Dược sĩ Đại học có nhiều năm kinh nghiệm trong việc tư vấn Dược phẩm và hỗ trợ giải đáp thắc mắc về Bệnh học. Hiện đang là giảng viên cho Dược sĩ tại Nhà thuốc Long Châu.
Quỳnh Loan
07/06/2024
Mặc định
Lớn hơn
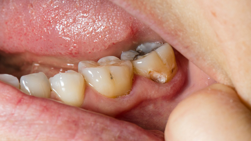
Răng hàm là chiếc răng có kích thước lớn và rễ cắm sâu trong cung hàm. Khi những chiếc răng hàm gặp phải vấn đề, bị tổn thương, bác sĩ nha khoa sẽ đánh giá và quyết định có loại bỏ hay không. Nhiều người nghe nhổ răng hàm sẽ thấy lo lắng, không biết nhổ răng hàm có đau không, hay có nguy hiểm gì không?
Răng hàm đóng một vai trò quan trọng đối với sức khỏe răng miệng của chúng ta. Nhưng khi răng hàm vì nguyên nhân nào đó nhất định phải loại bỏ, bạn đừng chần chừ vì mục tiêu của việc nhổ răng hàm không đơn thuần chỉ là nhổ bỏ một chiếc răng mà nó còn mở đường cho quá trình nhanh chóng lấy lại hàm răng khỏe mạnh, nụ cười rạng rỡ.
Răng hàm đóng một vai trò then chốt đối với sức khỏe và chức năng răng miệng tổng thể của chúng ta. Những chiếc răng này nằm ở vị trí phía sau hàm, đảm nhận chức năng nghiền và nhai thức ăn, góp phần quan trọng vào quá trình tiêu hóa.
Người trưởng thành thường có một bộ 32 răng vĩnh viễn, trong đó có 20 răng hàm. Trong số này, 8 chiếc là răng tiền hàm (hoặc răng hàm nhỏ), nằm ở răng số 4 và 5 trên hàm, trong khi 12 chiếc còn lại là răng hàm lớn hơn, được xác định là răng số 6, 7 và 8, bao gồm cả răng khôn. Ngoài vai trò chức năng, răng hàm còn hỗ trợ duy trì sự cân bằng của cấu trúc khuôn mặt, đảm bảo vẻ ngoài hài hòa.
Mặc dù có tầm quan trọng như vậy nhưng trong một số trường hợp bạn bắt buộc phải nhổ răng hàm. Điều này khiến nhiều người lo lắng nhổ răng hàm có đau không.

Trước khi giải đáp thắc mắc này, chúng ta đi sâu vào tìm hiểu các tình huống nào cần thực hiện nhổ răng hàm:
Vệ sinh răng miệng là điều tối quan trọng để duy trì sức khỏe của răng hàm. Nếu bạn thực hiện một cách lơ là, sơ sài sẽ có nguy cơ dẫn đến sâu răng, ảnh hưởng cả trẻ em và người lớn.
Nếu phát hiện sớm răng hàm bị sâu thông qua việc khám răng định kỳ, bạn có thể khắc phục bằng biện pháp trám răng. Ngược lại, nếu phát hiện trễ, khi viêm tủy hoặc viêm chân răng dẫn đến áp xe thì nhổ răng hàm là biện pháp được bác sĩ nha khoa khuyến khích thực hiện.

