Dược sĩ Đại học có nhiều năm kinh nghiệm trong việc tư vấn Dược phẩm và hỗ trợ giải đáp thắc mắc về Bệnh học. Hiện đang là giảng viên cho Dược sĩ tại Nhà thuốc Long Châu.
Thu Thủy
24/02/2025
Mặc định
Lớn hơn
Nhịn ăn gián đoạn ngắn hạn giúp cân bằng đường huyết nhưng nhịn ăn kéo dài ở tuổi vị thành niên có thể làm suy giảm quá trình trưởng thành của tế bào β – điều này có thể liên hệ đến nguy cơ mắc tiểu đường loại 1.
Một nghiên cứu mới được công bố trên Cell Reports đã chỉ ra rằng nhịn ăn gián đoạn (Intermittent Fasting - IF) trong thời gian dài (LT IF) có thể làm suy giảm chức năng và sự trưởng thành của tế bào β ở chuột đang phát triển. Hãy cùng tìm hiểu rõ hơn về nghiên cứu nhịn ăn gián đoạn ảnh hưởng đến chức năng tế bào β và nguy cơ mắc bệnh tiểu đường.
Chế độ ăn hiện đại ngày nay thường có xu hướng tiêu thụ quá mức thực phẩm giàu năng lượng và dễ gây thèm ăn. Nhịn ăn gián đoạn (IF) là một chế độ ăn uống với các chu kỳ luân phiên giữa thời gian ăn và nhịn ăn, đang dần trở nên phổ biến trong những năm gần đây.
Các nghiên cứu gợi ý rằng một khoảng thời gian nhịn ăn ít nhất 10 giờ, sau đó là giai đoạn ăn uống trong phần còn lại của ngày để mang lại lợi ích trao đổi chất.

Hầu hết các chiến lược IF đều có tác động tích cực đến các chỉ số trao đổi chất ở cả chuột và người, bao gồm huyết áp, cân nặng, mức cholesterol, độ nhạy insulin và tuổi thọ.
Trong bối cảnh tiểu đường loại 2 (T2D), IF giúp tăng biểu hiện gen liên quan đến tổng hợp và tiết insulin, cải thiện chức năng tế bào β và tăng nồng độ insulin. Tuy nhiên, tác động của IF đối với tiểu đường loại 1 (T1D) vẫn chưa được làm rõ.
Trong nghiên cứu này, các nhà khoa học đã đánh giá ảnh hưởng của IF lên chuột ở các giai đoạn sống khác nhau. Họ tiến hành thử nghiệm IF ngắn hạn (5 tuần - ST IF) và IF dài hạn (10 tuần - LT IF) để xem xét tác động của chế độ ăn này đối với lượng thức ăn và cân nặng ở ba nhóm tuổi là chuột con (2 tháng tuổi), chuột trưởng thành (8 tháng tuổi) và chuột già (18 tháng tuổi). Nhóm đối chứng ăn uống tự do (ad libitum) cũng được đưa vào để so sánh.
Kết quả cho thấy chuột trưởng thành và già không thay đổi đáng kể về cân nặng khi áp dụng ST IF, trong khi nhóm chuột con có cân nặng thấp hơn do giảm lượng thức ăn so với nhóm đối chứng. Ngược lại, LT IF khiến tất cả các nhóm tuổi có cân nặng thấp hơn so với nhóm đối chứng, bất kể độ tuổi.
Các bài kiểm tra dung nạp glucose (GTT) và độ nhạy insulin (ITT) cho thấy ST IF giúp tăng cường độ nhạy insulin và duy trì cân bằng đường huyết ở mọi nhóm tuổi. Với LT IF, GTT được cải thiện ở chuột già, nhưng ITT không có sự khác biệt so với nhóm đối chứng. Ở chuột trưởng thành, cả GTT và ITT đều có sự cải thiện sau LT IF. Nhưng ở chuột con, không có sự khác biệt giữa nhóm IF và nhóm đối chứng.

