• Thực phẩm chức năng

  • Dược mỹ phẩm

  • Thuốc

  • Chăm sóc cá nhân

  • Thiết bị y tế

  • Tiêm chủng

  • Bệnh & Góc sức khỏe

  • Hệ thống nhà thuốc

    1. /
    2. Góc sức khỏe/
    3. Phòng bệnh & Sống khoẻ/
    4. Kiến thức y khoa

    Cách đọc kết quả siêu âm viêm ruột thừa​ qua hình ảnh và những lưu ý quan trọng

    Thị Thu

    24/04/2025

    Kích thước chữ

    Viêm ruột thừa là một tình trạng cấp cứu ngoại khoa phổ biến, đòi hỏi chẩn đoán nhanh chóng và chính xác. Trong đó, kết quả siêu âm viêm ruột thừa đóng vai trò quan trọng trong việc xác định tình trạng viêm và hỗ trợ bác sĩ đưa ra quyết định điều trị kịp thời. Việc hiểu rõ kết quả siêu âm giúp bệnh nhân và người nhà có cái nhìn cụ thể hơn về tình trạng sức khỏe, từ đó có hướng xử lý phù hợp.

    Kết quả siêu âm viêm ruột thừa là yếu tố then chốt trong chẩn đoán viêm ruột thừa, giúp xác định mức độ viêm và nguy cơ biến chứng. Siêu âm có thể cho thấy ruột thừa sưng to, chứa dịch hoặc có dấu hiệu vỡ, từ đó hỗ trợ bác sĩ đưa ra phương án điều trị phù hợp, có thể là theo dõi, dùng thuốc hoặc phẫu thuật. Hiểu rõ về kết quả siêu âm sẽ giúp người bệnh chủ động hơn trong việc chăm sóc sức khỏe và phòng ngừa biến chứng nguy hiểm. Cùng Long Châu tìm hiểu thế nào là siêu âm viêm ruột thừa trong bài viết dưới đây nhé!

    Thế nào là siêu âm viêm ruột thừa?

    Siêu âm viêm ruột thừa là một phương pháp chẩn đoán không xâm lấn, sử dụng sóng siêu âm để đánh giá cấu trúc của ruột thừa. Máy siêu âm phát ra sóng cơ học tần số cao, xuyên qua các mô trong cơ thể và phản hồi lại, sau đó đầu dò thu nhận tín hiệu và hiển thị hình ảnh trên màn hình.

    Trong chẩn đoán viêm ruột thừa cấp, siêu âm là lựa chọn đầu tiên của bác sĩ cấp cứu, giúp xác định tình trạng viêm và phân biệt với các nguyên nhân khác gây đau bụng cấp. Tuy nhiên, trong một số trường hợp khó như bệnh nhân béo phì, bụng chướng đầy hơi hoặc ruột thừa có vị trí bất thường, bác sĩ có thể cần kết hợp thêm các phương pháp chẩn đoán hình ảnh khác như CT hoặc MRI (đặc biệt với phụ nữ mang thai hoặc người dị ứng thuốc cản quang chứa iod).

    Kết quả siêu âm viêm ruột thừa​: Một số hình ảnh và những lưu ý quan trọng 1
    Siêu âm viêm ruột thừa là một phương pháp chẩn đoán không xâm lấn, sử dụng sóng siêu âm để đánh giá cấu trúc của ruột thừa

    So với các phương pháp chẩn đoán hình ảnh khác, siêu âm viêm ruột thừa có nhiều ưu điểm vượt trội, bao gồm:

    • Cho phép chẩn đoán nhanh chóng và chính xác nhiều bệnh lý liên quan.
    • Thiết bị siêu âm sẵn có, dễ sử dụng mà không cần chuẩn bị phức tạp.
    • Chi phí hợp lý, phù hợp với nhiều đối tượng bệnh nhân.
    • An toàn cao, không sử dụng tia X nên có thể áp dụng cho cả trẻ sơ sinh và phụ nữ mang thai.

    Cách đọc kết quả siêu âm viêm ruột thừa​ qua hình ảnh

    Kết quả siêu âm viêm ruột thừa​ được thể hiện tùy theo tình trạng bệnh của bệnh nhân.

