Tốt nghiệp loại giỏi trường Đại học Y Dược Huế. Từng tham gia nghiên cứu khoa học đề tài về Dược liệu. Nhiều năm kinh nghiệm làm việc trong lĩnh vực Dược phẩm. Hiện đang là giảng viên cho Dược sĩ tại Nhà thuốc Long Châu.
Tố Uyên
06/02/2025
Mặc định
Lớn hơn
U nhú tế bào vảy là một dạng tổn thương da thường gặp, xuất hiện do sự tăng sinh bất thường của tế bào vảy. Đây được coi là một trong những vấn đề cần theo dõi sát sao vì có thể tiềm ẩn nguy cơ phát triển thành ung thư da. Vậy nguyên nhân do đâu mà xuất hiện? Dấu hiệu nhận biết ra sao? Tất cả sẽ được giải đáp trong bài viết sau đây.
U nhú tế bào vảy là tình trạng da liễu phổ biến, có thể dẫn đến nhiều vấn đề sức khỏe nghiêm trọng nếu không được phát hiện và điều trị kịp thời. Tìm hiểu nguyên nhân, dấu hiệu và cách điều trị hiệu quả.
U nhú tế bào vảy là một dạng khối u lành tính nhỏ nhưng không phải ung thư phát sinh từ các tế bào vảy, tức là các tế bào mỏng và phẳng nằm trên bề mặt da hoặc trong các bộ phận như đường hô hấp, đường tiêu hóa và lớp lót của các cơ quan rỗng trong cơ thể.
Nguyên nhân chính gây ra u nhú tế bào vảy là do nhiễm virus u nhú ở người (HPV). Khi xuất hiện trên da, những khối u này thường được gọi là mụn cóc hoặc mụn cơm. Nếu chúng xuất hiện trong khu vực sinh dục, chúng được gọi là mụn cóc sinh dục. U nhú tế bào vảy cũng có thể hình thành ở nhiều vị trí khác trong cơ thể. Ngoài ra, u nhú tế bào vảy đã được nghiên cứu như một thực thể bệnh riêng biệt tại miệng, họng, thực quản (đường tiêu hóa), đường hô hấp và kết mạc.

Virus Papilloma ở người (HPV) là một nhóm virus có hơn 200 loại khác nhau, trong đó một số loại có thể gây u nhú trên da và niêm mạc bên trong cơ thể. HPV được phân loại thành hai nhóm chính: nhóm có nguy cơ thấp (như HPV-6 và HPV-11) thường gây ra các u nhú không ác tính, trong khi nhóm có nguy cơ cao (như HPV-16 và HPV-18) có thể dẫn đến ung thư.
HPV lây truyền chủ yếu qua tiếp xúc trực tiếp, bao gồm quan hệ tình dục không an toàn, nhưng cũng có thể lây qua tiếp xúc da với da. Virus cũng có thể được truyền từ mẹ sang con trong quá trình sinh.
Các u nhú do HPV thường không có triệu chứng rõ ràng và có thể tự biến mất theo thời gian. Tuy nhiên, khi tồn tại lâu, chúng có thể gây khó khăn trong ăn uống hoặc hô hấp đối với u nhú ở họng.
Tổn thương đơn lẻ là dạng phổ biến nhất, thường xuất hiện dưới hình thức một khối mềm có cuống với nhiều phần nhô ra giống như các ngón tay. Những phần nhô ra này có thể dài và nhọn hoặc ngắn và tròn, tùy thuộc vào sự tích tụ keratin (một loại protein hình thành da) xung quanh tổn thương. Các tổn thương ít sừng hóa thường có màu hồng hoặc đỏ, trông giống quả mâm xôi, trong khi các tổn thương sừng hóa nặng thường có màu trắng và có hình dáng giống như đầu của cây súp lơ.
U nhú tế bào vảy có thể được phân loại dựa trên vị trí xuất hiện, đặc điểm lâm sàng và xu hướng tái phát, từ đó xác định phương pháp điều trị hợp lý. Dưới đây là một số loại u nhú tế bào vảy thường gặp:
U nhú tế bào vảy kết mạc: Loại u nhú tế bào vảy này thường xuất hiện ở trẻ em hoặc thanh thiếu niên. Một trong những nguyên nhân phổ biến nhất dẫn đến u nhú tế bào vảy kết mạc là nhiễm virus trong quá trình sinh nở, khi người mẹ truyền virus cho con.

