Dược sĩ Đại học có nhiều năm kinh nghiệm trong việc tư vấn Dược phẩm và hỗ trợ giải đáp thắc mắc về Bệnh học. Hiện đang là giảng viên cho Dược sĩ tại Nhà thuốc Long Châu.
Chí Doanh
20/06/2025
Mặc định
Lớn hơn
Thủng tạng rỗng là một tình trạng cấp cứu ngoại khoa nguy hiểm với tỉ lệ tử vong cao, yêu cầu phẫu thuật cấp cứu ngay lập tức. Nhiều người do sự chủ quan với các triệu chứng như đau bụng sau ăn, đau dạ dày mạn tính thường xuyên nên không nhận ra tình trạng nghiêm trọng, dẫn đến tình trạng nguy kịch. Hãy cùng Nhà thuốc Long Châu tham khảo bài viết dưới đây để hiểu rõ hơn về căn bệnh này.
Bệnh thủng tạng rỗng được xem là một tình trạng cấp cứu y khoa nguy hiểm, có nguy cơ tử vong cao nếu không được cấp cứu kịp thời. Đáng chú ý, nhiều người thường không nhận ra các triệu chứng cảnh báo của bệnh này và thường tỏ ra chủ quan cho đến khi tình trạng trở nên nghiêm trọng mới được đưa đến bệnh viện. Nếu đột nhiên bị đau bụng dữ dội sau chấn thương hoặc do bị viêm loét dạ dày,... thì nên cần cảnh giác với căn bệnh này.
Thủng tạng rỗng là một tình trạng tổn thương, ảnh hưởng đến các lớp của đường tiêu hóa (bao gồm thực quản, dạ dày, ruột non và đại tràng) dẫn đến sự tràn khí và chất lỏng từ ống tiêu hóa vào bụng hoặc trung thất. Đây là một dạng cấp cứu ngoại khoa thường xảy ra nhưng rất khó để phát hiện, nếu chẩn đoán càng muộn thì nguy cơ tử vong càng cao nên rất nguy hiểm. Tình trạng này có thể xuất phát từ nhiều nguyên nhân, thường gặp nhất là viêm, nhiễm trùng, tắc nghẽn, chấn thương hoặc các thủ thuật xâm lấn. Bệnh nhân thường trải qua đau bụng và sưng bụng, đặc biệt là trong các hoàn cảnh có bệnh sử mắc kèm nên cần được chẩn đoán sớm để tránh nguy cơ nhiễm trùng nặng như viêm phúc mạc, có thể đe dọa tính mạng.
Thủng tạng rỗng thường phổ biến ở nam giới trong độ tuổi từ 35 đến 65, đặc biệt là tăng cao ở nhóm tuổi từ 30 đến 40. Tuy nhiên, cũng có nhiều trường hợp bệnh xảy ra ở những người có độ tuổi cao, khoảng từ 80 đến 85 tuổi. Một trong những yếu tố thuận lợi gây bệnh có thể là thời tiết lạnh.
Điều trị bao gồm hồi sức cho bệnh nhân và can thiệp phẫu thuật. Ngay cả khi được điều trị một cách thích hợp, thủng tạng rỗng vẫn có thể xuất hiện tai biến và tăng nguy cơ tử vong do biến chứng sau phẫu thuật như dính và rò tiêu hóa.

Người mắc thủng tạng rỗng thường trải qua cơn đau bụng đột ngột và dữ dội, đôi khi có dấu hiệu nôn. Trong những giờ đầu, không phải tất cả bệnh nhân đều gặp tình trạng bí trung đại tiện. Trong thời kỳ cơn đau tăng lên, bụng sẽ trở nên cứng.
Diễn biến lâm sàng thường thay đổi trong quá trình thủng tạng rỗng. Ban đầu, có thể xuất hiện đau thượng vị dữ dội trong khoảng 6 giờ đầu, kèm theo tình trạng sốc. Sau đó, cơn đau có thể nhanh chóng lan rộng ra khắp ổ bụng và trở lại trạng thái bình thường trong 6 giờ tiếp theo. Trong trường hợp lỗ thủng nhỏ, lỗ thủng cách xa bữa ăn hoặc lỗ thủng đã được bít lại thì sẽ có ít rò rỉ dịch dạ dày ra khỏi lỗ thủng và chảy xuống hố chậu phải, gây đau ở vùng này. Điều này có thể khiến nhiều người hiểu lầm rằng họ đang mắc bệnh viêm ruột thừa cấp.

Trong số các trường hợp thủng tạng rỗng, khoảng 90% xuất phát từ thủng loét dạ dày tá tràng. Các trường hợp còn lại có thể được phân loại như sau:
Các kỹ thuật sau đây thường được sử dụng để chẩn đoán bệnh lý thủng tạng rỗng.
Thông qua siêu âm, có thể phát hiện dấu hiệu dịch ổ bụng hoặc tổn thương tạng khác đi kèm.

