Dược sĩ Đại học có nhiều năm kinh nghiệm trong việc tư vấn Dược phẩm và hỗ trợ giải đáp thắc mắc về Bệnh học. Hiện đang là giảng viên cho Dược sĩ tại Nhà thuốc Long Châu.
18/09/2025
Mặc định
Lớn hơn
Viêm amidan cấp là bệnh thường gặp ở lứa tuổi học đường khoảng từ 5 - 15 tuổi. Đó là tình trạng viêm sung huyết của amidan khẩu cái do nhiều nguyên nhân gây ra. Vậy các nguyên nhân gây bệnh là gì, triệu chứng và cách điều trị bệnh này như thế nào?
Viêm amidan cấp hay còn gọi là viêm amidan cấp tính là tình trạng nhiễm trùng amidan do một số loại virus hoặc vi khuẩn gây ra. Bệnh có thể gây biến chứng dẫn đến tử vong ở người lớn và cả trẻ em nếu không được điều trị kịp thời. Hãy tham khảo bài viết sau để có đầy đủ thông tin về bệnh.
Viêm amidan cấp là tình trạng mô amidan bị viêm, thường có tính truyền nhiễm và kéo dài không quá 2 tuần. Trẻ em trong độ tuổi đi học thường bị nhiễm trùng amidan cấp tính, nhưng mọi lứa tuổi đều có thể bị ảnh hưởng.
Khi bị viêm amidan cấp tính do virus, người bệnh có thể điều trị bằng chăm sóc hỗ trợ. Viêm amidan do vi khuẩn phổ biến nhất là do vi khuẩn Streptococcus pyogenes gây ra. Nguyên nhân gây bệnh có thể do nhiễm trùng đa vi khuẩn và mầm bệnh virus.
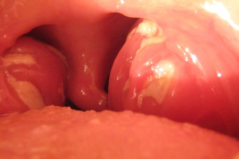
Khi bị viêm amidan cấp thường có những triệu chứng sau: Đau họng, nổi các mảng trắng, mủ tại amidan, sưng đỏ amidan, khó nuốt hoặc nghẹn cổ, nuốt đau, nổi hạch ở cổ, hôi miệng, thở bằng miệng, ngáy hoặc ngưng thở khi ngủ, mệt mỏi, thờ ơ và khó chịu.

Phát ban đỏ có thể làm phức tạp thêm tình trạng viêm amidan. Sau 3 - 4 ngày những triệu chứng này thường hết, nhưng ngược lại có thể kéo dài đến 2 tuần, ngay cả khi được điều trị. Một số bệnh nhân bị viêm amidan tái phát, ngay sau khi hoàn thành liệu pháp kháng sinh, các triệu chứng có thể quay trở lại.
Viêm amidan gây nên các biến chứng nhẹ như sốt ban đỏ, sốt thấp khớp, bệnh Lemierre, hội chứng múa giật Sydenham, áp xe quanh amidan…
Trường hợp viêm amidan cấp do nhiễm Streptococcus nhóm A có thể dẫn đến những biến chứng phức tạp, gây tử vong ở cả người lớn và trẻ nhỏ bao gồm viêm cơ tim, viêm cầu thận, viêm màng não và suy hô hấp cấp tiến triển (ARDS).
Có 70% trường hợp bị viêm amidan cấp tính là do virus gây ra, có thể kể đến virus cúm, virus parainfluenza, adenovirus, enterovirus và mycoplasma.
Ngoài ra, các loại virus khác cũng có liên quan đến viêm amidan như virus Epstein-Barr (EBV) gây bệnh bạch cầu đơn nhân nhiễm trùng ở trẻ em và thanh niên, virus sởi, virus Herpes simplex, Cytomegalovirus.
Khoảng 15 - 30% trường hợp viêm amidan còn lại là do vi khuẩn gây ra, trong đó vi khuẩn phổ biến nhất là liên cầu khuẩn tan huyết beta nhóm A (GABHS). GABHS được cho là có thể lây lan khi người bị nhiễm ho hoặc hắt hơi hoặc dùng chung thức ăn hoặc đồ uống.
Để điều trị viêm amidan cấp, giải pháp chủ yếu là giảm các triệu chứng tại chỗ. Nếu viêm amidan do virus, người bệnh không cần dùng kháng sinh, thay vào đó là bù nước và kiểm soát cơn đau. Bệnh nhân có thể cần nhập viện trong những trường hợp nghiêm trọng, đặc biệt khi bệnh nhân bị tắc nghẽn đường thở hay bị mất nước.
Người bị viêm amidan do vi khuẩn cần dùng thuốc kháng sinh để điều trị, giúp bệnh nhanh khỏi hơn, đồng thời ngăn ngừa các biến chứng như sốt thấp khớp, viêm cầu thận, viêm cơ tim.
Các loại kháng sinh thường được chỉ định để điều trị viêm amidan bao gồm penicillin, macrolide, cephalosporin hoặc clindamycin.
Xem thêm: Viêm amidan uống thuốc gì và cách dùng thuốc
Trong một số trường hợp, bác sĩ chuyên khoa tai mũi họng sẽ đề nghị phẫu thuật cắt bỏ amidan.
Những trường hợp cắt amidan gồm: Trẻ em bị viêm amidan 5 đợt mỗi năm hay 7 đợt mỗi năm trong hai năm liên tiếp; hoặc trẻ em bị viêm amidan 3 đợt mỗi năm trong ba năm liên tiếp.

