Tốt nghiệp Đại học Dược Hà Nội, với hơn 10 năm kinh nghiệm trong lĩnh vực Dược phẩm. Hiện là giảng viên giảng dạy các môn Dược lý, Dược lâm sàng,...
Thị Ánh
22/03/2024
Mặc định
Lớn hơn
Xuất huyết não là một loại đột quỵ. Nguyên nhân xuất huyết não là do động mạch trong não bị vỡ và gây chảy máu cục bộ ở các mô xung quanh. Chảy máu này làm chết các tế bào não do thiếu oxy.
Xuất huyết não còn được gọi là xuất huyết nội sọ. Chúng chiếm khoảng 13% số ca đột quỵ. Nguyên nhân xuất huyết não, triệu chứng và cách phòng ngừa được chúng tôi trình bày trong bài viết dưới đây.
Xuất huyết não là một loại đột quỵ gây chảy máu ở đầu. Vì não của bạn không thể lưu trữ oxy nên nó phải dựa vào một loạt mạch máu để cung cấp oxy và chất dinh dưỡng. Khi xảy ra chảy máu não, mạch máu sẽ bị rò rỉ máu hoặc vỡ ra. Máu tích tụ hoặc đọng lại trong hộp sọ và não của bạn. Điều này gây ra áp lực lên não, ngăn cản oxy và chất dinh dưỡng đến các mô và tế bào não của bạn. Chảy máu não thường xảy ra sau khi bị ngã hoặc chấn thương. Chúng cũng phổ biến ở những người bị huyết áp cao không được kiểm soát.
Chảy máu não là một trường hợp cấp cứu y tế đe dọa tính mạng. Chỉ mất 3 đến 4 phút để các tế bào não của bạn chết nếu chúng không nhận đủ oxy. Điều trị xuất huyết não nhanh chóng mang lại kết quả tốt nhất.

Có nhiều bộ phận trong não của bạn, vì vậy thuật ngữ “chảy máu não” rất rộng. Có hai khu vực chảy máu chính:
Để hiểu rõ hơn về từng loại xuất huyết não xảy ra ở đâu, cần biết các thành phần bên trong hộp sọ của bạn. Não có 3 lớp màng giữa xương sọ và mô não. Ba màng là màng cứng, màng nhện và màng mềm. Mục đích của màng não là che phủ và bảo vệ não của bạn. Chảy máu có thể xảy ra ở bất kỳ vị trí nào giữa ba màng này.
Các loại chảy máu não bên trong hộp sọ nhưng bên ngoài mô não bao gồm:
Có hai loại chảy máu não xảy ra bên trong mô não:
Vì một số trường hợp xuất huyết não có thể gây tàn tật hoặc đe dọa tính mạng nên điều quan trọng là phải nhanh chóng nhận được trợ giúp y tế nếu bạn cho rằng ai đó đang gặp phải tình trạng này.

Có một số yếu tố nguy cơ và nguyên nhân gây xuất huyết não. Phổ biến nhất bao gồm:
Các triệu chứng xuất huyết não có thể khác nhau. Chúng phụ thuộc vào vị trí chảy máu, mức độ nghiêm trọng của chảy máu và số lượng mô bị ảnh hưởng. Các triệu chứng có xu hướng phát triển đột ngột. Họ có thể dần dần xấu đi. Nếu bạn có bất kỳ triệu chứng nào sau đây, bạn có thể bị xuất huyết não. Đây là một tình trạng đe dọa tính mạng và bạn nên đến phòng cấp cứu ngay lập tức. Các triệu chứng bao gồm:
Hãy nhớ rằng nhiều triệu chứng trong số này thường do các tình trạng khác chứ không phải xuất huyết não gây ra.

