Dược sĩ Đại học có nhiều năm kinh nghiệm trong việc tư vấn Dược phẩm và hỗ trợ giải đáp thắc mắc về Bệnh học. Hiện đang là giảng viên cho Dược sĩ tại Nhà thuốc Long Châu.
16/11/2023
Mặc định
Lớn hơn
Bị trật khớp vai khi ngủ là gì, nguyên nhân, dấu hiệu và khi nào bạn cần thăm khám bác sĩ.
Bị trật khớp vai khi ngủ là tình trạng tương đối phổ biến hiện nay. Chúng có thể gây ra nhiều ảnh hưởng tiêu cực đến các hoạt động hằng ngày của người bệnh. Tình trạng này có thể do ngủ sai tư thế nhưng cũng có thể phản ánh các bệnh lý về xương khớp. Vậy hãy cùng chúng tôi tìm hiểu về chấn thương trật khớp vai khi ngủ trong bài viết dưới đây nhé!
Trật khớp vai là tình trạng chấn thương khiến hai mặt của khớp chỏm xương cánh tay lệch khỏi vị trí ban đầu của chúng. Đây là tình trạng phổ biến, có thể xảy ra ở bất cứ đối tượng nào, không phân biệt độ tuổi hay giới tính. Trong đó, trường hợp người trưởng thành khỏe mạnh chiếm tới 60%.
Chấn thương phần này rất đa dạng, có thể về trước, về sau hoặc là xuống dưới. Chấn thương một phần hoặc thậm chí là hoàn toàn khớp vai. Nguyên nhân dẫn đến tình trạng này là té ngã, tai nạn, khiếm khuyết khớp vai, lỏng dây chẳng,…
Trong số đó, trật khớp vai khi ngủ cũng là trường hợp rất phổ biến. Thông thường là do người bệnh ngủ sai tư thế.

Bị trật khớp vai khi ngủ là tình trạng sai khác khớp vai sau khi ngủ
Có nhiều nguyên nhân dẫn đến tình trạng trật khớp vai khi ngủ, phổ biến nhất là những điều sau:
Bị trật khớp vai khi ngủ có thể do ngồi sai tư thế quá lâu
Dấu hiệu rõ ràng nhất của tình trạng này chính là cảm giác đau nhức ở phần khớp vai sau khi ngủ dậy. Ngoài ra cũng có một vài dấu hiệu khác, có thể tham khảo sau đây:
Ngay khi nhận thấy những dấu hiệu bất thường này, bạn nên nhanh chóng áp dụng những biện pháp sơ cứu kịp thời. Sau đó lập tức đến bệnh viện hoặc các cơ sở y tế gần nhất để được điều trị kịp thời. Tránh tình trạng trật khớp kéo dài dẫn đến nhiều ảnh hưởng đến chức năng vận động của xương khớp về sau.

Biến dạng khớp vai
Theo những nghiên cứu, trật khớp vai được cho rằng không gây nguy hại đến tính mạng. Đa phần thường được cải thiện sau khi điều trị vài tuần. Tuy nhiên, bạn cũng không nên chủ quan về tình trạng này. Bởi trật khớp vai cũng có nguy cơ xuất hiện nhiều biến chứng khó lường. Một vài trường hợp điển hình thường gặp như sau:
Bị trật khớp vai khi ngủ nếu không chữa trị kịp thời có thể dẫn đến nhiều biến chứng nguy hiểm như đã được kể trên. Do đó, bạn không nên chủ quan khi nhận thấy khớp vai đau nhói khi ngủ dậy. Nếu như tình trạng đau kéo dài không khỏi, bạn cần kịp thời đến bệnh viện để kiểm tra và điều trị.
Bị trật khớp vai khi ngủ có thể dẫn đến gãy xương vùng vai Đối với trường hợp đau nhức nhẹ, bạn có thể thực hiện một vài biện pháp sơ cứu trật khớp vai tạm thời hay áp dụng cách chữa trật khớp vai tại nhà. Tuy nhiên, vẫn nên đến thăm khám và điều trị tại các cơ sở uy tín để được chẩn đoán chính xác.
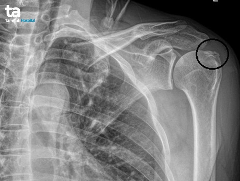
Khi đến bệnh viện, bác sĩ sẽ thực hiện một số biện pháp kiểm tra như là chụp X quang để xác định vị trí xương gãy, mức độ trật khớp (nếu có).
Đặc biệt, trường hợp trật khớp vai kèm theo gãy xương, bác sĩ sẽ chỉ định thực hiện kết hợp phương pháp chụp CT scan để tăng độ chính xác cho kết quả chẩn đoán. Ngược lại, nếu tình trạng trật khớp đơn thuần không bị gãy xương, bạn có thể được điều trị bằng những biện pháp không xâm lấn khác như nắn khớp, cố định vai hay sử dụng thuốc giảm đau, thuốc giãn cơ.
Chụp X-quang trật khớp vai Bị trật khớp vai khi ngủ là tình trạng tương đối phổ biến. Mặc dù không quá nguy hiểm nhưng nếu không chữa trị kịp thời có thể dẫn đến nhiều biến chứng khó lường. Vì vậy hãy lập tức đến gặp bác sĩ nếu nhận thấy tình trạng của mình có nhiều chuyển biến bất thường nhé!
Thảo My
Nguồn tham khảo: Tổng hợp
Dược sĩ Đại họcNguyễn Mỹ Huyền
Dược sĩ Đại học có nhiều năm kinh nghiệm trong việc tư vấn Dược phẩm và hỗ trợ giải đáp thắc mắc về Bệnh học. Hiện đang là giảng viên cho Dược sĩ tại Nhà thuốc Long Châu.