• Thực phẩm chức năng

  • Dược mỹ phẩm

  • Thuốc

  • Chăm sóc cá nhân

  • Thiết bị y tế

  • Tiêm chủng

  • Bệnh & Góc sức khỏe

  • Hệ thống nhà thuốc

    1. /
    2. Góc sức khỏe/
    3. Tin tức sức khỏe

    Tìm hiểu những thông tin bạn cần biết về thoái hóa và hoại tử tế bào

    Ánh Vũ

    29/05/2024

    Kích thước chữ

    Thoái hóa và hoại tử tế bào gây ra nhiều biến chứng nghiêm trọng, ảnh hưởng đến sức khỏe của người bệnh như gây đau đớn, suy giảm trí nhớ, giảm chức năng của các cơ quan và mô. Nếu không được kiểm soát kịp thời, nó còn có thể dẫn đến nhiều bệnh lý nặng nề, bao gồm cả ung thư.

    Tế bào là những đơn vị sống cơ bản của cơ thể, tạo nên các mô, mô kết hợp để hình thành cơ quan (phủ tạng) và cơ quan hợp nhất lại tạo nên cơ thể. Khi tế bào gặp tổn thương, cơ thể sẽ xuất hiện các triệu chứng thoái hóa và hoại tử tế bào. Quá trình này có thể có hoặc cũng có thể không có khả năng hồi phục, gây ra nhiều vấn đề về sức khỏe phức tạp cho người bệnh. Trong bài viết hôm nay, Nhà thuốc Long Châu sẽ chia sẻ tới bạn đọc những thông tin bạn cần biết về thoái hóa và hoại tử tế bào.

    Tìm hiểu về hoạt động sống của các tế bào

    Hoạt động sống của tế bào thể hiện qua việc tế bào tương tác với môi trường thông qua hai quá trình chính đó là quá trình đồng hoá và quá trình dị hoá.

    Trong quá trình đồng hoá, tế bào hấp thụ chất từ môi trường vào bên trong nó, chuyển hóa chúng thành các dạng hữu ích cho sự tồn tại và phát triển của tế bào. Ngược lại, quá trình dị hoá là quá trình biến đổi các sản phẩm thu nhận từ môi trường thành các sản phẩm chuyển hóa (như yếu tố phát triển, protein, KT) và giải phóng chúng ra môi trường.

    Thông thường thì quá trình đồng hoá và dị hoá duy trì một trạng thái cân bằng. Tuy nhiên, khi cân bằng này bị mất đi, các tế bào sẽ trải qua tổn thương bị thoái hóa và hoại tử tế bào và cơ thể sẽ thể hiện các dấu hiệu của bệnh lý.

    Có ba hình thức tổn thương tế bào cơ bản mà chúng ta có thể thấy phổ biến nhất, đó là:

    • Tổn thương có thể hồi phục (thoái hoá tế bào): Đây là trạng thái khi tế bào trải qua tổn thương nhưng vẫn giữ khả năng tự phục hồi, thoái hoá về trạng thái bình thường. Quá trình này có thể xuất hiện trong nhiều tình huống, ví dụ như khi tế bào phải đối mặt với áp lực hay tác động môi trường nhất định.
    • Tổn thương không hồi phục (hoại tử tế bào): Tại điểm này, tổn thương đạt đến mức không thể khôi phục và tế bào bắt đầu suy giảm chức năng và có thể chết đi. Các yếu tố như chấn thương nặng, tác động của chất độc hại có thể góp phần vào sự xuất hiện của hoại tử tế bào.
    • Tổn thương thích nghi (teo đét - phì đại - tăng sản - giảm sản - dị sản - loạn sản): Đây là các biểu hiện của tế bào khi chúng phải thích ứng với môi trường hay điều kiện khác nhau. Teo đét, phì đại, tăng sản, giảm sản, dị sản và loạn sản là các biểu hiện mà tế bào có thể thể hiện khi chúng cố gắng thích ứng với thay đổi môi trường hay yếu tố tác động.
    Tìm hiểu những thông tin bạn cần biết về thoái hóa và hoại tử tế bào 1
    Khi tế bào bị thương tổn thì cơ thể sẽ gặp nhiều bệnh lý

    Nguyên nhân gây thoái hóa và hoại tử tế bào

    Tế bào như những chất xây dựng cơ bản của cơ thể, thường phải đối mặt với nhiều nguyên nhân gây thoái hóa và hoại tử tế bào. Cụ thể hơn, các tác nhân vật lý như chấn thương, bỏng và tia xạ có thể tạo ra những ảnh hưởng lớn đối với cấu trúc và chức năng của tế bào, gây ra thoái hóa và hoại tử tế bào. Dưới đây là những nguyên nhân chính:

    • Chấn thương thường xuyên xuất hiện do các sự kiện không mong muốn, như tai nạn giao thông, va chạm hay các hoạt động vận động cường độ cao. Các biểu hiện của chấn thương có thể làm tổn thương tế bào và gây ảnh hưởng đến khả năng hoạt động của chúng.
    • Bỏng: Đây một dạng tổn thương nhiệt độ, là kết quả của tiếp xúc với nhiệt độ cao. Việc này có thể xảy ra từ nhiều nguồn khác nhau, bao gồm tác động của ngọn lửa, chất lỏng nóng hoặc các chất hóa học có thể gây kích ứng, thoái hóa và hoại tử tế bào.
    • Tia xạ: Yếu tố này cũng có thể gây thoái hóa và hoại tử tế bào. Sự tác động của tia xạ có thể tạo ra các biến đổi gen và làm suy giảm khả năng chia tế bào, dẫn đến tổn thương và mất mát chức năng.
    • Tác nhân hóa học: Ngoài ra, các tác nhân hóa học như thuốc và hóa chất cũng góp phần vào quá trình tổn thương tế bào. Việc tiếp xúc lâu dài với các chất này có thể gây tổn thương gen và tác động xấu đến quá trình chuyển hóa và chức năng của tế bào.
    • Các loại vi khuẩn, virus và ký sinh trùng: Đây là những yếu tố sinh học có thể xâm nhập vào tế bào và gây tổn thương. Các phản ứng miễn dịch mặc dù được thiết lập để bảo vệ cơ thể nhưng cũng có thể tạo ra tổn thương tế bào nếu chúng hoạt động quá mức hoặc không cân bằng.
    • Bệnh tổn thương gen và rối loạn dinh dưỡng: Chúng có thể tạo điều kiện thuận lợi cho sự xuất hiện của các vấn đề tế bào, làm thoái hóa và hoại tử tế bào, suy giảm khả năng duy trì sức khỏe.
    Tìm hiểu những thông tin bạn cần biết về thoái hóa và hoại tử tế bào 2
    Có nhiều nguyên nhân khác nhau gây ra thoái hóa và hoại tử tế bào

    Thoái hóa tế bào là thế nào?

    Thoái hoá tế bào là trạng thái bệnh lý khiến cho tế bào trải qua sự biến đổi về cấu trúc và chức năng. Những tổn thương chủ yếu xuất hiện ở bào tương của tế bào và có thể hồi phục khi các yếu tố bệnh lý giảm hoặc loại bỏ. Có ba dạng thoái hoá cơ bản được mô tả:

    • Thoái hoá hạt (Granular Degeneration): Là một trạng thái bệnh lý, đặc trưng bởi việc tế bào trở nên trương to và bào tương tế bào xuất hiện các hạt nhỏ, thường hiển thị màu đỏ khi nhuộm bằng hematoxylin-eosin (H.E). Chức năng của tế bào thoái hoá giảm, đây là một tổn thương không đặc hiệu, thường xuyên gặp trong các tế bào nhu mô của phủ tạng như tế bào gan trong trường hợp suy tim hoặc tế bào ống thận trong trường hợp nhiễm độc.
    • Thoái hoá nước (Hydropic Degeneration): Liên quan chặt chẽ với thoái hóa hạt, tế bào ở trạng thái trương to, nước ứ lại trong các túi lưới nội bào, tạo thành các hốc sáng không đều. Thường xuất hiện trong tế bào nhu mô tạng như tế bào gan và tế bào ống thận, thường do thiếu hụt oxy hoặc nhiễm độc.
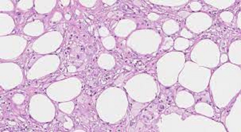
    • Thoái hoá mỡ (Lipoic Degeneration): Là trạng thái khi giọt mỡ xuất hiện trong bào tương tế bào. Biểu hiện của thoái hoá mỡ là sự hiện diện của những hốc sáng lớn, tròn đều trong bào tương tế bào khi nhuộm bằng H.E. Thường gặp ở tế bào gan, đặc biệt là vùng trung tâm tiểu thuỳ, là kết quả của các rối loạn chuyển hóa như nghiện rượu hoặc sau viêm gan.
    Tìm hiểu những thông tin bạn cần biết về thoái hóa và hoại tử tế bào 3
    Thoái hoá tế bào có thể hồi phục sau khi được can thiệp

    Hoại tử tế bào là gì?

