Tốt nghiệp Khoa Dược trường Đại học Nam Cần Thơ. Có nhiều năm kinh nghiệm công tác trong lĩnh vực Dược phẩm. Hiện đang giảng viên cho Dược sĩ tại Nhà thuốc Long Châu.
Huỳnh Như
14/08/2024
Mặc định
Lớn hơn
Xơ não tủy (multiple sclerosis - MS) là một bệnh tự miễn, ảnh hưởng đến hệ thần kinh trung ương. Hãy cùng Nhà thuốc Long Châu tìm hiểu kĩ hơn về bệnh lý này qua bài viết dưới đây nhé!
Xơ não tủy là một tình trạng bệnh lý trong đó hệ thống miễn dịch của cơ thể tấn công và phá hủy lớp màng bao quanh các dây thần kinh trong não và tủy sống. Đa số bệnh nhân được chẩn đoán mắc bệnh này ở độ tuổi từ 20 đến 30.
Xơ não tủy hay xơ não tủy rải rác (ADEM) là một bệnh của hệ thần kinh trung ương, đặc trưng bởi viêm cấp tính và mất myelin rải rác ở não và tủy sống. Bệnh thường xuất hiện sau các đợt nhiễm trùng hoặc tiêm chủng, do sự mất cân bằng hoặc phản ứng quá mức của hệ miễn dịch.
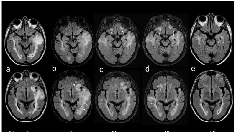
Đặc điểm của ADEM là các thiếu sót thần kinh cùng với những tổn thương mất myelin ở nhiều vị trí khác nhau trên phim chụp cộng hưởng từ (MRI) sọ não và tủy sống. Về mặt bệnh học, bệnh biểu hiện bằng viêm các tế bào quanh mạch máu nhỏ, chủ yếu là các tế bào thần kinh đệm, cùng với sự mất myelin.

Tủy sống đóng vai trò chỉ huy hoạt động của các dây thần kinh ngoại biên, điều khiển vận động và cảm giác của các chi. Khi có tổn thương xơ hóa ở tủy sống, các chi sẽ bị ảnh hưởng, gây yếu liệt và rối loạn cảm giác.
Như vậy, ADEM là một bệnh lý nghiêm trọng của hệ thần kinh trung ương, với các biểu hiện viêm cấp tính và mất myelin lan tỏa, thường xảy ra sau các đợt nhiễm trùng hoặc tiêm chủng do phản ứng miễn dịch quá mức. Việc phân biệt sự tái phát của bệnh với các rối loạn thần kinh khác như xơ cứng rải rác hoặc một số bệnh chuyển hóa thần kinh đôi khi rất khó khăn. Tuy nhiên, nếu không được chẩn đoán và điều trị kịp thời, di chứng của bệnh có thể trở nên rất nghiêm trọng.
Về diễn biến của bệnh, có ba hình thái chính:
Việc nhận biết chính xác hình thái diễn biến của bệnh là vô cùng quan trọng để có thể đưa ra liệu trình điều trị phù hợp, tránh những di chứng nặng nề về lâu dài.

