• Thực phẩm chức năng

  • Dược mỹ phẩm

  • Thuốc

  • Chăm sóc cá nhân

  • Thiết bị y tế

  • Tiêm chủng

  • Bệnh & Góc sức khỏe

  • Hệ thống nhà thuốc

    1. /
    2. Góc sức khỏe/
    3. Phòng bệnh & Sống khoẻ

    Meningioma là gì? Những tác động của Meningioma đến sức khỏe

    Thục Hiền

    10/10/2024

    Kích thước chữ

    Sức khỏe là tài sản quý giá nhất của con người. Giữ gìn sức khỏe là trách nhiệm và nghĩa vụ của mỗi cá nhân. Meningioma là một trong những mối đe dọa tiềm ẩn cho đời sống sức khỏe của chúng ta. Hiểu rõ về Meningioma là gì, từ những kiến thức cơ bản về căn bệnh cho đến những chia sẻ quý báu từ những người đã chiến thắng bệnh tật là chìa khóa để bảo vệ bản thân và những người thân yêu khỏi căn bệnh này.

    Bài viết này sẽ đưa bạn đến với hành trình khám phá Meningioma là gì và những kiến thức liên quan. Hy vọng rằng, qua bài viết này, bạn sẽ có được những thông tin hữu ích để bảo vệ sức khỏe bản thân và xây dựng một cuộc sống khỏe mạnh, hạnh phúc.

    Meningioma là gì?

    Meningioma là một loại khối u phát triển từ màng não, lớp mô mỏng bao bọc và bảo vệ não, tủy sống. Hầu hết Meningioma lành tính (không phải ung thư), nhưng một số ít trường hợp có thể ác tính.

    Meningioma là khối u não phổ biến nhất, chiếm khoảng 30% tổng số trường hợp u não nguyên phát. Bệnh thường gặp ở người trưởng thành từ 30 đến 50 tuổi và phụ nữ có nguy cơ mắc bệnh cao hơn nam giới.

    meningioma-la-gi-nhung-tac-dong-cua-meningioma-den-suc-khoe 1
    Meningioma là một trong những mối đe dọa tiềm ẩn cho đời sống sức khỏe của chúng ta

    Đặc điểm của Meningioma

    • Phát triển chậm: Meningioma thường phát triển chậm trong nhiều năm, thậm chí nhiều thập kỷ, mà không gây ra triệu chứng.
    • Vị trí đa dạng: Meningioma có thể xuất hiện ở bất kỳ vị trí nào trong hộp sọ hoặc dọc theo cột sống.
    • Triệu chứng đa dạng: Triệu chứng của Meningioma phụ thuộc vào vị trí và kích thước của khối u.

    Meningioma được phân loại thành hai loại chính:

    • Meningioma lành tính: Loại phổ biến nhất, chiếm khoảng 90% trường hợp Meningioma.
    • Meningioma ác tính: Loại hiếm gặp hơn, chỉ chiếm khoảng 10% trường hợp Meningioma. Meningioma ác tính có khả năng xâm lấn mô lân cận và di căn sang các bộ phận khác của cơ thể.

    Mặc dù nguyên nhân chính xác của Meningioma vẫn chưa được biết đến, nhưng một số yếu tố tiềm ẩn có thể góp phần làm tăng nguy cơ mắc bệnh đã được khám phá, bao gồm:

    • Tiếp xúc với bức xạ ion hóa: Tiếp xúc với bức xạ ion hóa, chẳng hạn như từ tia X, tia gamma hoặc uranium, có thể làm tăng nguy cơ mắc Meningioma.
    • Bệnh di truyền: Một số bệnh di truyền, chẳng hạn như hội chứng thần kinh sợi đa nang NF1hội chứng Schwannoma, có thể làm tăng nguy cơ mắc Meningioma.
    • Giới tính: Meningioma phổ biến hơn ở phụ nữ so với nam giới.
    • Tuổi tác: Nguy cơ mắc Meningioma tăng theo độ tuổi.

    Triệu chứng của Meningioma

    Dấu hiệu cảnh báo thường gặp nhất của Meningioma là đau đầu dai dẳng, âm ỉ, thường tăng nặng vào buổi sáng hoặc khi nằm xuống.