U nhú vảy thực quản (ESP): Là một khối u biểu mô lành tính hiếm gặp, thường không có triệu chứng nhưng có thể biểu hiện bằng tình trạng nhiệt miệng và khó chịu vùng thượng vị kèm hoặc không kèm theo chứng khó nuốt. ESP thường được chẩn đoán ở những bệnh nhân từ 43 đến 50 tuổi.
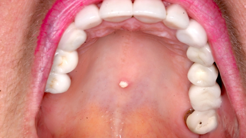
U nhú tế bào vảy miệng: U nhú tế bào vảy ở miệng hoặc họng thường xuất hiện ở những người trong độ tuổi từ 30 đến 50. Chúng thường được tìm thấy bên trong má, trên lưỡi hoặc bên trong môi. Các u nhú ở miệng thường không đau và chỉ cần điều trị khi chúng gây khó khăn trong việc ăn uống hoặc gây đau. Chúng hiếm khi chuyển thành khối u ác tính và cũng không phát triển hoặc lan rộng. Nguyên nhân chủ yếu của u nhú miệng là do nhiễm virus HPV loại 6 và 11.

U nhú ở miệng thường không đau và có thể không cần điều trị, vì chúng thường không thay đổi kích thước, không lan sang các khu vực khác trong khoang miệng và không chuyển thành khối u ác tính. Nếu cần điều trị, có thể tiến hành phẫu thuật bảo tồn để loại bỏ phần đầu và gốc của tổn thương mà không có nguy cơ tái phát.

Trong khi đó, u nhú ở vùng mũi hoặc họng, mặc dù có đặc điểm lâm sàng và tổ chức học tương tự như u nhú miệng, thường xuất hiện dưới dạng nhiều tổn thương và liên tục phát triển theo thời gian, có khả năng tái phát cao. Ở một số trường hợp, u nhú vùng họng có thể phát triển đáng kể, gây nguy hiểm đến tính mạng do cản trở hô hấp.
U nhú tế bào vảy cũng có thể xuất hiện ở kết mạc, được gọi là u nhú kết mạc truyền nhiễm, do nhiễm HPV loại 6 và 11. Chúng thường thấy ở trẻ em và thanh thiếu niên dưới 20 tuổi; trong một số trường hợp, lây nhiễm có thể xảy ra khi sinh nếu người mẹ bị nhiễm. Những bệnh nhân có tiền sử mụn cóc trên da có nguy cơ cao mắc u nhú kết mạc hơn.
U nhú này thường không gây đau và không ảnh hưởng đến thị giác, thường không cần điều trị vì chúng có thể tự biến mất theo thời gian. Giống như các u nhú khác do HPV-6 và 11 gây ra, khả năng chuyển thành khối u ác tính là rất thấp. Nếu cần điều trị, có thể áp dụng các phương pháp như liệu pháp đông lạnh và phẫu thuật kết hợp với điều trị y tế.
Việc phát hiện và điều trị u nhú tế bào vảy từ giai đoạn đầu đóng vai trò quan trọng trong việc ngăn ngừa các biến chứng nguy hiểm. Nếu bạn nhận thấy các dấu hiệu bất thường trên da, hãy nhanh chóng thăm khám và nhờ sự tư vấn của bác sĩ chuyên khoa.
Phòng bệnh hơn chữa bệnh, hãy luôn bảo vệ làn da của bạn bằng cách hạn chế tiếp xúc ánh nắng, duy trì lối sống lành mạnh và kiểm tra sức khỏe định kỳ. Chăm sóc kịp thời không chỉ mang lại hiệu quả điều trị cao mà còn giảm nguy cơ tái phát trong tương lai.
Dược sĩ Đại họcNgô Kim Thúy
Tốt nghiệp loại giỏi trường Đại học Y Dược Huế. Từng tham gia nghiên cứu khoa học đề tài về Dược liệu. Nhiều năm kinh nghiệm làm việc trong lĩnh vực Dược phẩm. Hiện đang là giảng viên cho Dược sĩ tại Nhà thuốc Long Châu.