Tốt nghiệp Đại học Dược Hà Nội, với hơn 10 năm kinh nghiệm trong lĩnh vực Dược phẩm. Hiện là giảng viên giảng dạy các môn Dược lý, Dược lâm sàng,...
Cẩm Ly
27/06/2025
Mặc định
Lớn hơn
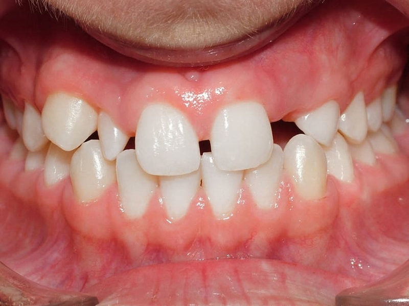
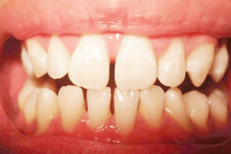
Mọc thiếu răng sữa là một vấn đề phổ biến ở nhiều trẻ em, gây lo lắng cho các bậc phụ huynh. Khi trẻ mọc thiếu răng, việc điều trị không hề đơn giản do xương hàm vẫn đang phát triển cho đến khi trưởng thành (khoảng 18 tuổi). Khác với người lớn, việc thay thế răng bị thiếu không thể thực hiện ngay lập tức như trường hợp răng vĩnh viễn bị hỏng. Vậy nguyên nhân nào dẫn đến việc trẻ mọc thiếu răng sữa?
Mọc thiếu răng có thể là dấu hiệu của bệnh lý di truyền hoặc do nhiều nguyên nhân khác nhau. Đặc biệt ở trẻ nhỏ, việc thiếu răng sữa cần được phát hiện kịp thời để tránh những ảnh hưởng lâu dài đến sức khỏe răng miệng và sự phát triển hàm mặt. Vậy nguyên nhân nào dẫn đến việc trẻ mọc thiếu răng sữa và làm sao để nhận biết sớm tình trạng này và khắc phục hiệu quả? Hãy cùng tìm hiểu chi tiết trong bài viết dưới đây!
Mọc thiếu răng sữa ở trẻ có thể do nhiều nguyên nhân khác nhau. Yếu tố di truyền là nguyên nhân phổ biến nhất, khi cha mẹ hoặc người thân có tiền sử mọc thiếu răng, trẻ cũng có khả năng gặp tình trạng tương tự.
Bên cạnh đó, rối loạn phát triển là một nguyên nhân khác, xảy ra khi quá trình hình thành mầm răng gặp bất thường từ khi trẻ còn trong bụng mẹ. Thiếu dinh dưỡng, đặc biệt là các chất như canxi, vitamin D và phospho, cũng có thể làm chậm hoặc ngăn chặn quá trình mọc răng sữa. Ngoài ra, chấn thương hoặc nhiễm trùng trong giai đoạn đầu đời có thể làm tổn thương mầm răng, ảnh hưởng đến sự phát triển của răng.
Cuối cùng, các yếu tố môi trường như tiếp xúc với hóa chất hoặc môi trường sống không lành mạnh cũng là nguyên nhân dẫn đến tình trạng mọc thiếu răng sữa. Phát hiện sớm các nguyên nhân này sẽ giúp phụ huynh có biện pháp điều trị kịp thời, đảm bảo sự phát triển răng miệng khỏe mạnh cho trẻ.

Mọc răng sữa có thể gây ra nhiều ảnh hưởng đến sự phát triển của trẻ nếu không được phát hiện và xử lý kịp thời:

Tùy vào cơ địa của hàm răng mà sẽ có những hướng xử lý khác nhau:
Với tình trạng này, chiếc răng bị thiếu có thể mọc ẩn ở khung hàm trên. Nếu đã xác định có mầm răng và răng chỉ mọc chậm, bác sĩ có thể chỉ định theo dõi thường xuyên để kiểm tra tiến trình mọc răng. Trong nhiều trường hợp, răng sẽ tự mọc sau một thời gian. Hoặc để khắc phục tình trạng này một cách tốt nhất, nha sĩ sẽ sử dụng phương pháp kéo răng để răng có thể mọc ra đúng vị trí của nó. Tránh được tình trạng phải dùng đến chân răng nhân tạo.
Khi trẻ không có mầm răng, tức là không có bất kỳ dấu hiệu nào của răng sữa hoặc răng vĩnh viễn trong quá trình phát triển, việc khắc phục có thể phức tạp hơn. Bước đầu, các nha sĩ sẽ thực hiện các xét nghiệm cần thiết để kiểm tra cấu trúc hàm và phát hiện bất thường. Trong trường hợp không có mầm răng và không thể điều trị để phát triển răng mới, việc lắp răng giả có thể là một lựa chọn nên được cân nhắc nhất lúc này.
Một số phương pháp có thể được xem xét trong trường hợp này là cấy implant hoặc trồng răng sứ. Cấy implant là một kỹ thuật tiên tiến, trong đó nha sĩ sẽ cấy một trụ titan vào xương hàm để làm chân răng, sau đó lắp một chiếc răng giả lên trên. Quá trình này tuy có thể gây cảm giác đau hoặc khó chịu cho trẻ, nhưng nó mang lại lợi ích lâu dài, vì răng implant có thể hoạt động và cảm giác như một chiếc răng thật.
Trồng răng sứ cũng là một phương pháp thay thế phổ biến. Trong trường hợp này, bác sĩ sẽ tạo ra một chiếc răng sứ giống hệt như răng thật và gắn nó vào vị trí thiếu răng. Mặc dù phương pháp này cũng có thể yêu cầu can thiệp phẫu thuật nhẹ, nhưng nó không có tác động đến xương hàm như cấy implant.

Có thể thấy, mọc thiếu răng cũng gây nên một số những ảnh hưởng nhất định cho trẻ. Nhưng quan trọng hơn hết, phụ huynh cũng nên lưu ý việc lựa chọn phương pháp điều trị sẽ phụ thuộc vào tình trạng của từng trẻ, cũng như sự tư vấn của bác sĩ nha khoa. Điều quan trọng là theo dõi sự phát triển răng miệng của trẻ một cách thường xuyên để có thể can thiệp kịp thời khi cần thiết. Quan trọng là phải chăm sóc răng miệng đúng cách.
Xem thêm: Tuổi thọ răng lấy tủy là bao lâu? Điều trị tủy răng có nguy hiểm không?
Dược sĩ Đại họcNguyễn Thanh Hải
Tốt nghiệp Đại học Dược Hà Nội, với hơn 10 năm kinh nghiệm trong lĩnh vực Dược phẩm. Hiện là giảng viên giảng dạy các môn Dược lý, Dược lâm sàng,...