Tốt nghiệp Khoa Dược trường Đại học Nam Cần Thơ. Có nhiều năm kinh nghiệm công tác trong lĩnh vực Dược phẩm. Hiện đang giảng viên cho Dược sĩ tại Nhà thuốc Long Châu.
Thanh Hương
24/12/2024
Mặc định
Lớn hơn
Cao răng liên tục được hình thành và tích tụ trong khoang miệng của chúng ra. Lấy cao răng được khuyến khích thực hiện định kỳ khoảng 6 tháng/lần. Vậy lấy cao răng có tốt không?
Lấy cao răng là phương pháp làm sạch răng chuyên sâu được coi là một quy trình nhà khoa phổ biến, nên được thực hiện mỗi 4 - 6 tháng một lần. Mục đích của việc này là loại bỏ mảng bám tích tụ, giúp hơi thở thơm tho, phòng ngừa nhiều bệnh về răng miệng. Tuy nhiên, không ít người vẫn chưa có thói quen này và chưa biết có nên lấy cao răng không? Lấy cao răng có tốt không? Có gây tác dụng phụ gì không?
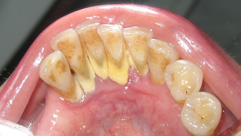
Cao răng (còn gọi là vôi răng) là lớp cặn cứng màu vàng hoặc nâu hình thành dần trong một thời gian thường là vài tháng và bám chắc trên bề mặt răng, dưới đường viền nướu.
Cao răng hình thành thế nào? Những con vi khuẩn trong khoang miệng có thể dễ dàng trộn lẫn với protein trong thức ăn thừa dính trên răng và các sản phẩm phụ của thức ăn để tạo thành một màng dính. Màng dính này gọi là mảng bám răng hay cao răng.
Cao răng có thể bao phủ trên bề mặt răng, đường viền nướu (xung quanh chân răng). Nếu để lâu dài, cao răng có thể làm hỏng men răng, dẫn tới sâu răng. Mảng bám và vôi răng không chỉ gây mất thẩm mỹ mà còn là nguyên nhân chính dẫn đến các bệnh lý về răng miệng như viêm nướu, viêm nha chu, sâu răng và hôi miệng.

Lấy cao răng có tốt không? Lấy cao răng, còn gọi là cạo vôi răng, là một quy trình nha khoa nhằm loại bỏ mảng bám và vôi răng tích tụ trên bề mặt răng và dưới đường viền nướu. Quy trình này thường được thực hiện bởi các nha sĩ hoặc kỹ thuật viên nha khoa và là một phần quan trọng trong việc duy trì sức khỏe răng miệng. Dụng cụ dùng để lấy cao răng thường bao gồm:
Quy trình lấy cao răng sẽ diễn ra theo các bước như sau:
Trước khi tiến hành lấy cao răng, nha sĩ sẽ kiểm tra tổng quát sức khỏe răng miệng của bạn. Từ đó, bác sĩ xác định mức độ cao răng và tư vấn về quy trình. Bạn nên thông báo cho nha sĩ về tình trạng sức khỏe và các bệnh lý nền (nếu có) để đảm bảo an toàn trong quá trình thực hiện.

Quá trình lấy cao răng thường được thực hiện bằng các dụng cụ siêu âm và dụng cụ tay cầm chuyên dụng như đã giới thiệu bên trên. Nha sĩ sẽ loại bỏ mảng bám và cao răng trên bề mặt răng và dưới nướu, sau đó làm sạch kỹ lưỡng các vùng bị ảnh hưởng. Quy trình này thường không đau, nhưng có thể gây cảm giác khó chịu nhẹ.
Sau khi lấy cao răng, bệnh nhân cần chăm sóc răng miệng kỹ lưỡng để ngăn ngừa sự tái tích tụ nhanh chóng của mảng bám và cao răng. Nha sĩ thường khuyên nên đánh răng ít nhất hai lần mỗi ngày, sử dụng chỉ nha khoa và nước súc miệng kháng khuẩn để duy trì sức khỏe răng miệng.
Nhiều người chưa có thói quen lấy cao răng định kỳ vì không biết lấy cao răng có tốt không. Không phải vô cớ mà các nha sĩ khuyên chúng ta nên lấy cao răng mỗi 4 - 6 tháng một lần. Có thể kể đến những lợi ích thiết thực nếu bạn duy trì được thói quen lấy cao răng như:
Một trong những lợi ích quan trọng nhất của việc lấy cao răng là ngăn ngừa bệnh nướu. Cao răng là môi trường lý tưởng cho vi khuẩn phát triển, gây viêm nướu và các bệnh nướu khác như viêm nha chu. Việc loại bỏ cao răng giúp giảm nguy cơ viêm nướu, ngăn chặn sự tiến triển của viêm nha chu và bảo vệ sức khỏe nướu.
Lấy cao răng có tốt không? Mảng bám và cao răng có thể làm răng bị ố vàng và mất thẩm mỹ. Lấy cao răng giúp làm sạch bề mặt răng, giữ cho răng luôn trắng sáng và thẩm mỹ.

