Từng làm ở Viện ISDS, nhiều năm cộng tác với CDC Thái Nguyên triển khai dự án phòng chống HIV/AIDS, 2 năm cộng tác với WHO.
:format(webp)/1_7c808ef564.png)
:format(webp)/1_7c808ef564.png)
Dược sĩ Đại học Nguyễn Tuấn Trịnh
Từng làm ở Viện ISDS, nhiều năm cộng tác với CDC Thái Nguyên triển khai dự án phòng chống HIV/AIDS, 2 năm cộng tác với WHO.
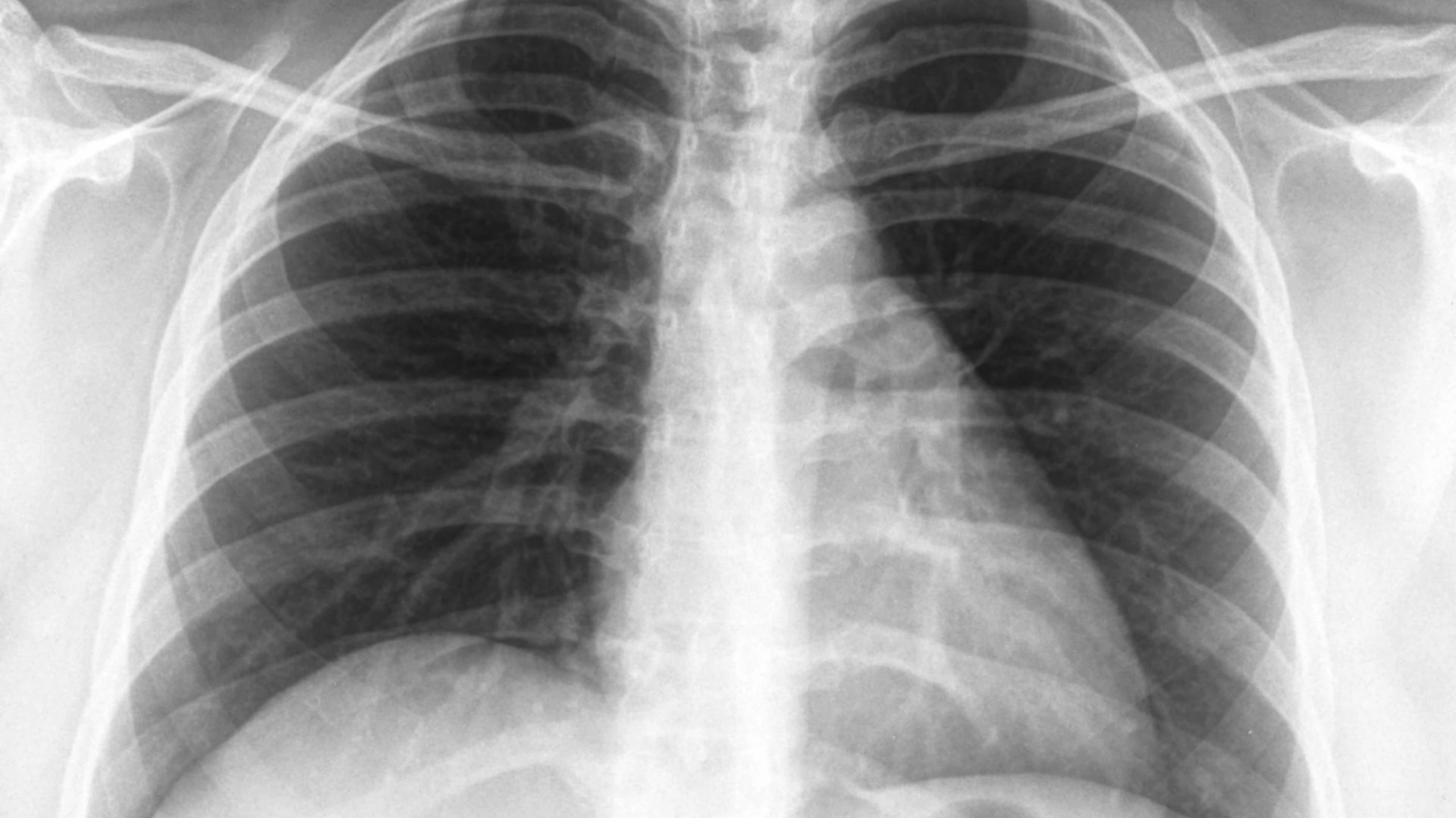
Viêm phổi bệnh viện (Hospital-acquired pneumonia – HAP), còn gọi là viêm phổi mắc phải trong bệnh viện, là một nhiễm khuẩn đường hô hấp dưới do vi khuẩn, xảy ra sau ít nhất 48 giờ kể từ khi nhập viện và không liên quan đến đặt nội khí quản lúc nhập viện. Người bệnh có thể xuất hiện nhiều triệu chứng như sốt, ớn lạnh, khó thở, đau ngực, và có nguy cơ cao gặp biến chứng nghiêm trọng thậm chí tử vong. Viêm phổi bệnh viện xảy ra phổ biến hơn ở người cao tuổi, người có sức khỏe yếu hoặc suy giảm miễn dịch. Bài viết này sẽ cung cấp các thông tin về nguyên nhân, triệu chứng, chẩn đoán và điều trị viêm phổi bệnh viện.