    Ruột thừa bị viêm

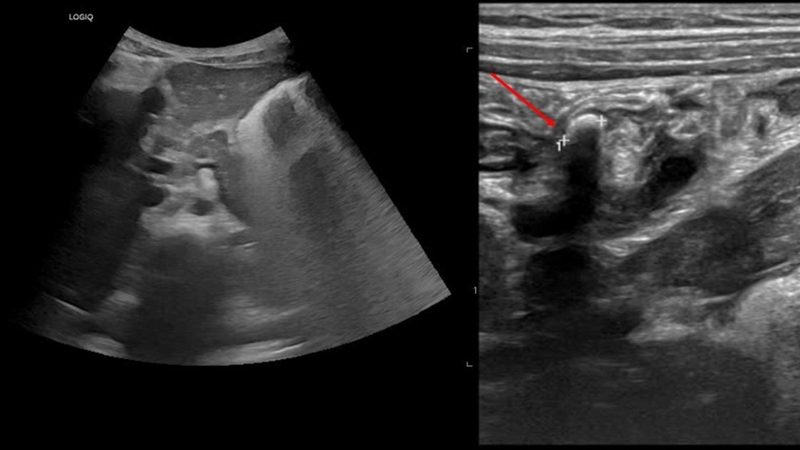
    Trên siêu âm, ruột thừa bị viêm thường xuất hiện dưới dạng một cấu trúc ống chứa dịch, có đặc điểm tương tự như ruột nhưng không thể bị đè ép, với thành dày và đường kính lớn hơn 6-7 mm. Khi sử dụng đầu dò siêu âm để ấn lên viết vùng bụng, bác sĩ có thể phân biệt giữa một quai ruột di động và một ruột thừa viêm cố định. Ngoài ra, kỹ thuật Doppler màu và Doppler năng lượng sẽ cho thấy tình trạng tăng tưới máu ở thành ruột thừa, hỗ trợ xác định mức độ viêm. Khi kết quả siêu âm viêm ruột thừa xác định tình trạng viêm ruột thừa cấp, người bệnh cần được phẫu thuật ngay mà không cần thực hiện thêm các xét nghiệm hình ảnh khác.

    Viêm ruột thừa ở đỉnh

    Ấn nhẹ vào hố chậu phải có thể giúp quan sát rõ hơn tình trạng viêm ruột thừa, đặc biệt khi ruột thừa nằm sau manh tràng. Nếu viêm chỉ khu trú ở phần cuối ruột thừa (viêm ruột thừa "đỉnh"), bác sĩ cần quan sát toàn bộ cấu trúc ruột thừa để đánh giá chính xác. Ngoài ra, phát hiện sỏi phân trong ruột thừa là một dấu hiệu quan trọng, hỗ trợ xác định chẩn đoán viêm ruột thừa khi có nghi ngờ trên lâm sàng.

    Viêm ruột thừa thể hoại tử nung mủ

    Siêu âm viêm ruột thừa thể hoại tử nung mủ có một số đặc điểm gợi ý như:

    • Thành ruột thừa dày không đồng đều, mất cấu trúc bình thường giữa các lớp và giảm độ hồi âm.
    • Trong một số trường hợp, thành ruột thừa viêm mỏng, bên trong chứa đầy dịch mủ.
    • Siêu âm Doppler cho thấy tín hiệu tưới máu giảm.
    Kết quả siêu âm viêm ruột thừa​: Một số hình ảnh và những lưu ý quan trọng 2
    Kết quả siêu âm viêm ruột thừa​ được thể hiện rõ nét qua hình ảnh

    Quy trình siêu âm viêm ruột thừa

    Siêu âm có nhiều ưu điểm, đặc biệt là dễ dàng thực hiện ngay trên giường bệnh, vì vậy quy trình chuẩn bị cho kỹ thuật này khá đơn giản. Dưới đây là quy trình cơ bản cho siêu âm viêm ruột thừa:

    Chuẩn bị trước khi siêu âm

    Trước khi tiến hành siêu âm viêm ruột thừa, bệnh nhân cần để lộ vùng bụng phía trên, kéo áo lên đến dưới ngực. Phần quần phía dưới nên được kéo xuống ngang vùng bẹn. Bệnh nhân không cần phải nhịn ăn hoặc uống trước khi siêu âm. Trong một số trường hợp, bác sĩ có thể yêu cầu bệnh nhân đi vệ sinh trước để cảm thấy thoải mái hơn khi bác sĩ ấn đầu dò siêu âm và thu thập thông tin về ống tiêu hóa trong vùng hố chậu phải.

    Thực hiện siêu âm

    Khi bắt đầu siêu âm viêm ruột thừa, bác sĩ sẽ thoa một loại gel đặc biệt lên bụng bệnh nhân. Gel này giúp sóng siêu âm truyền đạt tốt hơn. Sau đó, bác sĩ sẽ đặt đầu dò lên thành bụng bên phải và tiến hành khảo sát hình ảnh của ruột thừa. Trong quá trình quan sát, bác sĩ có thể ấn đầu dò vào thành bụng để thực hiện nghiệm pháp McBurney siêu âm. Đây là một trong những dấu hiệu quan trọng giúp chẩn đoán viêm ruột thừa qua phương pháp nội soi.