Vi khuẩn trong mảng bám và cao răng sản xuất axit gây mòn men răng, dẫn đến sâu răng. Lấy cao răng giúp loại bỏ môi trường sống của vi khuẩn, từ đó giảm nguy cơ sâu răng và bảo vệ men răng.
Cao răng và mảng bám chứa vi khuẩn gây mùi hôi miệng. Việc lấy cao răng giúp loại bỏ vi khuẩn này, từ đó cải thiện hơi thở và tăng cường tự tin trong giao tiếp hàng ngày.
Nhiều nghiên cứu đã chỉ ra mối liên hệ giữa bệnh lý răng miệng và các bệnh lý hệ thống như tim mạch, tiểu đường và bệnh phổi. Việc duy trì sức khỏe răng miệng thông qua lấy cao răng có thể góp phần bảo vệ sức khỏe tổng thể, giảm nguy cơ mắc các bệnh lý hệ thống.
Khi cao răng được loại bỏ, việc đánh răng và sử dụng chỉ nha khoa sẽ hiệu quả hơn. Mảng bám và thức ăn dễ dàng bị loại bỏ hơn, giúp duy trì răng miệng sạch sẽ và khỏe mạnh.
Lấy cao răng có tốt không? Câu trả lời của các nha sĩ rõ ràng là có. Nhưng cũng có vài tác hại của việc lấy cao răng sai cách như:
Một trong những lo ngại phổ biến về việc lấy cao răng là nguy cơ tổn thương men răng. Nếu không thực hiện đúng kỹ thuật, việc lấy cao răng có thể làm mòn men răng, gây nhạy cảm răng và làm tăng nguy cơ sâu răng.
Trong quá trình lấy cao răng, nướu có thể bị tổn thương và chảy máu, đặc biệt ở những người có nướu nhạy cảm hoặc viêm nướu. Tuy nhiên, chảy máu nướu thường là tạm thời và sẽ tự khỏi sau vài ngày.

Mặc dù hiếm gặp, việc lấy cao răng cũng có thể gây nhiễm trùng nếu các dụng cụ không được vệ sinh kỹ lưỡng. Để giảm nguy cơ này, nên thực hiện lấy cao răng tại các phòng khám nha khoa uy tín và đảm bảo quy trình vô trùng.
Sau khi lấy cao răng, một số người có thể cảm thấy đau và khó chịu trong vài ngày đầu. Điều này thường do tổn thương nhẹ ở nướu và sẽ tự hết sau một thời gian ngắn.
Lấy cao răng có tốt không? Câu trả lời là có. Tuy nhiên, nạm dụng việc này cũng không hề tốt. Nhiều chuyên gia khuyến nghị nên lấy cao răng định kỳ mỗi 6 tháng một lần. Tuy nhiên, tần suất này có thể thay đổi tùy thuộc vào tình trạng răng miệng của từng người. Lấy cao răng có ảnh hưởng gì không? Câu trả lời là có nếu việc này không được thực hiện đúng kỹ thuật. Vì vậy, bạn nên lấy cao răng ở những cơ sở nha khoa uy tín.
Xem thêm:
Dược sĩ Đại họcNguyễn Thị Thảo Nguyên
Tốt nghiệp Khoa Dược trường Đại học Nam Cần Thơ. Có nhiều năm kinh nghiệm công tác trong lĩnh vực Dược phẩm. Hiện đang giảng viên cho Dược sĩ tại Nhà thuốc Long Châu.