    Bên cạnh đó, yếu cơ, tê bì một bên cơ thể, mất thị lực hoặc thay đổi thị lực, khó khăn trong việc nói hoặc nuốt, co giật cũng là những biểu hiện cần lưu ý.

    meningioma-la-gi-nhung-tac-dong-cua-meningioma-den-suc-khoe 2
    Meningioma là gì?

    Ngoài ra, Meningioma còn có thể gây ra các triệu chứng ít phổ biến hơn như:

    • Thay đổi tâm trạng hoặc tính cách;
    • Khó khăn trong việc tập trung;
    • Mất trí nhớ;
    • Rối loạn thăng bằng;
    • Tiếng ồn trong tai;
    • Chóng mặt.

    Điều quan trọng là phải đi khám bác sĩ ngay lập tức nếu bạn gặp bất kỳ triệu chứng nào trong số những triệu chứng trên. Việc chẩn đoán sớm và điều trị kịp thời sẽ giúp giảm triệu chứng và nâng cao chất lượng cuộc sống.

    Biến chứng của Meningioma

    Meningioma, mặc dù thường lành tính, nhưng vẫn có thể dẫn đến một số biến chứng nếu không được điều trị kịp thời. Biến chứng của Meningioma phụ thuộc vào vị trí, kích thước và tốc độ phát triển của khối u.

    Dưới đây là một số biến chứng tiềm ẩn của Meningioma:

    • Tổn thương thần kinh: Meningioma có thể chèn ép các dây thần kinh, dẫn đến yếu cơ, tê bì hoặc mất cảm giác ở các vùng cơ thể bị ảnh hưởng.
    • Rối loạn chức năng não: Tùy thuộc vào vị trí, Meningioma có thể ảnh hưởng đến các chức năng não như thị giác, thính giác, ngôn ngữ hoặc khả năng vận động.
    • Tăng áp lực nội sọ: Khi khối u phát triển lớn, Meningioma có thể gây tăng áp lực lên não, dẫn đến nhức đầu, buồn nôn, nôn mửa và thậm chí là giảm thị lực.
    • Đột quỵ: Trong trường hợp hiếm gặp, Meningioma có thể chèn ép các mạch máu não, dẫn đến đột quỵ.
    • Di căn (đối với Meningioma ác tính): Meningioma ác tính có khả năng di căn sang các bộ phận khác của cơ thể, gây ra các biến chứng nghiêm trọng.

    Nguy cơ biến chứng của Meningioma có thể tăng cao trong một số trường hợp:

    • Khối u có kích thước lớn: Khối u càng lớn, càng có khả năng gây chèn ép các mô và dây thần kinh xung quanh, dẫn đến biến chứng.
    • Khối u phát triển nhanh: Khối u phát triển nhanh có thể gây tăng áp lực nội sọ nhanh chóng, dẫn đến các biến chứng nguy hiểm.
    • Vị trí đặc biệt: Meningioma ở một số vị trí, chẳng hạn như gần dây thần kinh thị giác hoặc các mạch máu não, có nguy cơ gây biến chứng cao hơn.
    • Tuổi cao và sức khỏe yếu: Người cao tuổi và người có sức khỏe yếu có nguy cơ cao gặp biến chứng do Meningioma hơn.

    Việc điều trị Meningioma kịp thời và hiệu quả có thể giúp giảm thiểu nguy cơ biến chứng. Tuy nhiên, trong một số trường hợp, ngay cả sau khi điều trị, bệnh nhân vẫn có thể gặp một số di chứng lâu dài.

    Phương pháp chẩn đoán và điều trị

    Phương pháp chẩn đoán

    Chẩn đoán Meningioma chính xác là bước quan trọng để lựa chọn phương pháp điều trị phù hợp và hiệu quả. Đầu tiên bác sĩ sẽ lắng nghe tỉ mỉ về tiền sử bệnh, triệu chứng, khám lâm sàng để đánh giá tình trạng sức khỏe của bạn. Sau đó có thể kết hợp nhiều phương pháp chẩn đoán Meningioma khác, bao gồm:

    • Chụp X - quang sọ: Phương pháp này có thể giúp phát hiện những thay đổi cấu trúc sọ do Meningioma gây ra, nhưng độ chính xác không cao.
    • Chụp CT scan: Chụp CT scan cung cấp hình ảnh chi tiết hơn về sọ và não, giúp xác định vị trí, kích thước và cấu trúc của khối u.
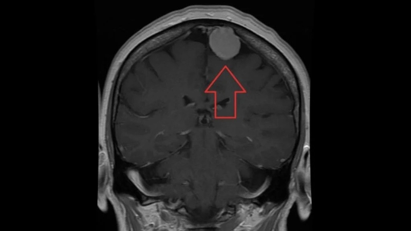
    • Chụp cộng hưởng từ (MRI): MRI sử dụng từ trường, sóng vô tuyến để tạo ra hình ảnh chi tiết nhất về não và khối u, giúp xác định chính xác vị trí, kích thước, cấu trúc, mức độ xâm lấn của Meningioma.
    • Chụp mạch não đồ: Phương pháp này sử dụng chất cản quang để đánh giá lưu lượng máu đến khối u, giúp xác định vị trí các mạch máu nuôi dưỡng khối u và hỗ trợ cho việc phẫu thuật.
    • Xét nghiệm máu: Xét nghiệm máu có thể giúp phát hiện một số dấu hiệu ung thư, tuy nhiên không phải lúc nào cũng chính xác trong trường hợp Meningioma.
    • Sinh thiết: Sinh thiết là việc lấy một mẫu nhỏ mô từ khối u để kiểm tra dưới kính hiển vi. Đây là phương pháp chẩn đoán xác định giúp xác định chính xác loại u và mức độ ác tính của Meningioma.
    meningioma-la-gi-nhung-tac-dong-cua-meningioma-den-suc-khoe 3
    Chẩn đoán Meningioma chính xác là bước quan trọng để lựa chọn phương pháp điều trị phù hợp và hiệu quả

    Việc lựa chọn phương pháp chẩn đoán Meningioma sẽ phụ thuộc vào nhiều yếu tố như triệu chứng của bệnh nhân, tiền sử bệnh, vị trí nghi ngờ của khối u, kích thước và cấu trúc của khối u, tình trạng sức khỏe tổng thể của bệnh nhân. Bác sĩ sẽ cân nhắc các yếu tố này để lựa chọn phương pháp chẩn đoán phù hợp nhất cho từng trường hợp cụ thể.

    Phương pháp điều trị

    Meningioma có thể được điều trị hiệu quả bằng nhiều phương pháp khác nhau. Lựa chọn tối ưu sẽ phụ thuộc vào nhiều yếu tố, bao gồm:

    • Đặc điểm của khối u: Loại u, vị trí, kích thước, mức độ xâm lấn.
    • Sức khỏe bệnh nhân: Tuổi tác, tình trạng sức khỏe tổng thể.
    • Nguyện vọng của bệnh nhân: Bác sĩ sẽ thảo luận với bệnh nhân về các phương pháp điều trị phù hợp và lắng nghe nguyện vọng của họ để đưa ra quyết định tối ưu nhất.

    Dưới đây là các phương pháp điều trị Meningioma chính:

    • Cắt bỏ hoàn toàn khối u: Đây là phương pháp điều trị hiệu quả nhất cho Meningioma lành tính. Tuy nhiên, phẫu thuật có thể không phù hợp với những bệnh nhân có khối u nằm ở vị trí khó tiếp cận hoặc có nguy cơ cao gây tổn thương các mô lân cận.
    • Cắt bỏ một phần khối u: Trong trường hợp không thể cắt bỏ hoàn toàn khối u, bác sĩ có thể cắt bỏ một phần khối u và phần còn lại sẽ được điều trị bằng xạ trị hoặc hóa trị.
    • Xạ trị tia ngoài: Sử dụng chùm tia năng lượng cao để tiêu diệt tế bào u. Thường được sử dụng sau phẫu thuật để tiêu diệt các tế bào u còn sót lại hoặc để điều trị các khối u không thể phẫu thuật.
    • Xạ trị lập thể (SRS): Sử dụng chùm tia năng lượng cao tập trung vào khối u, giúp tiêu diệt tế bào u với độ chính xác cao và ít ảnh hưởng đến các mô lân cận. Thường được sử dụng để điều trị các khối u nhỏ hoặc các khối u nằm ở vị trí khó tiếp cận.
    • Sử dụng thuốc để tiêu diệt tế bào u. Thường được sử dụng kết hợp với xạ trị hoặc sau phẫu thuật để điều trị các trường hợp Meningioma ác tính hoặc các trường hợp Meningioma lành tính tiến triển.

