Tốt nghiệp đại học Khoa Dược. Có kinh nghiệm hơn 10 năm trong lĩnh vực Dược phẩm, tư vấn thuốc và thực phẩm chức năng. Hiện đang là giảng viên cho Dược sĩ tại Nhà thuốc Long Châu.
Thục Hiền
14/02/2025
Mặc định
Lớn hơn
Chóp răng là một thành phần thiết yếu trong cấu trúc của răng, đóng vai trò quan trọng trong việc duy trì sự ổn định và chức năng của hàm. Được xem như "mắt xích" giữa chân răng và các mô xung quanh, chóp răng không chỉ giúp kết nối răng với xương hàm mà còn là nơi dẫn truyền mạch máu và dây thần kinh, giúp nuôi dưỡng răng.
Việc hiểu biết về chóp răng cùng các cấu trúc khác trong răng miệng sẽ giúp duy trì sức khỏe răng miệng một cách hiệu quả và phòng ngừa các vấn đề về răng miệng. Trong bài viết này, chúng ta sẽ đi sâu tìm hiểu về chóp răng, từ khái niệm, thành phần cấu tạo cho đến tầm quan trọng của nó đối với sức khỏe răng miệng.
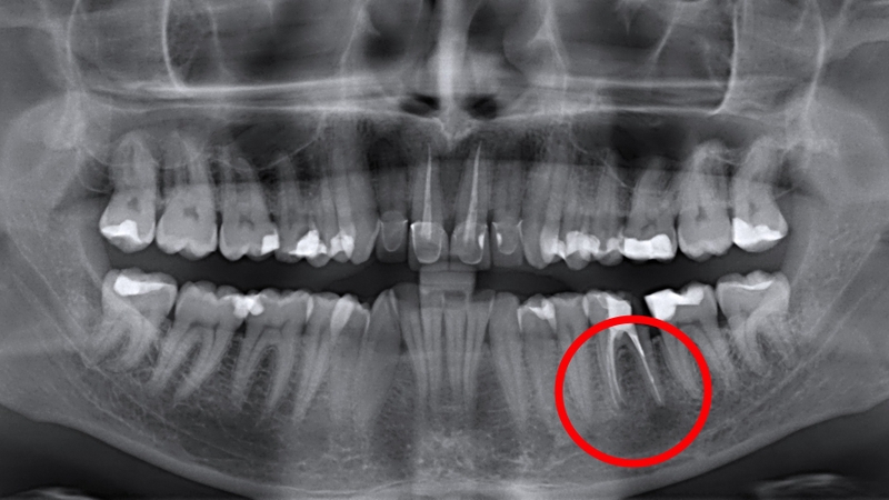
Chóp răng là phần tận cùng của mỗi cuống răng, có một lỗ nhỏ giúp mạch máu và dây thần kinh đi qua.

Phần tận cùng của chân răng được gọi là chóp răng, bắt đầu từ vị trí men-xê măng, nơi mà thân răng tiếp giáp với chân răng, kéo dài đến điểm cuối của chân răng. Khu vực này rất quan trọng do có lỗ chóp, cho phép sự lưu thông của mạch máu và dây thần kinh vào và ra khỏi hệ thống ống tủy.
Lỗ chóp là điểm kết nối giữa buồng tủy răng (nơi chứa tủy răng là các mô mềm sống) và các mô cũng như cấu trúc xương xung quanh. Kết nối này rất quan trọng cho việc cung cấp dinh dưỡng cho răng, vì các mạch máu, dây thần kinh đi qua lỗ chóp chịu trách nhiệm cung cấp cho tủy các chất dinh dưỡng cần thiết, oxy và thông tin cảm giác.
Hình dạng, kích thước của chóp răng có thể thay đổi tùy thuộc vào từng loại răng và vị trí của nó trong cung hàm. Răng cửa, nằm ở phía trước miệng, thường có chóp nhọn và thon gọn, còn răng hàm phía sau thường có chóp răng tròn hoặc ngắn hơn. Kích thước của chóp răng cũng bị ảnh hưởng bởi các yếu tố như tuổi tác, tình trạng sức khỏe của răng và các lần điều trị nha khoa trước đó.
Trong lĩnh vực nha khoa, chóp răng đóng vai trò quan trọng, đặc biệt trong các quy trình như điều trị tủy và đặt implant. Trong điều trị tủy, nha sĩ cần xác định và làm sạch chính xác chóp răng để loại bỏ hoàn toàn bất kỳ mô tủy bị nhiễm trùng hoặc viêm, đồng thời tạo điều kiện cho việc bịt kín đúng cách hệ thống ống tủy. Việc xác định và xử lý chính xác các vấn đề ở chóp răng là điều cần thiết cho sự thành công của điều trị tủy và sức khỏe lâu dài của răng.

