Trang0225
18/05/2025
Mặc định
Lớn hơn
Chân chữ X là tình trạng tương đối thường gặp ở trẻ em và hầu như chân trẻ sẽ trở về bình thường khi lớn lên. Tuy nhiên, tình trạng này vẫn có thể tiến triển nghiêm trọng hơn và là biểu hiện của những bất thường khác của trẻ.
Chân chữ X là tình trạng thường gặp ở trẻ em và thường sẽ trở về bình thường trước 7 tuổi. Thế nhưng có những trẻ có biểu hiện chân chữ X nặng hơn khi lớn lên, nhất là sau 7 tuổi. Vậy, trẻ có chân chữ X có chữa được không? Hãy cùng Nhà thuốc Long Châu tìm hiểu thêm về tình trạng này qua bài viết dưới đây.
Chân chữ X (Genu valgum hay Knock knees) là tình trạng đầu gối gập vào trong, chạm nhau khi duỗi thẳng chân trong khi hai mắt cá chân vẫn cách xa nhau.
Chân chữ X là một tình trạng phổ biến, thường xuất hiện ở trẻ mới tập đi, trẻ mẫu giáo. Thông thường, cha mẹ có thể nhận thấy ở trẻ mới bắt đầu tập đi tình trạng chân vòng kiềng (Genu varum), nhưng đến khoảng 3 tuổi, trẻ lại phát triển thành chân chữ X. Chân chữ X thường dễ nhận thấy nhất khi trẻ 3 tuổi, nhưng sau đó thường tự khỏi khi trẻ 7 – 8 tuổi.
Chân chữ X thường phổ biến hơn ở trẻ gái so với trẻ trai.

Thông thường, theo sinh lý, nhiều trẻ phát triển chân chữ X trong thời thơ ấu. Khi trẻ mới biết đi, đầu gối nghiêng vào trong và một hoặc cả hai bàn chân nghiêng trong hoặc hướng ra ngoài có thể giúp trẻ giữ thăng bằng.
Tuy nhiên, tình trạng chân chữ X có thể là biểu hiện bên ngoài của những rối loạn nghiêm trọng hơn như:
Các triệu chứng của chân chữ X có thể nhìn thấy khi trẻ đứng thẳng hai chân và các ngón chân hướng về phía trước. Các triệu chứng bao gồm:
Nếu con bạn bị tình trạng chân chữ X cùng với bất kỳ dấu hiệu nào sau đây, bé có thể có một rối loạn nghiêm trọng hơn và cần đi khám để kiểm tra rõ hơn:

Khi đi khám, trẻ sẽ được xem xét tương quan vị trí của chân, đầu gối và mắt cá chân để xác định mức độ nghiêm trọng. Bên cạnh đó, khoảng cách giữa 2 mắt cá chân trong của trẻ cũng sẽ được đo, tình trạng này được coi là nghiêm trọng hơn khi trẻ có khoảng cách giữa các mắt cá chân cao hơn.
Các bác sĩ thường xem xét thêm các yếu tố sau để xác định xem một trẻ dưới 7 tuổi có bị chân chữ X không:
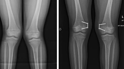
Ngoài ra, chụp X – quang là phương pháp chẩn đoán hình ảnh có thể sử dụng để kiểm tra mức độ biến dạng chân trẻ bằng cách đo góc của trục Hông – Đầu gối – Mắt cá chân. Bình thường, góc này dao động từ 1.0° đến 1.5° ở người lớn bình thường.

Tình trạng chân chữ X có chữa được không là nỗi băn khoăn của nhiều cha mẹ đang có con mắc tình trạng này. May mắn thay, hầu hết các trường hợp, trẻ bị chân chữ X có thể chữa được và không cần điều trị. Với các trẻ từ 2 – 5 tuổi có tình trạng này, điều cần làm là quan sát và theo dõi chặt chẽ. Có tới 99% trẻ sẽ khỏi khi lên 7 tuổi và có thể hoạt động bình thường mà không cần điều trị gì.
Với những trường hợp khác, khi tình trạng của trẻ ngày càng nghiêm trọng hoặc không biến mất khi trẻ lên 7 tuổi thì có thể trẻ sẽ cần điều trị y tế: Điều trị không phẫu thuật hoặc điều trị bằng phẫu thuật cho chân chữ X.
Trước tiên, cần kiểm tra xem nguyên nhân tại sao trẻ gặp tình trạng chân chữ X, sau đó quyết định điều trị sẽ dựa trên nguyên nhân của từng trẻ.
Nếu trẻ gặp tình trạng còi xương do dinh dưỡng, trẻ sẽ được điều trị bằng điều chỉnh lối sống, chế độ dinh dưỡng: Tăng tiếp xúc với ánh nắng mặt trời, bổ sung vitamin D và canxi.
Ngoài ra, nếu trẻ có cân nặng cao hay BMI cao hơn so với trẻ cùng tuổi thì việc giảm cân sẽ giúp làm chậm tình trạng này.
Trong trường hợp hiếm hoi mà sự phát triển tự nhiên không điều chỉnh được tình trạng đầu gối của trẻ, bác sĩ có thể đề nghị phẫu thuật.

Thông tin trong bài viết đã cung cấp đến bạn đọc các nội dung xoay quanh câu hỏi: “Chân chữ X có chữa được không?”, qua đó hy vọng giúp mọi người hiểu hơn về căn bệnh này. Chủ động theo dõi các triệu chứng xuất hiện của bệnh và can thiệp điều trị sớm để đạt kết quả tốt nhất.