    Việc lựa chọn phương pháp điều trị Meningioma cần được cân nhắc kỹ lưỡng dựa trên nhiều yếu tố. Bệnh nhân nên tham khảo ý kiến bác sĩ chuyên khoa để được tư vấn và lựa chọn phương pháp điều trị phù hợp nhất với bản thân.

    Các biện pháp phòng ngừa Meningioma

    Hiện nay, chưa có biện pháp phòng ngừa chắc chắn nào để ngăn ngừa Meningioma. Tuy nhiên, bạn có thể giảm thiểu nguy cơ mắc bệnh bằng cách:

    • Hạn chế tiếp xúc với bức xạ ion hóa: Nếu bạn cần tiếp xúc với bức xạ ion hóa trong công việc hoặc vì lý do y tế, hãy đảm bảo thực hiện các biện pháp phòng ngừa thích hợp để giảm thiểu tiếp xúc.
    • Làm xét nghiệm di truyền: Nếu bạn có tiền sử gia đình mắc Meningioma hoặc các bệnh di truyền liên quan, hãy tham khảo ý kiến bác sĩ về việc làm xét nghiệm di truyền để xác định nguy cơ mắc bệnh của bạn.
    • Thăm khám sức khỏe định kỳ: Việc thăm khám sức khỏe định kỳ có thể giúp phát hiện sớm Meningioma và điều trị kịp thời.
    meningioma-la-gi-nhung-tac-dong-cua-meningioma-den-suc-khoe 4
    Nếu bạn cần tiếp xúc với bức xạ ion hóa hãy đảm bảo thực hiện các biện pháp phòng ngừa thích hợp để giảm thiểu tiếp xúc

    Ngoài ra, bạn cũng nên duy trì lối sống lành mạnh để tăng cường sức khỏe tổng thể và giảm nguy cơ mắc các bệnh mãn tính, bao gồm:

    • Ăn uống đầy đủ dinh dưỡng: Chế độ ăn uống cân bằng, nhiều trái cây, rau xanh và ngũ cốc nguyên hạt có thể giúp tăng cường hệ miễn dịch, giảm nguy cơ mắc bệnh.
    • Tập thể dục thường xuyên: Tập thể dục ít nhất 30 phút mỗi ngày có thể giúp giảm nguy cơ mắc nhiều bệnh mãn tính.
    • Duy trì cân nặng hợp lý: Thừa cân hoặc béo phì có thể làm tăng nguy cơ mắc một số bệnh mãn tính, bao gồm cả Meningioma.
    • Hạn chế sử dụng rượu bia và thuốc lá: Hút thuốc lá và sử dụng rượu bia quá mức có thể làm tăng nguy cơ mắc Meningioma.

    Với sự hiểu biết về bệnh Meningioma là gì, chẩn đoán chính xác và điều trị kịp thời, bạn hoàn toàn có thể đẩy lùi Meningioma và bảo vệ sức khỏe của bản thân. Hãy luôn giữ tinh thần lạc quan, tuân thủ hướng dẫn của bác sĩ và duy trì lối sống lành mạnh. Niềm tin và sự kiên trì chính là chìa khóa dẫn đến chiến thắng trong hành trình chống lại Meningioma.

    Có thể bạn quan tâm

    Thông tin và sản phẩm gợi ý trong bài viết chỉ mang tính chất tham khảo, vui lòng liên hệ với Bác sĩ, Dược sĩ hoặc chuyên viên y tế để được tư vấn cụ thể. Xem thêm

    Dược sĩ Đại họcNguyễn Thị Hồng Nhung

    Đã kiểm duyệt nội dung

    Tốt nghiệp đại học Khoa Dược. Có kinh nghiệm hơn 10 năm trong lĩnh vực Dược phẩm, tư vấn thuốc và thực phẩm chức năng. Hiện đang là giảng viên cho Dược sĩ tại Nhà thuốc Long Châu.

    Xem thêm thông tin
    Chủ đề:Khối uNão