Chấn thương hoặc tai nạn khiến răng hàm bị nứt hoặc gãy. Tổn thương này có thể gây đau hoặc nhạy cảm do các kích thích bên ngoài như thay đổi nhiệt độ. Trong những trường hợp như vậy, bác sĩ nha khoa sẽ tư vấn bạn loại bỏ răng hàm bị ảnh hưởng để giảm bớt sự khó chịu và ngăn ngừa các vấn đề sức khỏe răng miệng tiếp theo.
Răng khôn hay bộ răng hàm thứ ba thường mọc lệch lạc hoặc ở sai vị trí. Sự lệch lạc này có thể gây áp lực lên các răng kế cận, ảnh hưởng đến sức khỏe răng miệng.
Các phương pháp điều trị chỉnh nha nhằm sắp xếp lại răng có thể yêu cầu loại bỏ một số răng hàm nhất định, đặc biệt là số 4, 5, 6, 7 và răng khôn. Điều này tạo ra không gian cần thiết cho các răng khác dịch chuyển về đúng vị trí, tạo điều kiện cho kết quả điều trị hiệu quả hơn. Trong một số trường hợp nhất định, nhổ răng hàm cũng có thể tăng cường sức khỏe răng miệng và giảm thiểu nguy cơ mắc các bệnh liên quan đến vệ sinh răng miệng kém.
Câu trả lời là "Có thể", do răng hàm là chiếc răng có nhiều chân răng nằm sâu trong xương hàm. Tuy nhiên, bạn cũng không cần quá lo vì nha khoa hiện đại ngày nay đã có những bước tiến đáng kể trong việc kiểm soát cơn đau. Bác sĩ nha khoa sẽ tiến hành gây tê trước khi thực hiện thủ thuật nhổ răng hàm nhằm giúp bệnh nhân giảm đau hiệu quả trong quá trình nhổ răng. Bên cạnh đó, mức độ khó chịu từ nhẹ đến trung bình có thể kiểm soát được bằng thuốc giảm đau được kê đơn hoặc không kê đơn trong những ngày sau thủ thuật.

Đến đây, bạn đã có thể giải đáp được câu hỏi nhổ răng hàm có đau không rồi. Tuy nhiên, điều mà nhiều người e ngại hơn đó là mức độ nguy hiểm tiềm ẩn liên quan đến nhổ răng hàm. Tuy nhiên, nhờ những tiến bộ của khoa học và công nghệ nha khoa hiện đại, việc nhổ răng hàm ngày nay an toàn hơn bao giờ hết. Những thiết bị và kỹ thuật hiện đại đã làm giảm đáng kể rủi ro liên quan đến thủ thuật này
Tuy nhiên, nói như thế không có nghĩa là nhổ răng hàm an toàn tuyệt đối trong tất cả mọi trường hợp. Bác sĩ nha khoa luôn khuyến cáo bệnh nhân khi tiến hành nhổ răng hàm nên lựa chọn phòng khám nha khoa uy tín để đảm bảo tiêu chuẩn an toàn cao nhất, tránh một số biến chứng nhất định có thể phát sinh nếu việc nhổ răng không được thực hiện đúng cách hoặc không tuân thủ các hướng dẫn chăm sóc sau phẫu thuật như:
Nếu bạn thấy tại vùng nhổ răng có chảy máu một chút trong vòng 24 giờ đầu sau nhổ răng hàm là điều bình thường. Tuy nhiên, nếu máu tiếp tục chảy hoặc chảy mức độ ngày càng nhiều hơn thì có khả năng kỹ thuật nhổ răng hoặc chăm sóc hậu phẫu có vấn đề. Bạn cần đến gặp nha sĩ lập tức để được giải quyết vấn đề này.
Ban đầu bạn có thể bị sưng và đau ở vị trí nhổ răng. Tuy nhiên, nếu sau vài ngày mà vết sưng không giảm hoặc càng trầm trọng hơn, dẫn đến hình thành mủ thì đó là dấu hiệu nhiễm trùng.