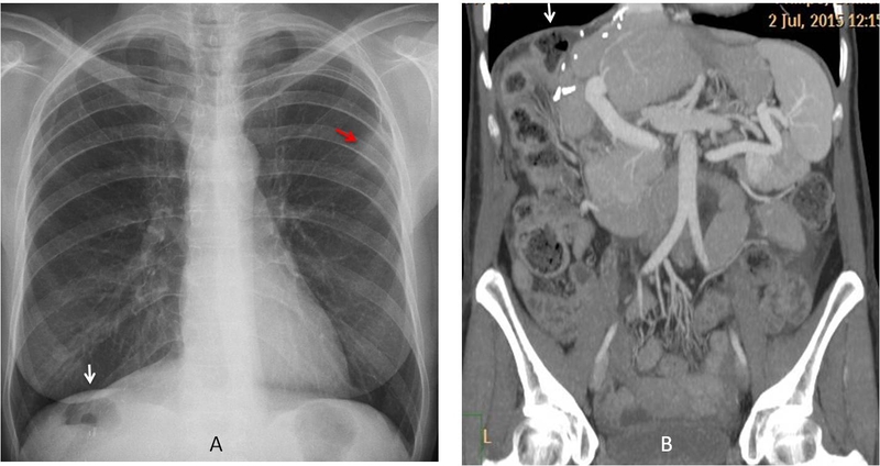
Phương pháp này rất phổ biến để xác định thủng tạng rỗng, thường được sử dụng trong các trường hợp cấp cứu. Người bệnh sẽ được hướng dẫn chụp X-quang bụng ở tư thế đứng hoặc nửa nằm nửa ngồi để phát hiện hơi bên dưới cơ hoành.
Dùng cho những bệnh nhân khó xác định thủng tạng rỗng qua siêu âm hoặc X-quang.
Hình ảnh từ phim chụp CT có thể xác định thủng tạng rỗng dựa vào các dấu hiệu như:

Trước đây, duy nhất một phương pháp điều trị thủng tạng rỗng là phẫu thuật mở ổ bụng. Sau phẫu thuật này, người bệnh phải trải qua một quá trình phục hồi kéo dài và tốn rất nhiều thời gian thời gian. Tuy nhiên, nhờ sự tiến bộ trong lĩnh vực y học, hiện nay có thể áp dụng phẫu thuật nội soi để điều trị thủng tạng rỗng. Phương pháp này ít xâm lấn hơn, ít ảnh hưởng đến các tạng bên trong ổ bụng, vết mổ nhỏ hơn. Vì vậy, người bệnh hồi phục nhanh chóng hơn và giảm nguy cơ nhiễm trùng.
Người ta thường nói phòng bệnh hơn chữa bệnh, việc phòng ngừa các nguyên nhân gây thủng tạng rỗng có thể giúp hạn chế tỷ lệ bệnh và gánh nặng y tế. Khi có các triệu chứng của bệnh viêm loét dạ dày và tá tràng như ợ hơi, ợ chua, nóng rát vùng thượng vị,... thì bạn nên đi thăm khám sớm. Việc thăm khám sớm giúp bác sĩ có cơ hội phát hiện và điều trị kịp thời, từ đó tránh được các biến chứng nguy hiểm như chảy máu dạ dày, thủng ổ loét hoặc thậm chí là ung thư.
Bên cạnh đó, cần chú ý điều chỉnh chế độ ăn uống và sinh hoạt sao cho khoa học hơn, bao gồm việc ăn và ngủ đúng giờ, hạn chế thức ăn vào buổi tối, tránh làm việc căng thẳng kéo dài và ăn đêm muộn. Đồng thời, cũng cần hạn chế tiêu thụ thức ăn chua, cay, nóng. Quan trọng nhất, việc thăm khám sức khỏe định kỳ 6 tháng 1 lần có thể giúp phát hiện sớm các dấu hiệu bệnh liên quan đến viêm loét dạ dày và tá tràng.

Bài viết trên đây đã chia sẻ về vấn đề đầy nguy hiểm là thủng tạng rỗng. Khi có chấn thương gây xuất huyết ổ bụng hoặc xuất hiện các triệu chứng đau bụng bất thường, cùng với dấu hiệu của viêm loét dạ dày thì cần nên thăm khám với bác sĩ chuyên khoa để kiểm tra ngay lập tức. Thông qua các phương pháp chẩn đoán hình ảnh, bác sĩ có thể nhanh chóng phát hiện thủng tạng rỗng và áp dụng phác đồ điều trị thích hợp, giúp ngăn chặn các biến chứng nguy hiểm.
Dược sĩ Đại họcNguyễn Mỹ Huyền
Dược sĩ Đại học có nhiều năm kinh nghiệm trong việc tư vấn Dược phẩm và hỗ trợ giải đáp thắc mắc về Bệnh học. Hiện đang là giảng viên cho Dược sĩ tại Nhà thuốc Long Châu.