    Hoại tử là quá trình chết của tế bào và mô xảy ra trong cơ thể của sinh vật sống. Có năm dạng chính của hoại tử tế bào:

    • Hoại tử đông (Coagulative Necrosis): Là tình trạng mô hoại tử trong đó các chất lỏng trong và ngoài tế bào đông đặc, làm cho mô hoại tử trở nên rắn và có màu vàng xám. Thường xuyên xuất hiện ở các chi, các ngón tay và thường được kích thích bởi bệnh mạch máu như viêm tắc động mạch. Hoại tử đông cũng thường gặp ở các cơ quan đặc biệt như tim và gan trong trường hợp nhồi máu cơ tim.
    • Hoại tử nước (Liquefactive Necrosis): Mô hoại tử trở thành chất lỏng, mềm nhũn, thường đi kèm với sự xâm nhập của vi khuẩn và có sự tăng cường của tế bào viêm. Thường xuyên xuất hiện trong các ổ nhồi máu não, nơi các tế bào não mất hình thể, hoá lỏng, tạo nên bộ phận não mềm nhũn và cuối cùng trở thành nang chứa chất lỏng. Hoại tử nước cũng thường gặp trong ổ nhồi máu cơ tim khi có nhiễm khuẩn.
    • Hoại tử bã đậu (Caseous Necrosis): Mô hoại tử có màu trắng vàng, bở, dễ vỡ nát giống như bã đậu. Thường gặp trong các trường hợp lao phổi và lao hạch, nơi ổ hoại tử được gọi là hoại tử bã đậu. Cũng có thể xuất hiện trong các bệnh nấm như histoplasmosis.
    • Hoại tử mỡ (Fat Necrosis): Vùng hoại tử có màu trắng như nến do các enzym tiêu mỡ biến đổi mỡ thành glycerol và acid béo tự do. Trong viêm tụy cấp, hoại tử mỡ thường xuất hiện khi tuỵ sưng nề, ống tụy bị tắc, dịch tụy phá hủy mô tụy và mô mỡ xung quanh, tạo thành những vùng hoại tử màu trắng như vết nến trong ổ bụng.
    • Hoại tử dạng tơ huyết (Fibrinoid Necrosis): Vùng hoại tử tạo thành một chất bắt màu hồng, giống như tơ huyết khi được nhuộm eosin. Thường gặp ở bề mặt thanh mạc trong các trường hợp viêm màng phổi, viêm màng tim, viêm màng bụng tơ huyết. Các bề mặt màng viêm có thể trở nên thô ráp và gây dính, chẳng hạn như dính màng phổi, màng tim, màng bụng.
    Tìm hiểu những thông tin bạn cần biết về thoái hóa và hoại tử tế bào 4
    Hoại tử tế bào không thể hồi phục sau khi được can thiệp

    Tổn thương thích nghi là thế nào?

    Ngoài thoái hóa và hoại tử tế bào thì tổn thương tế bào còn một dạng nữa đó chính là tổn thương thích nghi. Hình thức này lại được chia thành 4 loại cụ thể như sau:

    • Thay đổi số lượng tế bào: Bao gồm tăng sản (hyperplasia) và giảm sản (involution);
    • Thay đổi kích thước tế bào: Bao gồm teo đét (atrophy) và phì đại (hypertrophy);
    • Thay đổi chuyển hóa tế bào: Bao gồm tích tụ và ứ đọng (accumulation);
    • Thay đổi tính biệt hoá tế bào: Bao gồm dị sản (metaplasia) và loạn sản (dysplasia).

    Như vậy, Nhà thuốc Long Châu vừa chia sẻ tới bạn đọc những thông tin chi tiết về thoái hóa và hoại tử tế bào. Hy vọng qua bài viết bạn sẽ có thêm nhiều kiến thức hữu ích để hiểu rõ hơn về vấn đề sức khỏe này. Chúc bạn luôn khỏe mạnh!

    Xem thêm: Thế nào là tế bào gốc trưởng thành? Ứng dụng trong Y học

    Có thể bạn quan tâm

    Thông tin và sản phẩm gợi ý trong bài viết chỉ mang tính chất tham khảo, vui lòng liên hệ với Bác sĩ, Dược sĩ hoặc chuyên viên y tế để được tư vấn cụ thể. Xem thêm

    Dược sĩ Đại họcPhạm Nguyễn Hoàng Kim

    Đã kiểm duyệt nội dung

    Dược sĩ chuyên ngành Dược lâm sàng, với nhiều năm kinh nghiệm làm việc trong lĩnh vực dược phẩm. Là Dược sĩ Long Châu đạt được chứng chỉ bệnh học cấp quốc tế. Hiện đang là giảng viên tại Trung tâm Đào tạo FPT Long Châu.

    Xem thêm thông tin