Từng làm ở Viện ISDS, nhiều năm cộng tác với CDC Thái Nguyên triển khai dự án phòng chống HIV/AIDS, 2 năm cộng tác với WHO.
:format(webp)/ung_thu_nhau_thai_8_d86540e652.png)
:format(webp)/ung_thu_nhau_thai_8_d86540e652.png)
Dược sĩ Đại học Nguyễn Tuấn Trịnh
Từng làm ở Viện ISDS, nhiều năm cộng tác với CDC Thái Nguyên triển khai dự án phòng chống HIV/AIDS, 2 năm cộng tác với WHO.
Ung thư nhau thai là một loại ung thư hiếm gặp phát triển từ các tế bào của nhau thai trong tử cung phụ nữ, thường xảy ra sau khi mang thai. Mặc dù hiếm gặp nhưng với sự tiến bộ trong y học, các phương pháp điều trị hiện nay đã mang lại tiên lượng khả quan cho phần lớn bệnh nhân, đặc biệt khi bệnh được phát hiện sớm.
Ung thư nhau thai (choriocarcinoma) là một loại ung thư hiếm gặp phát triển từ các tế bào của nhau thai trong tử cung phụ nữ, thường xảy ra sau khi mang thai. Đây là một loại bệnh lý thuộc nhóm bệnh u nguyên bào nuôi thai kỳ (gestational trophoblastic disease - GTD), có đặc tính phát triển nhanh.
Ung thư nhau thai thường bắt đầu trong mô của nhau thai, cơ quan cung cấp dưỡng chất cho thai nhi trong suốt thai kỳ. Tuy nhiên, bệnh không chỉ giới hạn ở tử cung mà còn có khả năng di căn sang các bộ phận khác trong cơ thể.
Có hai loại choriocarcinoma chính:
Ung thư nhau thai đã được mô tả từ thời Hy Lạp cổ đại bởi Hippocrates vào năm 400 Trước Công nguyên.
:format(webp)/ung_thu_nhau_thai_8_d86540e652.png)
:format(webp)/ung_thu_nhau_thai_9_58d6575c05.png)
:format(webp)/ung_thu_nhau_thai_10_0f4c76f542.png)
:format(webp)/ung_thu_nhau_thai_8_d86540e652.png)
:format(webp)/ung_thu_nhau_thai_9_58d6575c05.png)
:format(webp)/ung_thu_nhau_thai_10_0f4c76f542.png)
Ung thư nhau thai có thể gây ra nhiều triệu chứng khác nhau, đặc biệt ở những phụ nữ vừa mới mang thai. Các triệu chứng thường gặp bao gồm:
Nếu ung thư di căn sang các cơ quan khác trong cơ thể, các triệu chứng có thể nhiều hơn, tùy thuộc vào cơ quan bị di căn:
Những triệu chứng này có thể xuất hiện cùng lúc hoặc riêng lẻ, tùy thuộc vào mức độ và vị trí mà ung thư đã lan rộng. Do tính chất nguy hiểm và phát triển nhanh của bệnh, việc phát hiện sớm và điều trị kịp thời là rất quan trọng.

Ung thư nhau thai là một loại ung thư phát triển rất nhanh và có thể gây ra nhiều biến chứng nghiêm trọng nếu không được điều trị kịp thời. Một số biến chứng chính bao gồm:
Di căn nhanh chóng: Do tính chất phát triển nhanh và xâm lấn mạnh mẽ, ung thư nhau thai có thể nhanh chóng lan sang các cơ quan khác như phổi, não, gan, thận, và âm đạo. Khi di căn, bệnh sẽ gây ra những triệu chứng nặng nề như khó thở, đau ngực, co giật, đau đầu và các vấn đề liên quan đến chức năng của các cơ quan này.
Tử vong: Nếu không được phát hiện và điều trị kịp thời, ung thư nhau thai có thể dẫn đến tử vong. Đây là một dạng ung thư rất nguy hiểm nếu không được kiểm soát.
Biến chứng do điều trị hóa trị: Mặc dù hóa trị là phương pháp điều trị hiệu quả nhưng nó có thể gây ra nhiều tác dụng phụ như:

Bạn nên đến khám và nhận sự tư vấn bởi bác sĩ Sản phụ khoa nếu bạn bị xuất huyết âm đạo bất thường hoặc đau vùng chậu, đặc biệt nếu bạn đã từng mang thai trứng hoặc phát triển các triệu chứng trong vòng 1 năm sau khi sinh con.
Ung thư nhau thai phát sinh khi các tế bào hình thành nhau thai, gọi là tế bào nguyên bào nuôi biến đổi thành ác tính. Mặc dù cơ chế phát triển chính xác của bệnh chưa được hiểu rõ hoàn toàn, có một số nguyên nhân và yếu tố sinh học được liên kết với sự xuất hiện của ung thư nhau thai:

Ung thư nhau thai là một loại ung thư hiếm gặp, phát triển từ các tế bào của nhau thai trong quá trình mang thai. Nó là một dạng bệnh lý mô liên kết thai kỳ (gestational trophoblastic disease).
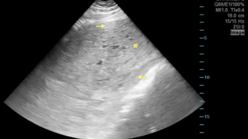
Ung thư nhau thai được chẩn đoán qua các xét nghiệm và phương pháp hình ảnh học nhằm phát hiện khối u và đánh giá mức độ lan rộng. Đầu tiên, bác sĩ tiến hành khám vùng chậu và thể chất để tìm dấu hiệu bất thường. Xét nghiệm máu, đặc biệt là xét nghiệm hCG, giúp xác định mức độ hormone cao bất thường, một dấu hiệu của ung thư nhau thai. Các phương pháp hình ảnh như siêu âm, CT, MRI, và X-quang ngực được sử dụng để phát hiện vị trí và mức độ lan của ung thư. Bệnh nhân cũng cần được theo dõi thường xuyên, đặc biệt sau các thai kỳ nguy cơ cao.
Bất kỳ ai đã từng mang thai, bao gồm sảy thai, thai ngoài tử cung, hoặc phá thai đều có nguy cơ. Nguy cơ cao hơn ở những người đã có thai trứng (molar pregnancy) và phụ nữ dưới 20 hoặc trên 40 tuổi.
Ung thư nhau thai có khả năng chữa khỏi, đặc biệt khi được phát hiện và điều trị sớm trước khi ung thư lan rộng. Tuy nhiên, tiên lượng có thể xấu đi nếu:
Mặc dù không có biện pháp phòng ngừa tuyệt đối, việc theo dõi y tế sau thai trứng, chăm sóc sức khỏe sinh sản, và kiểm tra sức khỏe định kỳ có thể giúp giảm nguy cơ và phát hiện sớm.
:format(webp)/infographic_tinh_hinh_ung_thu_tai_viet_nam_365a5742a1.png)
Tình hình ung thư tại Việt Nam
:format(webp)/infographic_dau_hieu_canh_bao_ung_thu_2_d39c3b94d3.png)
Những dấu hiệu cảnh báo ung thư
6 nguyên tắc dinh dưỡng cơ bản giúp phòng chống ung thư
:format(webp)/infographic_tinh_hinh_ung_thu_tai_viet_nam_365a5742a1.png)
Tình hình ung thư tại Việt Nam
:format(webp)/infographic_dau_hieu_canh_bao_ung_thu_2_d39c3b94d3.png)
Những dấu hiệu cảnh báo ung thư
6 nguyên tắc dinh dưỡng cơ bản giúp phòng chống ung thư
Hỏi đáp (0 bình luận)