệnh bạch biến
Bạch biến là dạng bệnh tự miễn gây gián đoạn quá trình sản xuất melanin, dẫn đến các mảng trắng rõ rệt trên da.

Bệnh bạch tạng
Bệnh bạch tạng có tính di truyền, một enzyme sản xuất melanin bị mất đi dẫn đến việc thiếu melanin trong cơ thể. Bệnh này không chỉ ảnh hưởng đến da mà còn cả tóc và mắt.
Các chứng rối loạn về da khác
Các tình trạng như bệnh lang ben, bệnh vảy nến và viêm da dị ứng cũng gây ảnh hưởng đến sắc tố da. Những bệnh này đòi hỏi phải có phương pháp điều trị phù hợp và người bệnh phải kiên nhẫn để phục hồi sức khỏe làn da.
Rối loạn sắc tố da cần được can thiệp sớm để giúp làn da bị ảnh hưởng nhanh chóng trở lại như bình thường. Tùy vào tình trạng từng bệnh nhân mà bác sĩ da liễu sẽ chỉ định phương pháp điều trị phù hợp.
Dưới đây là một số biện pháp giúp điều trị rối loạn sắc tố da hiệu quả:
Cân bằng nội tiết tố
Khôi phục lại sự cân bằng nội tiết tố là một trong những cách điều trị tăng sắc tố da phổ biến nhất.

Bác sĩ sẽ hướng dẫn bệnh nhân dùng kết hợp các loại thực phẩm giàu omega-3, cùng với nhiều loại rau và trái cây đầy màu sắc vào chế độ ăn uống. Bên cạnh đó, bác sĩ có thể kê đơn cho bệnh nhân những loại thuốc nội tiết tố chính xác phù hợp với từng trường hợp cụ thể.
Kem bôi ngoài da
Những sản phẩm kem bôi chuyên dụng có tác dụng ức chế sản sinh sắc tố dư thừa. Bác sĩ sẽ tùy theo tình trạng da mà chỉ định loại kem bôi ngoài da phù hợp.
Thuốc uống theo toa
Ngoài kem bôi, để điều trị rối loạn sắc tố da bác sĩ da liễu có thể sẽ kê đơn thuốc uống để giúp hạn chế hiệu quả việc sản xuất sắc tố quá mức. Lưu ý bệnh nhân bị rối loạn sắc tố da tuyệt đối không được tự kê đơn mà chỉ dùng thuốc do bác sĩ kê toa và hướng dẫn sử dụng.
Điều trị bằng laser
Chùm tia laser đơn sắc được thiết kế để phá vỡ chính xác các sắc tố dư thừa. Tuy nhiên, khi áp dụng phương pháp này, bạn nên chọn những cơ sở y tế uy tín để đảm bảo điều trị an toàn và hiệu quả.
Liệu pháp ánh sáng
Liệu pháp ánh sáng cường độ cao có tác dụng làm hài hòa sắc tố da, giúp khôi phục lại vẻ rạng rỡ tự nhiên cho làn da của bạn.

Bệnh bạch biến và bạch tạng
Mặc dù việc điều trị hoàn toàn bệnh bạch biến và bệnh bạch tạng là chưa thể nhưng vẫn có nhiều cách để khắc phục về tính thẩm mỹ mà bạn có thể áp dụng. Một số loại mỹ phẩm có công thức đặc biệt được thiết kế để che giấu những khuyết điểm này. Ngoài ra, các loại thuốc có chứa corticosteroid và liệu pháp ánh sáng cũng có thể giúp kiểm soát các tình trạng này một cách hiệu quả.
Tình trạng rối loạn sắc tố da về cơ bản có thể phòng ngừa (trừ trường hợp di truyền) bằng những cách chủ động sau đây:
Luôn sử dụng kem chống nắng mỗi khi ra đường. Loại kem này được thiết kế giúp bảo vệ làn da chúng ta trước các tia UV có hại. Kem chống nắng phổ rộng không chỉ ngăn ngừa sắc tố mà còn bảo vệ làn da tươi trẻ của bạn.

Không phải tất cả mỹ phẩm đều được tạo ra như nhau. Lựa chọn cẩn thận các sản phẩm phù hợp với loại da của bạn, bao gồm ưu tiên dùng các sản phẩm không có hóa chất gây hại.
Chăm sóc làn da phải đúng cách, đặc biệt là khi bị rối loạn sắc tố da. Bệnh nhân không được tự ý sử dụng các loại thuốc tăng/giảm sắc tố da mà phải đi khám và dùng thuốc theo chỉ định của bác sĩ. Có như thế mới đảm bảo làn da của bạn được tươi sáng và đều màu một cách an toàn.
Ngoài ra, nếu bạn nhận thấy bất kỳ sự thay đổi nào về sắc tố da khi đang dùng thuốc, phải nhanh chóng liên hệ bác sĩ để được can thiệp kịp thời.
Căng thẳng mãn tính có thể tàn phá làn da của bạn, dẫn đến tăng sắc tố da quá mức. Vì thế, hãy chú ý kết hợp các kỹ thuật thư giãn vào thói quen hàng ngày của bạn, có thể là tập yoga, thiền hay một sở thích nào đó có thể giúp bạn giảm căng thẳng.
Tóm lại, rối loạn sắc tố da có thể do nhiều nguyên nhân gây ra. Để nuôi dưỡng làn da, ngăn ngừa rối loạn sắc tố không phải là điều dễ dàng. Hãy chú ý đến chế độ ăn uống, nghỉ ngơi, dùng kem chống nắng khi ra đường, dùng mỹ phẩm phù hợp làn da,... là những cách có thể giúp bạn duy trì vẻ đẹp rạng rỡ, thúc đẩy sức sống cho làn da.
Xem thêm: Những điều cần biết về hiện tượng rối loạn sắc tố da bẩm sinh
Dược sĩ Đại họcNguyễn Mỹ Huyền
Dược sĩ Đại học có nhiều năm kinh nghiệm trong việc tư vấn Dược phẩm và hỗ trợ giải đáp thắc mắc về Bệnh học. Hiện đang là giảng viên cho Dược sĩ tại Nhà thuốc Long Châu.