• Thực phẩm chức năng

  • Dược mỹ phẩm

  • Thuốc

  • Chăm sóc cá nhân

  • Thiết bị y tế

  • Tiêm chủng

  • Bệnh & Góc sức khỏe

  • Hệ thống nhà thuốc

    1. /
    2. Góc sức khỏe/
    3. Phòng bệnh & Sống khoẻ

    Nấm miệng nặng: Nguyên nhân, biến chứng và điều trị

    21/06/2023

    Kích thước chữ

    Nấm Candida albicans tích tụ lâu ngày gây ra nấm miệng. Vậy nấm miệng nặng có nguy hiểm không? Nhà Thuốc Long Châu sẽ giải đáp ở bài viết sau bạn nhé!

    Dấu hiệu nhận biết của nấm miệng nặng là có tổn thương kem trắng vùng lưỡi, má trong, có thể lây lan sang vòm miệng, lợi, amidan hay cổ họng. Tổn thương có thể đau, chảy máu nếu cọ xát hoặc cạo. Người bị nấm miệng thường cảm giác có bông ở trong miệng do có nhiều đốm hoặc đám giả mạc màu trắng, xốp, mủn, dễ bong ở các vùng tổn thương. Ở người có sức đề kháng kém, tình trạng nấm miệng có thể chuyển nặng, gây ra những hậu quả vô cùng nguy hiểm, thậm chí có khả năng tử vong.

    Nguyên nhân khiến nấm miệng diễn tiến nặng

    Nấm miệng trở nặng chủ yếu xảy ra ở người có hệ miễn dịch bị suy giảm như người nhiễm các bệnh: HIV/AIDS, ung thư, đái tháo đường, nhiễm trùng nấm men âm đạo, giảm bạch cầu, sau ghép tạng, trẻ đẻ non… Ngoài ra, những người dùng thuốc prednisone ức chế miễn dịch kéo dài, điều trị kháng sinh phổ rộng, điều trị ung thư bằng hóa chất… cũng là đối tượng có hệ miễn dịch bị suy yếu khiến bệnh có xu hướng tiến triển nặng.

    Nấm miệng nặng: Nguyên nhân, biến chứng và điều trị 1 Hình ảnh nấm miệng nặng

    Các biến chứng khi bị nấm miệng nặng là gì?

    Khi nấm miệng diễn tiến nặng hoặc ở các bệnh nhân có hệ miễn dịch bị suy giảm, nấm có thể lan xuống hệ tiêu hoá phía dưới (thực quản, dạ dày, ruột); xâm nhập sâu gây nhiễm nấm phổi, máu. Từ đó gây viêm nhiễm toàn thân, hệ miễn dịch suy yếu khó chống đỡ. Có tới 80% người bệnh HIV chết là do nhiễm trùng cơ hội, điển hình trong đó có nấm chứ không phải do HIV.

    Nấm thực quản

    Các dấu hiệu cho thấy nấm đã lan xuống thực quản thường dễ bị nhầm lẫn với một số bệnh lý về dạ dày như: Khi nuốt thức ăn cảm thấy đau dọc xương ức, thường xuyên có cảm giác nghẹn, có thể nôn ra máu và một số triệu chứng ít gặp hơn như sốt, sụt cân, tiêu chảy…

    Ở bệnh nhân nhiễm nấm Candida thực quản, có thể quan sát thấy các chấm trắng nhỏ không đều hoặc tạo thành mảng lớn, các tổn thương xung huyết trên bề mặt niêm mạc thực quản khi nội soi. Nấm thực quản có thể gây ra các biến chứng vô cùng nguy hiểm như chảy máu thực quản, thủng thực quản, hẹp thực quản, lan xuống dạ dày, ruột hoặc xâm lấn vào các cơ quan khác trong cơ thể.

    Nấm miệng nặng: Nguyên nhân, biến chứng và điều trị 3Nội soi thực quản trên bệnh nhân nấm miệng nặng

    Nấm dạ dày

    Dạ dày của người bình thường có môi trường axit rất mạnh nên nấm không thể tồn tại và phát triển. Tuy nhiên, vẫn có thể phát hiện nấm dạ dày ở những bệnh nhân bị suy giảm miễn dịch rất nặng hoặc bị tổn thương, ung thư dạ dày. Bệnh nhân nhiễm nấm dạ dày thường có các triệu chứng như đau bụng sau ăn, mệt mỏi, khó chịu, đầy hơi, chướng bụng, hay có cảm giác buồn nôn, nôn.

    Các biến chứng nguy hiểm có thể gặp phải của nấm dạ dày là viêm loét dạ dày - tá tràng, thủng dạ dày, xuất huyết dạ dày ở vị trí tổn thương.

    Nấm ruột

    Nhiễm nấm ở ruột sẽ làm giảm khả năng hấp thụ chất dinh dưỡng của người bệnh, có thể gây ra các triệu chứng như mệt mỏi, đau bụng, đầy bụng, sôi bụng, rối loạn tiêu hoá nhiều ngày, sốt.

    Một trong những biến chứng nghiêm trọng của nấm ruột là gây thủng ruột, từ đó dẫn tới viêm phúc mạc vô cùng nguy hiểm. Ngoài ra, nấm có thể theo đường máu để lan tới các cơ quan khác.

    Nấm phổi

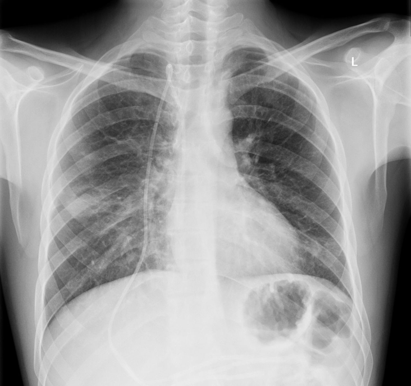
    Nấm phổi là một biến chứng rất đáng quan ngại của nấm miệng Candida. Bệnh nhân nhiễm nấm phổi thường có triệu chứng sốt kéo dài và xuất hiện các triệu chứng viêm phổi như ho có đờm, đau tức ngực, khó thở.

