Dược sĩ Đại học có nhiều năm kinh nghiệm trong việc tư vấn Dược phẩm và hỗ trợ giải đáp thắc mắc về Bệnh học. Hiện đang là giảng viên cho Dược sĩ tại Nhà thuốc Long Châu.
Thị Ly
18/07/2024
Mặc định
Lớn hơn
Sốc tắc nghẽn là một trong những khái niệm trong y học để chỉ tình trạng nguy hiểm có thể đe dọa tính mạng nếu không được xử trí kịp thời. Vậy sốc tắc nghẽn là gì? Triệu chứng và những nguyên nhân nào gây ra tình trạng này? Bài viết dưới đây sẽ giúp bạn làm rõ những thắc mắc này.
Chắc hẳn chúng ta đều đã từng nghe thuật ngữ sốc, tuy nhiên không phải ai cũng hiểu rõ sốc là gì và có những loại nào. Đây là một hội chứng lâm sàng khá phổ biến có thể gặp ở bất cứ ai và bao gồm nhiều loại như sốc nhiễm khuẩn, sốc phản vệ, sốc tắc nghẽn, sốc giảm thể tích, sốc tim,... Nếu không chẩn đoán sớm và xử trí kịp thời, sốc kéo dài có thể gây ra hội chứng suy đa phủ tạng dẫn đến tử vong nhanh chóng.
Sốc là thuật ngữ để chỉ tình trạng giảm tưới máu đến các cơ quan do rối loạn tuần hoàn gây ra các triệu chứng như nhịp tim nhanh, hạ huyết áp, vã mồ hôi, lơ mơ, thiếu oxy não,... Sốc có thể gây ra các triệu chứng lâm sàng toàn thân hoặc ở các hệ cơ quan quan trọng như hệ thần kinh, hệ tuần hoàn, hệ hô hấp, hệ tiết niệu,...

Hiểu một cách đơn giản, sốc xảy ra khi tế bào và mô bị thiếu oxy do sự mất cân bằng cung cầu oxy trong cơ thể, bao gồm:
Đặc trưng của tình trạng này là việc không cung cấp đủ oxy cho tế bào và mô dẫn đến suy tuần hoàn đe dọa tính mạng của người bệnh với dấu hiệu dễ nhận diện là hạ huyết áp. Đây cũng là triệu chứng trong giai đoạn cuối của một số nguyên nhân phức tạp hơn. Ban đầu, tình trạng này thường xảy ra ở mức tế bào sau đó tiến triển đến các mô, các cơ quan, hệ cơ quan và cuối cùng là toàn bộ cơ thể. Nó có thể gây tử vong nếu không xử trí kịp thời.
Tình trạng thiếu oxy sẽ gây ra hàng loạt các thay đổi sinh lý và sinh hóa trong cơ thể, điều này sẽ dẫn đến nhiễm toan và giảm lưu lượng máu cục bộ. Trong các trường hợp sốc tim, sốc giảm thể tích và sốc tắc nghẽn, cung lượng tim giảm và vận chuyển oxy giảm.
Sốc có thể được phân loại theo nhiều cách khác nhau, trong đó phân loại sốc theo nguyên nhân gây sốc dựa trên cơ thể là thường gặp nhất. Theo cách phân loại này, sốc bao gồm sốc phân bố (sốc phản vệ, sốc nhiễm trùng, sốc thuốc, sốc thần kinh,...), sốc tim, sốc giảm thể tích, sốc tắc nghẽn hoặc theo cơ chế kết hợp.
Sốc tắc nghẽn là một trong những dạng sốc, có tỷ lệ mắc thấp hơn các dạng sốc khác với khoảng 2% nguời bệnh ICU. Theo đó, tình trạng các động mạch phổi, động mạch chủ, tĩnh mạch lớn trong tim bị tắc nghẽn gây cản trở lưu thông máu dù thể tích tuần hoàn và co bóp cơ tim bình thường thì được gọi là sốc tắc nghẽn (Obstructive).

