Tốt nghiệp Đại học Dược Hà Nội, với hơn 10 năm kinh nghiệm trong lĩnh vực Dược phẩm. Hiện là giảng viên giảng dạy các môn Dược lý, Dược lâm sàng,...
Thị Diểm
04/07/2024
Mặc định
Lớn hơn
Nhồi máu xương khiến cho máu không lưu thông đủ đến một phần của xương, gây tổn thương tế bào. Vậy đâu là nguyên nhân của bệnh lý nhồi máu xương? Mời bạn tìm hiểu trong bài viết dưới đây của Nhà thuốc Long Châu.
Bệnh nhồi máu xương có thể gây ra những biến chứng nghiêm trọng như hoại tử xương, viêm nang, làm suy yếu cấu trúc xương gây đau đớn. Nếu không được phát hiện và điều trị kịp thời, nhồi máu xương có thể dẫn đến hậu quả nghiêm trọng như dễ gãy xương, phát triển các biến chứng. Điều này làm tăng nguy cơ tử vong và ảnh hưởng đến chất lượng cuộc sống của người bệnh.
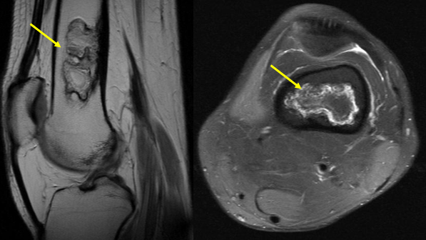
Bệnh nhồi máu xương là một tình trạng nơi xương bị hoại tử do thiếu máu cục bộ, dẫn đến sự phá hủy cấu trúc xương, gây đau đớn, mất chức năng. Đây thường là kết quả của sự suy giảm lưu thông máu tới khu vực xương, dẫn đến sự tổn thương và chết tế bào không thể phục hồi được. Nhồi máu xương có thể được nhận diện thông qua các thay đổi tế bào chất, tế bào nhân, thường được quan sát qua kính hiển vi hoặc hình ảnh học như X quang, CT, MRI.

Đặc điểm hình ảnh của nhồi máu xương thường rõ ràng và có thể nhìn thấy sự suy giảm lưu thông máu, dẫn đến hoại tử xương. Thuật ngữ "nhồi máu tủy" cũng được sử dụng tương đương nhưng ít phổ biến hơn, thường liên quan đến các trường hợp nơi máu không đủ để cung cấp cho tủy xương. Trong một số trường hợp, thuật ngữ này có thể ám chỉ đến sự hoại tử xương tại đầu xương, nhưng không dùng để mô tả hoại tử xương dưới sụn.
Có nhiều nguyên nhân dẫn đến nhồi máu xương, dưới đây là một số nguyên nhân chính:

Các nguyên nhân trên không chỉ gây ra nhồi máu xương mà còn có thể dẫn đến hoại tử xương dưới sụn. Tuy nhiên, một số bệnh như bệnh hồng cầu hình liềm và bệnh gaucher thường gây ra nhồi máu xương nhiều hơn hoại tử xương dưới sụn.
Bệnh nhồi máu xương không phải là một căn bệnh phổ biến, nhưng cũng không phải là quá hiếm. Đây là một tình trạng y tế mà một số người có thể phải đối mặt, đặc biệt là những người ở trong các nhóm rủi ro cao như:
Dù không phải là căn bệnh phổ biến, nhưng việc nâng cao nhận thức và kiểm soát các yếu tố rủi ro cũng góp phần giảm nguy cơ mắc bệnh nhồi máu xương.
Phương pháp điều trị nhồi máu xương tùy thuộc vào giai đoạn, mức độ tổn thương của bệnh nhân. Biện pháp điều trị bao gồm:
Trong trường hợp cần thiết, có thể sử dụng các biện pháp khác như phẫu thuật giảm áp để nâng cao sự hồi phục. Các tổn thương nhỏ hoặc không triệu chứng có thể tự khỏi mà không cần điều trị.

Đối với các tổn thương có triệu chứng, đặc biệt là ở các vị trí chịu áp lực chính hoặc có kích thước lớn, việc điều trị là cần thiết nhằm giảm thiểu các triệu chứng, bảo vệ khu vực tổn thương và ngăn ngừa các biến chứng tiềm ẩn.
Biến chứng của nhồi máu xương có thể là khối u, bao gồm u mô bào sợi ác tính, sarcom xương, sarcoma xơ xương. Khối u angiosarcoma xương, mặc dù hiếm gặp, thường xuất hiện quanh đầu gối, nhưng lại có thể gây viêm nhiễm mô mềm, viêm tủy xương. Ngoài ra, để chẩn đoán và phân biệt nhồi máu xương với các bệnh lý khác, cần phải thực hiện các xét nghiệm hình ảnh, đối chiếu với các đặc điểm đặc trưng của bệnh.
Trên đây là một số thông tin về bệnh nhồi máu xương mà Nhà thuốc Long Châu muốn gửi đến bạn. Tốt hơn hết bạn nên định kỳ kiểm tra sức khoẻ để nhằm giảm thiểu những vấn đề ảnh hưởng tới xương nhé.
Xem thêm:
Dược sĩ Đại họcNguyễn Thanh Hải
Tốt nghiệp Đại học Dược Hà Nội, với hơn 10 năm kinh nghiệm trong lĩnh vực Dược phẩm. Hiện là giảng viên giảng dạy các môn Dược lý, Dược lâm sàng,...