• Thực phẩm chức năng

  • Dược mỹ phẩm

  • Thuốc

  • Chăm sóc cá nhân

  • Thiết bị y tế

  • Tiêm chủng

  • Bệnh & Góc sức khỏe

  • Hệ thống nhà thuốc

    1. /
    2. Góc sức khỏe/
    3. Tin tức sức khỏe

    Hướng dẫn cách lập kế hoạch chăm sóc bệnh nhân viêm phổi

    Thảo Hiền

    24/04/2024

    Kích thước chữ

    Viêm phổi là một dạng bệnh lý nhiễm trùng thường gặp, nhất là hay gặp ở trẻ nhỏ. Đây là một bệnh lý có thể nguy hiểm tới tính mạng nếu không được điều trị tích cực, vì vậy để tốt nhất trước hết phải lập kế hoạch chăm sóc bệnh nhân viêm phổi.

    Tuy viêm phổi có thể gặp khá phổ biến tuy nhiên không phải ai cũng hiểu rõ về bệnh lý này cũng như cách chăm sóc và điều trị. Bài viết dưới đây hướng dẫn cho bạn đọc hiểu cách lập kế hoạch chăm sóc bệnh nhân viêm phổi đúng cách.

    Bệnh viêm phổi là gì?

    Viêm phổi là một trạng thái viêm nhiễm và đông đặc của nhu mô phổi, bao gồm các tình trạng viêm phế nang, viêm túi phế quản tận cùng, túi phế nang, ống phế nang và tổ chức liên kết khe kẽ. Viêm phổi thường được gây ra bởi nhiều tác nhân và là bệnh lý đứng đầu gây tử vong trong các trường hợp nhiễm khuẩn phổ biến nhất.

    Cách lập kế hoạch chăm sóc bệnh nhân viêm phổi như thế nào? 1
    Có nhiều nguyên nhân dẫn tới bệnh lý viêm phổi như vi khuẩn, virus, kí sinh trùng,...

    Nguyên nhân của viêm phổi có thể bao gồm vi khuẩn, virus, nấm hoặc ký sinh trùng, hít sặc, dị vật, cũng như có thể do hóa chất, tia xạ, hoặc tình trạng ung thư.

    Trên lâm sàng, bệnh viêm phổi được phân chia thành hai nhóm chính: viêm phổi cộng đồng và viêm phổi mắc phải trong bệnh viện. Viêm phổi cộng đồng thường là các trường hợp mà viêm phổi xảy ra bên ngoài môi trường bệnh viện, đặc biệt phổ biến ở người già và trẻ em dưới 5 tuổi. Ngược lại, viêm phổi mắc phải trong bệnh viện là khi các triệu chứng xuất hiện sau ít nhất 48 giờ kể từ khi bệnh nhân nhập viện, chiếm tỉ lệ cao trong số các trường hợp nhiễm trùng bệnh viện và là nguyên nhân gây tử vong thường xuyên nhất.

    Triệu chứng của bệnh viêm phổi

    Triệu chứng của viêm phổi có thể được chia thành hai loại: Viêm phổi điển hình và viêm phổi không điển hình.

    Viêm phổi điển hình:

    • Sốt cao đột ngột: Bệnh nhân trải qua tăng nhiệt độ cơ thể đột ngột và duy trì ở mức cao.
    • Ho đờm mủ: Có triệu chứng ho kèm theo mủ, đặc biệt là màu rỉ sét.
    • Đau ngực: Bệnh nhân có thể trải qua cảm giác đau hoặc áp lực ở khu vực ngực.
    • Hội chứng đông đặc phổi: Gõ đục vùng phổi sẽ tạo ra âm thanh đặc trưng, rung thanh tăng, và rì rào phế nang giảm.
    Cách lập kế hoạch chăm sóc bệnh nhân viêm phổi như thế nào? 2
    Sốt cao đột ngột là triệu chứng thường thấy của viêm phổi điển hình

    Viêm phổi không điển hình:

    • Khởi bệnh từ từ: Triệu chứng xuất hiện dần dần thay vì đột ngột như trong viêm phổi điển hình.
    • Nhức đầu, mệt mỏi: Bệnh nhân có thể trải qua cảm giác đau đầu và mệt mỏi nặng.
    • Đau họng, khàn tiếng: Có thể xuất hiện các triệu chứng như đau họng và mất tiếng.
    • Buồn nôn, nôn hoặc tiêu chảy: Một số bệnh nhân có thể trải qua các vấn đề tiêu hóa như buồn nôn hoặc tiêu chảy.