Tình trạng này có thể gây ra các triệu chứng nguy hiểm cần lưu ý để xử trí kịp thời như huyết áp động mạch giảm, mạch nhanh khó bắt, rối loạn ý thức, đổ mồ hôi lạnh, da nhợt nhạt, tím tái, thở nhanh, nghe thấy tiếng tim xa, tiếng mạch nghịch thường, thiểu niệu hoặc vô niệu,...
Tùy thuộc vào nguyên nhân gây sốc tắc nghẽn bác sĩ sẽ đưa ra hướng điều trị phù hợp. Dưới đây là các nguyên nhân hàng đầu gây sốc tắc nghẽn:
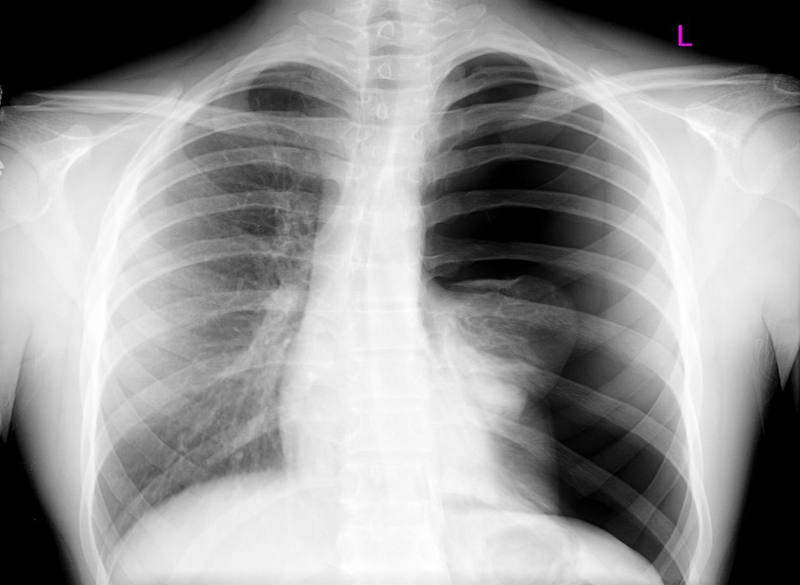
Thuyên tắc phổi (PE) là tình trạng tắc nghẽn động mạch phổi hoặc một trong các nhánh của nó bởi các vật chất có nguồn gốc từ nơi khác trong cơ thể, ví dụ như huyết khối từ tĩnh mạch lớn. Tình trạng này được chia làm 3 mức độ theo ảnh hưởng sinh lý gồm tắc mạch phổi lớn gây hạ huyết áp, tắc mạch phổi trung bình suy giảm chức năng thất phải nhưng không hạ huyết áp và tắc mạch phổi nhỏ không gây ra 2 tình trạng này.
Sốc tắc nghẽn có thể xảy ra khi huyết khối lớn bít tắc các động mạch phổi lớn hoặc khi nhiều huyết khối nhỏ gây bít tắc hơn 50% mạch máu ngoại biên, đồng thời áp lực thất phải tăng. Ngoài sốc tắc nghẽn, tình trạng này còn có thể gây suy thất phải cấp tính, thậm chí tử vong đột ngột. Hệ quả của thuyên tắc phổi cấp sẽ phụ thuộc vào mức độ, tốc độ tăng áp lực tim phải và bệnh trạng tim phổi của người bệnh.
Đây là tình trạng không khí tích tụ trong khoang màng phổi. Nguyên nhân gây ra tràn khí màng phổi áp lực có thể do tự phát hoặc thứ phát bệnh lý phổi như chấn thương, xơ nang, hen suyễn, viêm phổi,...

Lượng không khí tích tụ nhiều theo hiệu ứng van một chiều mà không thoát được ra ngoài đến một mức độ nhất định sẽ gây áp lực lên tim và các mạch máu khác. Cuối cùng, khi áp suất tăng cao, hoạt động bơm máu của tim đến các cơ quan bị hạn chế do mạch bị ép chặt.
Tràn dịch màng ngoài tim cũng là một trong những nguyên nhân gây ra sốc tắc nghẽn. Đây là thuật ngữ chỉ tình trạng xuất hiện một lượng dịch lớn hơn bình thường trong khoang ngoài tim. Lúc này, người bệnh có nguy cơ bị chèn ép tim cấp, rối loạn huyết động, hạ huyết áp, choáng tim, thậm chí tử vong nếu không được phát hiện kịp thời.
Tóm lại, dù nguyên nhân dẫn đến sốc tắc nghẽn là gì thì tình trạng này cũng đều rất nguy hiểm với tỷ lệ tử vong cao. Vì vậy, hiểu rõ khái niệm, nguyên nhân và các dấu hiệu của sốc tắc nghẽn có thể giúp bạn đọc phát hiện sớm các biểu hiện bất thường nghi ngờ bị sốc tắc nghẽn. Qua đó sẽ giúp việc cấp cứu được thực hiện nhanh chóng và hiệu quả.
Xem thêm:
Dược sĩ Đại họcNguyễn Mỹ Huyền
Dược sĩ Đại học có nhiều năm kinh nghiệm trong việc tư vấn Dược phẩm và hỗ trợ giải đáp thắc mắc về Bệnh học. Hiện đang là giảng viên cho Dược sĩ tại Nhà thuốc Long Châu.