• Thực phẩm chức năng

  • Dược mỹ phẩm

  • Thuốc

  • Chăm sóc cá nhân

  • Thiết bị y tế

  • Tiêm chủng

  • Bệnh & Góc sức khỏe

  • Hệ thống nhà thuốc

    1. /
    2. Góc sức khỏe/
    3. Phòng bệnh & Sống khoẻ/
    4. Kiến thức y khoa

    Rạn xương sườn: Nguyên nhân, dấu hiệu và cách phòng ngừa

    Thị Thu

    18/09/2025

    Kích thước chữ

    Rạn xương sườn là một chấn thương gặp phổ biến ở vùng xương sườn, thường xảy ra khi có va đập mạnh vào khu vực này. Khi xảy ra va chạm hoặc chấn thương, các xương sườn có thể bị gãy hoặc bị rạn nứt. Điều này thường gây ra đau và khó chịu, đặc biệt khi hít thở sâu hoặc cử động cơ thể.

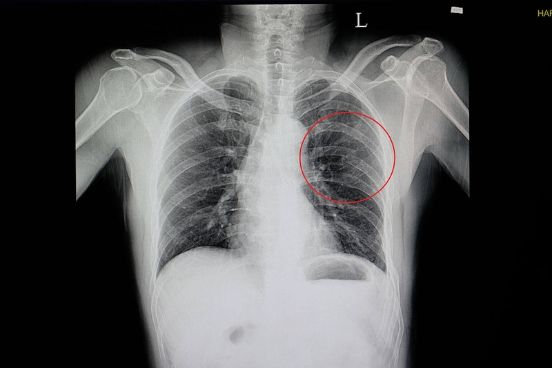
    Để chẩn đoán rạn xương sườn, thường cần thực hiện các phương pháp hình ảnh như X-quang hoặc cắt lớp vi tính (CT). Điều trị thường bao gồm hỗ trợ đau, giữ cho vùng bị tổn thương ổn định và thời gian để lành sẽ thường cần thiết. Bài viết sau của Nhà thuốc Long Châu sẽ cung cấp thông tin chi tiết nhất về tình trạng này.

    Rạn xương sườn là gì?

    Rạn xương sườn thực chất là một biến thể của gãy xương sườn, trong đó xương bị tổn thương mà không bị lệch vị. Điều này đồng nghĩa với việc xương không bị phá vỡ hoặc chấn đứt mà chỉ xuất hiện các rạn nứt nhỏ trên bề mặt. Rạn xương thường xảy ra khi một lực tác động mạnh từ bên ngoài vào xương, ảnh hưởng đến các cấu trúc xung quanh như gân, dây chằng, cơ bắp mạch máu và dây thần kinh.

    Rạn xương sườn là tình trạng xuất hiện các rạn nứt nhỏ trên bề mặt
    Rạn xương sườn là tình trạng xuất hiện các rạn nứt nhỏ trên bề mặt

    Nguyên nhân dẫn đến rạn xương

    Dưới đây là một số nguyên nhân chủ yếu gây ra tình trạng rạn xương:

    • Tập luyện thể thao không đúng tư thế, không chính xác về kỹ thuật.
    • Vận động quá mức, liên tục tập luyện khiến cơ thể không có đủ thời gian để nghỉ ngơi.
    • Thay đổi độ cứng của bề mặt tập luyện đột ngột, ví dụ như chuyển từ chạy trên bề mặt mềm sang bề mặt cứng.
    • Chạy trên đường đua hoặc đường có độ dốc.
    • Sử dụng giày dép không phù hợp, quá cũ, quá mỏng hoặc quá cứng.
    • Thực hiện các hoạt động lặp đi lặp lại trong một số môn thể thao như chạy đường dài, quần vợt, bóng rổ, thể dục dụng cụ, khiêu vũ.
    • Chế độ ăn uống không cung cấp đủ năng lượng cho hoạt động thể lực, thể thao thường xuyên.
    • Thiếu hụt vitamin D trong cơ thể.

