Tốt nghiệp loại giỏi trường Đại học Y Dược Huế. Từng tham gia nghiên cứu khoa học đề tài về Dược liệu. Nhiều năm kinh nghiệm làm việc trong lĩnh vực Dược phẩm. Hiện đang là giảng viên cho Dược sĩ tại Nhà thuốc Long Châu.
Thị Thúy
29/07/2025
Mặc định
Lớn hơn
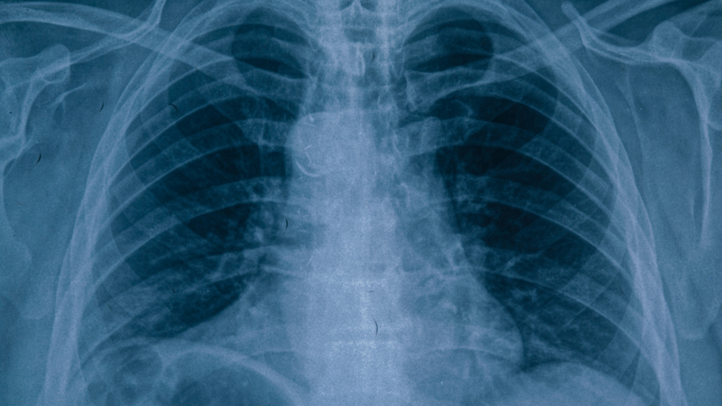
Chụp X-quang phổi là một kỹ thuật hình ảnh không thể thiếu trong chẩn đoán các bệnh về đường hô hấp, trong đó có viêm phế quản. Tuy nhiên, không phải ai cũng biết được hình ảnh viêm phế quản trên phim X-quang như thế nào và nó có thể giúp phát hiện ra những gì. Hình ảnh X-quang viêm phế quản như thế nào?
Viêm phế quản là một trong những bệnh lý hô hấp phổ biến, ảnh hưởng trực tiếp đến lớp niêm mạc bên trong phế quản. Khi mắc bệnh, nhiều người thắc mắc liệu hình ảnh X-quang phổi có thể phản ánh chính xác tình trạng viêm này hay không. Hình ảnh X-quang viêm phế quản như thế nào?
Chụp X-quang là một trong những phương pháp hình ảnh y học quan trọng được sử dụng để hỗ trợ chẩn đoán các bệnh lý liên quan đến đường hô hấp, trong đó có viêm phế quản.

Khi thực hiện chụp X-quang phổi, bác sĩ sẽ quan sát được hình ảnh chi tiết về cấu trúc phổi cũng như các tổn thương tiềm ẩn. Qua đó, những bệnh lý nghiêm trọng như viêm phổi, áp xe phổi hay khối u ác tính có thể được phát hiện sớm, giúp bác sĩ đưa ra hướng điều trị phù hợp và kịp thời. Đặc biệt, trong trường hợp viêm phế quản, trên phim X-quang thường thấy rõ hiện tượng thành phế quản dày lên, biểu hiện bằng các nhánh phế quản hai bên có màu sắc đậm hơn bình thường. Hiện tượng này là kết quả của việc tích tụ dịch nhầy do sự viêm nhiễm gây ra bởi virus hoặc vi khuẩn, cùng với tình trạng giảm hoạt động của các lông mao niêm mạc đường hô hấp, đặc biệt phổ biến ở người nghiện thuốc lá.
Ngoài ra, phim X-quang còn có thể cho thấy những dấu hiệu bất thường khác như tăng thể tích phổi, làm mờ đi các ranh giới mạch máu gần vùng hai rốn phổi do phản ứng viêm quanh khu vực này. Những thay đổi này phản ánh rõ ràng sự suy giảm chức năng của phổi và các tổn thương cấu trúc do bệnh lý lâu ngày gây ra.
Chụp X-quang phổi là một phương pháp hình ảnh quan trọng giúp bác sĩ đánh giá chính xác tình trạng của phổi và hỗ trợ chẩn đoán viêm phế quản cũng như các bệnh lý liên quan. Tuy nhiên, không phải mọi trường hợp nghi ngờ viêm phế quản đều cần chụp X-quang. Thay vào đó, chỉ khi xuất hiện những dấu hiệu hoặc tình trạng đặc biệt, bác sĩ mới chỉ định thực hiện kỹ thuật này nhằm phát hiện sớm các biến chứng hoặc phân biệt với các bệnh phổi nghiêm trọng khác như viêm phổi.