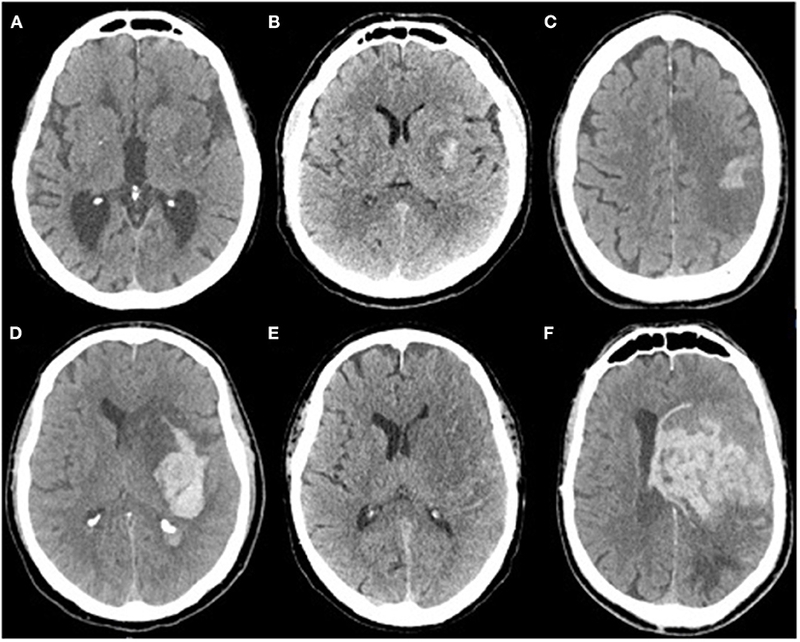
Khi bạn gặp bác sĩ, họ có thể xác định phần não nào bị ảnh hưởng dựa trên các triệu chứng của bạn. Các bác sĩ có thể thực hiện nhiều xét nghiệm hình ảnh khác nhau, chẳng hạn như chụp CT, có thể phát hiện chảy máu trong hoặc tích tụ máu hoặc chụp MRI. Khám thần kinh hoặc khám mắt, có thể cho thấy dây thần kinh thị giác bị phù, cũng có thể được thực hiện. Chọc dò thắt lưng thường không được thực hiện vì nó có thể nguy hiểm và khiến mọi việc trở nên tồi tệ hơn.
Điều trị chảy máu não phụ thuộc vào vị trí, nguyên nhân và mức độ xuất huyết. Phẫu thuật có thể cần thiết để giảm sưng và ngăn ngừa chảy máu. Một số loại thuốc cũng có thể được kê toa. Chúng bao gồm thuốc giảm đau, corticosteroid hoặc thuốc thẩm thấu để giảm phù và thuốc chống co giật để kiểm soát cơn động kinh.
Bên cạnh đó, mức độ phản ứng của bệnh nhân với xuất huyết não phụ thuộc vào mức độ xuất huyết và mức độ phù não. Một số bệnh nhân hồi phục hoàn toàn. Các biến chứng có thể xảy ra bao gồm đột quỵ, mất chức năng não, co giật hoặc tác dụng phụ của thuốc hoặc phương pháp điều trị. Cái chết có thể xảy ra và có thể xảy ra nhanh chóng mặc dù được điều trị kịp thời.

Vì phần lớn xuất huyết não có liên quan đến các yếu tố nguy cơ cụ thể nên bạn có thể giảm thiểu nguy cơ bằng những cách sau:
Chảy máu não là một biến cố thần kinh nặng, nếu không được can thiệp kịp thời có thể để lại di chứng lâu dài hoặc tử vong. Nguyên nhân xuất huyết não, cách điều trị và phòng ngừa mà chúng tôi đưa ra hi vọng sẽ giúp ích cho bạn.
Xem thêm:
Dược sĩ Đại họcNguyễn Thanh Hải
Tốt nghiệp Đại học Dược Hà Nội, với hơn 10 năm kinh nghiệm trong lĩnh vực Dược phẩm. Hiện là giảng viên giảng dạy các môn Dược lý, Dược lâm sàng,...