Trong quá trình cấy ghép implant răng, vị trí chóp răng và sự liên kết với xương xung quanh là yếu tố quan trọng để xác định vị trí và góc đặt implant phù hợp. Với mục đích đảm bảo rằng việc đặt implant diễn ra an toàn, đạt hiệu quả cao, nha sĩ cần đánh giá cẩn thận cấu trúc giải phẫu của chóp răng và lượng xương hiện có.
Việc đánh giá và hiểu biết đúng về chóp răng cũng rất quan trọng trong các quy trình nha khoa khác như nhổ răng, phẫu thuật nội nha. Để tránh ảnh hưởng đến các cấu trúc xung quanh và giảm thiểu khả năng phát sinh biến chứng sau khi phẫu thuật, nha sĩ phải thực hiện các thao tác qua chóp răng một cách tỉ mỉ.
Dưới đây là một số bệnh về răng miệng liên quan đến chóp răng:
Đây là tình trạng viêm xảy ra tại khu vực xung quanh chóp răng. Bệnh lý này có thể được phân loại thành hai dạng: Dạng không có triệu chứng (asymptomatic) và dạng có triệu chứng (symptomatic). Viêm không triệu chứng thường tiến triển âm thầm và có thể gây tổn hại cho các mô xung quanh nếu không được điều trị kịp thời. Ngược lại, viêm có triệu chứng thường gây đau đớn khi nhai hoặc khi tiếp xúc với răng bên cạnh và thường xuất hiện đột ngột.

Là một trong những tình trạng khẩn cấp nha khoa phổ biến nhất, áp xe chóp răng xảy ra khi vi khuẩn xâm nhập vào tủy răng và gây nhiễm trùng. Tình trạng này có thể dẫn đến đau đớn dữ dội, sưng tấy, có thể gây ra các biến chứng nghiêm trọng nếu không được điều trị kịp thời.
Viêm nha chu có thể ảnh hưởng đến cấu trúc xung quanh chóp răng, dẫn đến mất mô và xương hỗ trợ. Tình trạng này thường xảy ra khi vi khuẩn tích tụ trong các túi nha chu, tạo thành áp xe nha chu. Để ngăn chặn viêm chuyển thành mãn tính, gây ra những tổn thương nghiêm trọng hơn, việc điều trị cần phải được thực hiện kịp thời.
Nhiễm trùng tủy răng có thể dẫn đến viêm chóp răng nếu không được điều trị. Tình trạng này thường gây đau nhức và khó chịu, nếu tủy răng bị chết, vi khuẩn có thể lan ra gây nhiễm trùng khu vực chóp răng.
Việc phát hiện sớm và điều trị các bệnh lý này là rất quan trọng để bảo vệ sức khỏe răng miệng, ngăn ngừa các biến chứng nghiêm trọng hơn. Nếu có bất kỳ triệu chứng nào như đau răng hay sưng tấy, bệnh nhân nên nhanh chóng tìm đến nha sĩ để được thăm khám và điều trị kịp thời.
Để bảo vệ và phòng ngừa các bệnh lý quanh chóp răng, người bệnh cần chú ý đến những yếu tố sau:

Việc lưu ý đến những yếu tố này sẽ giúp bạn bảo vệ răng miệng và phòng tránh các bệnh lý quanh chóp răng một cách hiệu quả. Nếu phát hiện dấu hiệu bất thường, hãy liên hệ với bác sĩ nha khoa để nhận được tư vấn và điều trị sớm.
Tổng quan, chóp răng là một cấu trúc giải phẫu quan trọng trong răng, đóng vai trò thiết yếu trong sức khỏe, chức năng của răng cũng như sự thành công của nhiều liệu pháp nha khoa. Việc hiểu rõ về các đặc điểm và tầm quan trọng của chóp răng là cần thiết để nha sĩ có thể cung cấp dịch vụ chăm sóc nha khoa chất lượng cao cho bệnh nhân.
Xem thêm: Tất tần tật về miệng người: Cấu trúc và chức năng quan trọng
Dược sĩ Đại họcNguyễn Thị Hồng Nhung
Tốt nghiệp đại học Khoa Dược. Có kinh nghiệm hơn 10 năm trong lĩnh vực Dược phẩm, tư vấn thuốc và thực phẩm chức năng. Hiện đang là giảng viên cho Dược sĩ tại Nhà thuốc Long Châu.