Khi bệnh nhân bị viêm amidan nặng dẫn đến biến chứng áp xe quanh amidan, bác sĩ cần phẫu thuật để dẫn lưu mủ từ ổ áp xe.
Để cải thiện các triệu chứng của viêm amidan cấp, người bệnh có thể áp dụng những biện pháp hỗ trợ tại nhà đơn giản, dễ thực hiện sau đây:
Để có thể tạm thời làm dịu cảm giác ngứa hoặc cơn đau ở thành sau họng, người bệnh có thể súc miệng bằng nước muối.
Nếu tự pha nước muối sẽ không đảm bảo nồng độ natri chuẩn và làm ảnh hưởng cổ họng của người bệnh, thay vào đó nên dùng nước muối sinh lý pha sẵn sẽ tốt hơn. Bạn cần súc nước muối ít nhất 30 giây trước khi nhổ ra. Nước muối an toàn nên người bệnh có thể súc bất cứ khi nào cảm thấy miệng đau rát, hôi và khó chịu, có thể súc nhiều lần trong ngày.
Người bệnh nên uống nhiều nước, nhất là nước ấm, ăn các loại cháo, súp loãng vì có thể giúp làm dịu cơn đau họng.
Dùng các loại trà thảo dược với các thành phần từ mật ong, glycerine, pectin giúp làm dịu sự kích ứng họng, miệng thông qua việc tạo thành một lớp màng bảo vệ màng nhầy trong miệng và họng.

Những người bị viêm amidan ăn những thức ăn cứng như các loại hạt sấy khô, đồ chiên giòn… có thể gây kích ứng amidan và gây đau. Những thức ăn mềm, dễ nuốt như cháo, súp, bún, phở, hủ tiếu sẽ tốt cho người bị viêm amidan.
Xem thêm: Viêm amidan nên ăn gì và kiêng gì để mau khỏi bệnh?
Không khí khô có thể khiến chứng đau họng nặng hơn. Khi sử dụng máy tạo độ ẩm phun sương mát, người bị viêm amidan có thể cảm thấy dễ chịu hơn. Chức năng của thiết bị này là giải phóng độ ẩm trở lại không khí và làm cổ họng bớt khó chịu.
Một trong các triệu chứng của viêm amidan là giọng nói bị khàn đặc, khó nghe nên người bệnh luôn cố gắng nói to, càng khiến viêm amidan trở nên khó chịu hơn.
Một số viên ngậm trị viêm họng có thể giúp làm dịu cơn đau cổ họng. Tác dụng của viên ngậm này là giúp giảm đau trực tiếp ở vị trí viêm.
Nhiều loại viên ngậm chứa cả thuốc chống viêm để giảm sưng, viêm và chất sát khuẩn. Các chất này tác động đến vi khuẩn gây viêm amidan.
Tuy nhiên, trẻ nhỏ không nên dùng viên ngậm vì chúng có nguy cơ gây nghẹt thở. Chất benzocaine trong một số viên ngậm có thể gây ra tác dụng phụ. Trẻ em dưới 2 tuổi không nên sử dụng các sản phẩm có chứa benzocaine trừ khi bác sĩ chỉ định.
Thuốc giảm đau không cần kê đơn như acetaminophen, ibuprofen, aspirin có thể giúp giảm đau họng và các triệu chứng đau khác của viêm amidan. Lưu ý, trẻ em không được dùng aspirin vì có thể gây ra một căn bệnh có thể gây tử vong gọi là hội chứng Reye.

Thuốc xịt họng và súc miệng được chỉ định để giảm các triệu chứng viêm họng vì chứa chất gây tê, giúp chống viêm và sát trùng trực tiếp.
Trẻ lớn và người trưởng thành chỉ được dùng các loại thuốc xịt họng có một trong các hoạt chất sau: Benzydamine, dibucaine, phenol, rượu benzyl, benzocaine.
Để phòng ngừa viêm amidan cấp, bạn có thể lưu ý các điều sau:
Sau khi đọc bài viết trên, bạn đã có đầy đủ thông tin về bệnh viêm amidan cấp. Nếu không được điều trị kịp thời, đúng cách, viêm amidan cấp có thể gây ra biến chứng nguy hiểm.
Xem thêm:
Dược sĩ Đại họcNguyễn Mỹ Huyền
Dược sĩ Đại học có nhiều năm kinh nghiệm trong việc tư vấn Dược phẩm và hỗ trợ giải đáp thắc mắc về Bệnh học. Hiện đang là giảng viên cho Dược sĩ tại Nhà thuốc Long Châu.