Tốt nghiệp Khoa Dược trường Đại học Võ Trường Toản. Có nhiều năm kinh nghiệm trong ngành Dược. Hiện đang là giảng viên cho Dược sĩ tại Nhà thuốc Long Châu.
19/01/2024
Mặc định
Lớn hơn
Lợi không bám vào chân răng là tình trạng răng miệng phổ biến và có thể gây ra nhiều vấn đề sức khỏe răng miệng. Tình trạng này nếu không được chăm sóc và điều trị đúng cách có thể gây ra các vấn đề nghiêm trọng.
Những người gặp tình trạng lợi không bám vào chân răng thường sẽ cảm thấy rất khó chịu, đau đớn và không thể ăn uống thoải mái như bình thường. Tuy nhiên, nếu được chăm sóc và điều trị đúng cách, tình trạng này có thể được kiểm soát và ngăn ngừa. Vậy nguyên nhân dẫn đến tình trạng này là gì và cách điều trị ra sao? Hãy cùng tìm hiểu kĩ hơn trong bài viết dưới đây nhé!
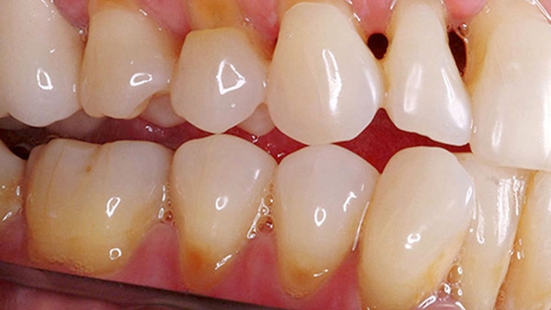
Lợi không bám vào chân răng (hay còn gọi là lợi rụng) là tình trạng mà lợi bị rụng ra khỏi chân răng, gây ra khoảng trống giữa răng và lợi. Khi đó, nướu không còn dính sát làm thân răng trông dài hơn và khó chịu hơn.

Thông thường, nướu khỏe mạnh sẽ bám sát vào thân răng. Chính vì vậy, khi lợi không dính chặt với răng sẽ gây khó khăn trong việc ăn uống, vệ sinh hàng ngày và làm tăng nguy cơ gây ra các vấn đề về răng miệng. Nếu không được điều trị kịp thời, lợi rụng có thể dẫn đến việc răng bị lỏng và rụng.
Có nhiều nguyên nhân dẫn đến tình trạng lợi không bám dính vào chân răng và để giải quyết vấn đề này, ta cần phải hiểu rõ nguyên nhân của nó. Một số nguyên nhân phổ biến bao gồm:
Không vệ sinh răng miệng kỹ càng sẽ dẫn đến nhiều bệnh lý răng miệng, trong đó có trường hợp lợi không bám vào chân răng. Mảnh vụn thức ăn còn sót lại trên răng và nướu sẽ trở thành nơi sống của vi khuẩn. Nếu không làm sạch kỹ, số lượng vi khuẩn này sẽ tăng lên và tạo thành lớp vôi bám dính lên chân răng. Vi khuẩn trong lớp vôi này có thể tấn công đến mô mềm quanh răng, gây viêm nhiễm nướu và hở lợi.
Chải răng theo chiều ngang hoặc sử dụng lực chải răng quá mạnh cũng có thể làm cho nướu không còn bám dính vào thân răng. Tình trạng này thường đi kèm với xuất huyết chân răng và đau nhức lợi.
Thiếu kẽm, sắt, vitamin C, E... có thể làm cho lợi dần tách ra và tạo ra kẽ hở giữa lợi và thân răng.

Viêm nha chu, viêm nướu, viêm cuống răng... là các bệnh lý răng miệng có thể dẫn đến tình trạng lợi không bám dính với thân răng. Nếu không được điều trị kịp thời, các bệnh lý này có thể ảnh hưởng đến sức khỏe răng miệng và tổng thể.
Các bệnh lý răng miệng cũng có thể được di truyền từ đời này sang đời khác, đặc biệt là khi chăm sóc răng miệng không đúng cách. Tình trạng lợi không bám dính vào chân răng cũng có thể do yếu tố di truyền.
Nếu bạn bị lợi không bám vào chân răng, bạn nên đến nha sĩ để được khám và điều trị đúng cách. Các phương pháp điều trị cho lợi không bám vào chân răng bao gồm:
Để phòng chống tình trạng lợi không bám vào chân răng, có một số giải pháp sau đây mà bạn có thể áp dụng hằng ngày:

Với những biện pháp đơn giản này, bạn có thể ngăn ngừa tình trạng lợi không bám vào chân răng và giữ cho răng miệng của mình luôn khỏe mạnh. Hy vọng bài viết trên đã giúp bạn hiểu rõ hơn về lợi không bám vào chân răng và cách ngăn ngừa, điều trị tình trạng này. Nếu bạn có bất kỳ câu hỏi hoặc thắc mắc nào, hãy đến gặp nha sĩ để được tư vấn thêm.
Xem thêm:
Nhật Lệ
Nguồn tham khảo: Tổng hợp
Dược sĩ Đại họcTừ Vĩnh Khánh Tường
Tốt nghiệp Khoa Dược trường Đại học Võ Trường Toản. Có nhiều năm kinh nghiệm trong ngành Dược. Hiện đang là giảng viên cho Dược sĩ tại Nhà thuốc Long Châu.