Tốt nghiệp Khoa Dược trường Đại học Nam Cần Thơ. Có nhiều năm kinh nghiệm công tác trong lĩnh vực Dược phẩm. Hiện đang giảng viên cho Dược sĩ tại Nhà thuốc Long Châu.
Tố Uyên
12/10/2025
Mặc định
Lớn hơn
Phanh môi bám thấp hay còn gọi là dính thắng môi, đây là tình trạng dị tật bẩm sinh thường gặp ở trẻ em. Dính thắng môi không gây ra quá nhiều nguy hiểm nhưng cần được điều trị sớm để không ảnh hưởng đến sự phát triển của trẻ. Vậy khi phát hiện phanh môi bám thấp ở trẻ cha mẹ cần xử lý như nào?
Trong những năm gần đây, nhiều cha mẹ không phát hiện tình trạng phanh môi bám thấp ở trẻ khiến con gặp nhiều vấn đề về sức khỏe tổng thể. Vậy cha mẹ cần làm gì khi con gặp tình trạng này? Tìm hiểu chi tiết vấn đề qua bài viết của Nhà thuốc Long Châu ngay sau đây!
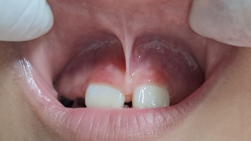
Phanh môi bám thấp ở trẻ là tình trạng phanh môi dính vào đỉnh hàm trên giữa hai răng cửa hoặc bám sâu vào bên trong mào xương hàm trên. Đây là một dị tật bẩm sinh, nếu cha mẹ không phát hiện phanh môi bám thấp ở trẻ sớm để can thiệp thì con sẽ bị ảnh hưởng đến sự phát triển sau này. Dấu hiệu nhận biết phanh môi bám thấp ở trẻ bao gồm:
Những biểu hiện trên rất giống với tình trạng dính thắng lưỡi, do đó, khi nhận thấy con có những biểu hiện này, cha mẹ nên đưa con đi khám nhi và có phương pháp điều trị hiệu quả.

Nhìn chung, phanh môi bám thấp có thể gây ra nhiều ảnh hưởng tiêu cực đến sức khỏe tổng thể của trẻ. Với trẻ sơ sinh, phanh môi khiến trẻ bị ngứa, đau khi bú mẹ. Trẻ sẽ quấy khóc mỗi khi bú, thậm chí là không chịu ăn. Về phía người mẹ, phanh môi cũng có thể khiến núm vú mẹ bị ngứa, đau, nứt nẻ và rất dễ gây viêm nhiễm. Khi trẻ quấy khóc không chịu ăn thì dẫn đến nguy cơ thiếu chất và phát triển chậm hơn so với trẻ bình thường.
Phanh môi bám thấp ở trẻ không được điều trị, khi vào thời điểm ăn dặm sẽ gây hạn chế khả năng nhai nuốt của trẻ, trẻ rất khó sử dụng thìa để ăn. Như vậy, vấn đề không được giải quyết sẽ khiến trẻ biếng ăn, thiếu hụt dinh dưỡng và có thể gây ra còi xương, suy dinh dưỡng.
Khi trẻ dần lớn lên, phanh môi có thể ảnh hưởng đến thẩm mỹ khuôn miệng, cụ thể là làm lệch lạc răng và khớp cắn, tạo ra khe hở ở giữa hai răng cửa. Những ảnh hưởng này sẽ khiến trẻ trưởng thành trong tâm thế tự ti, ngại giao tiếp vì có hàm răng không đẹp. Bên cạnh đó, phanh môi còn có thể gây co kéo lợi khiến việc vệ sinh răng miệng gặp khó khăn và trẻ dễ bị các bệnh răng miệng như là sâu răng.

Vấn đề phanh môi bám thấp ở trẻ còn có thể gây ra tình trạng nói ngọng, trẻ khó phát âm những từ rất đơn giản. Nói ngọng ảnh hưởng rất nhiều đến trẻ trong quá trình học tập và trưởng thành sau này.
Có thể thấy, những ảnh hưởng khi bị phanh môi bám thấp ở trẻ có thể kéo dài trong nhiều năm nếu không được điều trị kịp thời. Chính vì vậy cha mẹ nên tìm hiểu kiến thức về tình trạng này để có thể xử lý nhanh chóng, giúp con phát triển toàn diện và khỏe mạnh.
Khi phát hiện phanh môi bám thấp ở trẻ, cha mẹ nên đưa con đến khám nhi tại bệnh viện, phòng khám uy tín để con được điều trị sớm nhất. Việc sử dụng phương pháp nào điều trị phanh môi bám thấp còn phụ thuộc vào từng mức độ bệnh lý của con.
Với trường hợp con dính thắng môi nhẹ, chưa gây ra nhiều ảnh hưởng hay đau đớn thì có thể không cần can thiệp quá nhiều. Tình trạng này sẽ thuyên giảm khi con mọc đủ răng vĩnh viễn và khe hở do dính thắng môi gây ra sẽ tự khít lại. Trường hợp này, mẹ chỉ cần cho con bú sữa bằng bình, có thể vắt sữa mẹ hoặc dùng sữa công thức đều được. Lúc này con sẽ không khó chịu, hay đau đớn như khi bú sữa mẹ trực tiếp.

Với trường hợp trẻ bị phanh môi bám thấp cần can thiệp xử lý, bác sĩ sẽ chỉ định thực hiện tiểu phẫu cắt thắng môi. Kỹ thuật cắt thắng môi không quá phức tạp, bác sĩ thực hiện cắt niêm mạc chặt với lợi để nới lỏng thắng môi. Sau khi vết thương lành lại, nếu khớp cắn bị sai lệch, bác sĩ sẽ thực hiện điều chỉnh lại. Trong quá trình thực hiện, bác sĩ sẽ gây tê tại vị trí cắt giúp trẻ không phải chịu đau đớn.
Bên cạnh đó, xử lý phanh môi bám thấp bằng phương pháp dùng tia laser cũng được áp dụng ở nhiều bệnh viện hiện nay. Ưu điểm của phương pháp này là không gây chảy máu hay đau đớn, thời gian hồi phục nhanh chóng. Tuy nhiên, cách này không nên sử dụng với trẻ sơ sinh vì có nguy cơ gây bỏng.
Sau khi thực hiện tiểu phẫu điều trị phanh môi bám thấp, cha mẹ cần lưu ý một số vấn đề sau để vết thương của con nhanh hồi phục:

Phanh môi bám thấp ở trẻ có thể gây ra nhiều vấn đề về sức khỏe tổng thể của trẻ từ khi mới chào đời cho đến khi trưởng thành nếu không được điều trị. Nhận biết phanh môi bám thấp ở trẻ không khó, cha mẹ nếu nghi ngờ con mắc phải tình trạng này thì hãy đưa con đến bệnh viện thăm khám để xác định.
Xem thêm:
Dính thắng môi trên ở trẻ: Dấu hiệu nhận biết và cách điều trị
Dược sĩ Đại họcNguyễn Thị Thảo Nguyên
Tốt nghiệp Khoa Dược trường Đại học Nam Cần Thơ. Có nhiều năm kinh nghiệm công tác trong lĩnh vực Dược phẩm. Hiện đang giảng viên cho Dược sĩ tại Nhà thuốc Long Châu.