Các triệu chứng ban đầu có thể bao gồm mệt mỏi, tê bì, đau nhói hoặc khó chịu ở một chi bị liệt, kèm theo tình trạng cứng chi dưới. Bệnh nhân cũng có thể gặp phải viêm thần kinh hậu nhãn cầu, gây ra các vấn đề như hoa mắt và mất thăng bằng.
Ngoài ra, rối loạn cơ tròn như tiểu tiện không kìm được hoặc tiểu khó cũng là một trong những dấu hiệu sớm của bệnh. Các triệu chứng này thường chỉ kéo dài vài ngày hoặc vài tuần.
Sau đợt khởi phát đầu tiên, bệnh nhân thường trải qua những khoảng thời gian "im lặng" theo tháng hoặc qua năm. Tuy nhiên, các triệu chứng sẽ dần dần tái phát và không hết hoàn toàn, dẫn đến tình trạng tàn tật như liệt, co cứng, thất điều ở chi, giảm thị lực và rối loạn tiểu tiện.
Trong giai đoạn này, bệnh nhân thường gặp các dấu hiệu như teo gai thị, rung giật nhãn cầu, khó nói và các biểu hiện tổn thương thần kinh (bó tháp), cảm giác, tiểu não hoặc ở các chi. Một số trường hợp hiếm gặp hơn là các triệu chứng gia tăng dần từ lúc khởi phát, dẫn đến tàn tật sớm.
Việc chẩn đoán bệnh gặp nhiều khó khăn, chỉ khi bệnh nhân bị tổn thương nhiều phần của hệ thần kinh trung ương vào các thời điểm khác nhau mới có thể được phát hiện. Các yếu tố như nhiễm khuẩn, chấn thương, sau sinh... có thể làm bệnh dễ tái phát hơn.
Bệnh nhân mắc xơ não tủy rải rác (ADEM) thường có sự hồi phục một phần các triệu chứng trong đợt bệnh cấp. Tuy nhiên, những đợt tái phát tiếp theo có thể xảy ra bất thường và khó lường, không thể hoàn toàn ngăn chặn được quá trình tiến triển của bệnh. Kết quả cuối cùng sau các đợt bệnh thường là tình trạng tàn tật.
Đáng chú ý, khoảng một nửa số bệnh nhân không gặp tàn tật nặng trong 10 năm đầu sau khi phát bệnh. Về điều trị, corticosteroid được sử dụng trong đợt bệnh cấp có tác dụng hồi phục nhanh, nhưng không thay đổi được mức độ hồi phục lâu dài. Liều Prednisolon cao 60 - 80mg/ngày trong 1 tuần, sau đó giảm dần trong 2 - 3 tuần, là phác đồ thường được áp dụng. Tuy nhiên, việc sử dụng steroid kéo dài cũng không thể ngăn ngừa hoàn toàn các cơn tái phát.
Một số nghiên cứu cho thấy, việc sử dụng thuốc Beta interferon hoặc Copolymer 1 có thể làm giảm các triệu chứng nặng ở bệnh nhân ADEM có diễn biến tái phát - thoái lui. Tuy nhiên, hiệu quả điều trị vẫn còn nhiều băn khoăn cần được nghiên cứu thêm.
Trong những trường hợp tiến triển của bệnh, việc điều trị các tình trạng co cứng và rối loạn bàng quang do thần kinh gây ra là rất cần thiết cho bệnh nhân. Trong giai đoạn cấp tính, bệnh nhân cần được nghỉ ngơi và tránh các hoạt động nặng nhọc.

Hiện nay, phương pháp điều trị chính là sử dụng hóa trị liệu để ức chế hoạt động của hệ thống miễn dịch, theo sau đó là quá trình ghép tế bào gốc tự thân. Trong quy trình này, các tế bào gốc được thu thập từ máu của chính bệnh nhân và truyền lại vào cơ thể, nhằm giúp phục hồi hệ thống miễn dịch.
Mặc dù không phải là phương pháp chữa khỏi hoàn toàn, nhưng việc kết hợp ức chế miễn dịch và ghép tế bào gốc tự thân đã giúp cải thiện đáng kể triệu chứng và chất lượng sống của bệnh nhân xơ não tủy rải rác.
Với bản chất tự miễn dịch và yếu tố di truyền liên quan, việc phòng ngừa bệnh này là rất khó khăn. Đối với các trường hợp do nhiễm virus, phòng bệnh cần tập trung vào tăng cường sức đề kháng của cơ thể và điều trị triệt để các bệnh do virus gây ra.
Duy trì một chế độ tập luyện thể thao đều đặn là biện pháp hiệu quả để tăng cường sức khỏe và khả năng thích ứng của cơ thể với môi trường sống. Đảm bảo chế độ dinh dưỡng tốt cũng là yếu tố quan trọng để phòng chống các bệnh do virus.
Giữ vệ sinh cá nhân và vệ sinh môi trường, tránh các tác nhân như khói, bụi, tiếng ồn, cũng là những biện pháp đơn giản nhưng hữu hiệu để phòng tránh bệnh.
Mặc dù xơ não tủy vẫn là một bệnh phức tạp nhưng các tiến bộ trong y học đã giúp cải thiện đáng kể chất lượng cuộc sống của những người mắc bệnh này. Với sự hiểu biết ngày càng sâu sắc về bệnh sinh và sự phát triển của các phương pháp điều trị mới, chúng ta có thể kỳ vọng vào những tiến bộ đáng kể trong việc kiểm soát và ngăn ngừa diễn biến của xơ não tủy trong tương lai gần.
Xem thêm:
Dược sĩ Đại họcNguyễn Thị Thảo Nguyên
Tốt nghiệp Khoa Dược trường Đại học Nam Cần Thơ. Có nhiều năm kinh nghiệm công tác trong lĩnh vực Dược phẩm. Hiện đang giảng viên cho Dược sĩ tại Nhà thuốc Long Châu.