Dược sĩ Đại học có nhiều năm kinh nghiệm trong việc tư vấn Dược phẩm và hỗ trợ giải đáp thắc mắc về Bệnh học. Hiện đang là giảng viên cho Dược sĩ tại Nhà thuốc Long Châu.
Ngọc Trang
15/01/2024
Mặc định
Lớn hơn
Một trong những tai biến sản khoa rất nguy hiểm đó là tình trạng rau cài răng lược. Nếu không được phát hiện và xử lý kịp thời, người me có thể gặp các biến chứng nghiêm trọng. Vậy bác sĩ có phát hiện được rau cài răng lược trên siêu âm không? Khi bị tình trạng này phải làm sao?
Rau cài răng lược xảy ra khi bánh rau xâm lấn vào thành tử cung sau khi sinh và không thể tách rời ra khỏi thành tử cung, dẫn đến tình trạng băng huyết sau sinh, rối loạn đông máu, thậm chí ảnh hưởng tính mạng của người mẹ.
Rau cài răng lược hay nhau cài răng lược là một hiện tượng bệnh lý xảy ra sau khi mẹ sinh em bé. Đây là tình trạng rau thai không bóc tách ra được khỏi thành tử cung do chúng bám chặt vào các cơ rồi xâm lấn đến các bộ phận xung quanh.
Khi rau thai bám vào thành tử cung quá chặt, không thể tự tách rời ra khỏi tử cung hoặc chỉ bong tróc một mảng nhỏ, các mạch máu sẽ bị mở ra và không được co lại, gây tình trạng băng huyết sau sinh và rối loạn đông máu sau sinh. Nếu không được xử trí kịp thời, mẹ có thể tử vong.

Có 3 thể rau cài răng lược khác nhau dựa vào mức độ bánh rau xâm lấn vào thành tử cung gồm:
Dựa trên số mô rau bám vào cơ tử cung, rau cài răng lược có thể cài toàn bộ, một phần hoặc một phần nhỏ.
Các mẹ bị nhau tiền đạo rất dễ xảy ra tình trạng rau cài răng lược. Tình trạng này thường xuất hiện ở phần thấp nhất của tử cung và có mối liên quan chặt chẽ trong quá trình phẫu thuật tử cung hoặc phẫu thuật sinh mổ. Nếu quá trình diễn ra không thuận lợi, mẹ sẽ bị ảnh hưởng trực tiếp. Bởi vậy nếu mẹ đã từng sinh mổ hai lần trở lên thì nguy cơ bị rau cài răng lược sẽ tăng lên tới 40%.
Ngoài ra, đối tượng cũng sẽ có nguy cơ mắc rau cài răng lược cao gồm những người đã từng phá thai, bị u xơ tử cung và có sẹo ở tử cung, thậm chí gồm các sản phụ ở ngoài độ tuổi 35.
Khi bị rau cài răng lược, người bệnh không gặp bất cứ triệu chứng hay dấu hiệu rõ rệt nào. Chỉ xuất hiện tình trạng xuất huyết âm đạo bất thường vào những tháng gần cuối thai kỳ (tam cá nguyệt thứ ba), lúc này mới phát hiện ra bệnh.
Hiện nay, nhờ hệ thống máy siêu âm hiện đại, có thể phát hiện tình trạng rau cài răng lược trên siêu âm sớm. Do đó, mẹ bầu cần khám thai định kỳ theo chỉ định của bác sĩ để theo dõi thai kỳ chặt chẽ nhằm phát hiện sớm và can thiệp hiệu quả khi bị rau cài răng lược.