Trường hợp này thường là do bệnh nhân vệ sinh không đầy đủ hoặc không tuân thủ các nguyên tắc chăm sóc sau nhổ răng. Bạn cần đi khám lại để được kịp thời điều trị nhiễm trùng và ngăn ngừa các biến chứng nặng hơn.
Nhổ răng không đúng phương pháp có thể làm tổn thương xương hàm và khớp, dẫn đến đau và gây hạn chế cử động há miệng. Với trường hợp này, nha sĩ sẽ cho chụp X-quang để lên kế hoạch điều trị hiệu quả, ngăn ngừa biến chứng.
Đặc biệt với răng hàm dưới và răng khôn, việc nhổ răng có thể đi kèm nguy cơ bị tổn thương dây thần kinh do chúng nằm gần dây thần kinh mặt. Bệnh nhân có thể bị tê hoặc gặp phải các vấn đề khác liên quan đến thần kinh nếu quá trình nhổ răng không được thực hiện chính xác.
Nhổ răng hàm là một thủ thuật nha khoa nhằm loại bỏ răng khỏi ổ răng để giảm đau, ngăn ngừa các vấn đề sức khỏe răng miệng tiềm ẩn hoặc nhường chỗ cho việc cấy ghép răng, trồng răng implant.
Nếu không trồng răng để thay thế cho chiếc răng hàm đã nhổ sẽ dẫn đến một loạt các vấn đề về răng, chẳng hạn như các răng liền kề bị xô lệch, tiêu xương hàm, lệch lạc và gây ra quá trình lão hóa nhanh cho khuôn mặt.

Trong suốt nhiều năm qua, nhổ răng hàm truyền thống là phương pháp nhổ răng rất phổ biến, giúp bệnh nhân giải quyết rất nhiều tình trạng răng miệng một cách hiệu quả.
Với phương pháp này, bác sĩ nha khoa sẽ sử dụng các dụng cụ thiết yếu như kìm, dao rạch và bẩy để nới lỏng và nhổ răng cần lấy ra khỏi cung hàm. Mặc dù đây là một lựa chọn tiết kiệm chi phí nhưng bạn cần lưu ý là phương pháp này có thể gây ra một sự khó chịu nhất định trong quá trình nhổ răng. Mức độ khó chịu sẽ tùy thuộc vào một số yếu tố, trong đó tay nghề của nha sĩ đóng một vai trò quan trọng trong việc giúp bệnh nhân giảm thiểu đau và chảy máu.
Với sự tiến bộ công nghệ trong nha khoa, phương pháp siêu âm Piezotome sử dụng sóng siêu âm để tách răng hàm ra khỏi dây chằng một cách dễ dàng. Kỹ thuật tiên tiến này đảm bảo việc nhổ răng ít xâm lấn, giảm đáng kể cơn đau và sưng tấy mà các phương pháp truyền thống thường gặp phải. Độ chính xác của Piezotome cho phép quá trình nhổ răng diễn ra nhanh chóng trong vòng 10 - 15 phút.
Phương pháp siêu âm Piezotome cũng hạn chế được nguy cơ biến chứng do ít gây ra chấn thương ở các mô xung quanh, khả năng chảy máu nhiều và nhiễm trùng sau phẫu thuật sẽ giảm đi đáng kể.
Tuy nhiên, điều cần chú ý là công nghệ Piezotome hiện chủ yếu có ở các bệnh viện lớn và trung tâm nha khoa uy tín nên bạn cần tìm hiểu và lựa chọn địa chỉ thực hiện việc nhổ răng hàm.

Tóm lại, nếu răng hàm của bạn đang có vấn đề, bạn cần đi khám để bác sĩ nha khoa đưa ra biện pháp khắc phục. Nếu cần thiết phải nhổ, tùy theo tình trạng cụ thể lẫn điều kiện từng bệnh nhân mà bạn chọn kỹ thuật nhổ răng hàm bằng phương pháp truyền thống hay công nghệ siêu âm Piezotome. Dù là phương pháp nào thì bạn cũng đừng lo lắng nhổ răng hàm có đau không nhé vì với sự hỗ trợ của công nghệ nha khoa hiện đại, cùng với tay nghề của bác sĩ bạn chọn lựa, chắc chắn sẽ giảm thiểu tối đa nguy cơ đau lẫn biến chứng thường gặp sau nhổ răng hàm.
Xem thêm:
Dược sĩ Đại họcNguyễn Mỹ Huyền
Dược sĩ Đại học có nhiều năm kinh nghiệm trong việc tư vấn Dược phẩm và hỗ trợ giải đáp thắc mắc về Bệnh học. Hiện đang là giảng viên cho Dược sĩ tại Nhà thuốc Long Châu.