Một trong những lý do chính để thực hiện chụp X-quang phổi là khi triệu chứng bệnh kéo dài hoặc không có dấu hiệu cải thiện sau quá trình điều trị. Ví dụ, bệnh nhân có tình trạng ho kéo dài dai dẳng, thậm chí ho ra máu, không giảm bớt dù đã dùng thuốc theo chỉ định thì cần được kiểm tra kỹ hơn bằng X-quang để xác định nguyên nhân cụ thể và mức độ tổn thương phổi. Ngoài ra, các dấu hiệu như sốt cao kéo dài trên 38,5°C, cảm giác ớn lạnh, đổ mồ hôi vào ban đêm, kèm theo khó thở nặng hoặc đau tức vùng ngực cũng là những cảnh báo quan trọng yêu cầu bác sĩ phải tiến hành chụp X-quang nhằm loại trừ những bệnh lý nguy hiểm khác.
Bên cạnh đó, việc chụp X-quang còn rất cần thiết để phân biệt viêm phế quản với những bệnh lý hô hấp khác có triệu chứng tương tự như viêm phổi, ung thư phổi hay các bệnh mạn tính ảnh hưởng đến phổi. Việc phân biệt chính xác sẽ giúp bác sĩ lựa chọn phương án điều trị phù hợp, tránh các biến chứng nguy hiểm có thể xảy ra.
Ngoài triệu chứng, bác sĩ cũng sẽ cân nhắc chỉ định chụp X-quang phổi ở những đối tượng có nguy cơ cao như người cao tuổi, trẻ nhỏ, những người có hệ miễn dịch suy giảm hoặc mắc các bệnh lý nền như bệnh phổi tắc nghẽn mãn tính (COPD), hen suyễn, suy tim, hoặc những người có tiền sử hút thuốc lá lâu năm. Những nhóm người này có khả năng bị biến chứng nặng hơn khi mắc viêm phế quản, do đó việc chẩn đoán chính xác và sớm thông qua chụp X-quang là vô cùng cần thiết.
Hình ảnh X quang viêm phế quản cấp tính hường không rõ ràng và đôi khi hoàn toàn bình thường. Lý do là bởi viêm phế quản cấp tính chủ yếu gây tổn thương ở lớp niêm mạc phế quản mà không ảnh hưởng sâu đến nhu mô phổi. Chính vì vậy, phim X-quang ở những bệnh nhân này thường không có dấu hiệu đặc trưng để nhận biết rõ bệnh.

Mục đích chính của việc chụp X-quang phổi trong trường hợp nghi ngờ viêm phế quản cấp tính là nhằm loại trừ các bệnh lý khác có biểu hiện tương tự như viêm phổi, lao phổi hay phù phổi. Bên cạnh đó, ở những bệnh nhân có tiền sử bệnh phổi tắc nghẽn mạn tính (COPD), X-quang còn giúp bác sĩ phân biệt giữa các bệnh lý khác nhau và phát hiện biến chứng tiềm ẩn như bội nhiễm hay sự tiến triển của viêm phế quản thành viêm phổi.
Khi chuyển sang viêm phế quản mạn tính, phim X-quang sẽ có những dấu hiệu đặc trưng hơn cần được lưu ý. Một số hình ảnh phổ biến gồm có tăng đậm vân phổi, do sự tăng tiết dịch nhầy làm dày đặc các vân phổi. Thêm vào đó, thành phế quản thường dày lên rõ rệt, phản ánh tình trạng viêm kéo dài và tổn thương mãn tính. Ở những bệnh nhân mắc kèm bệnh phổi tắc nghẽn mạn tính, có thể quan sát thấy dấu hiệu khí phế thũng như phổi tăng sáng, giảm mạch máu ngoại vi và cơ hoành dẹt do phổi căng giãn quá mức. Đặc biệt, trong trường hợp bệnh tim phổi mạn tính (tâm phế mạn), bóng tim trên phim X-quang có thể to bất thường, thường là do giãn thất phải, kèm theo các dấu hiệu sung huyết phổi hoặc tràn dịch màng phổi.
Ngoài ra, X-quang cũng giúp phân biệt các mức độ tổn thương của viêm phế quản. Với viêm phế quản đơn thuần, phim có thể bình thường hoặc chỉ thấy tăng đậm vân phổi và dày thành phế quản. Khi bệnh tiến triển thành viêm phế quản phổi, trên phim xuất hiện các nốt mờ nhỏ rải rác ở hai bên phổi, đôi khi có tổn thương nhu mô dạng lưới do viêm lan rộng. Trường hợp nặng hơn là viêm phổi thùy, với vùng mờ đặc khu trú theo phân thùy hoặc toàn bộ thùy phổi.

Chụp X-quang phổi không phải là xét nghiệm bắt buộc cho mọi bệnh nhân viêm phế quản mà chỉ được chỉ định khi xuất hiện những dấu hiệu bất thường, triệu chứng nghiêm trọng hoặc các yếu tố nguy cơ. Phương pháp này giúp bác sĩ đánh giá chính xác tổn thương phổi, phát hiện các bệnh lý đi kèm, từ đó đưa ra phác đồ điều trị hiệu quả và kịp thời, góp phần nâng cao chất lượng chăm sóc sức khỏe cho người bệnh.
Hy vọng qua nội dung bài viết bạn đã hiểu rõ hình ảnh X-quang viêm phế quản như thế nào? Hình ảnh thu được từ phim chụp X-quang không chỉ giúp phát hiện những tổn thương rõ ràng mà còn phản ánh sự biến đổi cấu trúc phổi trong quá trình bệnh diễn tiến. Tuy nhiên, việc đánh giá và đưa ra kết luận chính xác vẫn phụ thuộc nhiều vào kinh nghiệm và trình độ chuyên môn của bác sĩ. Vì vậy, X-quang là một công cụ hỗ trợ chẩn đoán hiệu quả, góp phần quan trọng trong quá trình điều trị bệnh viêm phế quản và các bệnh hô hấp khác.
Xem thêm:
Dược sĩ Đại họcNgô Kim Thúy
Tốt nghiệp loại giỏi trường Đại học Y Dược Huế. Từng tham gia nghiên cứu khoa học đề tài về Dược liệu. Nhiều năm kinh nghiệm làm việc trong lĩnh vực Dược phẩm. Hiện đang là giảng viên cho Dược sĩ tại Nhà thuốc Long Châu.