Tốt nghiệp Đại học Y Dược TP. Hồ Chí Minh. Có nhiều năm trong lĩnh vực dược phẩm. Hiện đang là giảng viên cho Dược sĩ tại Nhà thuốc Long Châu.
Thanh Hương
03/09/2025
Mặc định
Lớn hơn
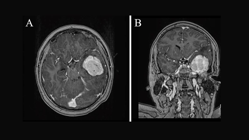
U màng não thái dương là một trong những dạng tổn thương nội sọ xuất phát từ lớp màng não bao phủ bề mặt não bộ. Việc nhận biết sớm các triệu chứng và áp dụng phương pháp điều trị phù hợp đóng vai trò quan trọng trong kiểm soát bệnh và hạn chế biến chứng.
Màng não là lớp màng bao bọc và bảo vệ não bộ, tuy nhiên, tại đây cũng có thể xuất hiện các khối u phát triển bất thường gọi là u màng não. Trong đó, u màng não thái dương thường gây ra các triệu chứng thần kinh điển hình do ảnh hưởng đến trung tâm ngôn ngữ và trí nhớ.
Bài viết này sẽ giúp bạn hiểu rõ đặc điểm, dấu hiệu nhận biết và phương pháp điều trị hiệu quả với căn bệnh u màng não thái dương.
U màng não là khối u phát triển từ các tế bào màng não – lớp mô mỏng bao quanh não và tủy sống, có chức năng bảo vệ và nuôi dưỡng hệ thần kinh trung ương. Đây không phải là u nằm trực tiếp trong mô não, mà mọc từ lớp màng bao bên ngoài, do đó thường tách biệt với mô thần kinh chính.
U màng não chiếm khoảng 25 - 35% tổng số các u não nguyên phát ở người lớn, là loại u não phổ biến nhất ở đối tượng này. Trong đa số các trường hợp u màng não là u lành tính, chiếm khoảng 90% trong tổng số ca. U màng não có thể phát triển ở nhiều vị trí khác nhau trong sọ, trong đó vùng thái dương là một vị trí khá phổ biến, đặc biệt tại vùng thái dương - bướm.

Thùy thái dương là phần não nằm hai bên đầu, phía dưới thùy trán và thùy đỉnh, phía trước thùy chẩm. Đây là khu vực đóng vai trò quan trọng trong ghi nhớ, ngôn ngữ, cảm xúc và thính giác.
Ngoài ra, vùng thái dương còn nằm gần các cấu trúc giải phẫu quan trọng như dây thần kinh thị giác, dây vận nhãn, động mạch não giữa, và hố sọ giữa – nơi tập trung nhiều mạch máu và dây thần kinh sọ. U màng não thái dương, dù là u lành tính, vẫn có thể gây chèn ép vào các khu vực chức năng nhạy cảm.
U màng não vùng thái dương thường diễn tiến âm thầm và các triệu chứng không rõ ràng trong giai đoạn đầu. Nhiều người dễ nhầm lẫn với các tình trạng mệt mỏi, stress, rối loạn tiền đình hay dấu hiệu lão hóa sớm. Một số biểu hiện đặc trưng của căn bệnh này mà người bệnh cần gặp phải như:
Cơn đau đầu thường có tính chất âm ỉ, nặng đầu, cảm giác đè nén, lan tỏa hoặc khu trú một bên. Đặc biệt, đau đầu do u màng não không thuyên giảm rõ rệt sau khi dùng thuốc giảm đau thông thường. Người bệnh có thể thấy đau đầu xuất hiện nhiều hơn vào buổi sáng sớm hoặc khi thay đổi tư thế.

U màng não thái dương dễ ảnh hưởng đến những vùng chức năng quan trọng như ngôn ngữ, trí nhớ, thính giác và cảm xúc: Khi đó, người bệnh xuất hiện các triệu chứng như:
Có những khối u không cần can thiệp ngay mà chỉ cần theo dõi định kỳ. Ngược lại, cũng có những trường hợp cần phẫu thuật hoặc kết hợp thêm các phương pháp khác. Dưới đây là những phương pháp điều trị chính thường được áp dụng cho bệnh nhân u màng não vùng thái dương.