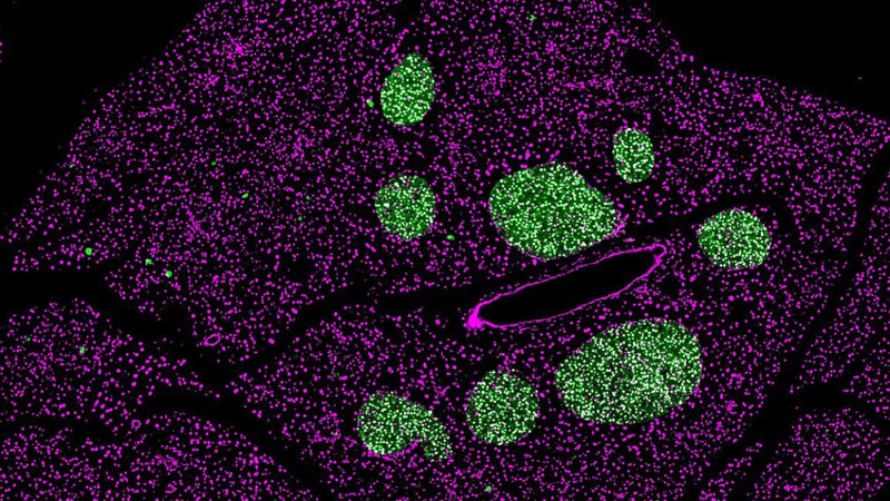
Về số lượng tiểu đảo tụy, chuột già không có sự thay đổi khi áp dụng LT IF nhưng các nhóm tuổi khác lại có số lượng tiểu đảo giảm. Bên cạnh đó, hàm lượng insulin trong các tiểu đảo cũng có sự khác biệt: Chuột già có mức insulin cao hơn, chuột trưởng thành không thay đổi, trong khi chuột con có mức insulin giảm khi áp dụng LT IF. Những phát hiện này cho thấy LT IF làm suy giảm chức năng tiểu đảo ở chuột con, trong khi lại có tác động tích cực lên chức năng tiểu đảo ở chuột già.
Các nhà khoa học tiếp tục thực hiện phân tích RNA đơn bào (scRNA-seq) trên các tiểu đảo tụy để đánh giá phản ứng phiên mã theo tuổi và chế độ IF. Kết quả chỉ ra rằng mức độ trưởng thành của tế bào β có sự khác biệt đáng kể giữa nhóm LT IF và nhóm đối chứng. Chuột trưởng thành và già có điểm trưởng thành tế bào β cao hơn nhóm đối chứng, trong khi chuột con có điểm số thấp hơn.
Cuối cùng, nhóm nghiên cứu so sánh dữ liệu RNA của tiểu đảo tụy người từ các bệnh nhân mắc T1D và T2D. Họ nhận thấy rằng các gen bị giảm biểu hiện ở chuột con áp dụng LT IF có mô hình giảm tương tự trong mẫu bệnh nhân T1D.
Tóm lại, nghiên cứu cho thấy rằng IF ngắn hạn mang lại lợi ích trao đổi chất cho chuột ở mọi độ tuổi. Tuy nhiên, phân tích RNA đơn bào (scRNA-seq) cho thấy IF dài hạn làm giảm sự trưởng thành của tế bào beta ở chuột trẻ, trong khi giúp cải thiện ở chuột trưởng thành và già. Các gen liên quan đến chức năng insulin và tiểu đường loại 2 cũng có sự thay đổi rõ rệt.

Đáng chú ý, các gen bị giảm biểu hiện ở chuột con tiếp xúc với IF dài hạn cũng có xu hướng giảm trong mẫu tế bào từ bệnh nhân tiểu đường loại 1.
Nghiên cứu cho thấy IF ngắn hạn có lợi cho quá trình chuyển hóa ở mọi độ tuổi, nhưng IF dài hạn có thể gây ảnh hưởng tiêu cực đến chức năng tế bào beta ở nhóm tuổi trẻ. Kết quả này gợi ý rằng cần cân nhắc thời gian áp dụng IF ở người trẻ để tránh nguy cơ làm bệnh tiểu đường trầm trọng thêm.
Dược sĩ Đại họcNguyễn Mỹ Huyền
Dược sĩ Đại học có nhiều năm kinh nghiệm trong việc tư vấn Dược phẩm và hỗ trợ giải đáp thắc mắc về Bệnh học. Hiện đang là giảng viên cho Dược sĩ tại Nhà thuốc Long Châu.