Viêm phổi bệnh viện (Hospital-acquired pneumonia – HAP), còn gọi là viêm phổi mắc phải trong bệnh viện, là một nhiễm khuẩn đường hô hấp dưới do vi khuẩn, xảy ra sau ít nhất 48 giờ kể từ khi nhập viện và không liên quan đến đặt nội khí quản lúc nhập viện.
:format(webp)/1_7c808ef564.png)
:format(webp)/2_3d2ccc16f4.png)
:format(webp)/3_5b7fea48ab.png)
:format(webp)/1_7c808ef564.png)
:format(webp)/2_3d2ccc16f4.png)
:format(webp)/3_5b7fea48ab.png)
Dấu hiệu đầu tiên của viêm phổi bệnh viện có thể là sự thay đổi về trạng thái tinh thần, như kích thích, lú lẫn, tuy nhiên triệu chứng có thể khác nhau tùy từng người. Các triệu chứng thường gặp khác bao gồm:

Bạn nên đến gặp bác sĩ ngay khi có bất kỳ dấu hiệu hoặc triệu chứng nghiêm trọng sau đây:
Đừng chần chừ khi các dấu hiệu này xuất hiện, vì viêm phổi bệnh viện có thể tiến triển nhanh và gây ra biến chứng nghiêm trọng nếu không được xử lý kịp thời.
Tác nhân gây bệnh thường gặp trong viêm phổi bệnh viện (HAP) và viêm phổi liên quan đến thở máy (VAP) bao gồm:
Sự khác biệt về yếu tố vật chủ và hệ vi sinh vật bệnh viện tại từng cơ sở y tế có thể ảnh hưởng đến mô hình các tác nhân gây bệnh.
Viêm phổi bệnh viện (Hospital-acquired pneumonia – HAP), còn gọi là viêm phổi mắc phải trong bệnh viện, là một nhiễm khuẩn đường hô hấp dưới do vi khuẩn, xảy ra sau ít nhất 48 giờ kể từ khi nhập viện và không liên quan đến đặt nội khí quản lúc nhập viện.
Dấu hiệu đầu tiên của viêm phổi bệnh viện có thể là sự thay đổi về trạng thái tinh thần, như kích thích, lú lẫn, tuy nhiên triệu chứng có thể khác nhau tùy từng người. Các triệu chứng thường gặp khác như ho có đờm, sốt, ớn lạnh, cảm giác mệt mỏi và khó chịu toàn thân, chán ăn, buồn nôn và nôn, đau nhói ở ngực, khó thở.
Có, viêm phổi bệnh viện có thể gây biến chứng nghiêm trọng và tăng nguy cơ tử vong, đặc biệt với những người có bệnh nền nặng.
Để phòng ngừa viêm phổi bệnh viện, bạn nên rửa tay thường xuyên, duy trì vệ sinh cá nhân, tiêm phòng đầy đủ các loại vắc xin cần thiết, tránh tự ý dùng kháng sinh và theo dõi sức khỏe kỹ lưỡng khi nằm viện.
Xem thêm thông tin: Hướng dẫn phòng ngừa viêm phổi bệnh viện hiệu quả
Nhiều nghiên cứu đã chỉ ra rằng viêm phổi bệnh viện (HAP) có liên quan đến nguy cơ tử vong gia tăng. Các yếu tố liên quan đến tăng nguy cơ tử vong bao gồm:
Viêm phổi: Căn bệnh nguy hiểm đang bị bỏ qua
Tụ cầu vàng - Mối đe dọa âm thầm đối với lá phổi
Viêm phổi bệnh viện là gì? Dấu hiệu cảnh báo bạn cần biết
Viêm phổi: Căn bệnh nguy hiểm đang bị bỏ qua
Tụ cầu vàng - Mối đe dọa âm thầm đối với lá phổi
Viêm phổi bệnh viện là gì? Dấu hiệu cảnh báo bạn cần biết
Hỏi đáp (0 bình luận)