Tốt nghiệp Đại học Y Dược TP. Hồ Chí Minh. Có nhiều năm trong lĩnh vực dược phẩm. Hiện đang là giảng viên cho Dược sĩ tại Nhà thuốc Long Châu.
Thanh Hương
04/06/2025
Mặc định
Lớn hơn
Vôi hóa tinh hoàn không phải là bệnh lý nguy hiểm nhưng có thể ảnh hưởng đến sức khỏe sinh sản. Hiểu rõ nguyên nhân, triệu chứng và cách điều trị giúp người bệnh phòng ngừa biến chứng hiệu quả.
Vôi hóa tinh hoàn mặc dù không trực tiếp gây vô sinh nhưng có thể ảnh hưởng đến chức năng sinh sản. Việc phát hiện dấu hiệu, thăm khám sớm và điều trị kịp thời giúp tránh các biến chứng nguy hiểm. Trong bài viết này, Long Châu sẽ giúp bạn tìm hiểu chi tiết về nguyên nhân, triệu chứng và cách điều trị vôi hóa tinh hoàn.
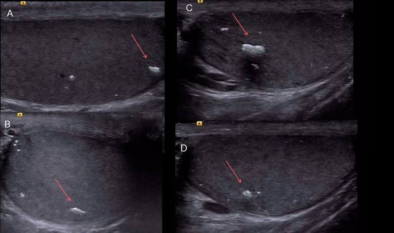
Vôi hóa tinh hoàn là tình trạng lắng đọng canxi bất thường trong mô tinh hoàn, tạo thành những nốt nhỏ có thể phát hiện qua siêu âm. Đây không phải là bệnh lý riêng biệt nhưng nó có thể liên quan đến viêm nhiễm, chấn thương hoặc rối loạn chuyển hóa. Trong hầu hết các trường hợp, vôi hóa tinh hoàn không gây nguy hiểm. Tuy nhiên, nếu đi kèm với các bệnh lý nền, nó có thể ảnh hưởng đến chức năng sinh sản và sức khỏe nam giới.
Một số nghiên cứu chỉ ra rằng tỷ lệ vôi hóa tinh hoàn ở nam giới trưởng thành có thể lên đến 5 - 10%. Có nhiều nguyên nhân dẫn đến tình trạng này, bao gồm:

Trong đa số trường hợp, bệnh không gây triệu chứng. Vôi hóa tinh hoàn được phát hiện tình cờ khi kiểm tra sức khỏe sinh sản hoặc khám nam khoa định kỳ. Tuy nhiên, nếu vôi hóa liên quan đến viêm nhiễm hoặc các rối loạn khác, người bệnh có thể gặp một số biểu hiện đáng chú ý như:
Vôi hóa tinh hoàn có nguy hiểm không? Trong phần lớn các trường hợp, vôi hóa tinh hoàn là lành tính, không gây ảnh hưởng trực tiếp đến sức khỏe chung. Nếu vôi hóa hình thành do viêm tinh hoàn hoặc viêm mào tinh hoàn kéo dài, mô tinh hoàn có thể bị tổn thương. Viêm nhiễm làm suy giảm chất lượng và số lượng tinh trùng, ảnh hưởng đến khả năng thụ thai. Một số trường hợp có thể gây tắc ống dẫn tinh hoặc giảm hoạt động sinh tinh.

Theo Hiệp hội Tiết niệu Hoa Kỳ (AUA), khoảng 15 - 20% bệnh nhân ung thư tinh hoàn có dấu hiệu vôi hóa tinh hoàn. Vôi hóa có thể xuất hiện xung quanh một khối u ác tính trong tinh hoàn. Nếu vôi hóa đi kèm sưng bìu, đau tức, khối u bất thường, cần tầm soát ung thư sớm.
Vôi hóa tinh hoàn cần theo dõi y tế khi:
Để chẩn đoán vôi hóa tinh hoàn, bác sĩ sẽ chỉ định siêu âm tinh hoàn để phát hiện các nốt vôi hóa, xét nghiệm máu để kiểm tra dấu hiệu viêm nhiễm, xét nghiệm nội tiết tố nam (FSH, LH, Testosterone) để đánh giá chức năng sinh tinh và sự cân bằng hormone. Trong một số trường hợp, xét nghiệm máu cũng giúp tầm soát ung thư tinh hoàn bằng các chỉ số AFP, hCG và LDH. Nếu vôi hóa tinh hoàn ảnh hưởng đến chức năng sinh tinh, bác sĩ sẽ chỉ định thực hiện tinh dịch đồ.

Vôi hóa tinh hoàn thường không cần điều trị nếu không có triệu chứng hoặc không ảnh hưởng đến chức năng sinh sản. Tuy nhiên, trong một số trường hợp, điều trị có thể cần thiết để giảm đau, kiểm soát viêm nhiễm hoặc loại bỏ khối vôi hóa lớn. Phương pháp điều trị sẽ tập trung vào nguyên nhân gốc rễ. Cụ thể là:
Để giảm nguy cơ hình thành vôi hóa, nam giới cần chú ý các biện pháp phòng ngừa sau:

Vôi hóa tinh hoàn thường không nguy hiểm nhưng có thể ảnh hưởng đến sức khỏe sinh sản nếu không kiểm soát tốt. Nếu xuất hiện triệu chứng đau tức tinh hoàn hoặc tinh trùng yếu, người bệnh nên đến gặp bác sĩ chuyên khoa để được tư vấn hướng điều trị phù hợp.
Xem thêm:
Dược sĩ Đại họcNguyễn Vũ Kiều Ngân
Tốt nghiệp Đại học Y Dược TP. Hồ Chí Minh. Có nhiều năm trong lĩnh vực dược phẩm. Hiện đang là giảng viên cho Dược sĩ tại Nhà thuốc Long Châu.