    Nhận biết triệu chứng sớm và đưa ra chẩn đoán nhằm điều trị kịp thời là quan trọng để ngăn chặn sự tiến triển của bệnh viêm phổi và cải thiện kết quả điều trị. Ngoài ra, một số xét nghiệm cận lâm sàng được thực hiện để đưa ra kết quả về tình trạng viêm phổi và mức độ nghiêm trọng của bệnh như:

    • Xét nghiệm máu: Kiểm tra sự có mặt của bạch cầu trong máu, đặc biệt là số lượng bạch cầu. Sự tăng cao của bạch cầu trong máu có thể là một dấu hiệu của nhiễm trùng phổi.
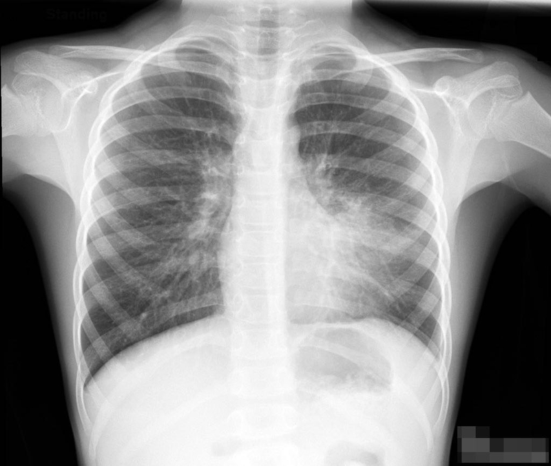
    • Chụp X-quang ngực: Phương pháp này giúp chẩn đoán viêm phổi bằng cách tạo ra hình ảnh về tình trạng của nhu mô phổi. X-quang thường cho thấy các tổn thương như tình trạng tổn thương phế nang và mô kẽ phổi.
    • Chụp CT (Computed Tomography): Kỹ thuật chụp CT làm tăng khả năng chẩn đoán bằng cách tạo ra hình ảnh chi tiết hơn so với X-quang, giúp xác định đầy đủ các đám mờ ở phổi, kể cả các tổn thương nhỏ hoặc khó nhận thấy trên X-quang.
    • Nội soi phế quản: Thực hiện bằng cách sử dụng một ống nội soi mềm để quan sát đường hô hấp và chẩn đoán các bệnh lý về phổi. Nó cũng cho phép lấy mẫu mô, tế bào hoặc dịch từ phổi để kiểm tra.
    • Nuôi cấy đờm: Phương pháp này nhằm tìm kiếm vi khuẩn hoặc nấm gây nhiễm trùng phổi từ đờm. Kết quả của nước cấy giúp bác sĩ xác định loại khuẩn hoặc nấm và chọn loại kháng sinh phù hợp để điều trị nhiễm trùng.
    Cách lập kế hoạch chăm sóc bệnh nhân viêm phổi như thế nào? 3
    Chụp X-quang ngực giúp hỗ trợ chuẩn đoán chính xác bệnh lý viêm phổi và đánh giá tổn thương phổi

    Hướng dẫn cách lập kế hoạch chăm sóc bệnh nhân viêm phổi

    Sau khi đã chẩn đoán được người bệnh viêm phổi, điều quan trọng tiếp theo cần làm để giúp cho quá trình điều trị được tốt nhất chính là lập kế hoạch chăm sóc bệnh nhân viêm phổi.

    Quan sát và theo dõi

    Quan sát và theo dõi là bước quan trọng đầu tiên trong quy trình lập kế hoạch chăm sóc bệnh nhân viêm phổi, giúp đánh giá tình hình và thể trạng của bệnh nhân từ nhiều khía cạnh:

    Thể trạng bệnh nhân:

    • Tình trạng tinh thần: Bao gồm mức độ mệt mỏi và không có cảm giác thèm ăn.
    • Dấu hiệu nhiễm khuẩn: Quan sát các dấu hiệu như môi khô, lưỡi bẩn, mắt trũng, và những biểu hiện khác có thể xuất hiện khi có nhiễm khuẩn.
    • Thân nhiệt: Kiểm tra sốt, thường lúc này nhiệt độ ở mức từ 39 - 40 độ C.

    Tình trạng hô hấp:

    • Khó thở: Có thể xuất hiện sau vài giờ và độ nặng tùy thuộc vào mức độ nhiễm trùng.
    • Ngưỡng thở nhanh: Đánh giá sự thay đổi của nhịp thở tùy thuộc vào độ tuổi, nhất là ở trẻ em. Kiểm tra bằng cách đếm nhịp thở trong vòng 1 phút.
    • Kiểm tra dấu hiệu suy hô hấp: Bao gồm thở co lõm ngực, ho khan, phập phồng cánh mũi, và biểu hiện tím môi.
    • Tính chất đờm: Quan sát mức độ và màu sắc của đờm, có thể là mủ, có mùi hôi và màu rỉ sét.
    • Đau ngực: Kiểm tra xem có sự đau rát hoặc áp lực ở khu vực ngực hay không.
    • Lồng ngực: Nhận biết sự hạn chế cử động, thở nhanh và nông.

    Tình trạng tuần hoàn: Nhịp và huyết áp: Kiểm tra để đánh giá tình trạng tuần hoàn, có thể xuất hiện thay đổi khi bệnh tình trở nặng.

    Tình trạng tiêu hóa: Triệu chứng tiêu hóa: Bao gồm buồn nôn, nôn, chán ăn, táo bón hoặc tiêu chảy, những biểu hiện này có thể phản ánh tình trạng tổn thương và phản ứng của cơ thể với viêm phổi.