    Kết quả siêu âm viêm ruột thừa​: Một số hình ảnh và những lưu ý quan trọng 3
    Trong quá trình quan sát, bác sĩ có thể ấn đầu dò vào thành bụng để thực hiện nghiệm pháp McBurney siêu âm

    Sau khi siêu âm

    Sau khi hoàn thành siêu âm viêm ruột thừa, bác sĩ sẽ lau sạch lớp gel trên bụng bệnh nhân. Quá trình siêu âm diễn ra trong khoảng 5-20 phút và kết quả sẽ có ngay sau khi hoàn tất. Trong khi chờ in kết quả, bệnh nhân có thể trở về giường để nghỉ ngơi.

    Những lưu ý khi siêu âm viêm ruột thừa

    Siêu âm viêm ruột thừa là phương pháp chẩn đoán sớm hiệu quả, nhưng trong một số trường hợp, kết quả có thể bị hạn chế do:

    • Bệnh nhân béo phì, làm giảm khả năng quan sát cấu trúc ruột thừa.
    • Bụng chướng hơi quá mức, cản trở sóng siêu âm.
    • Phụ nữ mang thai trên 6 tháng, do tử cung lớn chèn ép vùng khảo sát.
    • Biến chứng như liệt ruột hoặc tắc ruột non, gây tích tụ hơi trong ruột, ảnh hưởng đến hình ảnh siêu âm.
    • Bàng quang quá căng, che khuất ruột thừa.
    • Ruột thừa nằm ở vị trí bất thường, khó xác định trên siêu âm.
    • Bác sĩ siêu âm thiếu kinh nghiệm, làm giảm độ chính xác trong chẩn đoán.
    Kết quả siêu âm viêm ruột thừa​: Một số hình ảnh và những lưu ý quan trọng 4
    Béo phì có thể làm hạn chế khả năng quan sát của siêu âm viêm ruột thừa

    Siêu âm của viêm ruột thừa có đau không?

    Siêu âm viêm ruột thừa là một thủ thuật an toàn, sử dụng sóng siêu âm để chẩn đoán tình trạng viêm ruột thừa. Phương pháp này đã được chứng minh là an toàn, không để lại bất kỳ thay đổi đáng kể nào cho người bệnh. Hơn nữa, siêu âm không sử dụng tia xạ và là một phương pháp không xâm lấn, do đó không gây hại cho người bệnh. Với những đặc điểm này, siêu âm viêm ruột thừa không gây cảm giác khó chịu, người bệnh có thể hoàn toàn yên tâm và không cần lo lắng khi thực hiện kỹ thuật này.

    Kết quả siêu âm viêm ruột thừa​: Một số hình ảnh và những lưu ý quan trọng 5
    Siêu âm viêm ruột thừa không gây cảm giác khó chịu

    Kết quả siêu âm viêm ruột thừa đóng vai trò quan trọng trong việc chẩn đoán và điều trị bệnh. Phương pháp này không chỉ an toàn và không xâm lấn mà còn cung cấp thông tin nhanh chóng và chính xác về tình trạng viêm. Với kết quả rõ ràng từ siêu âm, bác sĩ có thể đưa ra quyết định kịp thời, đảm bảo sự an toàn và sức khỏe cho bệnh nhân. Do đó, việc thực hiện siêu âm viêm ruột thừa khi có dấu hiệu nghi ngờ là rất cần thiết để tránh những biến chứng nguy hiểm có thể xảy ra.

    Xem thêm:

    Thông tin và sản phẩm gợi ý trong bài viết chỉ mang tính chất tham khảo, vui lòng liên hệ với Bác sĩ, Dược sĩ hoặc chuyên viên y tế để được tư vấn cụ thể. Xem thêm

    Dược sĩ Đại họcTrần Huỳnh Minh Nhật

    Đã kiểm duyệt nội dung

    Dược sĩ chuyên khoa Dược lý - Dược lâm sàng. Tốt nghiệp 2 trường đại học Mở và Y Dược TP. Hồ Chí Minh. Có kinh nghiệm nghiên cứu về lĩnh vực sức khỏe, đạt được nhiều giải thưởng khoa học. Hiện là Dược sĩ chuyên môn phụ trách xây dựng nội dung và triển khai dự án đào tạo - Hội đồng chuyên môn tại Nhà thuốc Long Châu.

    Xem thêm thông tin