    Ngoài ra còn số một số yếu tố sau đây đều ảnh hưởng đến mật độ xương và có thể dẫn đến tình trạng rạn xương:

    • Tuổi tác: Người cao tuổi thường gặp các vấn đề liên quan đến mật độ xương thấp, ví dụ như loãng xương. Xương yếu dễ bị rạn, nứt, thậm chí là gãy.
    • Cân nặng: Người có chỉ số BMI thấp hoặc thiếu cân có thể bị yếu xương, trong khi ngược lại, cơ thể thừa cân với BMI cao có thể tăng áp lực lên xương, dẫn đến rạn, nứt.
    • Vấn đề về cấu trúc cơ thể: Viêm gân, bàn chân có vòm quá cao hoặc quá thấp, cơ thể yếu, mất cân bằng và linh hoạt khi vận động.
    • Giới tính: Phụ nữ không có kinh nguyệt hoặc chu kỳ không đều có nguy cơ cao hơn bị rạn xương so với nam giới và những đối tượng khác.
    • Bệnh lý: Loãng xương hoặc các bệnh lý gây yếu hoặc làm mềm xương dẫn đến sự không chịu đựng được hoạt động hàng ngày.
    Tập luyện thể thao không đúng tư thế và kỹ thuật là một trong những nguyên nhân gây rạn xương
    Tập luyện thể thao không đúng tư thế và kỹ thuật là một trong những nguyên nhân gây rạn xương

    Biện pháp điều trị rạn vùng xương sườn

    Quá trình liền xương là một yếu tố quan trọng trong điều trị rạn ở xương sườn, quá trình liền xương sau khi bị rạn còn ảnh hưởng bởi một số yếu tố như:

    • Tình trạng chấn thương tại chỗ của vùng xương bị rạn có thể làm chậm quá trình liền xương của xương sườn. Khi xương sườn bị rạn và các mô mềm xung quanh bị tổn thương, quá trình liền chậm hơn hoặc có thể dẫn đến mất chất xương, gây ra việc xương sườn liền chậm.
    • Quá trình liền xương của xương sườn có thể bị chậm nếu xương đã bị nắn nhiều lần hoặc thiếu sự bất động, làm cho việc tạo ra cầu ở can xương trở nên khó khăn.
    • Đặc biệt, khi rạn xương xảy ra cùng với nhiễm khuẩn hoặc do các bệnh như loạn sản xơ xương, u xương, hoặc loãng xương, cũng có thể gây ra việc liền xương chậm hoặc không thể liền lại.

    Nếu phát hiện và điều trị rạn xương sườn kịp thời, không gây ra bất kỳ di chứng nguy hiểm nào. Do đó, bệnh nhân bất kể rạn ở xương sườn nặng hay nhẹ đều nên đến các cơ sở y tế để được bác sĩ khám và điều trị phù hợp. Sau khi được thăm khám, bác sĩ sẽ đưa ra phương pháp điều trị thích hợp nhất cho tình trạng của bệnh nhân. Trong trường hợp rạn ở xương sườn nhẹ, có thể áp dụng các biện pháp hỗ trợ tại nhà như:

    • Chườm đá lên vùng xương bị rạn: Bạn có thể sử dụng túi đá hoặc túi gel đông lạnh để đặt lên vùng xương bị chấn thương, mỗi giờ trong 20 phút trong 2 ngày đầu. Trong những ngày tiếp theo, bạn có thể giảm xuống cứ 3 lần mỗi ngày, mỗi lần trong 10 phút. Phương pháp này giúp giảm đau và sưng ở vùng xương sườn bị rạn.
    • Tư thế nằm ngủ: Đối với người có rạn xương sườn, tư thế nằm ngửa và thẳng được khuyến khích để tránh áp lực đè lên vùng xương bị tổn thương. Không nên thường xuyên xoay người hoặc nằm nghiêng, vì điều này có thể gây khó chịu khi ngủ và ảnh hưởng đến vùng xương bị rạn.
    • Chế độ dinh dưỡng: Người bệnh khi gặp rạn ở xương sườn hoặc bị chấn thương cần đảm bảo cung cấp đầy đủ chất dinh dưỡng. Chế độ ăn hợp lý sẽ hỗ trợ quá trình lành xương nhanh chóng hơn. Nên tăng cường ăn ngũ cốc nguyên hạt, rau củ quả tươi, thịt nạc, uống đủ nước và sử dụng các sản phẩm từ sữa.

