Tốt nghiệp Đại học Y Dược TP. Hồ Chí Minh. Có nhiều năm trong lĩnh vực dược phẩm. Hiện đang là giảng viên cho Dược sĩ tại Nhà thuốc Long Châu.
Thanh Hương
03/09/2025
Mặc định
Lớn hơn
U tiểu não là một dạng tổn thương chiếm tỷ lệ không nhỏ trong nhóm các khối u nội sọ, ảnh hưởng trực tiếp đến khả năng vận động, thăng bằng và chức năng sống của người bệnh. Bài viết này sẽ cung cấp thông tin về dấu hiệu nhận biết, phương pháp điều trị và tiên lượng bệnh.
U tiểu não là một dạng u não xảy ra tại vùng tiểu não – cấu trúc quan trọng điều phối vận động và thăng bằng của cơ thể. Dù không phổ biến như các u não ở bán cầu đại não, u tiểu não vẫn tiềm ẩn nhiều nguy cơ nghiêm trọng. Việc nhận biết sớm các triệu chứng và hiểu rõ phương pháp điều trị đóng vai trò then chốt giúp cải thiện tiên lượng căn bệnh này.
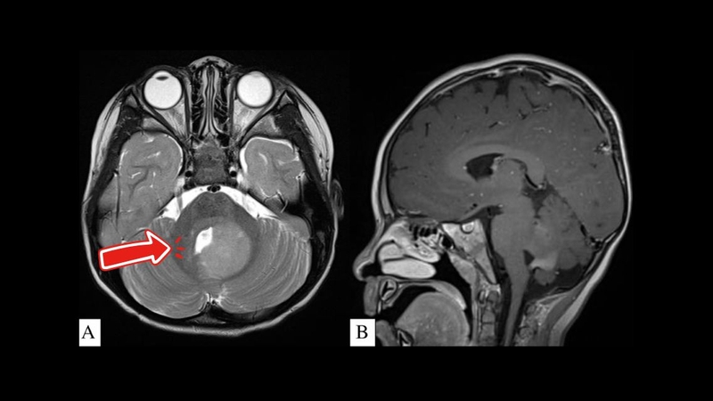
U tiểu não là tình trạng khối u phát triển tại vùng tiểu não – một bộ phận nằm ở phía sau thân não, giữ vai trò quan trọng trong việc điều khiển thăng bằng, phối hợp vận động và kiểm soát tư thế.
Các khối u tại đây có thể được phân loại theo bản chất lành hay ác tính. Khoảng 70% các trường hợp u tiểu não ở trẻ em là u lành tính, phổ biến nhất là u tế bào sao thể lông (pilocytic astrocytoma).
Trong khi đó, u nguyên bào tủy (medulloblastoma) là một loại u ác tính thường gặp ở vùng tiểu não của trẻ em. Khoảng 30% các trường hợp u tiểu não là u ác tính, bao gồm cả u nguyên phát như medulloblastoma, ependymoma và glioblastoma, cũng như các trường hợp di căn từ cơ quan khác như phổi, vú, hoặc thận.
Một số yếu tố nguy cơ làm tăng khả năng hình thành u tiểu não bao gồm tiền sử gia đình có người mắc u não, phơi nhiễm phóng xạ liều cao, hoặc các hội chứng di truyền hiếm gặp như VHL (Von Hippel–Lindau) hay hội chứng Turcot. Chúng là cơ sở quan trọng để nhận biết sớm bệnh u tiểu não và can thiệp đúng cách.

U tiểu não thường tiến triển âm thầm, nhưng khi khối u phát triển đến một mức nhất định, nó có thể gây ra nhiều triệu chứng nặng.
Khối u lớn làm cản trở lưu thông dịch não tủy sẽ làm tăng áp lực nội sọ, khiến bệnh nhân thường đau đầu dữ dội vào buổi sáng. Các cơn đau có thể lan tỏa hoặc khu trú, và tăng rõ khi ho, rặn hoặc thay đổi tư thế.
Nhiều người đi kèm với nôn vọt, nôn không liên quan đến ăn uống, thường xảy ra đột ngột. Trong những trường hợp nặng, khi soi đáy mắt có thể phát hiện phù gai thị do áp lực nội sọ đang tăng cao.
Một triệu chứng điển hình của u tiểu não là bệnh nhân đi đứng loạng choạng, lảo đảo như người say rượu. Họ có thể bị run tay khi thực hiện các động tác chính xác, như chạm ngón tay vào mũi, hoặc nói ngọng, giọng run và lặp lại, rối loạn phối hợp ngôn ngữ (khi được gọi sẽ nói nhai lại).
Nếu khối u phát triển đủ lớn, nó có thể chèn ép vào thân não làm xuất hiện các dấu hiệu liệt dây thần kinh sọ, gây sụp mí, lác mắt, méo miệng.
Khi trung tâm hô hấp và tim mạch ở thân não bị ảnh hưởng, người bệnh có thể bị rối loạn nhịp thở hoặc huyết áp, dẫn đến tình trạng nguy kịch nếu không được can thiệp kịp thời.
Việc điều trị u tiểu não phụ thuộc vào nhiều yếu tố như loại u, kích thước, vị trí, mức độ chèn ép và tình trạng sức khỏe tổng thể của bệnh nhân. Phác đồ điều trị thường bao gồm phẫu thuật, xạ trị và trong một số trường hợp hóa trị, với mục tiêu loại bỏ khối u, giảm chèn ép và kiểm soát tái phát.