Thực tế, không phải cứ có u màng não là phải mổ ngay. Trong một số trường hợp, đặc biệt khi khối u còn nhỏ, không gây triệu chứng hoặc phát hiện tình cờ qua các lần chụp MRI vì lý do khác, bác sĩ có thể chỉ định theo dõi định kỳ.
Cách tiếp cận này đặc biệt phù hợp với người lớn tuổi, có nhiều bệnh nền kèm theo hoặc khối u phát triển rất chậm. Việc theo dõi thường bao gồm chụp MRI định kỳ mỗi 6 - 12 tháng để kiểm tra xem u có lớn nhanh không hoặc có gây chèn ép lên các vùng chức năng không. Nếu khối u ổn định, người bệnh hoàn toàn có thể sống chung mà không cần điều trị can thiệp.
Phẫu thuật là phương pháp điều trị chính và phổ biến nhất đối với các khối u màng não có triệu chứng hoặc có nguy cơ gây biến chứng do chèn ép lên các vùng quan trọng trong não.
Mục tiêu của phẫu thuật là loại bỏ tối đa khối u, lý tưởng là lấy trọn hoàn toàn, hoặc nếu không thể thì cắt bỏ phần lớn để giải phóng áp lực lên dây thần kinh, mạch máu hay trung tâm ngôn ngữ và trí nhớ.
Tuy nhiên, u ở vùng thái dương đôi khi nằm gần các cấu trúc quan trọng như dây thần kinh thị giác, động mạch não giữa hoặc trung tâm ngôn ngữ. Việc phẫu thuật có thể gặp nhiều thách thức và tiềm ẩn các rủi ro như tổn thương thần kinh, ảnh hưởng đến khả năng nói, trí nhớ, hoặc vận động
Trong một số trường hợp, xạ trị có thể được lựa chọn thay thế hoặc bổ sung cho phẫu thuật. Đây là phương pháp sử dụng tia phóng xạ để tiêu diệt tế bào u, được áp dụng khi khối u không thể phẫu thuật, u còn sót lại sau phẫu thuật, u tái phát sau điều trị trước đó, u có tính chất không điển hình hoặc ác tính (hiếm gặp).

Xạ trị có thể thực hiện bằng kỹ thuật xạ phẫu định vị cao như Gamma Knife, CyberKnife. Phương pháp này rất hiệu quả với các u nhỏ, định vị chính xác mà không cần mổ. Với khối u lớn, bác sĩ có thể chỉ định xạ trị phân liều, tức là chia nhỏ liều xạ để giảm tác dụng phụ.
Trong vài trường hợp u màng não có đặc điểm ác tính hiếm gặp hoặc u tái phát nhiều lần, bác sĩ có thể chỉ định thêm các phương pháp điều trị sinh học như liệu pháp nhắm trúng đích hoặc liệu pháp miễn dịch, dựa trên đặc điểm di truyền và phân tử của khối u. Tuy nhiên hiện nay các phương pháp này chưa được áp dụng rộng rãi trong thực hành lâm sàng
U màng não thái dương không phải là bản án tử, nhưng cũng không thể chủ quan. Nếu bạn hoặc người thân đang gặp các dấu hiệu nghi ngờ như đau đầu kéo dài, giảm trí nhớ, thay đổi hành vi, hãy chủ động đi khám sớm. Đừng để tâm lý lo sợ mắc bệnh khiến mình bỏ qua “thời điểm vàng” can thiệp điều trị và tăng tiên lượng bệnh.
Xem thêm: U tiểu não: Triệu chứng nhận biết, phác đồ điều trị và tiên lượng bệnh
Dược sĩ Đại họcNguyễn Vũ Kiều Ngân
Tốt nghiệp Đại học Y Dược TP. Hồ Chí Minh. Có nhiều năm trong lĩnh vực dược phẩm. Hiện đang là giảng viên cho Dược sĩ tại Nhà thuốc Long Châu.