Dù rau cài răng lược là bệnh lý hiếm gặp nhưng lại rất nguy hiểm, gây nhiều biến chứng đe dọa tính mạng người mẹ. Sau khi sinh, bánh nhau không thể tự bong tróc ra khỏi thành tử cung, gây chảy máu không thể cầm được, dẫn đến nhiều biến chứng nguy hiểm, chẳng hạn như băng huyết sau sinh phải truyền máu, có thể gây tử vong cho mẹ.
Hiện vẫn chưa tìm được nguyên nhân chính xác hình thành nên tình trạng rau cài răng lược. Nhưng hầu hết các trường hợp gặp phải tình trạng này đều liên quan đến vết phẫu thuật trên thành tử cung khi mổ lấy thai đã để lại sẹo to hay bóc nhân xơ tử cung.
Ngoài ra, nguy cơ bị rau cài răng lược cũng tăng lên khi các mẹ lựa chọn sinh em bé bằng phương pháp mổ, phẫu thuật. Nếu mẹ sử dụng phương pháp sinh mổ 3 lần trở lên và đều lặp lại tại một vị trí cũng dẫn đến tình trạng rau cài răng lược.
Nguyên nhân phổ biến hơn là tình trạng mẹ bầu mắc phải rau thai tiền đạo. Theo số liệu thống kê từ Bộ Y tế, khoảng từ 5 đến 10% trường hợp các bánh nhau không thể tự động tách rời khỏi thành tử cung do bị rau thai tiền đạo, dẫn đến mắc rau cài răng lược.
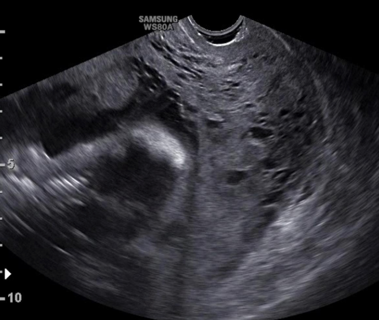
Qua siêu âm có thể phát hiện được tình trạng rau cài răng lược, nhưng chỉ có thể phát hiện trong 3 tháng cuối trong thai kỳ.
Đây là giai đoạn rất quan trọng cần đặc biệt chú ý, lúc này các bác sĩ có thể dễ dàng kiểm tra tình trạng của rau thai, có thể phát hiện được nếu các gai rau bám quá sâu, từ đó, có thể đưa ra các phương án khắc phục kịp thời.
Hình ảnh rau cài răng lược trên siêu âm vào quý 2, 3 thai kỳ sẽ cho biết các dấu hiệu như:
Tuy nhiên, không phải trường hợp nào cũng có thể phát hiện được rau cài răng lược trên siêu âm trong vòng 3 tháng cuối và xử lý ngay, mà chỉ phát hiện rau thai không bóc tách được sau khi sinh. Do đó, trước khi sinh nở, bạn cần tìm đến cơ sở y tế uy tín để đảm bảo an toàn về sức khỏe của cả mẹ và bé.

Cách xử lý rau cài răng lược theo 2 trường hợp sau:
Nếu phát hiện thấy bánh rau bám quá chặt, quá sâu và xâm lấn đến các cơ quan kế bên như ruột, bàng quang… bác sĩ sẽ chỉ định mổ lấy thai và cầm máu bằng cách cắt tử cung.
Trường hợp rau thai có mức độ xâm lấn nhẹ, ngoài chỉ định mổ lấy thai, bác sĩ sẽ bóc tách phần nhau thai đã bong. Sau đó, sử dụng thuốc để làm thoái triển phần bánh nhau còn sót lại trong tử cung.
Sau khi sinh, nếu bánh nhau không tự động bong ra, các bác sĩ sẽ chẩn đoán và có cách xử lý cụ thể dựa vào mức độ bám của bánh nhau cũng như sức khỏe của mẹ bầu.
Trường hợp bánh nhau xâm lấn sâu, lan sang các cơ quan xung quanh, bác sĩ có thể chỉ định cắt bỏ một phần các cơ quan đó, thậm chí có thể phải cắt bỏ tử cung để đảm bảo tính mạng của mẹ bầu.
Những biến chứng do rau cài răng lược gây ra rất nguy hiểm đối với cả mẹ và thai nhi. Vậy nên, mẹ cần áp dụng các phương pháp phòng tránh tình trạng này như sau:

Nếu mẹ bầu thấy các triệu chứng bất thường trong quá trình mang thai như xuất hiện các cơn co thắt tử cung, đau bụng âm ỉ,..., mẹ cần đến ngay bệnh viện để được thăm khám và phát hiện rau cài răng lược trên siêu âm, từ đó có phác đồ điều trị phù hợp.
Xem thêm: Siêu âm lạc nội mạc tử cung: Phương pháp chẩn đoán bệnh chính xác
Dược sĩ Đại họcNguyễn Mỹ Huyền
Dược sĩ Đại học có nhiều năm kinh nghiệm trong việc tư vấn Dược phẩm và hỗ trợ giải đáp thắc mắc về Bệnh học. Hiện đang là giảng viên cho Dược sĩ tại Nhà thuốc Long Châu.