Phẫu thuật là phương pháp điều trị ưu tiên đối với các khối u tiểu não có kích thước trên 3cm hoặc gây chèn ép lên thân não, não thất hoặc tiểu não. Mục tiêu là loại bỏ tối đa khối u để giảm áp lực nội sọ và cải thiện triệu chứng.
Tùy vào vị trí và mức độ xâm lấn của u, bác sĩ có thể lựa chọn mổ mở truyền thống hoặc nội soi qua lỗ khóa, giúp giảm xâm lấn và rút ngắn thời gian hồi phục.
Tuy nhiên, do tiểu não nằm gần nhiều dây thần kinh sọ, nên phẫu thuật luôn tiềm ẩn rủi ro tổn thương thần kinh, như liệt mặt, nuốt sặc hoặc rối loạn thăng bằng.
Trong trường hợp không thể cắt bỏ toàn bộ khối u, hoặc nếu u thuộc dạng ác tính, có nguy cơ tái phát cao, xạ trị sẽ được chỉ định sau mổ để tiêu diệt các tế bào u còn sót lại.
Các kỹ thuật hiện đại như xạ phẫu định vị (Gamma Knife, CyberKnife) đang ngày càng được áp dụng vì khả năng tập trung chính xác vào khối u, hạn chế tổn thương mô lành, đặc biệt phù hợp với các khối u nhỏ, nằm gần vùng chức năng quan trọng. Xạ trị cũng có thể được dùng như một phương pháp điều trị chính nếu bệnh nhân không đủ điều kiện phẫu thuật.
Hóa trị không phải là lựa chọn phổ biến cho tất cả các loại u tiểu não, nhưng lại đóng vai trò quan trọng trong điều trị các u nguyên bào tủy (medulloblastoma). Đây là loại u thường gặp ở trẻ em, và các trường hợp u tiểu não di căn từ cơ quan khác.
Một số thuốc hóa trị được sử dụng bao gồm Temozolomide và Cisplatin, giúp tiêu diệt tế bào ác tính và ngăn ngừa lan rộng. Việc phối hợp hóa trị với xạ trị hoặc phẫu thuật sẽ được cá nhân hóa theo từng trường hợp cụ thể.

Tiên lượng của u tiểu não phụ thuộc chủ yếu vào bản chất khối u (lành tính hay ác tính), mức độ xâm lấn, thời điểm phát hiện và phương pháp điều trị được áp dụng. Với các trường hợp u lành tính, đặc biệt là u tế bào sao (astrocytoma) phổ biến nhất ở trẻ em, tiên lượng thường rất khả quan.
Với các trường hợp u tiểu não lành tính, đặc biệt là pilocytic astrocytoma ở trẻ em, nếu được phẫu thuật sớm và loại bỏ triệt để, tỷ lệ sống sau 5 năm có thể đạt từ 80 - 90%. Tuy nhiên, khả năng phục hồi hoàn toàn còn phụ thuộc vào vị trí u và mức độ tổn thương thần kinh trước hoặc trong quá trình phẫu thuật.
Ngược lại, với các u ác tính hoặc u di căn từ các cơ quan khác như phổi, vú, tiên lượng thường xấu hơn rõ rệt. Những khối u này có xu hướng phát triển nhanh, lan rộng và kháng điều trị. Dù đã có sự tiến bộ trong phẫu thuật, xạ trị và hóa trị, thời gian sống trung bình của người bệnh với u tiểu não ác tính thường dưới 12 tháng.
Do tiểu não nằm gần các cấu trúc thần kinh chức năng cao, nên sau phẫu thuật, người bệnh có thể gặp những biến chứng thần kinh điển hình như: Hội chứng tiểu não, với biểu hiện như rối loạn thăng bằng, nói ngọng, cử động vụng về hoặc run.
Những rối loạn này có thể hồi phục một phần hoặc kéo dài tùy theo mức độ tổn thương. Ngoài ra, bệnh nhân cũng có thể gặp phải các biến chứng nặng khác như nhiễm trùng nội sọ, tụ dịch não tủy, hoặc phù não sau mổ, cần được theo dõi và xử trí tích cực tại cơ sở y tế chuyên khoa.

U tiểu não là bệnh lý nguy hiểm cần được chẩn đoán và can thiệp sớm để hạn chế tối đa các biến chứng thần kinh và nguy cơ tái phát. Nhờ tiến bộ của y học hiện đại, kết hợp đa mô thức điều trị đã mang lại nhiều hy vọng cho người bệnh. Chủ động thăm khám khi có dấu hiệu nghi ngờ u tiểu não sẽ giúp phát hiện bệnh sớm, điều trị kịp thời và tiên lượng tích cực hơn.
Xem thêm: U màng não thái dương: Đặc điểm, triệu chứng và cách điều trị
Dược sĩ Đại họcNguyễn Vũ Kiều Ngân
Tốt nghiệp Đại học Y Dược TP. Hồ Chí Minh. Có nhiều năm trong lĩnh vực dược phẩm. Hiện đang là giảng viên cho Dược sĩ tại Nhà thuốc Long Châu.