Dược sĩ Đại học có nhiều năm kinh nghiệm trong việc tư vấn Dược phẩm và hỗ trợ giải đáp thắc mắc về Bệnh học. Hiện đang là giảng viên cho Dược sĩ tại Nhà thuốc Long Châu.
Thu Thủy
16/07/2024
Mặc định
Lớn hơn
Xét nghiệm đo độ mờ da gáy (khoảng sáng sau gáy) thường sẽ được chỉ định thực hiện từ tuần thứ 11 đến tuần thứ 13 của thai kỳ để sàng lọc hội chứng Down trước sinh. Vậy kết quả độ mờ da gáy bao nhiêu là bình thường? Độ mờ da gáy 3.2 mm có bình thường không?
Trong thời gian thai kỳ, việc thăm khám thai định kỳ theo lịch của bác sĩ và thực hiện các xét nghiệm cần thiết là rất quan trọng để theo dõi sát tình trạng sức khỏe của mẹ và bé. Ở tuần thai thứ 11 đến 13, mẹ có thể sẽ được chỉ định thực hiện xét nghiệm đo độ mờ da gáy. Xét nghiệm này sẽ giúp chẩn đoán sớm nguy cơ mắc hội chứng Down ở thai nhi. Vậy độ mờ da gáy 3.2 mm có bình thường không? Kết quả bao nhiêu là bình thường?
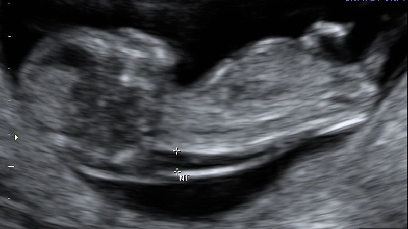
Độ mờ da gáy (có tên tiếng Anh là Nuchal Translucency) là thuật ngữ dùng để mô tả khoảng tích tụ dịch ở dưới da phía sau gáy của thai nhi trong tam cá nguyệt đầu tiên. Nó thường xuất hiện dưới dạng một vùng mờ trên màn hình siêu âm và được đo trong giai đoạn từ 11 - 13 tuần tuổi hoặc khi thai nhi có kích thước đầu mông từ 45 - 84 mm. Mặc dù mọi thai nhi khỏe mạnh đều có lớp chất lỏng này phía sau gáy, nhưng khi bị mắc hội chứng Down hoặc những bất thường khác về nhiễm sắc thể thì lớp chất lỏng này sẽ dày hơn so với mức bình thường. Do đó, việc đo độ mờ da gáy có thể giúp phát hiện sớm các vấn đề này.

Tuy nhiên, chỉ số của độ mờ da gáy sẽ trở lại mức bình thường khi thai nhi quá 14 tuần tuổi. Điều này đồng nghĩa với việc kết quả đo được thực hiện ở thời điểm này sẽ không còn giá trị nữa. Do vậy, các bác sĩ sản khoa thường sẽ khuyến cáo thai phụ cần chú ý đến mốc thời gian này khi muốn thực hiện kiểm tra đo độ mờ da gáy cho thai nhi.
Kết quả đo độ mờ da gáy có thể cho khả năng đưa ra chẩn đoán chính xác đến khoảng 75% nguy cơ trẻ bị hội chứng Down. Tuy nhiên, cũng có một số trường hợp hiếm hoi (xác suất thấp), trẻ có nguy cơ cao bị dị tật nhưng lại phát triển hoàn toàn bình thường sau khi sinh ra. Ngược lại, có trường hợp một số trẻ có kết quả đo độ mờ da gáy trong giới hạn an toàn nhưng vẫn có thể mắc dị tật sau sinh.
Theo các chuyên gia chuyên sản khoa, việc sử dụng siêu âm để đo độ mờ da gáy được xem là một bước quan trọng trong quy trình khám thai của mẹ bầu. Nếu bỏ qua bước sàng lọc này, mẹ bầu sẽ có nguy cơ sinh ra những đứa trẻ bị dị tật, đặc biệt là hội chứng Down.
Hội chứng Down là một dạng rối loạn nhiễm sắc thể khiến trẻ bị chậm phát triển và gặp phải những khuyết tật về cả thể chất lẫn tinh thần. Trẻ bị hội chứng này thường sẽ bị dị tật tim bẩm sinh, dẫn đến suy tim và có nguy cơ bị giảm tuổi thọ. Ngoài ra, trẻ còn gặp phải nhiều biến chứng khác như:

Hơn nữa, những gia đình khi có trẻ bị mắc hội chứng Down hoặc các dị tật bẩm sinh khác sẽ phải đối mặt với áp lực về nhu cầu và chi phí chăm sóc. Bởi những em bé này cần được chăm sóc theo một chế độ đặc biệt và đắt đỏ hơn nhiều so với những em bé khỏe mạnh khác.
Việc thực hiện đo độ mờ da gáy cùng với các xét nghiệm sàng lọc khác sẽ giúp mẹ nhận biết được nguy cơ mắc hội chứng Down của bé và bác sĩ sẽ cho mẹ cùng gia đình những lời khuyên phù hợp.
Khi thực hiện siêu âm để đo độ mờ da gáy của thai nhi, có không ít các mẹ bầu cảm thấy hoang mang không biết kết quả đo độ mờ da gáy bao nhiêu là bình thường. Độ mờ da gáy 3.2 mm có bình thường không?
Thông thường, những thai nhi có kích thước đầu và mông từ 45 - 84 mm sẽ có độ mờ da gáy tiêu chuẩn dưới 3.5 mm.
Tuy nhiên, tùy thuộc vào tuổi thai của em bé mà sẽ có độ mờ da gáy bình thường ở ngưỡng phù hợp. Dưới đây là một số chỉ số đo độ mờ da gáy mà mẹ bầu có thể tham khảo để hiểu rõ hơn như:
Ngoài ra, nguy cơ mắc hội chứng Down ở những thai nhi có độ mờ da gáy dưới 1.3 mm thường thấp hơn rất nhiều. Ngược lại, nếu độ mờ da gáy trên 3mm sẽ có nguy cơ khá cao mắc hội chứng Down. Đặc biệt là khi độ mờ da gáy đạt 6mm thì rất có thể, thai nhi mắc hội chứng Down hoặc các dị tật bẩm sinh khác.

Khi độ mờ da gáy nằm trong khoảng từ 3.2 - 3.5 mm, trẻ có nguy cơ nhiễm sắc thể đột biến khá cao. Do vậy, bác sĩ có thể sẽ khuyến nghị mẹ bầu thực hiện thêm một số xét nghiệm chuyên sâu để an tâm hơn về tình trạng sức khỏe của thai nhi.
Trong trường hợp này, xét nghiệm thường được chỉ định là xét nghiệm NIPT. Tuy nhiên, xét nghiệm này chỉ đánh giá được một số loại nhiễm sắc thể thông thường, bao gồm nhiễm sắc thể 21 (trong hội chứng Down), nhiễm sắc thể 18 (trong hội chứng Edwards), nhiễm sắc thể 13 (trong hội chứng Patau) và nhiễm sắc thể giới tính. Vì vậy, mẹ bầu nên tham khảo ý kiến của bác sĩ chuyên khoa và thực hiện thêm các xét nghiệm chuyên sâu khác. Trong một số trường hợp, mẹ bầu sẽ được đề xuất thực hiện chọc ối hoặc sinh thiết gai nhau.
Với những thông tin chia sẻ trên đây, hy vọng sẽ giúp bạn đọc phần nào giải đáp được cho thắc mắc độ mờ da gáy 3.2 mm có bình thường không. Đồng thời, có cái nhìn tổng quan hơn về việc thực hiện đo độ mờ da gáy trong khoảng từ tuần 11 - tuần 13 của thai kỳ để mẹ bầu chủ động hơn khi lên kế hoạch quản lý thai kỳ nhé!
Xem thêm:
Dược sĩ Đại họcNguyễn Mỹ Huyền
Dược sĩ Đại học có nhiều năm kinh nghiệm trong việc tư vấn Dược phẩm và hỗ trợ giải đáp thắc mắc về Bệnh học. Hiện đang là giảng viên cho Dược sĩ tại Nhà thuốc Long Châu.