    Cách lập kế hoạch chăm sóc bệnh nhân viêm phổi như thế nào? 4
    Để lập kế hoạch chăm sóc bệnh nhân viêm phổi đầu tiên cần quan sát và theo dõi tình trạng người bệnh

    Lập kế hoạch chăm sóc bệnh nhân viêm phổi

    Đầu tiên, cần biết cách để lưu thông đường thở, điều này giúp bệnh nhân cảm thấy dễ chịu hơn, các bước thực hiện như sau:

    • Đặt bệnh nhân nằm trong tư thế thuận lợi cho việc thở.
    • Khuyến khích bệnh nhân uống nhiều nước để loại bỏ đàm, tùy thuộc vào tình trạng sức khỏe của bệnh nhân.
    • Bảo đảm cân bằng nước xuất nhập, đặc biệt là bù nước mất do sốt và thở nhanh, thúc đẩy uống nước hoa quả.
    • Hướng dẫn bệnh nhân đeo khẩu trang để giảm nguy cơ lây nhiễm, hít vào bằng đường mũi và thở ra qua môi khép kín.
    • Huấn luyện bệnh nhân thực hiện các động tác tập thở sâu và hỗ trợ quá trình khạc đàm.
    • Thực hiện việc vỗ nhẹ và rung vùng ngực để kích thích loại bỏ đàm và dịch tiết.
    • Hút đàm và dịch tiết nếu cần, áp dụng khí dung, thở oxy, hoặc thở máy theo chỉ định y bác sĩ.
    Cách lập kế hoạch chăm sóc bệnh nhân viêm phổi như thế nào? 5
    Có thể hút dịch đàm nếu cần giúp cho bệnh nhân thông thoáng đường thở

    Cân bằng nước và điện giải:

    • Đảm bảo bệnh nhân uống đủ nước, sữa, và nước hoa quả để cung cấp chất dinh dưỡng và ngăn chặn mất nước.
    • Duy trì cân bằng dịch xuất nhập.
    • Theo dõi cân bằng ion và thực hiện việc uống thuốc theo đúng chỉ định.

    Cung cấp dinh dưỡng và năng lượng:

    • Đặt bệnh nhân nghỉ ngơi tại giường để giảm tiêu hao năng lượng.
    • Giảm triệu chứng ho và đau bằng việc vỗ nhẹ và sử dụng thuốc.
    • Đối với trẻ, đảm bảo cung cấp sữa mẹ và hỗ trợ bằng cách vắt sữa hoặc ăn qua ống dạ dày nếu cần.

    Thực hiện chế độ điều trị và chăm sóc:

    • Tuân thủ đầy đủ y lệnh về việc sử dụng thuốc.
    • Theo dõi và chăm sóc bệnh nhân, bao gồm lấy máu xét nghiệm, hút đàm khi cần, thở oxy, thở máy theo đúng chỉ định y bác sĩ.
    • Theo dõi tác dụng phụ của thuốc, cân nặng hàng ngày, nhận biết các dấu hiệu bất thường và báo cáo ngay cho bác sĩ.

    Vệ sinh và nghỉ ngơi:

    • Thực hiện vệ sinh răng miệng và mũi sau khi khạc đàm.
    • Bảo đảm vệ sinh toàn bộ cơ thể, tránh các vùng đè cấn.
    • Tăng cường vệ sinh phòng để ngăn chặn lây nhiễm, bao gồm việc tăng thông khí, xử lý rác thải đúng cách và hạn chế tiếp xúc với người khác.

    Giáo dục sức khỏe:

    • Hỗ trợ tinh thần và giúp gia đình hiểu rõ tình trạng bệnh nhân.
    • Hướng dẫn phương pháp bú sữa hoặc ăn qua ống dạ dày cho trẻ.
    • Huấn luyện trẻ thực hiện các bài tập thở và tập ho.
    • Khuyến khích tái khám đúng định kỳ và giữ ấm cho trẻ sau khi hồi phục.
    • Tiêm phòng các bệnh lý, và hướng dẫn về cách phòng bệnh, đặc biệt là về viêm phổi.

    Trên đây là những thông tin để hiểu hơn về bệnh lý viêm phổi và hướng dẫn lập kế hoạch chăm sóc bệnh nhân viêm phổi nhằm đưa ra định hướng điều trị chính xác. Ngoài ra, giáo dục bệnh nhân và người nhà bệnh nhân trong giai đoạn điều trị để phối hợp với bác sĩ tốt nhất giúp tránh làm nặng thêm viêm phổi, nhiễm trùng và giảm tử vong cho người bệnh.

    Xem thêm: Chẩn đoán viêm phổi bằng cách nào?

    Có thể bạn quan tâm

    Thông tin và sản phẩm gợi ý trong bài viết chỉ mang tính chất tham khảo, vui lòng liên hệ với Bác sĩ, Dược sĩ hoặc chuyên viên y tế để được tư vấn cụ thể. Xem thêm