    Nếu tình trạng rạn nứt xương nghiêm trọng hơn, bạn cần liên hệ ngay đến bác sĩ, bác sĩ sẽ chọn phương pháp điều trị phù hợp dựa trên mức độ và vị trí của rạn nứt. Các phương pháp điều trị có thể bao gồm:

    Dùng thuốc

    Sử dụng thuốc giảm đau chứa paracetamol hoặc ibuprofen để kiểm soát đau và giảm sưng. Hay sử dụng thuốc kháng viêm để ngăn chặn nguy cơ nhiễm trùng.

    Bó bột

    Trong trường hợp cần thiết để ổn định xương và duy trì tư thế đúng, bác sĩ có thể chỉ định sử dụng nẹp cố định và bó bột. Đối với rạn xương ở cẳng hoặc bàn chân, người bệnh có thể được hướng dẫn sử dụng nạng để giảm áp lực tại khu vực đó.

    Phẫu thuật

    Khi rạn nứt xương nghiêm trọng, bác sĩ có thể đề xuất phẫu thuật để điều chỉnh và đảm bảo quá trình phục hồi xương tốt nhất.

    Trong trường hợp rạn nứt xương nghiêm trọng bác sĩ có thể đề xuất phẫu thuật
    Trong trường hợp rạn nứt xương nghiêm trọng bác sĩ có thể đề xuất phẫu thuật Những lưu ý sau khi điều trị rạn xương sườn


    Để giúp xương sườn mau lành, người bệnh cần:

    • Ngủ thẳng giấc trong vài đêm đầu tiên, điều chỉnh tư thế ngủ phù hợp nhất bằng cách nằm ngửa hoặc nằm thẳng lưng trên ghế tựa, tránh nằm sấp hoặc nghiêng.
    • Di chuyển nhẹ nhàng để duy trì sự khỏe mạnh của phổi, tránh nhấc vật nặng hoặc thực hiện hoạt động khiến đau trở nên tồi tệ hơn.
    • Hít thở chậm và sâu 10 lần mỗi giờ, không nén ho, và có thể kê gối vào ngực để giảm đau khi ho.
    • Ngừng hút thuốc lá để tăng tốc quá trình lành xương sườn.
    • Ăn uống cân đối bổ sung các loại thực phẩm giàu canxi như sữa, phô mai, sữa chua, và hạn chế thịt đỏ, đồ uống có cồn, cafein, và đường.
    Bổ sung các loại thực phẩm giàu canxi giúp xương nhanh lành hơn
    Bổ sung các loại thực phẩm giàu canxi giúp xương nhanh lành hơn

    Để điều trị rạn xương sườn hiệu quả, cần phải tuân thủ một quy trình điều trị chặt chẽ và hợp lý. Thiếu hiểu biết hoặc sơ suất trong quá trình điều trị có thể gây ra các biến chứng không mong muốn và làm giảm khả năng vận động, lao động, cũng như chất lượng cuộc sống của bệnh nhân. Do đó, việc đưa bệnh nhân đến các cơ sở y tế uy tín để điều trị là cực kỳ quan trọng.

    Xem thêm:


    Thông tin và sản phẩm gợi ý trong bài viết chỉ mang tính chất tham khảo, vui lòng liên hệ với Bác sĩ, Dược sĩ hoặc chuyên viên y tế để được tư vấn cụ thể. Xem thêm

    Dược sĩ Đại họcTrần Huỳnh Minh Nhật

    Đã kiểm duyệt nội dung

    Dược sĩ chuyên khoa Dược lý - Dược lâm sàng. Tốt nghiệp 2 trường đại học Mở và Y Dược TP. Hồ Chí Minh. Có kinh nghiệm nghiên cứu về lĩnh vực sức khỏe, đạt được nhiều giải thưởng khoa học. Hiện là Dược sĩ chuyên môn phụ trách xây dựng nội dung và triển khai dự án đào tạo - Hội đồng chuyên môn tại Nhà thuốc Long Châu.

    Xem thêm thông tin