    Người bệnh nếu không được được điều trị kịp thời, nguy cơ tử vong có thể lên đến 50-70% do nhiễm trùng nhiễm độc, suy kiệt nặng, ho ra máu quá nhiều.

    Nấm miệng nặng: Nguyên nhân, biến chứng và điều trị 4 X-Quang phổi bệnh nhân nhiễm nấm Candida

    Nấm xâm lấn

    Nhiễm nấm xâm lấn là biến chứng nguy hiểm nhất trong các biến chứng liên quan đến nấm Candida, bao gồm nhiễm nấm Candida máu và Candida xâm lấn mô sâu. Người bệnh nhiễm nấm xâm lấn có biểu hiện nặng, chẩn đoán khó khăn và dễ xuất hiện tình trạng kháng thuốc kháng nấm. Do đó, tỉ lệ tử vong của bệnh nhân nhiễm Candida xâm lấn rất cao (30-80%).

    Người nhiễm Candida máu có triệu chứng thay đổi từ sốt nhẹ đến có đầy đủ các dấu hiệu của suy đa tạng và sốc, tương tự như nhiễm khuẩn huyết. Đối với Candida xâm lấn mô sâu, người bệnh có thể có các biểu hiện lâm sàng nguy hiểm như viêm màng mạch võng mạc (có thể kèm theo viêm thủy tinh thể); viêm màng não, viêm u hạt mạch máu, viêm não với nhiều vi áp xe, phình mạch; viêm cơ tim, viêm màng ngoài tim, viêm nội tâm mạc; nhiễm trùng ổ bụng; viêm cơ; viêm khớp.

    Hướng dẫn điều trị nấm miệng diễn tiến nặng

    Ở những bệnh nhân nhiễm nấm miệng có hệ miễn dịch bị suy giảm, có khả năng rất cao nấm sẽ tiến triển nặng và lan ra các cơ quan khác. Do đó, để tránh trường hợp tình trạng nhiễm nấm trở nên quá nặng, bệnh nhân cần đi khám ngay từ khi có những dấu hiệu đầu tiên.

    Loại thuốc được các bác sĩ sử dụng để điều trị trường hợp nhiễm nấm Candida là thuốc kháng nấm, có thể phối hợp với liệu pháp chống sốc và hồi sức nếu tình trạng quá nặng. Trong trường hợp thuốc kháng nấm không có hiệu quả (đặc biệt là ở bệnh nhân HIV/AIDS), bác sĩ có thể sử dụng thuốc amphotericin B. Lưu ý, bệnh nhân không được tự ý sử dụng thuốc mà cần tuân theo chỉ định của bác sĩ.

    Cần làm gì để phòng ngừa nấm miệng nặng?

    Nấm Candida là một bệnh cơ hội, khi khả năng đề kháng của cơ thể bị giảm sút, bệnh sẽ trở nặng nhanh chóng. Do đó, ngay từ ban đầu, người bệnh cần nâng cao ý thức trong việc sử dụng thuốc. Không được tự ý sử dụng thuốc một cách bừa bãi hay lạm dụng các loại thuốc, đặc biệt là thuốc kháng sinh hay thuốc gây suy giảm miễn dịch như corticoid, prednisone.

    Bệnh nhân đã mắc các bệnh như HIV/AIDS, ung thư, đái tháo đường... có hệ miễn dịch kém cần tìm đến bác sĩ trước khi nấm lan ra các cơ quan khác và trở nên quá nặng.

    Nấm miệng nặng: Nguyên nhân, biến chứng và điều trị 5
    Cần nâng cao yếu tố phòng trị nấm ở bệnh nhân suy giảm miễn dịch

    Ngoài ra, dù có nhiễm nấm hay không, mỗi người chúng ta đều cần có cho mình một chế độ sinh hoạt khoa học và chế độ dinh dưỡng hợp lý, giữ vệ sinh cho môi trường xung quanh và cho cơ thể, từ đó hạn chế khả năng mắc phải các bệnh mạn tính - điều kiện cho nấm tồn tại và phát triển.

    Trên đây là những thông tin cơ bản về tình trạng nấm miệng nặng, bao gồm nguyên nhân, biểu hiện, cách điều trị và phòng tránh. Hy vọng bài viết này có thể mang lại những thông tin hữu ích cho bạn. Chúc bạn thật nhiều sức khoẻ và đừng quên theo dõi trang web của Nhà thuốc Long Châu để cập nhật thêm nhiều thông tin mới nhất về y học đời sống nhé!

    Ánh Vũ

    Nguồn tham khảo: Tổng hợp

    Thông tin và sản phẩm gợi ý trong bài viết chỉ mang tính chất tham khảo, vui lòng liên hệ với Bác sĩ, Dược sĩ hoặc chuyên viên y tế để được tư vấn cụ thể. Xem thêm

    Dược sĩ Đại họcNgô Kim Thúy

    Đã kiểm duyệt nội dung

    Tốt nghiệp loại giỏi trường Đại học Y Dược Huế. Từng tham gia nghiên cứu khoa học đề tài về Dược liệu. Nhiều năm kinh nghiệm làm việc trong lĩnh vực Dược phẩm. Hiện đang là giảng viên cho Dược sĩ tại Nhà thuốc Long Châu.

    Xem thêm thông tin